El sangrado de encías es un problema bucal común, a menudo un signo temprano de gingivitis, una forma leve de enfermedad periodontal. Aunque prevalente, muchas personas optan por remedios caseros en lugar de buscar atención profesional. Analizaremos la efectividad de estos remedios y si realmente combaten la causa subyacente del problema.

Causas de las encías inflamadas y sangrantes
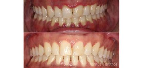
Las encías inflamadas son una inflamación del tejido causada por la acumulación de placa bacteriana en la línea de las encías.
- Placa bacteriana: La principal causa es la acumulación de placa en los dientes y encías.
- Mala higiene dental: Una limpieza dental deficiente o el uso de cepillos con cerdas duras pueden contribuir.
- Cepillado dental: Cepíllate los dientes al menos dos veces al día con un cepillo de dientes suave y pasta dental fluorada.
- Aparatos dentales: El uso de brackets o implantes requiere mayor compromiso con la higiene dental.
- Medicamentos: Algunos medicamentos pueden tener como efecto secundario la inflamación de las encías.
- Embarazo: Los cambios hormonales aumentan el flujo sanguíneo a las encías, causando hinchazón y enrojecimiento.
- Desnutrición: La falta de vitaminas B y C puede debilitar el tejido de las encías.
- Infección: Infecciones como el herpes o la candidiasis oral pueden causar inflamación.
Gingivitis: Tratamiento casero. | Causas y soluciones.
Remedios caseros comunes y su efectividad
Muchos recurren a remedios caseros para tratar el sangrado de encías, pero ¿son realmente efectivos?
- Enjuague con agua salada:
Se cree que la sal ayuda a desinfectar la boca y reducir la inflamación. Este método puede proporcionar alivio temporal al reducir la acumulación de bacterias, pero no es una solución a largo plazo. Un enjuague salino excesivo podría irritar las encías sensibles.
- Bicarbonato de sodio:
El uso frecuente de bicarbonato de sodio puede ser demasiado agresivo para los tejidos blandos de la boca, causando irritación e incluso erosión del esmalte dental. Su uso excesivo puede provocar irritación e incluso una erosión en el esmalte dental. Por desgracia, o sólo resulta ineficaz para tratar la gingivitis y/o periodontitis sino que la erosión del esmalte dental que puede llegar a producir es irreversible.
- «Oil pulling» (enjuague con aceite):
Esta técnica de la medicina ayurvédica consiste en hacer gárgaras con aceite de coco o sésamo. Se cree que ayuda a «extraer» toxinas y reducir la acumulación de placa y bacterias. Además, el «oil pulling» no elimina la placa bacteriana como lo hace un cepillado adecuado o el uso de hilo dental.
- Infusiones de hierbas:
Infusiones de hierbas como el té de manzanilla o la salvia pueden proporcionar un alivio temporal debido a sus propiedades antiinflamatorias, pero no solucionan el problema subyacente producido por la presencia de placa y el sarro.
- Aloe vera:
El aloe vera es conocido por sus propiedades curativas y antiinflamatorias, y se ha sugerido que su uso puede ayudar a tratar el sangrado de encías. No obstante, aunque el aloe vera puede calmar las encías irritadas, nuevamente, no es una solución completa.
Aunque algunos de estos remedios caseros pueden ofrecer alivio temporal, es fundamental recordar que no abordan la causa subyacente del sangrado de encías: la acumulación de placa bacteriana.

Tratamientos profesionales
El tratamiento se centra en reducir la inflamación, eliminar la placa bacteriana y prevenir su acumulación futura.
- Limpieza dental profesional: Programa citas regulares para una limpieza dental profesional.
- Raspado y alisado radicular: En casos más graves, puede ser necesario un tratamiento llamado raspado y alisado radicular.
- Enjuagues bucales: Uno de los más conocidos y efectivos es realizar enjuagues bucales con agua tibia y sal.
- Antibióticos: En algunos casos, el dentista puede recetar antibióticos para controlar la infección.
Medidas adicionales para el cuidado de las encías
- Alimentación equilibrada: En algunos casos, la inflamación de las encías puede deberse a deficiencias nutricionales.
- Hilo dental: Incorpore a su rutina el uso de hilo dental antes de ir a dormir. Un uso adecuado del hilo dental para la limpieza interdental, curvar el hilo dental alrededor del diente en forma de "C" y mover arriba y abajo, así como bajo las encías es muy importante. Asegúrese de utilizar una nueva sección de hilo dental en cada diente, o si no estará moviendo la placa de un diente a otro.
- Té: El té también nos va a ayudar para las encías inflamadas, ya que tiene una solución antiséptica natural que es capaz de desinfectar y mejorar la curación.
- Limón: Otro de los remedios que podemos utilizar es la utilización del limón.
¿Cuándo consultar a un dentista?
Si experimentas sangrado de encías de manera persistente, es crucial que consultes a un dentista, ya que podría ser un signo temprano de enfermedad periodontal. El sangrado de encías es un indicador claro de que algo no va bien en la salud bucodental. Ambas patologías están englobadas dentro de la enfermedad periodontal.
Si el sangrado de las encías es frecuente, intenso o doloroso, y está acompañado de síntomas como mal aliento e inflamación, es fundamental acudir al profesional de la salud bucodental lo antes posible.
Mitos sobre los remedios caseros
Desmontar los mitos sobre los remedios caseros para el sangrado de encías es crucial para evitar que las personas retrasen un tratamiento profesional que puede solucionar el problema de raíz. Si bien algunos remedios naturales pueden ser útiles como complemento temporal, nada reemplaza una buena higiene bucal y la consulta con un profesional.
Higiene bucal adecuada
Una adecuada higiene bucal previene los problemas de encías inflamadas y sangrantes. Cepillar los dientes durante unos dos minutos al menos dos veces al día y usar el hilo dental al menos una vez al día es esencial.
Para cepillar de manera correcta los dientes realice movimientos cortos y suaves, y preste atención a las encías, los dientes posteriores, así como a cualquier empaste, corona o restauración que tenga. Considere el uso de un cepillo de cerdas suaves que cuente con un cabezal flexible y esté especialmente diseñado para prevenir el exceso de presión en las encías.
Vitaminas y sangrado de encías
Las deficiencias de vitaminas C y K también pueden causar que las encías sangren fácilmente. Es muy recomendable si te sangran las encías que sigas una dieta que contenga estas vitaminas. Los alimentos ricos en vitamina C incluyen: frutas y jugos cítricos, brócoli, fresas, tomates, papas, pimientos.
Enfermedad periodontal en niños
La enfermedad periodontal es común en los niños, aunque es prevenible y tratable. Si a su hijo le está saliendo un diente nuevo, es posible que note inflamación y enrojecimiento en esa zona. Para aliviar la molestia, puede aplicar hielo envuelto en un paño limpio sobre el área afectada.