Uno de los temas que con frecuencia genera confusión entre nuestros pacientes es la diferencia entre dos tratamientos populares de odontología estética: las carillas dentales y las fundas dentales. En este artículo, te guiaremos a través de las diferencias clave entre carillas dentales y fundas dentales.
En la actualidad, gracias a los avances y a las últimas tecnologías en Odontología Estética, las carillas dentales no dañan los dientes.
Tanto si te vas a realizar un tratamiento de ortodoncia, como si necesitas reemplazar los dientes perdidos o estás pensando en un tratamiento de estética con carillas dentales, el diseño de sonrisa es el primer paso para alcanzar los resultados deseados.
Carillas y diseño de sonrisa, ¿Cuál es mejor para ti?
¿Qué son las carillas dentales?
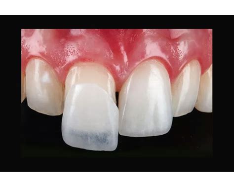
Las carillas dentales son un tratamiento de estética dental que consiste en unas finas láminas que se adhieren a la cara delantera del diente permitiéndonos modificar su color, forma, tamaño e incluso su posición. Las carillas dentales son unas láminas muy finas -generalmente inferiores a un milímetro de espesor- que se fijan sobre la parte visible de uno o varios dientes. Su objetivo es corregir problemas estéticos (fracturas leves, cambios de color…) o patológicos (originados por caries). Pueden estar hechas de diferentes materiales, pero suelen ser de porcelana o composite.
Su principal objetivo es mejorar el aspecto de los dientes, ya sea para modificar su tamaño, color, forma o posición. Por tanto, tienen una finalidad puramente estética.
Las carillas dentales se colocan en la superficie frontal de los dientes con la finalidad de mejorar su aspecto. Son uno de los tratamientos dentales estéticos más demandados actualmente, tanto por su sencillez como por su precio.
Las carillas dentales son delgadas láminas personalizadas hechas de porcelana o resina compuesta que se adhieren a la superficie frontal de los dientes. Estas carillas están diseñadas para mejorar la estética de los dientes al corregir imperfecciones cosméticas, como decoloración, irregularidades en la forma, desgaste o espacios entre los dientes.
LUMINEERS son ultra finas (aproximadamente 0.3mm) y altamente traslúcidas, lo cual les permite replicar la apariencia natural del esmalte.

Tipos de carillas dentales
- Carillas de Porcelana: Estas carillas son conocidas por su durabilidad y apariencia natural. Las carillas de porcelana son finas láminas hechas a medida que se cementan en los dientes para darles el tamaño, la forma y el color deseados. Para su colocación, suele ser necesario un pequeño tallado del esmalte, aunque en algunos casos no es necesario.
- Carillas de composite: Aunque son menos duraderas que las de porcelana, son ideales para corregir pequeñas imperfecciones en la forma de los dientes. Las carillas de composite consisten en una pasta de resina compuesta (composite) que se adhiere directamente sobre el diente y se va modelando hasta conseguir la forma y el color deseados. El único inconveniente de esta clase de carillas es que los composites, con el tiempo, tienden a cambiar de color, lo que obliga a retocarlos periódicamente. A diferencia de las carillas de porcelana, se realizan directamente sobre el diente aplicando capa por capa y esculpiendo la forma deseada.
¿Qué son las fundas dentales?
Las fundas dentales, comúnmente llamadas coronas dentales, son restauraciones dentales personalizadas que cubren completamente la parte visible de un diente. A diferencia de las carillas, que solo se adhieren a la superficie frontal de los dientes, las fundas dentales envuelven todo el diente, proporcionando una protección más completa y una restauración funcional.
El proceso de colocación de fundas dentales suele ser un procedimiento en varias etapas. Comienza con una consulta en la que se evalúa la salud dental y se discuten tus objetivos. Una vez que la corona está lista, se procede a la preparación del diente. En este paso, se retira una cantidad significativa de esmalte dental del diente para dar espacio a la corona. Luego, la corona se coloca sobre el diente y se adhiere de manera segura.
Las coronas dentales tienen aplicaciones tanto funcionales como estéticas.

Diferencias clave entre carillas y fundas dentales
Aunque ambas carillas nos permiten corregir la forma, el tamaño y el color de los dientes, incluso en ocasiones, su posición. Carillas dentales: Las carillas dentales tienden a ser más delicadas que las coronas dentales. Fundas dentales: Las coronas dentales son altamente duraderas y resistentes a las fuerzas masticatorias. Carillas dentales: Las carillas están diseñadas específicamente para lograr una apariencia estética y natural. Fundas dentales: Las fundas dentales, por otro lado, cubren completamente el diente al que se aplican.
Una pregunta común sobre las carillas dentales es si pueden colocarse sobre fundas. Si tienes coronas, coronas sobre implantes o puentes, es importante que consultes con tu dentista para una evaluación personalizada.
Blanqueamiento dental como alternativa
Si quieres mejorar el color de tus dientes, hay dos tratamientos que te pueden ayudar: las carillas dentales o el blanqueamiento. Si necesitas o quieres mejorar el color de tus dientes, es probable que estés planteando colocarte carillas dentales o realizarte un blanqueamiento dental. Por eso hoy, desde el Institut Joan Autrán, queremos explicarte cuál es la diferencia entre las carillas dentales y el blanqueamiento dental y por qué deberías decantarte por uno u otro.
Aunque muchas personas intentan reducir el color amarillento de sus dientes utilizando productos de higiene especializados, lo cierto es que los únicos dos tratamientos profesionales que cumplen una función blanqueadora son las carillas dentales y el blanqueamiento dental.
Un blanqueamiento dental es un proceso mediante el cual se aplica en los dientes un gel de peróxido de hidrógeno que se activa mediante luces LED.
Los blanqueamientos dentales suelen ser más económicos que las carillas, pero no son efectivos para todo el mundo. De hecho, en personas que fuman diariamente, tomen entre dos o tres cafés al día o beben mucho zumo de naranja, no está recomendado realizarlo, porque no funcionará correctamente.
Diseño de sonrisa: Una planificación integral

¿Sabías que para conseguir la sonrisa que siempre has soñado es fundamental contar con un buen diseño de sonrisa? Una sonrisa bonita no es solo una cuestión estética: es confianza, comunicación y bienestar emocional.
Un diseño de sonrisa es el proceso por el cual se llevan a cabo determinados procesos hasta conseguir el resultado que busca el paciente en lo que a resultados estéticos se refiere.
El diseño de la sonrisa es un proceso de planificación de cómo deseas que tu estructura bucodental cambie para obtener un mejor aspecto. Desde Hernadent, y nuestras clínicas dentales en Algete, San Agustín de Guadalix, Pedrezuela, Valdebernardo, Torrelaguna y Salamanca sabemos que la odontología actual no se concibe sin pensar en la estética dental.
El 80 por ciento de la población española acude al dentista cuando tiene un problema bucal y además en los últimos años han aumentado cada vez más los visitas por motivos de estética. A la salud, funcionalidad y comodidad del paciente se ha sumado de forma innegable una preocupación latente por la estética.
Gracias a esta técnica vanguardista, tu odontólogo podrá planificar y mostrate el resultado final de tu sonrisa antes de empezar cualquier tratamiento.
El diseño de sonrisa, también conocido como Digital Smile Design (DSD), es un procedimiento integral de odontología estética que combina fotografías, escáneres 3D y software de simulación para crear una representación virtual de tu futura sonrisa. Está enfocado en mejorar la apariencia de la sonrisa de forma personalizada, ya que nos permite estudiar con precisión la forma, el color, el tamaño y la posición de los dientes en función de tus rasgos faciales.
A diferencia de otros tratamientos odontológicos más tradicionales, el diseño de sonrisa va más allá de corregir problemas funcionales: busca lograr una sonrisa armónica, proporcionada y adaptada a la personalidad y expresión del paciente. Esta técnica destaca por que no se limite a la estética superficial: también ayuda a mejorar la salud y función dental.
El diseño de sonrisa fusiona arte y ciencia dental para crear sonrisas atractivas sin descuidar la funcionalidad. Gracias al diseño de sonrisa el odontólogo puede personalizar técnicas estandarizadas a las necesidades de cada paciente.
De este modo, si acudes a una clínica dental con el objetivo de ponerte carillas dentales y te haces un diseño de sonrisa previamente, te aseguras que el procedimiento se hace teniendo en cuenta tus rasgos faciales, así como preferencias estéticas y necesidades funcionales.
Beneficios del diseño de sonrisa
- Confianza y autoestima: Casi todos los pacientes recuperan su confianza cuando comprueban cómo podría ser su sonrisa tras el diseño DSD.
- Estética dental: Con el diseño de sonrisa podemos corregir imperfecciones de los dientes (color amarillo o con manchas, dientes desgastados, fracturados, desalineados, con espacios, etc.), consiguiendo unos dientes más alineados y proporcionales al resto de la cara.
- Funciones orales optimizadas: No es meramente cosmético: al corregir la alineación y la mordida se recupera al 100% la funcionalidad de la boca. Una oclusión adecuada mejora la masticación que a su vez facilita la digestión y la pronunciación, e incluso puede influir en la respiración.
- Rejuvenecimiento y salud a largo plazo: Reponer dientes perdidos mediante implantes u otras prótesis devuelve la plenitud a la sonrisa y mantiene la estructura facial. Un diseño de sonrisa bien estructurado también ayuda con la higiene oral.
Proceso del diseño de sonrisa
- Evaluación inicial: El diseño de sonrisa empieza con un estudio exhaustivo del estado de salud bucodental del paciente. Se evalúa la situación atual de su boca y la sonrisa en detalle.
- Evaluación clínica completa: Se revisan los dientes en su totalidad, las encías y la mordida así cómo la estética facial, simetría de la sonrisa y el movimiento de los labios al gesticular.
- Pruebas diagnósticas: Se realizan radiografías, fotografías de alta resolución de la sonrisa, escaneos 3D o impresiones de la boca que sirven para obtener un modelo preciso de la boca.
- Anáslisis estético: Un odontólogo especializado analiza al detalle las proporciones de los dientes, su longitud y su ancho, la alineación con la línea media facial, la forma de la mandíbula, el estado y visibilidad de la encía y el color dental, y cualquier característica que permita identificar las alteraciones estéticas y funcionales con potencial mejora.
- Discusión de expectativas: Para ofercer una solución personalizada es esencial tener una conversación entre el especialista y el paciente para poder obtener una visión completa de sus necesidades y expectativas. Así, el profesional puede planificar el tratamiento teniendo en cuenta las metas estéticas del paciente y las expectativas realistas sobre el resultado.
- Planificación digital: Después de haber recopilado toda la información necesaria, pasamos a la fase de la planificación digital. Aquí, se diseña virtualmente la nueva sonrisa y se establecen los pasos necesarios para alcanzar ese diseño.
- Plan de tratamiento personalizado: El equipo de la Clínica Ferrus & Bratos elabora un plan a medida que combine e integre las soluciones necesarias para cada problema identificado. Este plan a medida, diseñado para adaptarnos a las necesidades individuales de cada uno, se discute con el paciente para confirmar que está a gusto con el plan propuesto y comprende que todos los pequeños pasos previos son necesarios para el resultado final.
- Diseño digital (Digital Smile Design): Las herramientas digitales avanzadas nos permiten simular el resultado final antes de iniciar el tratamiento real. Usando el software especializado de diseño de sonrisa, creamos una representación virtual de los dientes del paciente tras los cambios propuestos. Estas herramientas han supuesto un gran avance en la experiencia de nuestros pacientes, ya que podemos planificar con precisión cada modificación, enseñar con claridad al paciente todo lo que se le va a hacer y el resultado esperado así como realizar cualquier ajuste en el diseño hasta que esté satisfecho.
- Mock-up: Para asegurar que el diseño de sonrisa es el deseado, generamos modelos en 3D, también conocidos como mock-ups digitales o impresiones 3D, que permite al paciente previsualizar en su propia boca el resultado.
- Aprobación del diseño: Con el plan acordado, se programan las citas y se preparan los recursos necesarios para alcanzar nuestro objetivo. Dependiendo de la complejidad del caso, la ejecución clínica puede involucrar múltiples sesiones y distintos especialistas. Sin embargo, en la Clínica Ferrus & Bratos contamos con todas las especialidades y medios técnicos en un mismo espacio para que nuestros pacientes disfruten de la comodidad de una experiencia premium.
- Secuencia del tratamiento: Preparamos un orden estratatégico de las intervenciones. Por ejemplo, si se requiere ortodoncia, será el primer procedimiento a llevar a cabo para asegurar que partimos desde una dentadura alineada. En muchos casos, se recomendará un blanqueamiento dental para aclarar el tono general antes de colocar carillas o coronas. En el caso de pacientes con ausencia de dientes, la colocación de implantes dentales es prioritaria. Cada paciente tendrá un flujo específico con el objetivo de optimizar los resultados.
- Coordinación de especialistas: El diseño de sonrisa es un trabajo comunmente multidisciplinar y requiere de la coordinación de los especialistas de estética, ortodoncia, periodoncia e implantología. Gracias a un equipo coordinado podemos garantizar resultados óptimos.
- Modificaciones y comunicación: A medida que se desarrolla el plan propuesto, mantenemos una comunicación directa y regular con el paciente. El paciente participa activamente en todo el proceso y en caso de que haya que realizar alguna modificación, podrá expresar su opinión antes de continuar con las siguientes fases.
¿Cuándo están contraindicadas las carillas?
Cuando el paciente no tiene una buena mordida (clase II, clase III, mordida cruzada…) las carillas también pueden estar contraindicadas porque hay riesgo de rotura.
Durabilidad y mantenimiento de las carillas dentales
La duración de las carillas dentales está determinada por diversos factores, como los cuidados que siga el paciente en cuanto a higiene oral, alimentación, tabaco, hábitos, revisiones con el dentista, etc. Adicionalmente, la durabilidad del tratamiento también depende del material con el que están fabricadas las carillas y de la técnica de colocación (directa o indirecta). Por ello, no resulta posible determinar de antemano cuánto tiempo duran las carillas dentales. Lo que sí podemos decirte es que, con unos cuidados y unos mantenimientos adecuados, son un tratamiento pensado para durar a largo plazo.
Consideraciones finales para elegir el tratamiento adecuado
Estado de tus dientes: Evalúa la salud y condición de tus dientes. Si tienes dientes dañados, debilitados o con caries extensas, es probable que necesites una solución más completa, como una corona dental.
Objetivos estéticos: Define tus objetivos estéticos. ¿Deseas una sonrisa más blanca y uniforme? Las carillas dentales son ideales para esto.
Ubicación de los problemas: Considera dónde se encuentran los problemas en tu sonrisa.
Durabilidad y mantenimiento: Piensa en cuánto mantenimiento estás dispuesto a realizar.
Presupuesto: Consulta tu presupuesto y opciones de financiamiento.