La búsqueda de una sonrisa perfecta es una aspiración común en la actualidad. Afortunadamente, la odontología estética ofrece diversas soluciones para mejorar la apariencia de nuestros dientes. Entre estos tratamientos, las carillas dentales destacan como una opción popular y efectiva.
Las carillas dentales son un tratamiento de estética dental en auge. Consiste en la reconstrucción de la sonrisa sobre los propios dientes, utilizando carillas de composite o porcelana, similares al esmalte dental natural. Con las carillas se puede recuperar la estética de la boca, con una forma dentaría proporcionada y armónica para hacer que los dientes se vean más blancos dando como resultado una nueva sonrisa perfecta que deseaba nuestro paciente.

¿Qué son las Carillas Dentales?
Las carillas dentales son láminas delgadas que se adhieren a la superficie frontal de los dientes, mejorando su apariencia y cerrando espacios pequeños. Se localizan en la parte frontal de la boca. Tienen forma de pequeños cinceles. Están situados en el ángulo de los arcos dentales, justo al lado de los incisivos.
Son las sonrisas perfectas que exhiben la gran mayoría de los personajes del mundo del espectáculo y la televisión. Hoy en día se busca la naturalidad y la seguridad del paciente con materiales cada vez más finos y resistentes.
La salud bucodental da un paso más y se alía con la estética. Lucir una sonrisa sana y bonita favorece además la autoestima y potencia nuestra imagen.
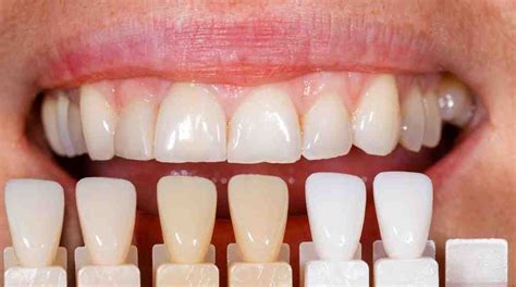
Tipos de Carillas Dentales
Existen dos tipos principales de carillas dentales:
Carillas de Composite
También se utilizan las carillas de composite, aunque su resistencia es menor y su porosidad hace que sean más propensas a amarillear.
Carillas de Porcelana
A diferencia de las carillas de composite, las carillas de porcelana son más estéticas, pues no cambian de color y el aspecto del diente permanece igual que el primer día. Las carillas de porcelana también requieren una mínima preparación del diente y podemos conseguir este resultado en tan solo 2 citas.

En los dos tipos de carillas, porcelana y composite, el blanco que se consigue es superior y más duradero y uniforme que mediante la técnica de blanqueamiento dental, un procedimiento que tiene en cuenta el color del diente como punto de partida y consigue aclararlo tres o cuatro tonos.
¿Cuándo son Necesarias las Carillas Dentales?
Las carillas dentales sirven para blanquear el diente de una forma más duradera y resistente, además de conseguir un blanco deslumbrante. Sin embargo, las carillas no se pueden adherir a dientes fracturados donde la falta de sustancia puede hacer que salte y tampoco en dientes descolocados, fuera de la alineación.
Además de mejorar la estética dental, las coronas dentales son necesarias por motivos de salud dental:
- Cuando los dientes están debilitados, están muy dañados o muy desgastados.
El Proceso de Colocación de Carillas Dentales
El proceso de colocación pasa por diferentes fases, aunque todo es muy sencillo. La idea es que la corona dental se quede fijada en tu boca a través de un cemento muy consistente. Pero primero, en multitud de casos, es necesario reducir el tamaño del diente para que este se ajuste perfectamente a la pieza coronaria.

Ventajas de las Carillas Dentales
En general, las ventajas que tiene la corona dental son muy interesantes, beneficiando desde tu estética dental en color y aspecto hasta la posición o el tamaño de tus dientes.
Diastema y Carillas Dentales
El diastema dental, comúnmente conocido como «dientes separados», es una condición que afecta tanto la estética como la funcionalidad de la sonrisa. En algunos casos, el diastema es simplemente una variación estética sin consecuencias para la salud bucal.
El tratamiento del diastema dental depende de su causa subyacente y de las necesidades estéticas y funcionales del paciente. Las carillas de porcelana o composite son láminas delgadas que se adhieren a la superficie frontal de los dientes, mejorando su apariencia y cerrando espacios pequeños.
Carillas Dentales Vs Diseño de Sonrisa | Lo que tienes que saber antes de decidir
Otros Tratamientos de Estética Dental
Además de las carillas dentales, existen otros tratamientos de estética dental que pueden ayudarte a conseguir la sonrisa que deseas:
- Blanqueamiento dental: Es un tipo de tratamiento de estética dental que consiste en la aplicación de peróxido de hidrógeno o peróxido de carbamida para blanquear el esmalte dental. Con ello se consigue una importante mejora en la tonalidad de la dentadura.
- Coronas o fundas dentales: Son estructuras que cubren por completo el diente. Se colocan como protección en dientes muy desgastados, debilitados o fracturados. Las fundas dentales son la forma de restauración dental más sólida y permiten modificar la forma y colocación de los dientes, por ejemplo, alineándolos, nivelándolos o corrigiendo ligeramente sus rotaciones.
- Tratamiento de ortodoncia: Sirve para una alineación perfecta. Este es el paso principal antes de lograr unos dientes perfectos.
- Gingivectomía: Para que las encías y los dientes proporcionen la armonía perfecta.
Existen muchos problemas dentales y afecciones que pueden ser tratadas mediante tratamientos mínimamente invasivos y que aportan una alta calidad funcional y estética.
La Importancia de una Dieta Equilibrada
Se dice que somos lo que comemos. Y, por eso, la dieta no solo es importante para la salud general, sino que también lo es para la salud de los dientes. Por ejemplo, si consumes demasiadas bebidas frutales endulzadas, refrescos azucarados o aperitivos poco nutritivos podrías correr el riesgo de tener caries dental.
Una dieta desequilibrada y rica en azúcar aumenta el riesgo de sufrir caries, sobre todo en aquellos susceptibles de desarrollar la enfermedad. El azúcar y el almidón se encuentran en muchos alimentos que no imaginaríamos, como la fruta, el pan, los cereales, la leche o, incluso, las verduras, y tenemos por qué prescindir de ninguno de ellos por esta cuestión. Se trata de llevar una dieta equilibrada y variada.
