Si buscas tener una sonrisa radiante y hermosa, las carillas dentales pueden ser la opción ideal. En nuestra clínica, nos esforzamos por hacer que las carillas dentales de la más alta calidad estén al alcance de todos los zaragozanos.
Si deseas conocer el precio de las carillas dentales, es importante que tengas en cuenta que existen distintos tipos disponibles. Esto no solo se debe a los materiales utilizados en su elaboración, sino que también dependerá de las necesidades específicas del paciente en términos de salud bucal.
Si estás considerando mejorar tu sonrisa con carillas dentales en Zaragoza, es importante saber cuándo este tratamiento es la opción más recomendada:
- Dientes Manchados o Descoloridos: Si tienes dientes que han sufrido decoloración que no se puede corregir con blanqueamiento dental, las carillas son una excelente alternativa.
- Dientes Desiguales o con Espacios: Si tienes dientes desiguales o espacios notorios entre ellos, las carillas pueden ser una solución rápida y eficaz.
- Mejora General de la Sonrisa: Además de corregir problemas específicos, las carillas dentales son ideales para quienes desean una mejora estética general de su sonrisa.
Carillas Dentales Vs Diseño de Sonrisa | Lo que tienes que saber antes de decidir
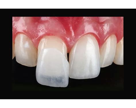
¿Qué son las Carillas Dentales?
¿Pero qué son exactamente las carillas dentales? Son láminas finas y pequeñas que se adhieren a la superficie externa del diente utilizando cemento o resina. De esta manera, se convierten en una especie de funda que recubre el diente, manteniéndolo seguro y firme en su lugar.
El objetivo principal de las carillas dentales es mejorar la estética dental, es decir, no se utilizan para tratar una enfermedad bucal. Sin embargo, pueden utilizarse para cubrir dientes desgastados, corregir la separación entre dientes, corregir decoloraciones, grietas, roturas y mucho más. Las carillas dentales también son una alternativa a los implantes dentales, que pueden ser más complicados de realizar.
Las carillas dentales no solo mejoran el aspecto visual de tu sonrisa, sino que también proporcionan una solución duradera y resistente. No pospongas más ese cambio que llevas tiempo pensando. Si hay algo en tu sonrisa que no te convence -el color, la forma o pequeños defectos-, las carillas dentales pueden ayudarte a transformarla de forma rápida, segura y con resultados naturales.
En nuestra clínica en Zaragoza te acompañamos en cada paso: desde el diagnóstico y el diseño hasta el resultado final. Analizamos tu sonrisa, hablamos contigo sobre lo que te gustaría mejorar y valoramos si las carillas son la mejor opción para ti. Hacemos fotos, escaneos y simulaciones digitales para que veas el posible resultado antes de empezar.

Tipos de Carillas Dentales y sus Materiales
Existen varios tipos de fundas dentales que se clasifican según el material utilizado en su fabricación. Algunos de ellos incluyen las carillas de resina o composite, así como las carillas de porcelana o cerámica. ¿Cuál es la mejor opción? ¿Cuál es el precio de las carillas dentales? Esto dependerá de tu salud bucal individual y de lo que esperes de la reconstrucción de tu sonrisa con las carillas o fundas dentales.
Carillas de Resina o Composite
Las carillas de resina o composite son una opción popular ya que se pueden aplicar directamente en la clínica dental en una sola sesión. Son más económicas que las de porcelana, pero pueden ser menos duraderas y tienden a mancharse con el tiempo.
Las carillas dentales de composite son aquellas que están hechas de una mezcla de resina acrílica y cerámica para lograr una buena dureza de la funda. Para hacerlas resistentes, se someten a una luz alógena potente. Entre las ventajas de las carillas de composite, destaca que son fáciles de restaurar si se rompen o fracturan, lo que significa que el dentista puede hacerlo en el consultorio sin necesidad de enviarlas a un laboratorio.
Entre los inconvenientes, destaca que con el tiempo, el color y brillo de las carillas de composite pueden ir perdiéndose. En cuanto al precio de las carillas dentales de composite, son más económicas que las de otros materiales, lo que las convierte en una opción cada vez más popular entre los pacientes. Sin embargo, el coste dependerá de las necesidades individuales de cada paciente y es recomendable consultar con un profesional dental para conocer el precio exacto pero te contamos que puede variar entre 100-150€ cada carilla.
Carillas de Porcelana o Cerámica
Por otro lado, las carillas de porcelana o cerámica ofrecen una apariencia más natural y duradera, y no se manchan fácilmente. Las láminas dentales conocidas como carillas de porcelana toman su nombre del material del cual están hechas. En los últimos años, las carillas de porcelana han ganado popularidad debido a su capacidad para imitar el esmalte dental de manera efectiva.
Las carillas de porcelana ultrafinas son las de mayor calidad y ofrecen la mejor apariencia estética. Por otro lado, las carillas de porcelana de zirconio son fundas dentales más gruesas que brindan una gran resistencia. Sin embargo, su uso solo está indicado en casos específicos y debe ser evaluado por un dentista profesional. Finalmente, las carillas de porcelana de disilicato de litio son construidas con una combinación de cerámica y vidrio, lo que garantiza una vida útil tres veces mayor que otros materiales similares.
El coste de las carillas de porcelana es más elevado que las de composite, y varía según el tipo de carilla que se elija. En la Clínica Cardona en Zaragoza, se ofrecen precios razonables y competitivos para adaptarse a las necesidades de cada paciente. Sin embargo, es importante tener en cuenta que el coste está relacionado con la calidad del tratamiento y que se deben realizar consultas con el dentista para elegir la carilla adecuada y recibir una evaluación del precio, suele variar entre 420€ y 750€ cada carilla.
¿Cuándo se Recomiendan las Carillas Dentales?
Recomendamos las carillas cuando buscas una solución estética rápida, eficaz y duradera para corregir pequeños defectos o transformar tu sonrisa por completo. Estas son algunas de las situaciones más comunes:
- Dientes manchados o descoloridos.
- Dientes desgastados.
- Espacios entre los dientes.
- Fracturas o ligeras desalineaciones.

Proceso de Colocación de Carillas Dentales
El proceso de colocación de carillas dentales es totalmente personalizado y comienza con un estudio fotográfico, que incluye fotografías extraorales (cara, labios y sonrisa) y fotografías intraorales. A continuación, se realiza un diseño digital de la sonrisa, en el que se ajusta la forma y posición de los dientes a las características de cada paciente, teniendo en cuenta el tipo de rostro, la forma de los labios, el grosor de los labios y la anchura de la boca.
Una vez terminado el diseño digital, se crea una maqueta de la boca del paciente con el diseño final. En muchos casos, realizamos una prueba estética temporal que se coloca sobre tus dientes sin modificar nada. Así puedes ver cómo te quedarían las carillas y decidir con tranquilidad si quieres seguir adelante.
Aunque las carillas son un tratamiento estético, únicamente debe ser realizado por un odontólogo. En el caso de que así sea, la colocación de las carillas se lleva a cabo en la segunda visita. Una vez listas, se colocan y ajustan de forma definitiva. Comprobamos que el color, la forma y la mordida sean perfectos para ti. Es un procedimiento rápido, indoloro y con resultados inmediatos.
Preguntas Frecuentes sobre Carillas Dentales
¿Las carillas dentales requieren cirugía?
No, el tratamiento con carillas dentales no implica ningún tipo de intervención quirúrgica. En la mayoría de los casos no se necesita anestesia, y el paciente no sufre molestias ni inflamación significativa. Es un tratamiento especialmente indicado para quienes desean mejorar la estética dental sin someterse a técnicas agresivas o dolorosas.
¿Para qué tipo de problemas dentales se recomiendan las carillas?
Las carillas dentales son una excelente opción estética para resolver pequeñas imperfecciones visibles en los dientes. No obstante, no sustituyen tratamientos ortodónticos ni solucionan problemas estructurales severos.
¿Cuánto tiempo dura el tratamiento con carillas dentales?
El proceso completo de colocación de carillas suele requerir entre dos y tres sesiones. En el caso de las carillas de composite, pueden aplicarse y dejarse finalizadas en una sola cita. Finalmente, se colocan en una tercera sesión.
¿Duelen las carillas dentales?
No, el tratamiento con carillas dentales es indoloro. La mayoría de pacientes no requiere anestesia, ya que la intervención no implica cortes ni manipulación de estructuras profundas.
¿Puedo elegir el color y la forma de mis carillas?
Sí, una de las principales ventajas del tratamiento con carillas estéticas en Zaragoza es que se puede personalizar totalmente el diseño de la sonrisa.
¿Necesito un estudio previo antes del tratamiento?
Absolutamente. Antes de iniciar cualquier tratamiento con carillas dentales en Zaragoza, realizamos una valoración clínica exhaustiva. Este estudio nos permite analizar la salud bucodental del paciente, la viabilidad del tratamiento y los resultados esperados.
Duración y Cuidados de las Carillas Dentales
Las carillas dentales no son permanentes y generalmente tienen una duración limitada. El tiempo dependerá del tipo de material de las carillas, el cuidado dental que tenga el paciente y otros hábitos personales. No se recomienda sobre todo al inicio de su colocación comer frutos secos, bocadillos, morderse las uñas, etc.
Carillas de porcelana tienden a ser más duraderas que las de resina compuesta (composite). Las carillas de composite son menos duraderas que las de porcelana y su vida útil suele ser de 5 a 7 años. El cuidado adecuado y la higiene dental son esenciales para prolongar la vida útil de las carillas.
Dichas indicaciones se centran en cepillarse los dientes después de cada comida, usar la seda dental, evitar el tabaco, utilizar una férula protectora por las noches y acudir al dentista con la regularidad establecida por este (normalmente, entre una y dos veces al año). Adicionalmente, es aconsejable tener ciertas precauciones al comer alimentos muy duros, disminuir el consumo de comidas o bebidas con mucha coloración y tener cuidado con ciertos movimientos al masticar.
Diseño Digital de Sonrisa (DSD)
Utilizamos el Diseño Digital de Sonrisa (DSD) para planificar tratamientos estéticos con precisión, seguridad y realismo. Mediante escaneos 3D, fotografías clínicas y software especializado, diseñamos digitalmente cómo quedará tu nueva sonrisa, adaptándola a tus rasgos faciales, proporciones dentales y expresividad natural.
En nuestra clínica dental en Zaragoza te ayudamos a recuperar la seguridad en tu sonrisa con tratamientos de estética dental diseñados para ti. Ya sea que busques corregir imperfecciones, mejorar el color o armonizar tus dientes con tu rostro, te ofrecemos soluciones personalizadas, naturales y seguras.
Precios de las Carillas Dentales en Zaragoza
¿Cuánto cuestan las carillas dentales? Esta es una de las preguntas que más nos hacen nuestros pacientes. Sin embargo, no siempre podemos ofrecer la misma respuesta, ya que el precio del tratamiento depende del caso de cada paciente.
Hoy en día, las carillas pueden fabricarse con distintos materiales, como composite o porcelana (disilicato de litio, feldespáticas…). Aunque todos estos materiales presentan unos buenos estándares de calidad, cada uno de ellos cuenta con sus particularidades en términos de estética, resistencia, durabilidad, necesidad de realizar tallado, etc.
Como es lógico, no todas las personas necesitan el mismo número de carillas, ya que esto dependerá de cuáles sean los defectos que se quieran corregir o disimular con el tratamiento. Asimismo, dado que las carillas dentales se colocan en los dientes más visibles, el número que habrá que colocar también dependerá de la amplitud de sonrisa de cada persona.
La experiencia y la formación del odontólogo que realiza el tratamiento también desempeña un papel relevante en el precio de las carillas dentales. Dicho esto, hay que tener en cuenta que algunos tipos de carillas, como las de composite estratificado, pueden requerir un trabajo muy manual durante su diseño y colocación. Dicho esto, sea cual sea la carilla elegida, la visión global y el gusto estético del dentista también determinarán, en gran medida, el éxito del tratamiento.
En España, el precio de un tratamiento con carillas dentales parte de unos 1.120 euros. Sin embargo, hay que tener en cuenta que el precio del tratamiento varía en función del número de carillas que se necesiten. En este punto, tenemos buenas noticias para tu bolsillo, ya que las carillas no se colocan en todos los dientes de la boca, sino únicamente en el frente estético. Normalmente, se ponen en los seis dientes delanteros superiores, que son los más visibles al sonreír: dos incisivos centrales, dos incisivos laterales y dos colmillos.
No obstante, en algunos casos se pueden llegar a colocar carillas en los premolares, por lo que habría que poner diez carillas en total en la arcada superior.
| Tipo de Carilla | Precio Estimado por Carilla | Duración Estimada |
|---|---|---|
| Composite | 100€ - 150€ | 5 - 7 años |
| Porcelana | 420€ - 750€ | 10 - 15 años |
Si estás valorando mejorar tu sonrisa en Zaragoza, aquí tienes la información que necesitas para decidir con tranquilidad. Empieza hoy a cuidar tu sonrisa.
Si precisas de ayuda para cuidar tu salud oral o te gustaría cambiar algún aspecto de tu sonrisa, cuenta con nosotros. Escucharemos qué necesitas y diseñaremos la solución más adecuada para ti.
Es importante que hables con el dentista y discutas todas las opciones de tratamiento disponibles, así como sus ventajas y desventajas, y el coste de cada una, por ello: Ofrecemos una primera visita gratuita.
¿Hemos resuelto tus dudas sobre el precio de las carillas dentales? Si sigues teniendo alguna pregunta, te animamos a llamarnos por teléfono y acudir a una primera consulta gratuita en una de las clínicas Smysecret.