Las carillas dentales son uno de los tratamientos dentales estéticos más demandados actualmente, tanto por su sencillez como por su precio. Las carillas dentales han ido ganando popularidad a medida que la técnica de colocación y los materiales han evolucionado hasta ofrecer una solución estética natural y duradera. Aunque existen otros tratamientos estéticos, las carillas dentales permiten a aquellos pacientes con manchas, fracturas o dientes separados disfrutar de una sonrisa armónica y natural a través de un procedimiento sencillo.
Las carillas dentales se colocan en la superficie frontal de los dientes con la finalidad de mejorar su aspecto. Las carillas son unas láminas finas que se colocan encima de los dientes más visibles (especialmente sobre los incisivos superiores) para disimular defectos en la forma o el color. Su principal objetivo es mejorar el aspecto de los dientes, ya sea para modificar su tamaño, color, forma o posición. Por tanto, tienen una finalidad puramente estética.
En esta completa guía, te explicaremos todo lo que necesitas saber antes de tomar una decisión. Con esta guía, podrás tomar una decisión informada sobre si las carillas son o no la solución adecuada para ti.
Carillas Dentales Vs Diseño de Sonrisa | Lo que tienes que saber antes de decidir
¿Qué son las Carillas Dentales?
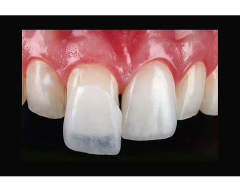
Las carillas dentales son unas láminas muy finas -generalmente inferiores a un milímetro de espesor- que se fijan sobre la parte visible de uno o varios dientes. Las carillas dentales son finas láminas de porcelana o materiales compuestos (composite) del color del diente. Están hechas a la medida de sus dientes, por lo que se adaptan perfectamente a tu sonrisa.
Su objetivo es corregir problemas estéticos (fracturas leves, cambios de color…) o patológicos (originados por caries). Pueden estar hechas de diferentes materiales, pero suelen ser de porcelana o composite. Por lo general, estas últimas suelen confeccionarse en la propia clínica dental con un material fotocurable, igual que el que se usa para hacer los empastes.
En esencia, las carillas dentales permiten solucionar las pequeñas imperfecciones que afectan al color, la forma, el tamaño y la posición de tus dientes, ofreciendo una sonrisa más saludable, juvenil y armónica.
¿Cuándo se Recomiendan las Carillas Dentales?
¿Quién puede llevar carillas dentales y cuándo se recomiendan? En cualquiera de los casos anteriores es necesario que el odontólogo realice una valoración del paciente para determinar si las alteraciones de sus dientes pueden ser corregidas con carillas.
A continuación, te detallamos los casos concretos en los que puede resultar recomendable ponerse carillas para mejorar la apariencia de la sonrisa:
- Dientes amarillos o con manchas: las carillas se pueden utilizar en pacientes que presentan dientes amarillos, decolorados o con manchas. Esto puede deberse a distintas circunstancias (alimentación, tabaco, envejecimiento, fluorosis, consumo de tetraciclinas…).
- Resistencia al blanqueamiento dental: las carillas son un excelente complemento al blanqueamiento. Cuando las tinciones son muy severas, el blanqueamiento puede no ser capaz de eliminarlas por completo. Por tanto, en muchos casos resulta recomendable ponerse carillas en los dientes después del blanqueamiento.
- Dientes desalineados: las carillas también pueden ofrecer un buen resultado estético a los pacientes que tienen ligeras malposiciones dentales, ya que en ocasiones permiten disimularlas. Eso sí, hay que tener en cuenta que para corregir la mayoría de las maloclusiones dentales es necesario recurrir a la ortodoncia.
- Dientes con formas o tamaños irregulares: las carillas se utilizan para corregir pequeños defectos que afectan a la forma de los dientes. Por ejemplo: unos caninos (colmillos) demasiado puntiagudos, un diente más pequeño de lo normal, etc.
- Diastemas: las carillas también están recomendadas para disimular los diastemas o espacios entre los dientes. Si no tienes problemas de mordida, las carillas dentales sirven para corregir espacios interdentales o diastemas y son una buena alternativa a la ortodoncia, si no se presentan problemas de oclusión.
- Dientes desgastados: las carillas se pueden colocar en dientes que presentan desgastes en el esmalte. Esto puede tener su origen en una mordida inadecuada o en el bruxismo. Sin embargo, en estos casos suele ser necesario utilizar ortodoncia o colocar una férula de descarga previamente, dependiendo del caso. De no hacerlo, los desgastes volverán a aparecer.
- Dientes fisurados o fracturados: las carillas también pueden estar indicadas en determinados casos de fisuras o fracturas leves en los dientes.
Tipos de Carillas Dentales
A la hora de elegir un tipo de carillas u otro es necesario acudir a la clínica dental y que sea el odontólogo quien aconseje el tipo de carilla más conveniente, en función de las necesidades de cada paciente.Existen dos tipos principales de carillas: carillas del color del diente (composite) y carillas de porcelana.

Carillas de Composite
Las carillas de composite están hechas de resina compuesta (de ahí el nombre). Las carillas de composite se elaboran directamente sobre los dientes, aplicando el material sobre la parte visible y dándole forma hasta que se consigue el aspecto deseado. Para colocarlas no es necesario preparar el diente previamente, por lo que se trata de un tratamiento mínimamente invasivo.
Las carillas dentales de composite son ideales para restaurar los casos más leves, son más económicas que las de porcelana, pero tienen claras desventajas en cuanto a durabilidad y aspecto. En cuanto a durabilidad, presentan una resistencia menor tanto a roturas como a cambios de coloración.
Carillas de Porcelana
Las carillas de porcelana son láminas de cerámica que se adhieren a los dientes para corregir algunas imperfecciones. Estas carillas se realizan de manera personalizada en un laboratorio. Las carillas de porcelana o cerámica se pueden elaborar con diferentes materiales. Es una combinación de porcelana y vidrio que se emplea con frecuencia en la fabricación de prótesis, puentes, coronas o carillas. Piezas finas de cerámica de feldespato con un grosor de hasta 0.5 mm. Este material es muy apreciado en odontología por su resistencia y su color transparente, de manera que resultan discretas a la vista.
Las carillas de porcelana son más resistentes, duraderas y un poco más caras que las carillas de color del diente. Son más resistentes y duraderas que las de composite, presentan mayor resistencia a la tinción o cambios de color y a fracturas.
Muy buen resultado estético: destacan por su translucidez, es decir, por cómo se refleja la luz a través de la carilla de una manera muy similar al esmalte. Son personalizadas: se realizan en un laboratorio a la medida de cada paciente. Buena durabilidad y resistencia tanto a fracturas como a tinciones.
Carillas de Disilicato de Litio
Estas carillas están fabricadas con disilicato de litio, un material que se caracteriza por su alta calidad, resistencia y naturalidad. El principal beneficio de las carillas de mínima invasión es que su proceso de planificación, diseño y fabricación es guiado y 100% digital. Por tanto, las carillas mínimamente invasivas requieren muy poca o ninguna preparación del diente antes de su colocación. Esto significa que el esmalte dental no se altera significativamente, lo que las convierte en una opción menos agresiva para el diente.
Procedimiento para Colocar Carillas Dentales
El procedimiento de colocación depende del tipo de carillas que vaya a llevar el paciente (porcelana, composite, disilicato de litio…). Dado que existen distintos tipos de carillas dentales, cada una de ellas sigue un protocolo de colocación específico. Sin embargo, todas comparten los principales pasos del proceso.
- Estudio bucodental completo: consta de una exploración oral y la realización de radiografías (panorámicas y periapicales) y fotografías (intraorales y extraorales). Se procede a hacer un estudio basado en fotografías, radiografías, impresiones de la boca y pruebas de color del esmalte.
- Preparación de los dientes: con algunas carillas hay que realizar una mínima reducción del esmalte dental. Este paso suele ser necesario en las carillas de porcelana, pero no en las de composite. La fase previa a la colocación de las carillas reclama que, en la mayoría de los casos, se lleve a cabo un perfilado del esmalte. Este procedimiento es personalizado y es pertinente cuando las irregularidades son notorias. Este pulido es imprescindible para un resultado satisfactorio. Lo único que, como paciente, debes tener en cuenta es que es irreversible. Casi siempre es necesario eliminar algo de material de esmalte del diente. Necesitamos crear un pequeño espacio que ocupará la carilla de porcelana. Esta idea hay que tenerla clara y no dejarse engañar por publicidad engañosa. En nuestra clínica usamos las carillas de porcelana más finas y por lo tanto, eliminamos muy poco esmalte. Al hacer un modelado final, el paciente puede ver cuánto esmalte es necesario eliminar.
- Toma de impresiones: tras preparar los dientes, en el caso de que haya que hacerlo, se toman medidas de los mismos para confeccionar las carillas de manera personalizada.
- Fabricación de las carillas: la confección puede realizarse directamente en la clínica dental (en el caso de las de composite) o encargarse al laboratorio (en el caso de las de disilicato de litio). A continuación, enviará estas medidas a un laboratorio externo donde se crearán las carillas. Después, las carillas se enviarán de nuevo a su dentista, donde se ajustarán a sus dientes.
- Colocación de las carillas: en función del proceso de confección, la técnica de colocación también varía. Las carillas de composite se crean directamente sobre el diente, en una sesión en la clínica dental. En cambio, las carillas mínimamente invasivas (disilicato de litio) se fabrican en el laboratorio y posteriormente se colocan en la clínica dental. En una sesión se preparan los dientes y se toman “medidas” de los dientes. Esta “impresión” se envía al laboratorio. Si ha habido que eliminar diente se pueden colocar carillas provisionales de composite en el momento. A la semana la clínica dental recibe las carillas y con una técnicas minuciosa y precisa se pegan con unos adhesivos especiales al diente.
Ventajas y Desventajas de las Carillas Dentales
Ponerse carillas tiene muchas ventajas. Sin embargo, como todo tratamiento, también existen algunos riesgos a la hora de poner carillas dentales para arreglar los dientes torcidos.
Ventajas
- Versatilidad: Las carillas son muy versátiles ya que permiten corregir múltiples problemas que afectan al aspecto estético de los dientes.
- Mejora de la estética: Al corregir los pequeños defectos de los dientes, las carillas dentales aportan a la sonrisa un aspecto más saludable, juvenil, cuidado y armónico.
- Mínimamente invasivas: Este es uno de los grandes beneficios que ofrecen algunas carillas actuales. Por ejemplo, las de composite no necesitan tallado.
- Mantenimiento sencillo: En términos generales, podemos decir que las carillas dentales no requieren cuidados difíciles o especiales. Es necesario mantener una buena higiene oral, tener precauciones al comer alimentos duros y acudir al dentista entre una y dos veces al año.
Desventajas y riesgos
- Puede ser difícil para usted comer ciertos alimentos: Las carillas pueden hacer que sea más difícil de masticar ciertos alimentos. Si no se tiene cuidado, podría astillarse o romperse las carillas.
- Puede ser difícil mantener los dientes limpios: Como las carillas no forman parte de los dientes naturales, puede ser más difícil limpiarlas.
- Puede haber riesgo de reacción alérgica: Existe un pequeño riesgo de que se pueda desarrollar una reacción alérgica al material de las carillas. Si notas enrojecimiento, hinchazón o irritación alrededor de las carillas, es posible que tengas una reacción alérgica.
- Ante cualquier fractura, no se pueden reparar en la boca.
Cuidados Posteriores y Durabilidad
La duración de las carillas dentales está determinada por diversos factores, como los cuidados que siga el paciente en cuanto a higiene oral, alimentación, tabaco, hábitos, revisiones con el dentista, etc. Adicionalmente, la durabilidad del tratamiento también depende del material con el que están fabricadas las carillas y de la técnica de colocación (directa o indirecta).
Por ello, no resulta posible determinar de antemano cuánto tiempo duran las carillas dentales. Lo que sí podemos decirte es que, con unos cuidados y unos mantenimientos adecuados, son un tratamiento pensado para durar a largo plazo.
Después de colocar las carillas, tendrás que visitar a nuestros dentistas cada seis meses para que te hagan una limpieza y te revisen las carillas. Deberás tener cuidado al comer. También necesitarás limpiar tus carillas regularmente.
Precios de las Carillas Dentales
¿Quieres saber cuánto cuestan las carillas dentales? El precio de las carillas puede variar en función del material, la cantidad de dientes tratados y la complejidad del caso. Además, contamos con planes de financiación para facilitar el acceso a los tratamientos. El precio de las carillas varía según el material elegido. En España, la carilla de porcelana de disilicato de litio cuesta alrededor de 605€, de manera aproximada.
A continuación, puedes ver los precios de las carillas dentales:
| Cantidad de Carillas | Precio (Pago Único) | Financiación |
|---|---|---|
| 6 carillas | 1.107€ | Importe mínimo: 432 €. Ejemplo de financiación para un importe de 1.107.00 € en 36 meses. Comisión de formalización del 2,0%: 22,14 € a pagar en la primera cuota. Primera cuota de 56,55 €. 34 cuotas de 34,41 € y una última cuota de 34,35 €. TIN 7,45% TAE 9,18%.Total intereses: 131,70€. Coste total del crédito: 153,84€. Importe total adeudado y precio total a plazos: 1.260,84€. Precio de adquisición al contado: 1.107,00€. Sistema de amortización francés. Financiación ofrecida por Banco Cetelem S.A.U. válida hasta el 31/12/2025. |
| 8 carillas | 1.396€ | Importe mínimo: 576 €. Ejemplo de financiación para un importe de 1.396,00€ en 48 meses. Comisión de formalización del 2,00%: 27,92€ a pagar en la primera cuota. Importe financiado: 1.396,00€. Primera cuota de 61,64€. 46 cuotas de 33,72€ y una última cuota de 33,81€. TIN 7,45% TAE 8,83%. Total intereses: 222,65€. Coste total del crédito: 250,57€. Importe total adeudado y precio total a plazos: 1.646,57€. Precio de adquisición al contado: 1.396,00€. Sistema de amortización francés. Financiación ofrecida por Banco Cetelem S.A.U. válida hasta el 31/12/2025. |
| 10 carillas | 1.671€ | Importe mínimo: 720€. Ejemplo de financiación para un importe de 1.671,00€ en 60 meses. Comisión de formalización del 2,00%: 33,42€ a pagar en la primera cuota. Importe financiado: 1.671,00€. Primera cuota de 66,86€. 58 cuotas de 33,44€ y una última cuota de 33,73€. TIN 7,45% TAE 8,62%. Total intereses: 335,69€. Coste total del crédito: 369,11€. Importe total adeudado y precio total a plazos: 2.040,11€. Precio de adquisición al contado: 1.671,00€. Sistema de amortización francés. Financiación ofrecida por Banco Cetelem S.A.U. válida hasta el 31/12/2025. |
*Incluye carilla sobre diente de disilicato de litio. Revisión y seguimiento.
tags: #carillas #en #incisivos #superiores