En la industria del entretenimiento, una sonrisa deslumbrante es una carta de presentación crucial. Ya sea en pasarelas, alfombras rojas o en el cine, a menudo vemos a nuestras estrellas favoritas luciendo dientes blancos y perfectos. ¿El secreto? A menudo, se trata de tratamientos de odontología estética como las carillas dentales.

¿Qué son las carillas dentales?
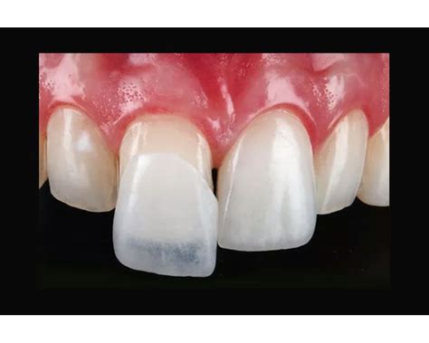
Las carillas dentales son como una capa delgada de composite o porcelana que se coloca en la parte frontal del diente natural para mejorar estéticamente la sonrisa. Son finas láminas que se adhieren al frontal de aquellas piezas dentales que queremos modificar. Suelen medir entre 0,3 y 1 milímetro de espesor.
Las carillas pueden rellenar espacios entre los dientes, alargar dientes cortos e incluso, cubrir dientes torcidos. Blancos, perfectamente alineados y con una forma armónica: es la sonrisa que todos deseamos lucir.
Podemos encontrar diversos modelos de carillas dentales, pero como hemos comentado, las más utilizadas son las de composite y las de porcelana.

Carillas de composite
Las carillas de composite se fabrican directamente sobre el diente aplicando un material compuesto por resina (parecido al que se utiliza en los empastes) y dándole forma cuidadosamente.
Carillas de porcelana
En cambio, las carillas de porcelana deben realizarse en un laboratorio dental ya que están específicamente diseñadas para cada paciente. Para su colocación se precisan de 2 a 3 visitas con el dentista ya que deben realizarse los moldes de nuestra dentadura y en algunas ocasiones, radiografías.
En comparación con las que se realizan con composite, éstas son más resistentes a las manchas de té, café o tabaco. Además, son más eficaces en aquellos casos más graves de decoloración, fracturas o dientes muy desiguales.
Microcarillas: La Última Tendencia
Las microcarillas son lo último en tratamientos de diseño de sonrisa. A diferencia de las carillas tradicionales, las microcarillas son aún más finas y requieren un desgaste mínimo o nulo del diente natural, lo que las hace menos invasivas.
Lumineers: Una Opción Rápida e Indolora
Mientras que las carillas tradicionales suponen un proceso largo que puede llevar meses, la colocación de LUMINEERS es rápida e indolora. Las carillas Lumineers están hechas de porcelana CERINATE, una porcelana muy resistente y extraordinariamente fina.
En una primera consulta se realiza un estudio previo de tu sonrisa y decides cómo quieres que sea tu nueva sonrisa, y pocas semanas después podrás enseñársela al mundo. Pero sin lugar a dudas su mayor ventaja es que con ellas puedes solucionar problemas tan frecuentes como dientes desiguales, pequeños, separados, mal alineados o apiñados.
Blanqueamiento Dental: Otro Secreto de las Celebridades
Otro secreto de la sonrisa de las celebridades es el blanqueamiento dental. Nuestra sociedad tiende a asociar los dientes blancos con la salud, la belleza y la vitalidad. Con el tiempo, nuestros dientes pueden decolorarse y volverse más amarillos como resultado del desgaste del esmalte dental, pero también por nuestro estilo de vida o por los tratamientos con medicamentos fuertes.
Una pasta de dientes blanqueadora podría hacer el truco si las manchas son leves.

La mejor manera de blanquear los dientes
Smylife: La Clínica Dental de los Famosos
Smylife es una clínica bucodental reconocida a nivel mundial por ser el lugar preferido de los famosos y actores en Madrid, para el cuidado de su salud oral. Con más de 13 años de experiencia en el campo de la odontología, Smylife se ha convertido en un referente en la industria gracias a su equipo de dentistas altamente capacitados y a la excelencia en su atención al paciente.
Con más de 13 años de experiencia en el campo de la odontología, Smylife ha acumulado un amplio conocimiento y experiencia en el cuidado dental. Si buscas un dentista famoso, Smylife se ha ganado la confianza de celebridades de gran renombre, quienes buscan los servicios de esta clínica para mantener una sonrisa saludable y radiante.
El equipo de Smylife cuenta con especialistas en odontología estética que realizan desde blanqueamiento y ortodoncia invisible hasta carillas de porcelana y diseño de sonrisa, así como el tratamiento de problemas dentales más complejos como los implantes dentales y la rehabilitación oral.
Smylife se destaca por su enfoque personalizado y holístico en cada tratamiento dental.
Ortodoncia: Alinear para una Sonrisa Saludable
Alinear los dientes con ortodoncia es una manera segura de hacer que tu sonrisa sea más saludable, juvenil y atractiva. La ortodoncia es la rama de la odontología que trata la maloclusión. Es decir, los dientes no están correctamente posicionados cuando la boca está cerrada.
Esto resulta en una mordida incorrecta y puede provocar grandes problemas tanto orales, como de la salud en general.
Gemas Dentales: ¿Una Moda Aconsejada?
En los últimos tiempos, algunas estrellas del espectáculo adornan sus dentaduras con joyas. Se trata de perlas o brillantitos que dan colorido a sus dientes. Pero…¿es aconsejable someterse a esta moda?
Los doctores González-García y Sastre Pérez concluyen que las gemas más habituales y conocidas son aquellas en las que no es necesario eliminar ningún tipo de material dental o masa dental, pues se emplea una adhesión o pegado sobre el esmalte. Estas permiten que no haya un daño del diente, así que la vitalidad y viabilidad de este es completa.
La colocación de piercings o gemas dentales puede parecer una moda actual, pero en realidad la práctica de pegar e incrustar brillantes en los dientes se ha realizado durante miles de años, principalmente con fines religiosos o rituales.
Las gemas dentales son coloridos cristales montados en una lámina delgada de aluminio. Se colocan normalmente en los dientes anteriores o frontales.
Las caries y el deficiente cepillado dental pueden ser un riesgo de ésta práctica ya que los piercings pueden acumular placa bacteriana y restos de alimentos.