¿Alguna vez te has fijado en la dentadura perfecta de las estrellas del cine y la televisión? Ahora puedes conocer su secreto: Las carillas estéticas. Conocidas también como facetas o carillas dentales, las carillas estéticas son unas láminas muy finas que se adhieren a la superficie del diente, cubriendo y corrigiendo todo tipo de imperfecciones.

En Dental Care Barcelona sabemos que los problemas estéticos en los dientes, como manchas, fracturas, espacios o desgaste, pueden afectar la apariencia de tu sonrisa y tu autoestima. En este artículo, te brindaremos una guía completa sobre los diferentes tipos y materiales de carillas dentales, así como el proceso de colocación.
¿Qué son las carillas dentales?
Pero ¿sabes qué son las carillas dentales? Las carillas dentales son unas finas láminas que se colocan en la superficie frontal de los dientes con la finalidad de mejorar su aspecto. Las carillas dentales son láminas delgadas y personalizadas que se adhieren a la parte frontal de los dientes para mejorar su apariencia estética. Estas láminas están diseñadas para cubrir imperfecciones y crear una sonrisa más brillante y atractiva.
Las carillas dentales son uno de los tratamientos estéticos más solicitados en la actualidad. A la hora de elegir este tratamiento estético, debes saber que existen diferentes tipos de carillas dentales entre las cuales puedes elegir en función de los materiales utilizados en su fabricación. Permiten solucionar las pequeñas imperfecciones que afectan al color, la forma, el tamaño y la posición de tus dientes. Sonrisa más saludable, juvenil y armónica. Las carillas son un tratamiento que principalmente tiene fines estéticos. Sin embargo, hay que tener en cuenta que no pueden solucionar todos.
¿Cuándo es necesario colocar carillas dentales?
El principal motivo para la colocación de carillas dentales es mejorar la estética de los dientes. Corregir la forma de los dientes: Piezas desalineadas, demasiado pequeñas, torcidas o con aristas irregulares pueden ser cubiertas por carillas dentales, proporcionando una forma más simétrica y regular a tu dentadura. Solucionar problemas de desgaste: El bruxismo, la fricción excesiva durante el cepillado o la abrasión química causada por ciertos alimentos o bebidas pueden desgastar los dientes.
Las carillas dentales se utilizan, normalmente, para resolver ciertos problemas dentales. Con el tiempo, el desgaste dental puede hacer que los dientes se vean desiguales o desgastados. Las carillas permiten solucionar varios problemas coexistentes. Las carillas dan un mejor aspecto en color y forma a los dientes. Las personas que habitualmente optan por un tratamiento de carillas son aquellas que quieren mejorar su imagen estética, especialmente el color, la forma y la posición de los dientes.

Las carillas dentales pueden solucionar una amplia variedad de problemas. Tipicamente los dientes poco apinados, con forma irregular, dientes rotos o fracturados, desgastados, separados (diastemas), envejecidos, con manchas.
A continuación, te detallamos los casos concretos en los que puede resultar recomendable ponerse carillas para mejorar la apariencia de la sonrisa:
- Dientes amarillos o con manchas: las carillas se pueden utilizar en pacientes que presentan dientes amarillos, decolorados o con manchas.
- Resistencia al blanqueamiento dental: las carillas son un excelente complemento al blanqueamiento.
- Dientes desalineados: las carillas también pueden ofrecer un buen resultado estético a los pacientes que tienen ligeras malposiciones dentales, ya que en ocasiones permiten disimularlas.
- Dientes con formas o tamaños irregulares: las carillas se utilizan para corregir pequeños defectos que afectan a la forma de los dientes.
- Diastemas: las carillas también están recomendadas para disimular los diastemas o espacios entre los dientes.
- Dientes desgastados: las carillas se pueden colocar en dientes que presentan desgastes en el esmalte.
- Dientes fisurados o fracturados: las carillas también pueden estar indicadas en determinados casos de fisuras o fracturas leves en los dientes.
Tipos de carillas dentales
Existen diferentes tipos de carillas dentales disponibles, para que puedas elegir la opción adecuada según tus necesidades y preferencias. No todas las carillas estéticas son iguales. Principalmente, existen dos tipos: carillas de porcelana y carillas de composite. Existen diferentes tipos de carillas, pueden ser de porcelana/ceramica o de composite, cada material tiene sus pros y sus contras, y antes de elegir el material es importante saber cual es la base de la que se parte y hasta donde quieres llegar.
En las clínicas Smysecret contamos con dos tipos de carillas dentales:
- Carillas mínimamente invasivas
- Carillas de composite
Carillas de porcelana
Son las más populares debido a los excelentes resultados estéticos que ofrecen. Una vez colocadas, las carillas dentales de porcelana o cerámica son prácticamente indistinguibles de los dientes naturales del paciente. Su brillo y color las hacen ideales para tratamientos de odontología estética. Son las que más calidad y duración ofrecen. Es por ello que es el material que cuenta con más demanda en nuestra clínica dental.
Reconocidas por su apariencia natural y durabilidad excepcional. Fabricadas a medida en un laboratorio dental, estas carillas se adhieren permanentemente a la superficie dental. La porcelana imita la apariencia de los dientes naturales y ofrece una resistencia superior a las manchas. Las carillas de porcelana, al utilizar este material, cuentan con la ventaja de que resisten muy bien a las manchas. Además, la porcelana tiene un aspecto muy similar al de los dientes naturales cuando estos están sanos y blancos. Además, las carillas de porcelana pueden corregir problemas como el desgaste de los dientes, así como cubrir piezas astilladas o rotas.
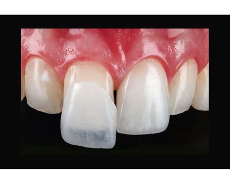
Las carillas de porcelana son una finas laminas que se adhieren sobre tu diente pulido o minimamente rebajado de su forma original. Que no te mientan, son muy pocos los casos en que es posible colocar una carilla sin esta preparacion previa, aunque sea minimamente (por ej.: 0,02 mm) el esmalte del diente se debe rebajar un poco, de lo contrario la carilla se nota abultada, sobresale y no se unifica bien con la encia. Las carillas de porcelana para tu mayor comodidad se colocan con anestesia local (solo se duerme la zona a tratar de tu boca) y dependiendo de la cantidad de carillas a colocar el tratamiento puede durar de 45 min.
Carillas de resina vs carillas de porcelana ¿Cuál es mejor?
Carillas de composite
Estas carillas se fabrican de manera directa sobre las propias piezas dentales aplicando unas resinas compuestas llamadas composite. Las carillas de composite las utilizamos para arreglar pequeñas imperfecciones. Suele ser restauraciones de piezas anteriores que son menos visibles. Su duración media es de unos 12 años. En este caso, si la carilla está intacta, se vuelve a adherir. Si se ha roto, sencillamente se vuelve a hacer otra en pocos días.
Opción más asequible y menos invasiva en comparación con las carillas de porcelana. Estas carillas se aplican directamente sobre los dientes y se moldean y esculpen en el consultorio dental. Las carillas dentales de composite están fabricadas en una resina sintética denominada composite, como cita su nombre. Estas carillas sí requieren la preparación del diente, por lo que son permanentes.
Las carillas de composite, un material fabricado con varias resinas compuestas, tienen la ventaja de que son reversibles. El trabajo previo con los dientes es mínimo, por lo que no los altera de forma permanente. Por otra parte, tienen la desventaja de que no imitan tan bien el esmalte de los dientes como las de porcelana. Además, al ser la resina un material poroso, pueden mancharse y son susceptibles de sufrir astillados o fracturas.
El composite es una pasta facilmente moldeable que se aplica directamente sobre tu diente y despues se le aplica una luz azul que endurece (polimeriza) el material manteniendo sus cualidades de color y translucidez. Si has tenido una caries, ya sabes lo que es el composite! esta resina compuesta es exactamente el mismo material que se usa para los empastes o restauraciones que vuelven a dar forma a tus dientes despues de una caries. Las carillas de composite se colocan sin anestesia y en muy pocos casos se necesita rebajar el diente, y si es necesario sera lo minimo posible para que la capa de material logre mimetizarse con tu diente natural y no se note la union de donde empieza la carilla o restauracion.
Carillas sin preparación o mínimamente invasivas
Estas carillas son ideales para aquellos que desean conservar la mayor cantidad posible de estructura dental natural. Las carillas sin preparación o mínimamente invasivas, también conocidas como carillas de lente de contacto dental, son ultrafinas y se adhieren directamente a la superficie de los dientes existentes sin la necesidad de tallar o reducir el esmalte dental.
Carillas de zirconio
Opción de alta gama para aquellos que buscan la máxima estética y resistencia. El zirconio es un material cerámico extremadamente duradero y translúcido, que imita la apariencia de los dientes naturales de manera excepcional. Estas carillas son altamente resistentes a las manchas y ofrecen resultados duraderos.
El proceso de colocación de las carillas dentales
El procedimiento de colocación depende del tipo de carillas que vaya a llevar el paciente (porcelana, composite o disilicato de litio). Sin embargo, algunos de los pasos del proceso son similares. Dado que existen distintos tipos de carillas dentales, cada una de ellas sigue un protocolo de colocación específico. Sin embargo, todas comparten los principales pasos del proceso.
Valoración inicial: El odontólogo evalúa la situación y escucha tus expectativas sobre cómo deseas que luzca tu sonrisa. Realizará un examen estético-facial detallado y las pruebas necesarias para que visualices el resultado final antes de iniciar el tratamiento. Al igual que con las carillas de porcelana, con las de composite el especialista en estética dental debe examinar la boca.
El proceso de colocación de carillas de porcelana incluye:
- Durante este proceso, el odontólogo examinará los dientes del paciente para asegurarse de que es apto para recibir el tratamiento y si es más adecuado realizarlo con carillas de porcelana o composite.
- En segundo lugar, se preparará el diente a tratar. Esta preparación consiste en eliminar de la superficie del diente parte del esmalte.
- En tercer lugar, se tomarán las impresiones.
- El cuarto paso consiste en colocar las impresiones de las carillas ya terminadas. Para poder hacerlo, hay que preparar el diente, en un proceso que consiste en limpiar, pulir y grabar la pieza dental.
- El quinto y último paso será ajustar esta colocación. Para ello, se eliminará cualquier exceso del cemento especial utilizado.
Los pasos a seguir para la colocación de las carillas dentales son:
- Estudio bucodental completo: consta de una exploración oral y la realización de radiografías (panorámicas y periapicales) y fotografías (intraorales y extraorales).
- Preparación de los dientes: con algunas carillas hay que realizar una mínima reducción del esmalte dental. Este paso suele ser necesario en las carillas de porcelana, pero no en las de composite.
- Toma de impresiones: tras preparar los dientes, en el caso de que haya que hacerlo, se toman medidas de los mismos para confeccionar las carillas de manera personalizada.
- Fabricación de las carillas: la confección puede realizarse directamente en la clínica dental (en el caso de las de composite) o encargarse al laboratorio (en el caso de las de disilicato de litio).
- Colocación de las carillas: en función del proceso de confección, la técnica de colocación también varía. Las carillas de composite se crean directamente sobre el diente, en una sesión en la clínica dental. En cambio, las carillas mínimamente invasivas (disilicato de litio) se fabrican en el laboratorio y posteriormente se colocan en la clínica dental.
¿Qué es mejor carillas de porcelana o composite?
En el caso de las carillas no hay mejor ni peor, la eleccion del tipo de carilla que te conviene depende de la complejidad y extension del problema a tratar. En general podemos decir que las carillas de composite son geniales para casos sencillos de cambio de forma en pocos dientes, si el cambio que necesitas es en varios dientes o tu caso es complejo, las carillas de porcelana son tu solucion. Si lo que deseas es un cambio radical de tu sonrisa, digamos que quieres modificar los 6/8 dientes que se ven mas al sonreir, es probable que tu carilla sea la de porcelana. Modificar el color de los dientes y que el resultado sea natural, es una de las tareas mas complicadas que hay, si esta es tu situacion probablemente tu opcion a elegir sean carillas de porcelana.
A pesar de las diferencias entre ambos tipos de carillas, no se puede decir que unas sean mejores que otras en todos los casos. Aunque las de porcelana son más resistentes y pueden ser más duraderas, las carillas de composite son las más recomendables para los jóvenes y en casos donde es posible que se necesiten realizar modificaciones posteriores, ya que son un tratamiento completamente reversible.
¿Cuáles son las garantías de las carillas dentales?
Al igual que en la mayoría de tratamientos dentales, es imprescindible que el paciente mantenga una buena higiene dental. La duración de las carillas dentales está determinada por diversos factores, como los cuidados que siga el paciente en cuanto a higiene oral, alimentación, tabaco, revisiones con el dentista, etc. Adicionalmente, la durabilidad del tratamiento también depende del material con el que están fabricadas las carillas y de la técnica de colocación (directa o indirecta). Por ello, no resulta posible determinar de antemano cuánto tiempo duran las carillas dentales. Las carillas de porcelana pueden durar con buenos cuidados de 10 a 15 anos. higiene diaria correcta, minimo 2 min.
¿En qué casos no están recomendadas las carillas dentales?
Hay situaciones en las que no te recomendamos colocar carillas, tanto de porcelana como de composite. Recuerda que debes tomar en cuenta que hay casos en los que esta contraindicado poner carillas, como por ejemplo en casos de bruxismo, maloclusiones que requieran de ortodoncia previa o mala higiene dental. A pesar de que las carillas están recomendadas en una gran cantidad de situaciones, lo cierto es que también presentan alguna contraindicación. Las más relevantes son las siguientes:
- Mordida borde a borde: En este tipo de mordida, los dientes superiores chocan directamente contra los inferiores cuando la persona cierra la boca. La mordida borde a borde, por tanto, provoca que las carillas se rompan y se caigan. En estas situaciones, al igual que en otros casos de maloclusión, será necesario recurrir a la ortodoncia antes de colocar las carillas.
- Bruxismo que no recibe tratamiento: Algo parecido sucede con el hábito de apretar y/o rechinar los dientes. Los pacientes con bruxismo tienden a presentar grandes desgastes en sus piezas dentales, lo que las debilita y hace más propensas a fracturas.
- Coloraciones muy intensas. Como es el caso de manchas por tetraciclinas en un grado muy severo, en este caso la solucion pasa por tallar el diente mas de lo requiere una carilla y colocar coronas, es decir cubrir el diente por todas sus caras.
- Hábitos que danan tus dientes.
- Enfermedades gingivales y periodontales.
- Bruxismo severo o apretar los dientes inconscientemente durante la noche y/o dia.
- Ausencia o esmalte pobre o dañado (hipoplasia). Cuando existe esta condicion en el diente, el esmalte suele ser rugoso e imposibilita que las carillas se ashiran correctamente, por lo que muchas veces es mas recomendado otro tipo de tratamientos dependiendo de la severidad (coronas, implantes dentales o protesis removibles).
- Apiñamientos moderados y grandes.
- Relaciones intermaxilares desfavorables, es decir, una diferencia entre la anchura del maxilar superior y el maxilar inferior que hacen que no muerdas correctamente (mordida cruzada, sobremordida).
- Pacientes con mal estado general, enfermedades crónicas avanzadas, malignas o descompensadas.
Precios de las carillas dentales
¿Quieres saber cuánto cuestan las carillas dentales? El precio de las carillas puede variar en función del material, la cantidad de dientes tratados y la complejidad del caso. Además, contamos con planes de financiación para facilitar el acceso a los tratamientos. A continuación, puedes ver los precios de las carillas dentales:
| Número de carillas | Precio |
|---|---|
| 6 carillas | Pago único 1.107€ |
| 8 carillas | Pago único 1.396€ |
| 10 carillas | Pago único 1.671€ |
En Dental Care Barcelona, tu clínica dental de confianza en el centro del Eixample de Barcelona, sabemos que una sonrisa saludable es fundamental para tu bienestar y confianza. Estaremos encantados de recibirte y poder diseñar juntos tu sonrisa perfecta.