Si estás buscando perfeccionar tu sonrisa, seguramente te hayas planteado esta pregunta: ¿fundas dentales o carillas? Es común que muchas personas no sepan exactamente la diferencia entre ambos tratamientos. Ambos tratamientos son populares en estética dental, especialmente en clínicas especializadas en Madrid. En este artículo, te guiaremos a través de las diferencias clave entre carillas dentales y fundas dentales.
¿Qué son las Carillas Dentales?
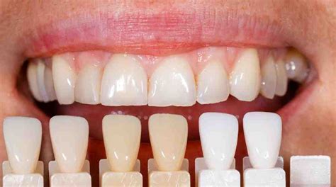
Las carillas dentales son un tratamiento de estética dental en el que se colocan por encima de la cara delantera del esmalte de las piezas dentales unas pequeñas láminas de cerámica. Las carillas dentales son delgadas láminas personalizadas hechas de porcelana o resina compuesta que se adhieren a la superficie frontal de los dientes. Estas carillas están diseñadas para mejorar la estética de los dientes al corregir imperfecciones cosméticas, como decoloración, irregularidades en la forma, desgaste o espacios entre los dientes. Ideal para dientes estructuralmente sanos.

Ventajas de las Carillas Dentales
- Ofrecen una apariencia natural con mínima invasión.
- Proporcionan resultados rápidos y dramáticos. Puedes transformar tu sonrisa en solo unas pocas visitas a la clínica.
- Requieren una cantidad mínima de eliminación de esmalte dental en comparación con otras opciones de restauración dental, como las coronas. Esto significa que conservan la mayor parte de la estructura dental natural.
- Son ideales si están sanos pero con imperfecciones estéticas.
Las carillas se utilizan, principalmente, por razones estéticas. Es decir, para mejorar la apariencia de los dientes y corregir pequeños defectos relacionados con su color, forma, tamaño y posición.
Casos Comunes para el Uso de Carillas
- Dientes manchados, pequeños, separados o con forma irregular.
- Dientes con alteraciones en el color (manchados, descoloridos…) que no responden lo suficiente a un blanqueamiento dental, por lo que necesitan ser reforzados con carillas.
- Dientes astillados, rotos o desgastados.
- Dientes ligeramente desalineados.
- Dientes con formas o tamaños poco estéticos.
Duración de las Carillas
Las carillas duran entre 8 y 15 años. En lo que respecta a su durabilidad, no existen grandes diferencias entre las carillas y las fundas. En este aspecto lo que marca la diferencia es el material, no el tratamiento en sí.
¿Qué son las Fundas Dentales?
Las fundas dentales (también conocidas como coronas dentales) son coberturas completas que envuelven todo el diente. Las fundas dentales son unas piezas que se encargan de imitar una pieza dental natural. La aplicación de este tratamiento se suele utilizar en casos en que el paciente ha perdido parte de la estructura de la pieza dental, para después poder tallarlo y colocar una corona o un implante.

Ventajas de las Fundas Dentales
- Las coronas dentales tienen aplicaciones tanto funcionales como estéticas.
- Las coronas dentales son altamente duraderas y resistentes a las fuerzas masticatorias.
- Proporcionan una protección más completa y una restauración funcional.
Por su parte, las coronas, aunque también pueden mejorar la estética, se usan sobre todo para mejorar la salud y la funcionalidad de la boca.
¿Cuál Es El Mejor 𝐌𝐚𝐭𝐞𝐫𝐢𝐚𝐥 En 𝐂𝐨𝐫𝐨𝐧𝐚𝐬 𝐃𝐞𝐧𝐭𝐚𝐥𝐞𝐬? La Elección Acertada 𝐙𝐢𝐫𝐜𝐨𝐧𝐢𝐚 vs 𝐌𝐞𝐭𝐚𝐥-𝐏𝐨𝐫𝐜𝐞𝐥𝐚𝐧𝐚
Casos Comunes para el Uso de Fundas Dentales
- Recomendadas cuando hay pérdida estructural importante.
- Dientes que han sufrido daños severos en su estructura. Las fundas se usan para restaurar dientes seriamente dañados por caries, desgastes o traumatismos. Como consecuencia, han perdido gran parte de su estructura y se encuentran muy debilitados, por lo que necesitan ser reforzados con una corona.
- Dientes que han sido sometidos a una endodoncia, lo que suele suceder por una caries extensa o un traumatismo severo.
- Dientes naturales perdidos. Las fundas también se usan para reemplazar los dientes naturales que se han perdido. En estos casos, lo que puede hacerse es reponer la ausencia dental con un implante y posteriormente colocar una corona.
Materiales de las Fundas Dentales
Se fabrican con dióxido de circonio, pero las carillas dentales más innovadoras y estéticamente perfectas son las veneer cerámicas Emax, creadas a base de disilicato de litio. Las fundas dentales fabricadas con circonio tienen una elevada resistencia, un aspecto natural y de calidad estética.
- Metal porcelana: Se trata de un núcleo metálico revestido de porcelana en su cara externa. En Clínica DentalBaron hacemos coronas de metal porcelana para el sector posterior de la boca, ideal para muelas o premolares endodonciados o muy dañados.
- Porcelana: Están hechas solo de porcelana, sin elementos metálicos. Son las que mejor apariencia te brindan, imitando casi a la perfección el diente natural.
- Zirconio: Las propiedades del metal circonio es que es translucido y de ahí que brinde mucho más estética.
Diferencias Clave entre Carillas y Fundas Dentales
| Característica | Carillas Dentales | Fundas Dentales |
|---|---|---|
| Cobertura | Solo cubren la cara visible del diente. | Envuelven el diente por completo. |
| Objetivo | Mejorar la estética. | Restaurar la estructura y función del diente. |
| Preparación del diente | Mínima, a veces ninguna. | Requiere tallado del esmalte. |
| Durabilidad | 8-15 años. | Similar a las carillas, depende del material. |
| Costo | Generalmente menos costosas. | Generalmente más costosas. |
- Cobertura: Las carillas solo cubren la cara visible del diente, mientras que las fundas lo envuelven por completo.
- Objetivo: Las carillas buscan mejorar la estética. La carilla se utiliza principalmente para fines estéticos.
- Preparación del diente: En el caso de las carillas dentales no es necesario ningún tipo de acción previa a su colocación sobre el esmalte. Sin embargo, en el caso de las fundas dentales es necesario eliminar parte del esmalte de las piezas dentales en las que se vayan a colocar. Al ser tan finas, las carillas requieren una preparación previa del diente mínima. De hecho, algunas carillas, especialmente las de composite, se pueden colocar sin tallar el diente. Por su parte, las coronas son ligeramente más gruesas, por lo que su colocación requiere realizar un mayor tallado del esmalte.
- Colocación: Las carillas son unas finas láminas que se adhieren en la cara visible de los dientes. En cambio, las fundas cubren completamente el diente, ya que se colocan encima de la pieza dental. En este punto, otra de las principales diferencias entre las carillas y las fundas es que las primeras, al tener un propósito estético, solo se colocan en los dientes visibles al sonreír. Para colocar la corona se debe tallar en una primera cita el diente sobre el que se va a ubicar. Luego en la siguiente cita se cementa al colocarla, para lograr una unión muy firme.
- Material y duración: Ambas pueden fabricarse en porcelana o zirconio.
- Costo: Generalmente, las carillas son menos costosas debido a su colocación menos invasiva.
¿Cuándo Elegir Carillas o Fundas?
Elegir entre carillas y fundas dentales puede ser una elección difícil si no conocemos bien las ventajas de cada una y sus aplicaciones. Depende del estado de tus dientes. Depende de las necesidades que tenga cada paciente, se puede elegir entre el tratamiento de carillas o fundas dentales. La elección entre una carilla y una funda depende de las necesidades individuales de cada paciente, por lo que antes de decidirse por un tratamiento u otro es necesario contemplar distintos aspectos.
Consideraciones Clave
- Estado de tus dientes: Evalúa la salud y condición de tus dientes. Si tienes dientes dañados, debilitados o con caries extensas, es probable que necesites una solución más completa, como una corona dental.
- Objetivos estéticos: Define tus objetivos estéticos. ¿Deseas una sonrisa más blanca y uniforme? Las carillas dentales son ideales para esto.
- Ubicación de los problemas: Considera dónde se encuentran los problemas en tu sonrisa.
- Durabilidad y mantenimiento: Piensa en cuánto mantenimiento estás dispuesto a realizar.
- Presupuesto: Consulta tu presupuesto y opciones de financiamiento.
Mitos Comunes
¿Las carillas dañan los dientes?
No, siempre que se coloquen adecuadamente sobre dientes sanos y se mantenga una buena higiene. Respecto a este último punto, en Clínica Dobleese seguimos un proceso de colocación de carillas mínimamente invasivo, ya que trabajamos con carillas de porcelana ultrafinas (muy delgadas).