La salud bucal es esencial para una vida plena y saludable. Una sonrisa radiante no solo mejora nuestra autoestima y confianza, sino que también es una señal de buena salud. Las carillas dentales son una solución estética que permite mejorar la apariencia de los dientes en poco tiempo.
En este artículo, te proporcionaremos toda la información necesaria sobre los tipos de carillas dentales y precios, para que tomes decisiones informadas y ajustadas a tu presupuesto y expectativas estéticas.
¿Conoces los TIPOS de CARILLAS DENTALES? ✨ El mejor tratamiento ESTÉTICO para tu sonrisa👄
¿Qué son las Carillas Dentales?
Las carillas dentales son láminas ultrafinas de porcelana o resina que se colocan en la parte visible del diente natural para mejorar su apariencia. Se adaptan perfectamente a la pieza dental y se fijan con una resina especial, logrando un resultado muy natural y duradero. Sin duda, son una opción ideal para aquellos que buscan mejorar la estética de la sonrisa de forma rápida y efectiva.

¿Cuándo se Recomienda la Colocación de Carillas Dentales?
La colocación de carillas dentales se recomienda cuando se quiere mejorar la estética dental. Los pacientes que desean corregir problemas de color, tamaño, forma o posición de los dientes pueden optar por este tratamiento estético.
Es importante mencionar que la colocación de carillas dentales no es un tratamiento médico, sino estético. Por lo tanto, es esencial que el paciente tenga una buena salud bucal antes de someterse a este procedimiento.
Tipos de Carillas Dentales
Existen varios tipos de tratamiento con carillas dentales disponibles para satisfacer las necesidades de cada paciente. Cuando se trata de transformar una sonrisa, es fundamental identificar qué clase de carillas dentales están disponibles. En Clínica Ferrus & Bratos, entendemos que elegir un procedimiento de estética dental es una elección relevante.
Carillas de Composite
Las carillas dentales de composite están hechas de una resina sintética que se adhiere a la superficie de la pieza dental del paciente con un adhesivo especial. Son ideales para corregir pequeñas imperfecciones y para aquellos que buscan una solución más temporal o menos invasiva. Además, su coste reducido en comparación con otras opciones las convierte en una elección popular entre quienes buscan optimizar su sonrisa sin un gran desembolso. Son particularmente útiles en casos donde se busca una transformación notable pero asequible.
No obstante, para tener una idea aproximada del presupuesto, el precio medio de las carillas de composite es de 295 euros por diente.
Carillas de Porcelana o Cerámica
Las carillas dentales de porcelana o cerámica son las más populares y de mayor calidad. Están hechas de una cerámica extremadamente resistente y duradera y se adhieren a la superficie del diente utilizando un cemento especial. Las carillas de porcelana son muy resistentes a las manchas y al desgaste, y proporcionan un resultado muy natural y armonioso. Simbolizan la excelencia en estética dental. En nuestra clínica colaboramos con laboratorios de prestigio para diseñar piezas totalmente individualizadas. Su resistencia y similitud con el diente natural las convierten en la opción ideal para quienes desean una sonrisa armónica y de larga duración. Su proceso de fabricación incluye la selección de tonalidades, simulaciones digitales y un tallado preciso, garantizando un resultado estético superior. Aunque su inversión es mayor, su durabilidad y naturalidad respaldan el coste.
Las carillas de porcelana requieren solo dos citas una vez el diseño de sonrisa y estudio están definidos.
Carillas de Zirconio
Las carillas de zirconio son una alternativa más reciente y se están convirtiendo en una opción popular entre los pacientes. Están hechas de una cerámica de alta resistencia, el zirconio, y proporcionan un resultado muy natural y duradero.
A continuación, una tabla comparativa de los diferentes tipos de carillas:
| Tipo de Carilla | Material | Durabilidad | Resistencia a Manchas | Naturalidad | Precio (aproximado) |
|---|---|---|---|---|---|
| Composite | Resina sintética | Hasta 5 años | Media | Buena | 295€ por diente |
| Porcelana | Cerámica | Hasta 15 años | Alta | Excelente | Variable (superior al composite) |
| Zirconio | Cerámica de alta resistencia | Alta | Alta | Muy buena | Variable (similar a porcelana) |
Proceso de Colocación de Carillas Dentales
La colocación de carillas dentales es un procedimiento sencillo y mínimamente invasivo que generalmente se realiza en dos o tres visitas al dentista. El proceso de colocación suele requerir varias visitas al dentista.
- Consulta inicial: En la primera consulta, el dentista examinará los dientes del paciente, tomará radiografías y discutirá los objetivos estéticos del tratamiento. Se evaluarán las expectativas del paciente, así como su respectiva viabilidad. Se realizará una fotografía de la dentadura y un análisis de los rasgos faciales para comparar con mayor facilidad el antes y el después del tratamiento.
- Preparación de los dientes: En la siguiente visita, el dentista preparará los dientes para la colocación de las carillas. Esto puede implicar la eliminación de una pequeña cantidad de esmalte dental de la superficie del diente, lo que permitirá que la carilla se adhiera mejor. Es lo que se conoce como tallado dental. El dentista realiza un tallado mínimamente invasivo en los dientes frontales donde se colocarán las carillas.
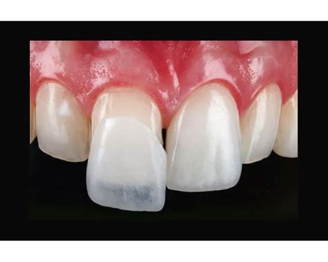
- Carilla provisional: Se fabrica un primer molde de escayola y posteriormente se coloca cera para realizar la corrección dental deseada. A partir de ello se fabrica una carilla provisional de silicona (Mockup) para que el paciente confirme su comodidad y apariencia. Mientras que las carillas dentales de alta estética están en el laboratorio, se le pondrá al paciente unas carillas provisionales fijas. Las carillas dentales provisionales se utilizan como prueba estética en el paciente.
- Colocación de las carillas: En la tercera y última visita, el dentista retira las carillas provisionales y coloca las carillas definitivas con un cemento especial. Antes de hacerlo, comprobará que encajen perfectamente en los dientes y que el color y la forma sean adecuados. Una vez que las carillas estén listas, se verificará que tengan la forma y color deseados.
- Ajuste y pulido: Una vez colocadas las carillas, el dentista las ajustará para asegurarse de que encajen correctamente y se sientan cómodas en la boca. Luego, se realiza un ajuste y pulido final para lograr un resultado perfecto y natural.
- Adhesión de las carillas: Se limpiarán y acondicionarán los dientes preparados para asegurar una buena adhesión de las carillas. Se aplicará un adhesivo dental especial y las carillas se colocarán cuidadosamente sobre los dientes.
- Cuidado y seguimiento: El especialista proporcionará instrucciones sobre el cuidado adecuado de las carillas dentales de alta estética.
En general, el proceso de colocación de carillas dentales es un procedimiento seguro y efectivo que mejora significativamente la apariencia de los dientes y la sonrisa del paciente. Es importante tener en cuenta que el proceso de colocación de las carillas dentales puede variar según las necesidades y el caso individual de cada paciente.

¿Cuál es el Precio de las Carillas Dentales?
El coste de las carillas dentales en Madrid puede variar significativamente dependiendo del material, la cantidad de piezas y la técnica empleada. En nuestra clínica, ofrecemos una relación calidad-precio clara que asegura resultados sobresalientes. El precio de las carillas varía según el material elegido.
Una de las dudas más comunes que recibimos es: ¿cuánto cuesta colocar carillas en todos los dientes visibles? El presupuesto total dependerá del número de carillas requeridas (normalmente entre 8 y 10 por arcada) y del material elegido. En Ferrus & Bratos, cada procedimiento es único. Nuestros tratamientos incluyen una planificación detallada y simulaciones digitales estéticas.
El precio de una carilla dental en nuestra clínica en Madrid oscila entre 250 € y 1200 € por unidad.
Ventajas de las Carillas Dentales
Las carillas dentales ofrecen múltiples ventajas a aquellos que buscan mejorar la apariencia estética de su sonrisa.
- Estética: Las carillas dentales te permiten tener una sonrisa más blanca y uniforme y al mismo tiempo corregir una amplia gama de imperfecciones dentales, como manchas, decoloración, fracturas, astillamientos, desgaste dental y malformaciones.
- Naturalidad: Las carillas de alta estética, especialmente las de cerámica, se diseñan y personalizan para que se vean y se sientan como dientes naturales. Además, tienen propiedades reflectantes de la luz similares al esmalte dental.
- Durabilidad: Las carillas dentales de alta estética son altamente resistentes y duraderas. Las carillas dentales de porcelana tienen una duración mayor que las de composite, pudiendo resistir en perfectas condiciones hasta 15 años, y además no pierden su color ni se tiñen. Esta duración depende en gran medida de que el paciente siga las instrucciones de su odontólogo relativas a mantenimiento y cuidados. En contraposición, la duración de las carillas dentales de composite es de un máximo de cinco años aproximadamente. Para llegar a este plazo, es necesario acudir a revisiones de mantenimiento y que el dentista realice el pulido de las carillas dentales. Además, será más fácil que las carillas dentales duren cinco años en buen estado si el paciente sigue unos buenos hábitos en cuanto a higiene y dieta.
- Conservación del tejido dental: Las carillas dentales requieren una mínima eliminación de la estructura dental natural.
- Procedimiento mínimamente invasivo: La colocación de carillas dentales implica un proceso menos invasivo en comparación con otros tratamientos estéticos, como los implantes dentales.
- Resistente a la pigmentación: Las carillas dentales, especialmente las de cerámica, son altamente resistentes a las manchas por lo que no se decoloran fácilmente con el consumo de alimentos y bebidas pigmentadas, como café o vino tinto. Las carillas de porcelana y zirconio son altamente resistentes a las manchas gracias a su superficie lisa y no porosa. No se tiñen con café, té, vino tinto ni tabaco como los dientes naturales.
Consideraciones Adicionales
- ¿Las carillas dañan los dientes?: Hoy en día, podemos decir que, gracias a los avances y a las últimas tecnologías en Odontología Estética, las carillas dentales no dañan los dientes. Tradicionalmente, las carillas dentales de composite siempre han exigido tallar menos el diente que las de porcelana. Dicho esto, la necesidad de realizar el tallado depende de dos factores: la posición y el color. Si ambos aspectos son adecuados, no será necesario hacerlo. En cambio, si el diente se encuentra excesivamente adelantado o tiene un color muy amarillo sí que es necesario “tocar” la pieza dental. En estos casos, se llevará a cabo un tallado dental bajo anestesia local. El tallado es fundamental para que las carillas se integren naturalmente sin parecer voluminosas.
- ¿Se pueden blanquear las carillas?: No, las carillas dentales no se pueden blanquear. Por ello, antes de colocarse una carilla es necesario asegurarse de que el color es el adecuado. Esto se consigue mediante las pruebas que realiza el odontólogo al paciente, en las que se determina cuáles son el color, la forma, el tamaño o la posición más adecuados. Además, a la hora de pensar en el color también es importante tener en cuenta el grosor de la carilla. La mayoría de las carillas estéticas que colocamos en nuestra clínica dental de Madrid son E-max o Lumineers. Esto quiere decir que tienen un grosor mínimo y que, además, son translúcidas para aportar naturalidad. Por tanto, si el color de nuestros dientes es amarillo y colocamos la carilla encima, este tono se transparentará y la sonrisa tendrá un aspecto amarillento.
- ¿Es doloroso el procedimiento?: No, el procedimiento de colocación de carillas no es doloroso. Se realiza bajo anestesia local, por lo que no sentirás molestias durante el tallado ni la cementación. Después del tratamiento, puede haber sensibilidad dental leve durante los primeros días, especialmente a temperaturas frías o calientes, pero esta sensibilidad suele desaparecer en una o dos semanas.
- ¿Qué ocurre si una carilla se daña?: No necesariamente. Si una carilla se daña, solo esa pieza necesita ser reemplazada.
- ¿Es un proceso irreversible?: El proceso de colocación de carillas es irreversible porque requiere tallar el esmalte dental. Una vez colocadas, los dientes siempre necesitarán algún tipo de restauración (nuevas carillas o coronas).
¿Cómo Elegir la Clínica Dental Adecuada?
Después de comprender toda la información sobre precios, tipos de carillas, procesos y consideraciones, es fundamental elegir la clínica dental adecuada para tu tratamiento.
- Diseño Digital de Sonrisa (DSD): Utilizamos software especializado que permite visualizar tu nueva sonrisa antes de iniciar el tratamiento.
- Escáneres intraorales 3D: Olvidate de las incómodas impresiones tradicionales con pasta. Nuestro equipo está formado por odontólogos con formación específica y actualizada en estética dental.
- Experiencia demostrable: Contamos con un extenso portfolio de casos reales que puedes consultar durante tu primera visita.
- Enfoque personalizado: Entendemos que cada sonrisa es única.
tags: #carillas #provisionales #de #resina