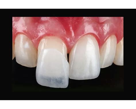
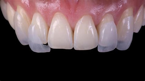
Las carillas dentales son un tratamiento odontológico que se emplea en pacientes que necesitan mejorar la apariencia estética de su sonrisa. Consiste en colocar una funda acrílica sobre el diente que imita su apariencia. Para ello se estudia el tono, brillo, tamaño y curvatura del diente para procurar que encaje con el resto de piezas y resulte lo más natural posible. Este procedimiento estético puede llevarse a cabo en toda dentadura o en alguna pieza dental, según las necesidades de cada paciente. Normalmente se realiza en el frente anterior que va desde el canino de un lado, al canino del otro lado, que es la parte que queda visible al sonreír. La colocación de las carillas dentales es una técnica mínimamente invasiva cuyos resultados confieren, en la mayoría de los casos, un aumento en la autoestima del paciente.

¿Qué tipos de carillas existen?
Las carillas dentales pueden ser de dos tipos:
- Carillas de resina o composite
- Carillas de porcelana o cerámica
Carillas de resina o composite
Son confeccionadas en la propia consulta del odontólogo (normalmente experto en estética dental) empleando resina acrílica o composite, que es el mismo material que se utiliza en la obturación de los dientes afectos de caries. Su grosor suele ser de 0,3-0,5 mm. Para colocar una carilla de composite es necesario preparar la cara del diente donde se va a adherir mediante un mínimo fresado de la superficie y un grabado ácido que garantice la fijación del cemento adhesivo y del composite. Tras la colocación del composite o material acrílico se pasará la fresa de pulido sobre la superficie para garantizar la calidad estética deseada. En cada visita odontológica suelen colocarse una o dos carillas. Puede requerirse anestesia para la preparación de la superficie dental antes de colocarse la carilla.
Carillas de porcelana o cerámica
Las carillas de porcelana o cerámica se elaboran en el laboratorio dental a partir de las impresiones o moldes tomados en la consulta dental. Tienen un aspecto similar al de una uña postiza y se colocan sobre la cara expuesta del diente. La ventaja es que pueden colocarse todas las carillas en una única sesión y no es necesaria la infiltración de anestesia. En ambos casos la adhesión al diente se realiza mediante el empleo de un material adhesivo específico que le confiere estabilidad, dureza y resistencia al desgaste. Los resultados son excelentes, aunque el precio es mucho más elevado en caso de carillas realizadas en el laboratorio.

Precios de las carillas dentales
El cuanto al precio de las carillas de resina normalmente son más económicas, entre 150-200 euros cada una. Aunque en ocasiones no es necesaria la cobertura completa de toda la cara expuesta por lo que el precio podría ser inferior. En cuanto a las carillas de porcelana o cerámica su precio unitario el algo más elevado, pudiendo costar cada carilla entorno a los 600 euros.
El coste de las carillas dentales en Madrid puede variar significativamente dependiendo del material, la cantidad de piezas y la técnica empleada. En la Clínica Dental Dobleese, los precios de las carillas dentales varían según el tipo de material y la complejidad del tratamiento. Como habrás podido comprobar, en el precio de las carillas dentales influyen varios factores. El presupuesto total dependerá del número de carillas requeridas (normalmente entre 8 y 10 por arcada) y del material elegido. Oscila entre 250 € y 1200 € por unidad.
En Ferrus & Bratos, ofrecemos una relación calidad-precio clara que asegura resultados sobresalientes. En nuestra clínica colaboramos con laboratorios de prestigio para diseñar piezas totalmente individualizadas. En la Clínica Dental Dobleese, entendemos que el costo de las carillas dentales puede ser significativo. Por ello, ofrecemos opciones de financiación del tratamiento dental para facilitar su acceso.

Tabla Comparativa de Precios
| Tipo de Carilla | Precio Aproximado por Unidad | Ventajas | Desventajas |
|---|---|---|---|
| Resina o Composite | 150-200 € | Más económicas, colocación rápida | Menor durabilidad, pueden mancharse |
| Porcelana o Cerámica | 600 € | Mayor durabilidad, aspecto natural, resistentes a manchas | Más costosas |
¿Cómo se colocan?
Las carillas dentales se colocan sobre la cara visible del diente a través del uso de un material adhesivo específico que permite que la funda se adhiera de forma permanente al diente. Antes de ello, se analiza el estado del diente para asegurarse de que esté sano. Si vamos a colocar varias carillas, debemos elaborar un diseño personalizado de toda la boca, idealmente con una simulación virtual que permita al paciente hacerse una idea de cuál será el resultado final.
Las carillas dentales se encuentran actualmente dentro los tratamientos dentales estéticos más solicitados. Este tratamiento es perfecto para dientes afectados por pequeñas imperfecciones. Desalineaciones, apiñamiento, manchas o pequeñas fracturas.
Hay personas que están interesados en llevar carillas dentales para mejorar su sonrisa pero tienen malposiciones muy severas. Esto hace que los profesionales recomienden al paciente la posibilidad de llevar ortodoncia. Cuando el paciente no tiene una buena mordida (clase II, clase III, mordida cruzada…) las carillas dentales también pueden estar contraindicadas porque hay riesgo de rotura.
Muy duraderas en el tiempo. Aproximadamente 10 años. La gran mayoría de pacientes que llevan carillas dentales se muestran muy satisfechos con su elección.
Microcarillas dentales sin tallado
Existen diferentes tipos de carillas dentales pero unas de las más demandadas hoy en día son las carillas dentales sin tallado o mínimamente invasivas o microcarillas. Éstas se realizarán en casos en los que existan:
- Dientes pequeños o cortos.
- Cambios definitivos de color.
- Dientes inclinados/mal posicionados.
Para empezar, las carillas dentales son una cubierta fina que se pone sobre la superficie de los dientes. Se han vuelto muy populares dentro de la odontología estética porque ayudan a mejorar enormemente los dientes. Esta cubierta podrá parecer delgada, pero tiene gran resistencia, razón por la cual mucha gente las elige, además de ofrecer un aspecto totalmente natural. Las carillas pueden ser de diferentes materiales, como porcelana, composite y están las microcarillas dentales sin tallado.
Hay personas que no se animan a usar carillas dentales porque convencionalmente se realiza un tallado a la superficie del diente a tratar. Ese es el caso de las microcarillas dentales sin tallado, en donde ese fragmento que se busca mejorar se coloca encima del diente afectado o dañado. En lugar de cubrir todo el diente, como ocurre con la carilla dental, lo que se hace es colocar solo el fragmento necesario. El resultado es sumamente natural, sin tallar ni causar otro tipo de agresiones hacia la superficie dental.
Por ejemplo, si hay una fractura de un diente frontal por traumatismo como un golpe o caída, se aplican las microcarillas dentales sin tallado. En lugar de añadir material al diente, por ejemplo, una resina, lo que se hace es colocar una microcarilla. El problema con la aplicación de resina es que muchas veces la coloración del diente no es la misma, además de que tal vez no haya una buena fijación del material. En cambio, al aplicar las microcarillas dentales sin tallado el resultado es sumamente natural, profesional y perfecto. Nadie notará que hubo daño en tu diente o que falta un fragmento o borde al no cambiar el color, siendo esta una de las principales ventajas de las microcarillas dentales.
Otros casos en los que se sugiere el tratamiento de microcarillas dentales sin tallado es para dar un efecto estético a los dientes. Por ejemplo, se recomienda utilizar este procedimiento cuando los bordes de los dientes de por sí son irregulares, son desiguales o no tienen el tamaño adecuado. En estos casos se evalúa tu dentadura para sugerir si este tipo de procedimiento odontológico estético es para ti. Eso sí, los resultados son magníficos y por eso nuestros pacientes quedan más que satisfechos.
¿Cómo se realiza el procedimiento con microcarillas dentales sin tallado?
- En la primera visita: realizaremos un escaneado oral 3D de tus dientes. ¡Olvídate de los moldes para tener una impresión de tu dentadura, todo lo haremos por ordenador!
- Una vez que tengamos este escaneado oral 3D, para la segunda visita: realizaremos un mockup, una prueba en un material de resina que asemejará a lo que queremos realizar para que tengas una idea previa de lo que podremos obtener, que servirá para que veas en boca y en pantalla cómo lucirás con este cambio de sonrisa. Mostraremos tu resultado antes de colocártelo definitivamente de forma virtual. En esta visita también revisaremos la coloración de tus dientes para que las microcarillas dentales sin tallado sean exactamente de ese tono.
- En la tercera visita: colocamos las microcarillas dentales, sin tallar, sin pinchazos dolorosos ni incomodidad.

¿Conoces los TIPOS de CARILLAS DENTALES? ✨ El mejor tratamiento ESTÉTICO para tu sonrisa👄
Opiniones de pacientes sobre las carillas dentales
La forma más sencilla de saber si este es el tratamiento indicado para ti es conociendo la opinión de nuestros pacientes con carillas dentales.
¿Pero qué opinan nuestros pacientes de las carillas dentales? A continuación, hemos preparado para ti una lista de las ventajas de las carillas más destacadas por nuestros pacientes.
- “Empecé mi tratamiento con ellos hace un mes y el trato está siendo inmejorable y excelente. Ayer me colocaron los Brackets y no puedo estar más contento."
- “Médicos maravillosos recomendable para todo el mundo."
- “Atención inmejorable, personal súper atento y profesional."
- “El Dr. Ferrer lleva viéndome a mi, y a toda mi familia, desde que me alcanza la memoria y siempre ha sido un profesional excelente, atento, cuidadoso y cariñoso. Precios realmente competitivos y una calidad humana del equipo inmejorable. Se preocupan por el paciente, te hacen sentir seguro de estar en buenas manos y te resuelven inmediatamente cualquier duda o problema que surja."
- “El doctor Ferrer es dueño de mi sonrisa. El trato ha sido siempre maravilloso y los precios los mejores de Madrid. Me han puesto varios implantes y el resultado es super natural."
- “Excelente trato tanto profesional como humano."
- “Soy Paciente desde hace tres años, el Dr Jorge Ferrer me ha puesto implantes, y fue todo satisfactorio. Son grandes profesionales los Drs Ferrer padre e hijo."
- “Es mi dentista desde 1988, un profesional excelente en el que confío con los ojos cerrados."
- “Buen profesional, es mi dentista desde El año 1999, no puedo estar mas contento con su trato y su profesionalidad. Su hijo también es un excelente dentista, y la atención del resto del personal es de 10."
- “Magnífico equipo, con una atención extraordinaria. Estoy muy feliz con mi tratamiento realizado."
- “Una muy buena experiencia con lo q es el dentista."
- “Altamente recomendable. Por trato, calidez, calidad, rapidez y dedicación. Son profesionales que ofrecen un servicio impecable, escuchan tus problemas y preguntas y responden con honestidad."
- “Recomiendo esta Clínica por su excelente trato y profesionalidad. La relación calidad / precio son inmejorables."
- “Me he realizado ortodoncia y blanqueamiento, estoy encantada con el resultado. Los doctores me hacen sentir como en familia, son excelentes tanto en lo personal como en lo profesional."
- “Excelente trato y profesionalidad en todas las especialidades (implantes, ortodoncia, etc). Siempre te explican lo que te están haciendo para que lo entiendas."
- “Me recomendaron la clínica para realizarme unos empastes y dos implantes. Estoy muy satisfecho con el doctor Francisco Ferrer y con todo el equipo, además los precios son muy accesible."
- “Clínica muy bien situada. El trato es muy cercano y familiar, son muy profesionales!!! Me tratan genial, son amables, te aconsejan y te explican tranquilamente por qué tomar una decisión u otra con tu boca."
- “Después de que el doctor Jorge Ferrer le pusiera a mi marido implantes y prótesis fija, decidí dejar mi miedo en casa y me atreví a que me pusiera hueso e implantes para así dejar mi dentadura postiza. Por ello mi agradecimiento a la tranquilidad y seguridad que me dio."
- “Extraordinaria clínica dental por su trato, profesionalidad y precio. Fui por recomendación de un amigo que vive en Madrid y estoy contentísimo. Muchas gracias al Dr."
- “Unos profesionales. Buenas instalaciones y lo mejor el trato y la atencion que te da todo el equipo. Mi caso no era facil, con un diente desplazado y un hueco demasiado grande para una pieza y demasiado pequeño para 2. Sin embargo el dr. Ferrer ha conseguido un resultado optimo, con una corona y un implante. Escuchó mis necesidades y no ha parado hasta conseguir el mejor resultado. Solo puedo decir cosas buenas de cada una de las veces que me han atendido."
- “Me recomendaron esta clínica, y la verdad es que no se equivocaron. Excelente equipo. Lo recomiendo."
- “Profesionales de confianza y dedicación."
- “Muy profesionales en sus actuaciones y el trato súper agradable . Un diez para el personal , os lo recomiendo sin duda alguna ."
- “Mi experiencia en esta clínica ha sido muy buena."
- “Como muchos por lo q leo en otras reseñas, fui a esta clínica dental por recomendación de una amiga, y creo q esa es la mejor prueba de satisfacción de un cliente, que te recomiende a los suyos...ahora son los dentistas de toda mi familia. Trato humano inmejorable desde q entras por la puerta y gran trato profesional, sin NADA de dolor y con los mejores resultados. Ponerte allí un implante q es lo q más nos asusta a todos son 15 minutos, sin q te enteres ni del pinchazo de la anestesia y sin tener después ni la más mínima molestia o inflamación, con tal resultado estético q después de un tiempo se lo quieres enseñar a alguien y....tienes serias dudas de q diente no es tuyo de serie!!"
- “Clinica de confianza, muy buen trato y calidad/precio inmejorable."
- “Me realicé un tratamiento de blanqueamiento, y he quedado totalmente satisfecho. Un equipo muy profesional junto con un trato cercano y amable."
- “Siempre he tenido un poco de miedo a ir al dentista pero después de venir aquí, tras una recomendación de una amiga, solo puedo decir que estoy encantada!"
- “Me recomendaron esta clínica dental y estoy muy contenta. Son un equipo muy profesional y atento."
- "Depuis mon arrivée à Madrid, j'ai cherché pendant longtemps un bon dentiste. Ce cabinet dentaire est excellent."
tags: #carillas #removibles #amazon