Las carillas dentales se han consolidado como uno de los tratamientos de estética dental más demandados y efectivos. En este artículo, exploraremos los diferentes tipos de carillas, sus precios, el proceso de colocación y los cuidados necesarios para mantener una sonrisa radiante.

¿Qué son las Carillas Dentales?
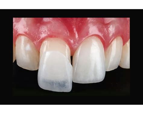
Las carillas dentales son unas delgadas piezas que se colocan en la superficie frontal de los dientes. Su principal objetivo es estético, pero también pueden aportar un refuerzo estructural a dientes debilitados. A diferencia de las coronas dentales, que cubren todo el diente, las carillas son una opción más conservadora, ya que en muchos casos requieren una mínima o nula preparación del esmalte dental.

Tipos de Carillas Dentales: Composite o Porcelana
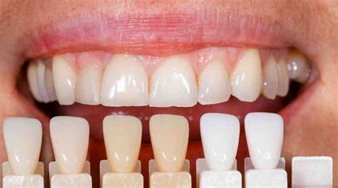
Una de las decisiones más importantes es la elección del material de tus carillas. Trabajamos con dos materiales de última generación: el composite y la porcelana. Cada uno tiene sus propias características, ventajas e indicaciones.
Carillas de Composite: Precisión en una Sola Sesión
Las carillas de composite están elaboradas con una resina sintética de alta resistencia que se moldea directamente sobre el diente. El odontólogo aplica el material por capas, moldeando la forma, el tamaño y el color que el paciente desea en cada uno de los dientes que lleven carillas.
Ventajas de las carillas de composite:
- Rapidez: Generalmente, se pueden colocar en una única visita, lo que te permite disfrutar de tu nueva sonrisa de inmediato.
- Mínimamente invasivas: En la mayoría de los casos, no es necesario limar el esmalte dental, preservando la estructura natural de tus dientes.
- Fácilmente reparables: Si una carilla de composite se astilla o se daña, puede repararse de forma sencilla en la propia clínica.
- Coste más asequible: Suelen tener un precio inferior al de las carillas de porcelana, lo que las convierte en una excelente opción para presupuestos más ajustados.
Consideraciones sobre las carillas de composite:
- Con el tiempo, pueden tender a la tinción si no se mantiene una higiene rigurosa y se abusa de alimentos y bebidas con alta pigmentación como el café, el vino tinto o el tabaco.
- Su durabilidad, aunque buena, es inferior a la de las carillas de porcelana, estimándose una vida útil de entre 5 y 10 años con los cuidados adecuados.
Carillas de Porcelana: Estética y Durabilidad
Las carillas de porcelana se fabrican a medida en un laboratorio dental a partir de impresiones precisas de tus dientes. Se utilizan materiales cerámicos de última generación, como el disilicato de litio o la alúmina, que ofrecen una resistencia y una belleza única.
Ventajas de las carillas de porcelana:
- Estética superior: La porcelana tiene una translucidez y un brillo muy similares al del esmalte natural, lo que proporciona un resultado realista e imperceptible.
- No se tiñen: Este material no se ve afectado por las manchas, por lo que el color de tus carillas permanecerá inalterable con el paso del tiempo.
- Máxima durabilidad: Son extremadamente resistentes al desgaste y a las fracturas. Con un cuidado adecuado, pueden durar entre 15 y 20 años, e incluso más.
- Biocompatibilidad: La porcelana es un material muy bien tolerado por los tejidos gingivales, lo que ayuda a mantener unas encías sanas.
Consideraciones sobre las carillas de porcelana:
- El proceso de colocación requiere al menos dos visitas a la clínica. En la primera, se preparan los dientes (si es necesario un mínimo tallado) y se toman las impresiones. En la segunda, se colocan las carillas definitivas.
- Su coste es superior al de las de composite, reflejando la alta calidad del material y el trabajo de laboratorio que conllevan.

¿Soy Candidato para las Carillas Dentales?
Las carillas dentales son una solución versátil para una amplia gama de problemas estéticos:
- Diastemas o espacios entre los dientes: Son una excelente opción para cerrar pequeños espacios interdentales y lograr una sonrisa más uniforme.
- Dientes con formas o tamaños irregulares: Si tienes dientes conoides (en forma de cono) o de un tamaño desproporcionado respecto al resto, las carillas pueden armonizar tu sonrisa.
- Ligeras malposiciones dentales: En casos de dientes ligeramente torcidos o apiñados, las carillas pueden ofrecer una alternativa a la ortodoncia, siempre y cuando la oclusión sea correcta.
Es importante destacar que, para poder colocar carillas dentales, es fundamental tener una buena salud bucodental.
El Proceso de Diseño de Sonrisa
La obtención de una sonrisa perfecta con carillas dentales es un proceso meticuloso y personalizado que se desarrolla en varias fases:
- Primera Visita y Diagnóstico Personalizado: Comenzamos con una consulta en la que escucharemos atentamente tus deseos y expectativas. Realizaremos un examen bucodental completo, que incluirá radiografías y fotografías. Gracias a nuestra apuesta por la odontología digital, utilizaremos un escáner intraoral para obtener un modelo 3D de tu boca.
- Diseño Digital de Sonrisa (Digital Smile Design - DSD): Mediante un software avanzado de diseño de sonrisa, te mostraremos una simulación de cómo quedarán las carillas en tu boca antes de empezar el tratamiento. Podrás participar activamente en el diseño, eligiendo la forma, el tamaño y el color de tus futuros dientes, siempre con nuestro asesoramiento experto para lograr un resultado natural y armónico con tus rasgos faciales.
- Preparación y Colocación: Si has optado por carillas de porcelana, en la siguiente cita se procederá a una mínima preparación de la superficie dental, si fuera necesario, para asegurar una correcta adhesión. Tomaremos las impresiones definitivas que se enviarán al laboratorio para la confección de tus carillas a medida. Si es necesario, mientras tanto, llevarás unas carillas provisionales. En el caso de las carillas de composite, todo el proceso de estratificación y modelado se realizará en esta misma cita.
- Cementado Final:En la última visita, y tras probar que el ajuste y la estética de las carillas de porcelana son perfectos, se procederá a su cementado definitivo utilizando adhesivos de alta resistencia. Puliremos los márgenes y realizaremos los ajustes finales para garantizar una transición imperceptible entre la carilla y el diente.
Carillas Lumineers
Las carillas LUMINEERS se diseñan a medida para darte la bonita sonrisa que siempre soñaste. A diferencia de las carillas tradicionales, no hay pinchazos, ni tallado de la estructura sensible del diente ni dolor. Son reversibles, así que no tienes nada que perder y sí una bonita sonrisa que ganar.

LUMINEERS son ultra finas (aproximadamente 0.3mm) y altamente traslúcidas, lo cual les permite replicar la apariencia natural del esmalte. Debido a que son muy delgadas, en muchos casos se conseguirá un encaje perfecto sin pinchazos ni tallado de la estructura del diente.
Precios de las Carillas Dentales
El precio de las carillas dentales estéticas puede parecer dispar si comparas entre diferentes opciones. Como hemos comentado anteriormente, podemos elegir entre el composite y la porcelana para confeccionar las carillas. Sin embargo, la calidad y beneficios del segundo material supera con creces al composite.
En nuestra clínica de Badalona, el precio de las carillas dentales varía según el material con que las elaboremos. El coste de este tratamiento oscila entre los 290 € y los 430€ por carilla. En caso de querer carillas dentales de porcelana de canino a canino superior (incluido el mock up), el precio es desde 2.930€.
El precio de las carillas dentales puede variar dependiendo de varios factores:
- Material: Hay diferentes materiales disponibles para la confección de las carillas dentales, como el composite y la porcelana. La calidad y los beneficios de la porcelana suelen superar al composite, es un material más costoso pero que vale la pena elegir.
- Tecnología: En las clínicas dentales más avanzadas se utilizan tecnologías de última generación para obtener los mejores resultados posibles. Por ejemplo, se emplean escáneres intraorales 3D para planificar la fabricación de las carillas dentales en un ordenador y lograr el tono exacto deseado.
- Experiencia del profesional: La experiencia y habilidad del dentista que realiza el tratamiento también pueden influir en el precio de las carillas dentales. Es importante contar con un profesional especializado en Estética Dental que se dedique exclusivamente a mejorar la apariencia de la sonrisa.
Los precios de las carillas dentales pueden variar considerablemente debido a varias razones. En primer lugar, cada clínica dental puede ofrecer diferentes garantías y utilizar diferentes materiales en el procedimiento. Estos dos aspectos pueden influir significativamente en el costo final del tratamiento estético. Además, incluso dentro de la misma clínica dental, los precios de las carillas dentales pueden diferir porque cada paciente tiene necesidades dentales únicas y, por lo tanto, puede requerir un tratamiento personalizado.
Aquí te presento algunos de los principales aspectos que influyen en el costo de este tratamiento:
- Hay diferentes materiales disponibles para la confección de las carillas dentales, como el composite y la porcelana. La calidad y los beneficios de la porcelana suelen superar al composite, es un material más costoso pero que vale la pena elegir.
- En las clínicas dentales más avanzadas se utilizan tecnologías de última generación para obtener los mejores resultados posibles. Por ejemplo, se emplean escáneres intraorales 3D para planificar la fabricación de las carillas dentales en un ordenador y lograr el tono exacto deseado.
- La experiencia y habilidad del dentista que realiza el tratamiento también pueden influir en el precio de las carillas dentales. Es importante contar con un profesional especializado en Estética Dental que se dedique exclusivamente a mejorar la apariencia de la sonrisa.
El presupuesto para carillas dentales incluye una serie de servicios y elementos esenciales para garantizar un resultado óptimo:
- Toma de fotografías y registros.
- Colocación de carillas provisionales (en caso necesario).
- Explicación del estudio de diseño de sonrisa, prueba de mock-up y toma de moldes.
- Colocación de carillas definitivas.
- Pruebas estéticas.
- Citas necesarias durante el tratamiento hasta conseguir el resultado óptimo.
- Revisiones al finalizar el tratamiento.
- Garantía de 3 años en caso de rotura o fractura de las carillas (en algunos casos).
Es importante señalar que al considerar la colocación de carillas, es necesario evaluar los dientes que se muestran de manera prominente al sonreír. Normalmente, las carillas se colocan en la fila superior de dientes, de canino a canino. Sin embargo, no siempre es imprescindible aplicar carillas en todos los dientes. La necesidad de carillas puede variar según cada caso individual y, como resultado, el coste total puede verse influido. Factores como el tipo de material utilizado y la necesidad de tratamientos adicionales o estudios avanzados también pueden afectar el precio final.
¿Conoces los TIPOS de CARILLAS DENTALES? ✨ El mejor tratamiento ESTÉTICO para tu sonrisa👄
Financiación de las Carillas Dentales
Sí, ofrecemos diversas opciones de financiación para pagar por las carillas dentales. Nuestro objetivo es ayudarte a obtener el tratamiento que necesitas, por lo que hemos puesto a disposición de nuestros pacientes facilidades de pago, que incluyen:
- Financiación del 100% del tratamiento en plazos de 6, 12, 18, 24 y 36 meses, intereses y comisiones dependiendo del plazo elegido.
- Además, también ofrecemos descuentos por pronto pago, para aquellos pacientes que prefieren realizar el pago total de manera anticipada.
Estas opciones de financiación permiten distribuir el coste del tratamiento de carillas dentales en pagos mensuales asequibles, ofreciendo flexibilidad y comodidad a nuestros pacientes.
Posibles Problemas y Cómo los Evitamos
Aunque las carillas dentales son un tratamiento muy seguro y con una alta tasa de éxito, es importante conocer los posibles problemas que pueden surgir y cómo un equipo experimentado como el nuestro los previene:
- Sensibilidad dental: Una ligera sensibilidad post-tratamiento es normal y suele desaparecer en pocos días. Un tallado dental conservador y el uso de materiales de calidad minimizan este riesgo.
- Inflamación de las encías: Un ajuste impreciso de la carilla puede irritar la encía. En nuestra clínica, la precisión del escaneado digital y el meticuloso trabajo de laboratorio aseguran un sellado perfecto que protege la salud gingival.
- Fracturas o desprendimientos: La elección de materiales de alta resistencia como el disilicato de litio y una correcta técnica de adhesión son clave para prevenir roturas. Además, en casos de pacientes con bruxismo (rechinamiento de dientes), recomendamos el uso de una férula de descarga nocturna para proteger tanto las carillas como los dientes naturales.
- Aspecto artificial: El temido «efecto chicle» o de dientes demasiado blancos y uniformes es fruto de una mala planificación. Nuestro enfoque en el diseño de sonrisa personalizado, teniendo en cuenta la edad, el sexo, los rasgos faciales y el color de los dientes adyacentes, garantiza un resultado natural y elegante.
¿Cómo Cuidar las Carillas Dentales?
Conservar en buen estado las carillas dentales es imprescindible para poder hacer que duren el mayor tiempo posible. Aunque las carillas son extremadamente resistentes, hay que tener en mente que son láminas muy finas que se adhieren a los dientes. Por esta configuración, tienen cierto grado de fragilidad.
- Evita morder objetos.
- Realiza una buena higiene oral: Tras cada cepillado, es recomendable usar hilo dental junto con un enjuague. Es importante realizar una o dos visitas al dentista al año, para poder realizar una limpieza dental profesional.
- Evita comer alimentos duros o pegajosos: Consumir alimentos duros o pegajosos puede llegar a romper o despegar las carillas dentales. Por esto se debe de evitar comer turrones, hielo, bocadillos o chicle.
- Evitar alimentos que tiñen los dientes: De la misma manera que ocurre con los dientes naturales, hay ciertos alimentos que manchan las carillas dentales. Este hecho ocurre especialmente con las carillas hechas de composite, ya que son más sensibles a los cambios de coloración. Al contrario, las carillas de porcelana son más resistentes al cambio de color, y no sufren decoloración con el tiempo.
- El tabaco afecta negativamente a la salud: Al igual que los alimentos, el tabaco también tiñe las carillas de composite. Además de ser perjudicial para la salud, es nocivo para el blancor de las carillas.
- Las personas que sufren de rechinamiento de dientes, además de poner en riesgo la dentadura, dañan las carillas dentales. Recomendamos el uso de férulas de descarga nocturnas cuando los pacientes sufren de bruxismo.
¿Cuánto Duran las Carillas Dentales?
La duración de las carillas dentales depende del material elegido, del cuidado oral y de los hábitos del paciente. Mientras que las carillas de porcelana pueden durar hasta 20 años, las de composite son una alternativa válida con una duración de entre 5 y 7 años.
| Tipo de Carilla | Duración Estimada |
|---|---|
| Porcelana | 15-20 años |
| Composite | 5-10 años |