En Clínica Dental Carlos Gavira, entendemos que tener dientes amarillos puede generar inseguridad y afectar tu confianza al sonreír. Afortunadamente, existen diversas maneras de prevenir y tratar esta condición para mantener una sonrisa saludable y radiante. ¿Alguna vez te has mirado al espejo y te has preguntado por qué tienes los dientes amarillos? Nos ha pasado a muchos. Como el amarilleamiento se va produciendo paulatinamente, es difícil darse cuenta. Por suerte, los dientes amarillos no son un signo de ninguna afección grave.

Causas Comunes de los Dientes Amarillos
Los dientes amarillos pueden ser causados por una variedad de factores, algunos de los cuales están relacionados con nuestros hábitos diarios y otros con factores genéticos o médicos. Es importante identificar la causa subyacente para abordar el problema de manera efectiva.
1. Hábitos Alimenticios
Algunos alimentos y bebidas contienen pigmentos que pueden manchar los dientes con el tiempo. Bebidas como el café, té, vino tinto o refrescos oscuros, y alimentos como las salsas de soja, frutos rojos o curry, tienden a dejar pigmentos que se adhieren al esmalte. Además, un gran consumo de alimentos ácidos (limón, naranja, lima, vinagre…) puede provocar un desgaste la capa más superficial y protectora de los dientes.
2. Higiene Dental Inadecuada

Una higiene dental inadecuada permite la acumulación de placa y sarro en los dientes, lo que puede causar decoloración. La acumulación de placa bacteriana y sarro es la causa más habitual de los dientes amarillentos durante la infancia. La placa bacteriana se origina por los restos de alimentos que no son eliminados tras las comidas. Tiene un color amarillento y tiende a localizarse en la cara externa e interna de los dientes.
3. Factores Genéticos
La genética también juega un papel en la coloración de los dientes. El tono amarillo de los dientes es producto de condiciones genéticas. También puedes haber heredado un esmalte de color más amarillo que el de otras personas cuya genética es diferente.
4. Envejecimiento
El amarilleamiento de los dientes también es algo habitual a medida que envejecemos. Con el pasar del tiempo, el esmalte dental se ve afectado por el desgaste y la desmineralización que sufren a diario los dientes. Cuando desaparece esta capa, que conocemos como esmalte dental, deja en la superficie la segunda capa del diente (la dentina) cuyo color es más amarillo.
5. Medicamentos y Tratamientos Médicos
El consumo de antibióticos como la tetraciclina pueden producir dientes de color pardo estriado. Además, ciertos medicamentos, como los antibióticos doxiciclina y tetraciclina, pueden oscurecer los dientes en niños menores de 8 años. Algunos antihistamínicos, los medicamentos para la tensión arterial y los antipsicóticos también pueden manchar los dientes en pacientes adultos. Una causa menos común de la decoloración de los dientes puede ser una enfermedad que afecte al esmalte o un tratamiento para esa enfermedad, como la quimioterapia o la radioterapia. En este caso, la decoloración es de un tono más bien pardo.
6. Exceso de Flúor
El exceso de flúor durante la formación dental, especialmente en la infancia, puede provocar una alteración llamada fluorosis dental. Esta condición genera manchas que van desde líneas blancas hasta coloraciones marrones o amarillas en el esmalte.

7. Tabaco
El tabaco, ya sea en forma de cigarrillos o de tabaco para pipa, mancha los dientes. Fumar cigarrillos o masticar tabaco expone los dientes a nicotina y alquitrán, que se adhieren al esmalte y lo tiñen. Si fumas, tus dientes se oscurecerán con tiempo.
8. Traumatismos
Un golpe en la boca también puede ser la causa de los dientes amarillos en niños. Los golpes en los dientes también pueden dañar el esmalte y hacer que los dientes se vuelvan amarillos o grises.
Prevención de los Dientes Amarillos
La prevención es clave para mantener los dientes blancos y sanos. Adoptar buenos hábitos desde temprana edad puede marcar una gran diferencia.
1. Mantener una Buena Higiene Bucal
Es fundamental cepillarse los dientes después de cada comida, así como supervisar la rutina de cepillado en niños menores de siete años. Mantén una higiene bucal adecuada, cepillándote los dientes al menos dos veces al día con un dentífrico profesional y utilizando hilo dental diariamente para eliminar la placa entre los dientes y en la línea de las encías.
2. Aprender la Técnica de Cepillado Correcta
En muchas ocasiones, los padres tampoco conocen la rutina de cepillado óptima. Por ese motivo, es muy aconsejable que visiten al odontopediatra y que este les asesore sobre cómo deben cepillarse sus hijos los dientes correctamente.
3. Limitar el Consumo de Alimentos y Bebidas que Manchan los Dientes
Reducir el consumo de alimentos y bebidas que manchan los dientes es clave. Evita el consumo excesivo de café, té, vino tinto y refrescos oscuros. Además, aumentar el consumo de alimentos con efecto limpiador, como manzanas, zanahorias y apio, puede ayudar a eliminar residuos y estimular la producción de saliva, protegiendo el esmalte.
4. Visitas Regulares al Dentista
Visita a tu dentista regularmente: las limpiezas profesionales y revisiones ayudan a prevenir y detectar problemas antes de que se agraven. Otra buena solución para los dientes amarillos en niños es someterse a limpiezas dentales profesionales. Este tratamiento retira el sarro acumulado y elimina las manchas amarillas superficiales. Hacerse higienes bucodentales en la clínica.
5. Evitar el Tabaco
No fumar es una de las mejores decisiones para mantener una sonrisa blanca. Fumar es malo per se.
¡LO QUE NADIE TE DICE 🚫 DEL BLANQUEAMIENTO DENTAL 💔! Deberías ver este vídeo 👀.
Tratamientos Profesionales para los Dientes Amarillos
Si ya tienes los dientes amarillos, existen varias opciones para mejorar su apariencia. Lo primero que debemos hacer en la consulta de la clínica dental es detectar la causa del oscurecimiento para así eliminarla y que el tratamiento que realicemos para eliminar las manchas sea efectivo y duradero a largo plazo.
1. Limpieza Dental Profesional
Una limpieza dental profesional puede eliminar las manchas superficiales causadas por el sarro y la placa. Esta limpieza va mucho más allá de la que se puede hacer en casa. Estas limpiezas dentales profesionales emplean equipos de última generación que liberan a tus dientes de todo el sarro acumulado y cristalizado. Este tratamiento es rápido, indoloro y muy efectivo, ya que consigue muy buenos resultados en muy poco tiempo.
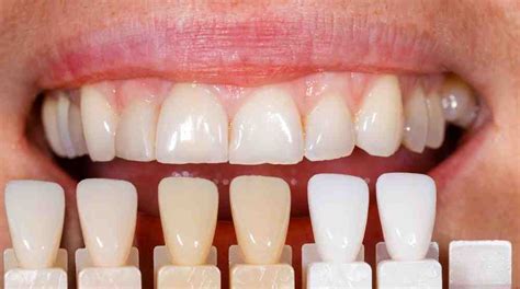
2. Blanqueamiento Dental
El blanqueamiento dental es una de las soluciones más populares y efectivas para aclarar los dientes. Este procedimiento puede realizarse en la clínica dental o en casa bajo la supervisión de un dentista. Es el sistema más eficaz del mercado y ofrece un efecto de blanqueamiento inmediato. Para conseguirlo, aplicamos unos agentes blanqueadores seguros para tus dientes. Lo normal es que, con los consejos anteriores, se solucione gran parte de la pigmentación amarilla de los dientes.

¿Cuánto duran los efectos del blanqueamiento dental? En nuestro caso, la duración es de hasta 3 años si se siguen las pautas adecuadas.
3. Carillas Dentales
Las carillas dentales son láminas finas de porcelana o composite que se adhieren a la parte frontal de los dientes. Son una solución estética que no solo mejora el color, sino también la forma y la posición de los dientes. Este tratamiento es duradero, indoloro y mínimamente invasivo, ya que permiten al paciente tener una sonrisa perfecta, uniforme y blanca. Además, la tecnología actual nos permite hacer simulaciones por ordenador para visualizar como quedaría el tratamiento antes de realizarlo.

4. Ortodoncia Invisible
La ortodoncia invisible está basada en unos alineadores transparentes de quita y pon. Dado que se retiran para comer y cepillar los dientes, no provocan la acumulación de restos de alimentos, como ocurre con los brackets.
Soluciones para Dientes Amarillos en Niños
Los dientes amarillos en niños pueden estar causados por una serie de factores muy variados, como una higiene bucal deficiente, un traumatismo o alteraciones en el esmalte. Además, algunas de estas causas pueden originarse en las primeras etapas de la vida, como en el embarazo. Por ello, es crucial abordar este problema con cuidado y atención.
Consejos para Prevenir y Solucionar los Dientes Amarillos en Niños:
- Mantener una buena limpieza dental: Es fundamental cepillarse los dientes después de cada comida, así como supervisar la rutina de cepillado en niños menores de siete años.
- Aprender la técnica de cepillado correcta: Es muy aconsejable que visiten al odontopediatra y que este les asesore sobre cómo deben cepillarse sus hijos los dientes correctamente.
- Hacerse higienes bucodentales en la clínica: Otra buena solución para los dientes amarillos en niños es someterse a limpiezas dentales profesionales. Este tratamiento retira el sarro acumulado y elimina las manchas amarillas superficiales.
- Recurrir a tratamientos preventivos contra la caries: Las caries se pueden prevenir y tratar en sus fases iniciales. En una fase inicial, las caries en los niños también pueden manifestarse con unas pequeñas manchas amarillas, blancas o marrones.
- Decantarse por la ortodoncia invisible: La ortodoncia invisible está basada en unos alineadores transparentes de quita y pon. Dado que se retiran para comer y cepillar los dientes, no provocan la acumulación de restos de alimentos, como ocurre con los brackets.
Tipos de Manchas en los Dientes
Es importante distinguir entre los diferentes tipos de manchas que pueden afectar el color de los dientes:
- Manchas extrínsecas: Aparecen en la superficie del diente, en el esmalte dental o parte exterior del mismo.
- Manchas intrínsecas: Se producen en la dentina, que es la capa de marfil que se encuentra en la parte interna del diente.
Con tratamientos como la limpieza profesional, el blanqueamiento dental supervisado por un odontólogo o carillas estéticas, es posible recuperar una sonrisa blanca.
¿Es Posible que las Prótesis Dentales Amarilleen con el Tiempo?
Sí, las prótesis dentales se manchan y cambian de color con el tiempo. Si no se cepillan a diario, los restos de alimentos y la placa donde proliferan las bacterias pueden crear manchas en los dientes con un aspecto gris amarillento, verde o incluso negro. (Sin embargo, no es posible blanquear los implantes dentales, como las coronas y las carillas.) Puedes evitar este problema manteniendo una estricta higiene bucal, aunque uses prótesis. Cepíllalas y déjalas sumergidas regularmente siguiendo las recomendaciones para su limpieza.
Recomendaciones Finales
Recuerda que para mantener los resultados de cualquier tratamiento durante más tiempo, es imprescindible llevar a cabo una buena rutina de higiene bucal en casa y unos hábitos de alimentación saludables. Limitar el consumo de comidas que manchen los dientes. Aunque te cepilles a diario, factores como el consumo de café, té, vino tinto, el tabaco o una técnica de cepillado incorrecta pueden causar manchas.
En nuestra clínica dental, estamos aquí para ayudarte a mantener una sonrisa saludable y radiante. Si tienes alguna duda o necesitas una consulta, no dudes en contactarnos.