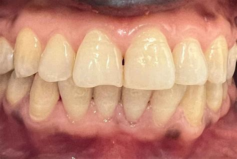
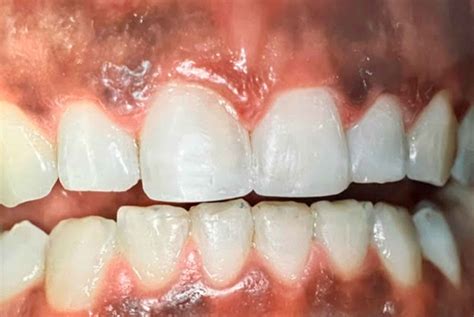
El cambio de coloración en las encías es una pregunta muy recurrente entre las personas que visitan las clínicas dentales. El color y la apariencia de las encías son un indicador de su estado de salud. Su aspecto y coloración pueden sufrir alteraciones, pero no debes alarmarte ya que en su mayor parte no están motivadas por patologías orales.

Las encías son una de las partes más importantes de tu boca. Su tejido duro, fibroso y sensible sirve de unión entre los dientes y el hueso alveolar, por lo que su buen estado de salud es fundamental para dar soporte a las piezas dentales. El aspecto habitual de la encía se corresponde con un color rosado, carnoso y brillante. Sin embargo, al igual que sucede con la coloración de la piel, hay que personas que pueden tener una encía de tonos marrones u oscuros.
⚫️¿Qué son estas MANCHAS NEGRAS en las ENCÍAS? - Melanosis gingival
Causas de las Manchas en las Encías
Las manchas en las encías pueden deberse a diversos factores. Conocer las causas y opciones de tratamiento es el primer paso para cuidar la salud y apariencia de tus encías. Entre las causas principales se encuentran factores genéticos, diferencias étnicas, ciertos medicamentos, hábitos como el tabaquismo o incluso materiales dentales.
Factores Genéticos y Étnicos
La genética juega un papel fundamental en el desarrollo de la melanoplaquia. Algunas personas tienen una predisposición natural a tener una mayor concentración de melanina, lo que puede resultar en encías más oscuras. La melanina de la piel, presente también en el pelo o los ojos, también está presente en las encías y determina su color.
Tabaquismo
El tabaquismo es uno de los factores más relevantes en la pigmentación de las encías. Los pacientes con gran adicción o que fuman desde hace mucho suelen presentar cambios de tonalidad en las encías, siendo la nicotina la principal responsable. El calor y las toxinas perjudican la mucosa oral, pudiendo causar patologías graves. Es lo que se conoce como melanosis del fumador.
Materiales Dentales
El uso de ciertos materiales dentales puede influir en la coloración de las encías. Una de las causas más frecuentes son los tatuajes metálicos, que se producen cuando las partículas de amalgama utilizadas en empastes dentales se trasladan a las encías, generando manchas visibles en el tejido gingival. En algunos casos este material se transfiere a la encía, oscureciéndola de forma permanente.
Medicamentos
Algunos medicamentos pueden tener como efecto secundario el oscurecimiento de las encías. Es fundamental que los pacientes sean conscientes de esta posible reacción y discutan cualquier cambio en la pigmentación oral con su dentista. Medicamentos como ciertos antidepresivos y anticonceptivos hormonales han sido documentados en la literatura como factores que pueden desencadenar cambios en la coloración.
Otras Causas
- Lesiones por traumatismos: La encía puede sufrir lesiones debidas traumatismos o a un cepillado demasiado agresivo, con cepillos de cerdas duras.
- Erupción dental: Cuando erupcionan los dientes definitivos, en ocasiones estos provocan un quiste sanguíneo que suele ser oscuro.
- Nevus azul: Se trata de un lunar o tumor benigno provocado por la acumulación de melanocitos.
- Pigmentación por ingesta de carotenoides: Algunos alimentos ricos en carotenos pueden provocar la pigmentación de la encía en caso de un ingesta abundante y prolongada.
- Máculas orales melatónicas: Se trata de lesiones o manchas orales oscuras, causadas por la acumulación de melatonina.
- Enfermedades Periodontales: La inflamación de las encías puede provocar cambios de color que no están relacionados con la melanoplaquia.
Diagnóstico de la Melanoplaquia
El diagnóstico de la melanoplaquia es un proceso que requiere la atención meticulosa de profesionales dentales para asegurar que la condición se evalúe adecuadamente. Durante la revisión dental, el dentista llevará a cabo un examen visual exhaustivo de la cavidad oral. Sin embargo, el dentista también puede utilizar técnicas de iluminación especial para observar las encías con mayor claridad y determinar el grado de pigmentación.
En situaciones donde la pigmentación es significativa o presenta características atípicas, se puede recomendar una biopsia. La biopsia es fundamental para descartar enfermedades más graves, como lesiones malignas. La identificación de células anormales permite establecer un diagnóstico claro y desarrollar un plan de tratamiento adecuado.
Impacto Psicológico y Estético
La melanoplaquia puede influir de manera significativa en la salud bucodental de los afectados. La presencia de manchas oscuras en las encías puede tener un efecto profundo en la psicología del individuo. Muchas personas experimentan ansiedad y disminución de la confianza debido a la imagen que proyectan. La melanoplaquia puede alterar drásticamente la apariencia de las encías, restando armonía al rostro.

Desde un punto de vista funcional, la melanoplaquia no suele presentar problemas graves para la salud dental. Sin embargo, puede ser un indicador de problemas subyacentes, como enfermedades periodontales.
Tratamientos para las Manchas en las Encías
Existen diversas alternativas para tratar la melanoplaquia, enfocadas en mejorar la apariencia de las encías. La elección del tratamiento depende de varios factores, como la causa de la melanoplaquia, la profundidad de la pigmentación y la salud general de las encías. Es esencial que cada paciente se someta a una evaluación completa por parte de un dentista para determinar la estrategia más efectiva y segura.
Microabrasión
La microabrasión es una técnica menos invasiva diseñada para eliminar las capas superficiales de pigmento en las encías. Utilizando instrumentos específicos, se retiran las manchas de melanina que alteran el color normal de las encías. Este procedimiento suele requerir varias sesiones y la recuperación es rápida.
Despigmentación con Bisturí
Este método es más invasivo y consiste en la eliminación de las partes pigmentadas mediante un bisturí. Aunque es efectivo, la despigmentación con bisturí puede implicar un tiempo de recuperación mayor. Durante la intervención, el dentista aplica anestesia local para que el paciente no experimente dolor. Se realiza una incisión en la zona afectada, retirando cuidadosamente la pigmentación.
Cirugía Láser
La cirugía láser se ha convertido en una opción popular para tratar la melanoplaquia debido a su menor invasividad. Este método utiliza un haz de luz para eliminar el tejido pigmentado con mucha precisión. La ventaja del láser radica en que provoca menos sangrado y dolor, además de permitir una recuperación más rápida.
Fresado
Esta técnica utiliza un material rotatorio para eliminar la capa superficial del epitelio donde se concentra la melanina. El fresado es un procedimiento menos invasivo y puede ser una buena opción para aquellos que buscan resultados inmediatos.
Otros tratamientos
- Injertos gingivales libres: este tratamiento consiste en extraer tejido no pigmentado del paladar y colocarlo en la zona de las encías para ocultar las pigmentaciones.
- Criocirugía: es un procedimiento en el que se congela el tejido gingival afectado.
Prevención de la Melanoplaquia
La prevención de la melanoplaquia es fundamental para mantener una buena salud bucodental. La higiene bucal adecuada es la primera línea de defensa contra la melanoplaquia. Modificar ciertos hábitos y estilos de vida puede tener un impacto significativo en la salud bucodental. El tabaquismo es un factor de riesgo asociado con la pigmentación de las encías.

Visitar al dentista de manera regular es crucial para detectar cambios en la coloración de las encías y recibir tratamiento oportuno si es necesario. Consultar los efectos secundarios de los medicamentos también puede ayudar a prevenir la aparición de manchas en las encías.
Tabla Resumen de Causas y Tratamientos
| Causa | Descripción | Tratamiento |
|---|---|---|
| Genética | Predisposición natural a mayor melanina | Microabrasión, Láser, Despigmentación |
| Tabaquismo | Aumento de melanina por irritación del tabaco | Dejar de fumar, Microabrasión, Láser |
| Amalgama Dental | Partículas de amalgama incrustadas en las encías | Eliminación de partículas, Microcirugía |
| Medicamentos | Efecto secundario de ciertos fármacos | Consulta médica, Microabrasión, Láser |
| Enfermedades Periodontales | Inflamación y acumulación de sarro | Raspado y alisado radicular |