El bruxismo es una patología que afecta a un gran número de personas, especialmente por su relación con la ansiedad, el nerviosismo y el estrés. Sin embargo, este problema también puede afectar a los niños durante la infancia.

¿Qué es el bruxismo?
El bruxismo consiste en el hábito involuntario de apretar y/o rechinar los dientes, especialmente durante las horas del sueño. Es un trastorno que afecta a la mayor parte de los niños en un momento dado a lo largo de su infancia. Es especialmente frecuente en niños de 3 a 6 años y puede ocurrir de día, pero especialmente es en la noche cuando más suele ocurrir.
Como especialistas de odontopediatría, te explicaremos qué es el bruxismo, cuáles son las causas principales que lo producen y qué tipo de tratamientos se pueden aplicar para tratarlo.
Es un comportamiento involuntario que consiste en el apretamiento y rechinamiento de los dientes. Principalmente, está justificado por el desarrollo de la musculatura y los huesos de la cara, pero también se asocia con problemas de estrés o ansiedad, que pueden padecer los más pequeños también.
Especialmente en los niños puede ser también una respuesta a situaciones de incomodidad dental o incluso una forma de liberar energía acumulada.
Tipos de bruxismo
Existen dos tipos de bruxismo principalmente que se clasifican en función del momento del día en el que ocurran:
Bruxismo diurno
También conocido como bruxismo despierto, ocurre cuando el niño está consciente, es decir, durante el día. Este tipo de bruxismo suele estar relacionado con el estrés, la ansiedad o la concentración intensa.
Los niños pueden apretar los dientes durante actividades que requieren enfoque, como hacer tareas escolares o jugar videojuegos.
Bruxismo nocturno
Se le conoce también como bruxismo del sueño y ocurre mientras el niño duerme. Este tipo es más difícil de controlar debido a su naturaleza involuntaria y puede estar asociado con trastornos del sueño, como apnea del sueño.
Este tipo es más común en niños y suele detectarse por el ruido del rechinamiento de los dientes durante la noche.

Causas comunes del bruxismo en niños
Son muchas las causas las que propician el desarrollo del bruxismo en niños. Hay múltiples factores que pueden ocasionar el bruxismo infantil, pero los más comunes son los siguientes:
- Desarrollo dental: En esta etapa, los niños experimentan el crecimiento y la pérdida de dientes, lo que puede causar molestias y llevar al rechinamiento de los dientes como una forma de aliviar la incomodidad.
- Estrés y ansiedad: Los niños, al igual que los adultos, pueden experimentar estrés y ansiedad. Situaciones nuevas, como comenzar la escuela o conflictos familiares, pueden desencadenar el bruxismo como una respuesta al estrés.
- Hábitos del sueño: Los problemas relacionados con el sueño, como apnea del sueño o respiración bucal, pueden estar asociados con el bruxismo nocturno. La calidad del sueño es crucial, y las interrupciones pueden llevar a este comportamiento.
- Maloclusión: La alineación incorrecta de los dientes (maloclusión) puede causar bruxismo en un intento del cuerpo por corregir la posición de los dientes.
- Factores hereditarios: La predisposición genética puede jugar un papel, ya que los niños con padres que tienen historial de bruxismo tienen mayor probabilidad de desarrollar este trastorno.
¿Tu HIJO/A RECHINA los DIENTES al DORMIR? 📢 Así suena el BRUXISMO INFANTIL
En general, en el caso de los niños, el origen de este problema puede ser similar al de los adultos, relacionado con el estrés y la ansiedad. La tensión que pueden experimentar los niños, en muchas ocasiones, tiene que ver con periodos en los que sufren falta de descanso o hiperactividad. Además, también puede estar asociado a diversos tipos de maloclusiones dentarias.
Del mismo modo que ocurre en los adultos, el bruxismo en niños es el acto completamente involuntario de rechinar los dientes entre sí. El bruxismo infantil es más prevalente en niños de más de 6 años de edad, cuando entran en la etapa de dentición mixta. Pese a que este problema se puede dar por el día y por la noche, en el caso de los pacientes pediátricos, es más habitual que suceda mientras están durmiendo.
El bruxismo en niños consiste en un movimiento no funcional que realiza la mandíbula. Por eso, es importante que los niños visiten al odontopediatra y al ortodoncista regularmente, sobre todo a partir de los seis años, coincidiendo con la caída de los dientes de leche y la erupción de los dientes definitivos.
Detección del bruxismo infantil
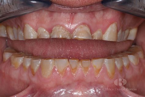
Como ya hemos mencionado, es muy importante detectar el bruxismo en niños lo antes posible. En casa, padres o hermanos del menor detectan un rechinamiento dental anómalo cuando los peques están descansando. En el dentista, es posible que en las revisiones periódicas de odontopediatría se detecte que los dientes del paciente están sufriendo signos de desgaste en el esmalte. Esto es algo que no debería de ocurrir de manera exagerada.
El signo más notorio es el ruido que se produce al rechinar los dientes. Además, otros síntomas de bruxismo infantil pueden incluir inflamación de las encías, dolores recurrentes (en mandíbula, dientes o cabeza) o desgastes en el esmalte de los dientes. No obstante, estos signos también son compatibles con otras enfermedades o lesiones bucodentales. Por ello, si se detectan, es fundamental acudir al odontopediatra.

Tratamiento del bruxismo infantil
A diferencia del bruxismo en adultos, en niños no se considera una patología, porque se asocia al desarrollo dental y a cambios emocionales transitorios, que desaparecen a medida que el niño crece. Sin embargo, si el problema persiste en el tiempo y los niños ya tienen los dientes permanentes, es recomendable consultar con el odontopediatra para evaluar la situación y ofrecer el tratamiento adecuado.
El tratamiento del bruxismo en niños varía dependiendo de la causa subyacente y la gravedad del trastorno. Aquí se presentan algunas estrategias de manejo y tratamiento:
- Monitoreo y observación: En muchos casos, el bruxismo infantil es transitorio y desaparece por sí solo a medida que el niño crece. Los dentistas pueden recomendar una observación regular para monitorear el desgaste dental y los cambios en el comportamiento.
- Terapia de reducción de estrés: Dado que el estrés es una causa común de bruxismo, las técnicas de relajación, como ejercicios de respiración, yoga para niños, o sesiones de terapia, pueden ser útiles.
- Dispositivos dentales: En casos severos, los dentistas pueden recomendar protectores bucales nocturnos personalizados para proteger los dientes del desgaste. Estos dispositivos son generalmente cómodos y seguros para los niños.
- Ajustes dentales: Si el bruxismo es causado por problemas de alineación dental, el dentista puede sugerir tratamientos ortodónticos para corregir la maloclusión.
- Mejoras en la higiene del sueño: Establecer rutinas de sueño saludables puede mejorar la calidad del sueño y reducir el bruxismo. Esto incluye mantener horarios regulares para dormir, crear un ambiente de sueño tranquilo y evitar la exposición a pantallas antes de acostarse.
- Consulta médica: En algunos casos, puede ser necesario consultar a un pediatra o a un especialista en trastornos del sueño para abordar problemas subyacentes más complejos.
Para ello se pueden considerar la colocación de férula de descarga o protector dental de silicona para proteger los dientes y evitar el desgaste, pero no previenen ni detienen el bruxismo. Además, en nuestra clínica odontológica podemos ofrecerte la férula de descarga infantil. Lo que hace este aparato es limitar los daños que el bruxismo está generando en los dientes de los peques.
Pautas en casa para reducir el bruxismo
Si a tu peque le ocurre este problema, puedes realizar algunas pautas en casa para conseguir reducirlo:
- Es importante que los niños realicen actividades que les relajen, como deporte, lectura, escuchar música.
- Limitar el acceso a televisión, videojuegos u ordenador para no sobrexcitar.
- En cuanto la alimentación, limitar el consumo de azúcares y otros excitantes.
- Cenas de digestión ligera.
- Antes de dormir, dar un masaje suave o leer un cuento para conseguir un estado más relajado.
Además, puedes limitar el uso de pantallas antes de dormir, con el fin de mejorar su descanso. Para tratar el bruxismo en niños es esencial revisar sus rutinas de sueño. Por ejemplo, el número de horas que duermen o las actividades que realizan antes de irse a la cama. En este último punto, es conveniente que realicen actividades que les permitan relajarse, como escuchar música o leer un libro.
Con el fin de que los músculos faciales y orales trabajen debidamente es importante que los niños mastiquen correctamente.
Conclusión
Aunque puede ser una afección común, hay que prestarle la debida atención y buscar orientación profesional. Para ello te animamos que contactes con nuestros dentistas. Te ofreceremos el tratamiento más adecuado para tu peque.