El significado del color de las encías va mucho más allá de un simple rasgo estético; en realidad, las encías actúan como un “termómetro” de nuestra salud bucal. Las encías cumplen la importante función de proteger los dientes y el tejido óseo de agentes infecciosos.
En este artículo, exploraremos juntos las causas detrás de este cambio de color, los síntomas que lo acompañan y las soluciones para recuperar la armonía de tu sonrisa. Además, si vives en Linares o sus alrededores, descubrirás cómo podemos ayudarte a resolver este misterio bucal.
Encías Negras: Causas y Soluciones | Sonríe con Confianza
El color de las encías como indicador de salud
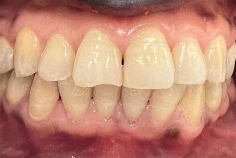
Cuando hablamos del significado del color de las encías, el tono rosado es, sin duda, el que más se asocia a una buena salud bucal. Este color es el reflejo de unas encías sanas, bien irrigadas y libres de inflamación o infecciones. Las encías saludables suelen tener un color rosado pálido, uniforme y una textura firme y ligeramente rugosa (similar a la piel de una naranja).
Pero ¿cómo deben lucir exactamente unas encías saludables? Las encías sanas presentan un color rosado claro y uniforme, sin manchas, zonas más oscuras (excepto en casos de pigmentación racial natural) ni áreas blanquecinas. Al presionarlas suavemente, no deben sangrar ni doler, y al cepillarnos o usar hilo dental tampoco deberían sangrar ni presentar sensibilidad anormal. Este color y textura firme son señales de que el tejido gingival está bien oxigenado y con un flujo sanguíneo adecuado, sin acumulación de placa. También reflejan que no hay infecciones activas ni daño en los tejidos de soporte dental.
Sin embargo, cuando el color de las encías se desvía de ese tono rosado normal, puede ser una señal de alerta de que algo no está bien. El color de las encías es un gran indicador de la salud de una persona, así que observándolas y analizándolas se puede encontrar el síntoma de un problema que puede necesitar ser solucionado cuanto antes mejor. Las encías hablan, y su color es una de las formas más claras en las que tu cuerpo puede alertarte de que algo necesita atención.
El significado del color de las encías es una herramienta clave para entender qué está ocurriendo en nuestra boca. Si bien las encías sanas deben ser rosadas, un cambio hacia un tono rojo más intenso o una apariencia inflamada puede ser señal de alerta.

Causas de las encías moradas
Si notas que tus encías adquieren un color morado, azul o negro de manera repentina o localizada, debes consultar a un profesional. El color morado en las encías siempre está relacionado con problemas de circulación sanguínea, inflamación o acumulación de pigmentos.
Las encías moradas pueden ser un síntoma preocupante que indica posibles problemas de salud bucal. El color morado puede significar una falta de oxigenación en dicha zona o una mala circulación sanguínea. La encía morada se pone porque puede ser un indicio de enfermedades como la gingivitis, la periodontitis o incluso problemas más graves, como la falta de oxígeno en los tejidos.
Estas son algunas de las causas más comunes:
- Problemas de circulación o hipoxia: Una encía de color azulado o violáceo puede indicar una disminución del oxígeno en la sangre o una alteración en la circulación local.
- Hematomas o traumatismos: Un golpe directo en la encía o una lesión puede provocar sangrado interno y acumulación de sangre bajo el tejido gingival; lo que genera una mancha violácea o azulada.
- Enfermedad Periodontal (Gingivitis y Periodontitis): Las enfermedades periodontales (gingivitis y periodontitis) son otra de las principales causas de encías oscuras. La periodontitis es la etapa grave de la enfermedad de las encías. Cuando la placa bacteriana no se elimina, se acumula bajo la línea gingival, causando inflamación crónica. Esto daña los vasos sanguíneos, reduce el flujo de oxígeno y puede teñir las encías de un morado oscuro. Ante la presencia del agente infeccioso, la encía reacciona, entre otras cosas, inflamándose y sangrando.
- Fumar: Fumar no solo mancha los dientes por el tabaco; también afecta las encías. La nicotina contrae los capilares sanguíneos, reduciendo la oxigenación de los tejidos. Con el tiempo, esto puede darles un tono amoratado, especialmente en fumadores crónicos. De fumar, las encías se oscurecen. Se debe a que la nicotina estimula la secreción de melanina, además de la acumulación de sustancias tóxicas del tabaco. Este proceso se conoce como Melanosis del fumador. Las encías pueden cambiar a púrpura o marrón.
- Cambios hormonales: Durante el embarazo, la menstruación o la menopausia, las fluctuaciones hormonales aumentan la sensibilidad dental. Las encías pueden inflamarse (gingivitis del embarazo) y adoptar un color morado temporal.
- Medicamentos: Algunos fármacos, como los antihipertensivos o anticonvulsivos, pueden causar hiperpigmentación gingival.
- Carencia de vitaminas y minerales: Una carencia de vitaminas y minerales puede producir que tus encías enfermen o cambien de color.
Otros colores de encías y sus posibles causas
Si bien el tono rosado pálido es el que tradicionalmente asociamos con encías saludables, no todas las personas presentan ese color de manera natural. El significado del color de las encías puede brindarnos pistas importantes sobre nuestra salud bucal e incluso general.
- Encías rojas: Una de las causas más comunes del enrojecimiento de las encías es la gingivitis, una inflamación superficial provocada por la acumulación de placa bacteriana. Esta película pegajosa de bacterias y restos de alimentos irrita el tejido gingival, generando enrojecimiento, hinchazón y, en muchos casos, sangrado al cepillarse. El enrojecimiento de las encías no es normal ni “algo que pasará solo”. Es un síntoma que nos indica que las encías están reaccionando ante una agresión, ya sea bacteriana, mecánica o inflamatoria.
- Encías pálidas o blancas: Las encías pálidas pueden indicar una disminución en el flujo sanguíneo en los tejidos gingivales o de una alteración en la producción de hemoglobina. Una de las causas más frecuentes de este color es la anemia, una condición que implica niveles bajos de glóbulos rojos o de hemoglobina. Otra causa posible de encías blanquecinas es la presencia de infecciones fúngicas, siendo la más común la candidiasis oral. Asimismo, las encías blancas pueden estar relacionadas con lesiones leucoplasias, que se manifiestan como placas blancas persistentes que no se desprenden al rascado.
- Encías oscuras o negras: En algunos casos, es normal que las encías tengan un tono más oscuro, debido a características genéticas. La hiperpigmentación fisiológica de las encías está causada por un mayor depósito de melanina en el tejido gingival. Un elevado índice de melanina genera una pigmentación oscura o irregular en las encías. Las encías oscuras también pueden deberse al tabaco. En estos casos, las tinciones oscuras suelen manifestarse en el sector anterior (delantero) de la encía. Las obturaciones (empastes) de amalgama son otra de las causas de encías oscuras. La amalgama de plata es un material metálico que, si se filtra desde el diente hasta la encía, puede causar manchas oscuras. Hay algunos fármacos que también causan encías oscuras.

¿Qué hacer si notas un cambio en el color de tus encías?
Detectar una alteración en el color de las encías puede generar preocupación, especialmente si se acompaña de otros síntomas como inflamación, dolor o sangrado. Si observas que tus encías se ven más rojas, pálidas, moradas, azuladas, blanquecinas o presentan manchas oscuras que antes no estaban, es importante no ignorarlo.
Lo primero que debes hacer es agendar una consulta con tu odontólogo de confianza. Aunque algunas variaciones en el color pueden deberse a factores benignos, otros cambios pueden estar asociados a inflamación, infecciones, enfermedades periodontales o deficiencias nutricionales. Al acudir a la consulta, no dudes en compartir con tu odontólogo toda la información relevante. Si el profesional lo considera necesario, puede recomendar tratamientos específicos, desde una limpieza profunda hasta procedimientos más avanzados, según la causa del cambio de color.
Tratamientos para las encías moradas
Si quieres saber cómo quitar las encías moradas es recomendable que acudas a tu dentista de referencia. El tratamiento para encías moradas dependerá de la causa que ha provocado ese hecho.
Algunas opciones de tratamiento más habituales pueden incluir:
- Limpieza dental profesional
- Tratamiento de enfermedades periodontales
- Manejo de condiciones médicas que pueden afectar como la diabetes o la hipertensión.
- Raspado para eliminar la placa bacteriana y el sarro
- Despigmentación quirúrgica para eliminar el tejido epitelial
- Microabrasión
En la Clínica Dental María José Manrique, no solo tratamos síntomas; nos apasiona restaurar sonrisas y devolver la confianza a nuestros pacientes. ¿Listo para que tus encías vuelvan a ser el marco rosado que tu sonrisa merece?
