El rechinamiento de los dientes es una afección que cada vez tiene más prevalencia entre la población general, incluyendo la infantil. Como dentistas expertos te explicamos qué es el bruxismo en niños, sus síntomas, causas, tratamientos y mucho más. Así podrás ayudar al pequeño a superarlo.

¿Qué es el bruxismo infantil?
El bruxismo infantil es un mal hábito que consiste en apretar o rechinar los dientes mayormente de forma inconsciente. Es decir, los dientes superiores entran en contacto con los inferiores y se produce fricción entre ellos. Esto sucede con mayor frecuencia durante la noche mientras se duerma, y de forma menos común de forma diurna. Se presenta comúnmente entre niños entre 6 y 10 años o que están iniciando la etapa de mudanza de los dientes de leche. Muchos lo hacen como una manera de fomentar de la dentición.
El bruxismo puede ser:
- Céntrico: que consiste en solo apretar los dientes.
- Excéntrico: en donde se frotan los dientes superiores con los inferiores.
Es un problema que suele desaparecer con la aparición de los primeros dientes permanentes. Pero en ocasiones este mal hábito se mantiene en el tiempo y puede generar múltiples consecuencias en la salud bucodental del niño. Por este motivo debe ser diagnosticado y tratado a tiempo.
Tipos de bruxismo
Existen dos tipos de bruxismo principalmente que se clasifican en función del momento del día en el que ocurran:
- Bruxismo diurno: También conocido como bruxismo despierto, ocurre cuando el niño está consciente, es decir, durante el día. Este tipo de bruxismo suele estar relacionado con el estrés, la ansiedad o la concentración intensa. Los niños pueden apretar los dientes durante actividades que requieren enfoque, como hacer tareas escolares o jugar videojuegos.
- Bruxismo nocturno: Se le conoce también como bruxismo del sueño y ocurre mientras el niño duerme. Este tipo es más difícil de controlar debido a su naturaleza involuntaria y puede estar asociado con trastornos del sueño, como apnea del sueño. Este tipo es más común en niños y suele detectarse por el ruido del rechinamiento de los dientes durante la noche.
¿Cómo saber si un niño tiene bruxismo?
Para saber si un niño tiene bruxismo infantil fíjate si presenta algunos de los siguientes síntomas:
- El síntoma más característico es el sonido de rechinado de los dientes. Este puede presentarte mientras está despierto o cuando duerme y, por lo general, es involuntario.
- El niño también puede presentar dolor en los dientes y en la mandíbula.
- Dolor de cabeza.
- Leve inflamación en las encías.
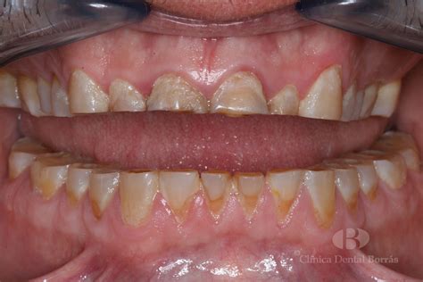
- Desgaste en las piezas dentales, rotura o fisura de las mismas.
Si tienes sospechas de que tu hijo tiene bruxismo infantil lo ideal es que lo lleves con un odontólogo que pueda diagnosticar el problema y aconsejarte sobre su tratamiento.
5 EJERCICIOS para tu BRUXISMO
¿Cuál es la causa del bruxismo en niños?
Si te preguntas por qué hay bruxismo en niños, a continuación te contamos las causas más comunes de este problema:
Factores psicológicos y emociones
El bruxismo infantil en muchos casos se produce como una respuesta nerviosa a estrés, ansiedad, irritabilidad, miedo o incluso tristeza. Por este motivo es común que los niños empiecen a rechinar los dientes cuando inician el preescolar, se aproxima el nacimiento de un hermano, empiezan a dormir solos y otras situaciones similares. La hiperactividad también es una condición que puede producir bruxismo infantil.
Molestias dentarias
Otra causa del bruxismo es que el niño presenta molestias o dolor en los dientes debido problemas de apiñamiento, erupción de algunos dientes, caries, sensibilidad u otros. Este rechina los dientes para evitar el malestar, disminuirlo o como una forma de desviar su atención.
Alteraciones de sueño
El bruxismo del sueño es un trastorno del movimiento de la mandíbula que se presenta cuando duermes. Es un trastorno de movimiento del sueño y funciona de forma similar al síndrome de la pierna inquieta. Este tipo de bruxismo se presenta principalmente cuando el niño sufre de problemas para dormir, apnea del sueño, mucho estrés y problemas gastrointestinales. Cuando el niño se encuentra en fase de sueño ligero el sonido del rechinado de los dientes es más intenso. Cuando llega al sueño profundo la intensidad del rechinado disminuye.
Algunas otras razones por las que los niños pueden presentar bruxismo son: si tienen dolor de cabeza, oído y presencia de parásitos en el estómago.
Otras causas
- Tensión emocional o estrés.
- Párasitos intestinales.
- Inquietud o nerviosismo. Los niños están sometidos a situaciones que alteran su tranquilidad y desatan un cierto nivel de estrés. Por ejemplo, si tienen problemas en el colegio o la relación de sus padres no va bien.
- Presencia de parásitos. Las lombrices pueden estar entre las causas del bruxismo en niños.
- Alteraciones del sueño.
¿Cómo se cura el bruxismo infantil?
El bruxismo en niños puede ser un problema temporal que irá desapareciendo a medida que el menor supere las situaciones de estrés y ansiedad que está viviendo. En este caso los padres o responsables deben prestar atención e intentar ayudar al niño a gestionar mejor sus emociones. Si el problema de rechinar los dientes continúa después de un tiempo debes llevar al niño a una consulta de revisión con un especialista en odontopediatría recomendará. Este evaluará el caso, el estado de los dientes y otros aspectos.
Una de las soluciones es el uso de una férula de descarga o protector dental, sobre todo a la hora de dormir. De esta forma se reduce el roce entre los dientes, disminuyen los dolores y molestias. Con ello se evita muchas de las consecuencias del bruxismo. Otra de las formas de tratar el bruxismo es haciendo que el niño realice actividades que lo relajen antes de dormir. Por ejemplo, escuchar música o leer un cuento.
También es importante que haga suficiente actividad física durante el día, en especial su tiene mucha energía o si sufre de hiperactividad. Asegúrate de que un par de horas antes de dormir no mire televisión, la pantalla del ordenador, tableta ni smartphones. Tampoco debería usar ningún tipo de videojuego.
Para casos más difíciles la fisioterapia en una gran alternativa. Esta permite que los músculos de la mandíbula y el cuello se relajen, lo que ayuda a disminuir la frecuencia con la que el niño rechina los dientes. También te recomendamos que evites darle alimentos azucarados al niño después de las 5 de la tarde y que le brindes una buena alimentación.
Para tratar el bruxismo infantil, es fundamental prevenir o frenar el desgaste del esmalte dental. Asimismo, será necesario reparar los daños en los dientes, en caso de que se hayan producido. Por todo ello, podemos dividir el tratamiento para el bruxismo en dos ramas. Por un lado, distinguimos los cambios en los hábitos de vida.
El profesional tendrá que valorar las causas y buscar la solución más conveniente para evitar que las piezas dentales sufran daños. Mejorar la calidad de sueño: es conveniente limitar el uso de pantallas (televisión, aparatos electrónicos, etc.) antes de dormir.

Tratamientos
- Monitoreo y observación: En muchos casos, el bruxismo infantil es transitorio y desaparece por sí solo a medida que el niño crece. Los dentistas pueden recomendar una observación regular para monitorear el desgaste dental y los cambios en el comportamiento.
- Terapia de reducción de estrés: Dado que el estrés es una causa común de bruxismo, las técnicas de relajación, como ejercicios de respiración, yoga para niños, o sesiones de terapia, pueden ser útiles.
- Dispositivos dentales: En casos severos, los dentistas pueden recomendar protectores bucales nocturnos personalizados para proteger los dientes del desgaste. Estos dispositivos son generalmente cómodos y seguros para los niños.
- Ajustes dentales: Si el bruxismo es causado por problemas de alineación dental, el dentista puede sugerir tratamientos ortodónticos para corregir la maloclusión.
- Mejoras en la higiene del sueño: Establecer rutinas de sueño saludables puede mejorar la calidad del sueño y reducir el bruxismo. Esto incluye mantener horarios regulares para dormir, crear un ambiente de sueño tranquilo y evitar la exposición a pantallas antes de acostarse.
- Consulta médica: En algunos casos, puede ser necesario consultar a un pediatra o a un especialista en trastornos del sueño para abordar problemas subyacentes más complejos.
Medidas preventivas
- Es importante que los niños realicen actividades que les relajen, como deporte, lectura, escuchar música.
- Limitar el acceso a televisión, videojuegos u ordenador para no sobrexcitar.
- En cuanto la alimentación, limitar el consumo de azúcares y otros excitantes.
- Cenas de digestión ligera.
- Antes de dormir, dar un masaje suave o leer un cuento para conseguir un estado más relajado.
Férula de descarga
Además, en nuestra clínica odontológica podemos ofrecerte la férula de descarga infantil. Lo que hace este aparato es limitar los daños que el bruxismo está generando en los dientes de los peques. Las férulas de descarga son rígidas, con un grosor de aproximadamente 2mm, y se confeccionan a medida de cada paciente. Ejercen su función durante noche, ya que se colocan justo antes de ir a dormir para que el niño pueda relajar los músculos e impedir, así, que rechine los dientes.
Consejos para padres
Si cree que su hijo puede tener bruxismo infantil, puede seguir estos consejos para ayudar a reducir el hábito:
- Evite que su hijo consuma alimentos duros o crujientes: Estos alimentos pueden provocar que su hijo apriete los dientes.
- Mastique chicle sin azúcar: Masticar chicle puede ayudar a relajar los músculos de la mandíbula.
- Haga ejercicios de relajación con su hijo: Los ejercicios de relajación, como la respiración profunda y la meditación, pueden ayudar a reducir el estrés y la ansiedad.
- Hable con su odontopediatra: Su odontopediatra puede ayudarlo a desarrollar un plan de tratamiento para su hijo.
Consecuencias del bruxismo en niños
Rechinar los dientes o apretarlos de forma constante genera múltiples consecuencias, como:
- Desgaste del esmalte y de la propia pieza dental.
- Fractura de dientes. En este caso es importante que sepas qué hacer si se te rompe un diente para aplicarlo con el niño si es necesario.
- Desarrollo de movilidad en algún diente.
- Inflamación de encías.
- Cansancio constante, ya que muchas veces el bruxismo no le permite al afectado dormir de forma profunda o correcta.
- Desarrollo de trastornos de la articulación temporomandibular, que producen dolor de cabeza, oído o cuello.
- Dolor o molestias al abrir y cerrar la boca. Recuerda que el bruxismo es una de las causas comunes del dolor de mandíbula.
- Maloclusión dental.
- Modificaciones en la arcada de la boca.
Es importante mencionar que estas consecuencias pueden presentarlas tanto niños como adultos.
Ahora que sabes todo sobre el bruxismo en niños puedes detectar sus síntomas y llevar a tu hijo con el dentista para su diagnóstico e inicio del tratamiento.