En Centre Dental Basté, ubicado en Sant Boi de Llobregat (Barcelona), se prioriza una rigurosa cultura de gestión de calidad. Esta se orienta a ofrecer la mejor atención y satisfacción al paciente con la máxima seguridad. La clínica se distingue por su equipo de dentistas multidisciplinar que cubre todas las ramas y especialidades dentales, así como por un staff de atención al cliente altamente cualificado y profesional.

El compromiso de Centre Dental Basté es garantizar el mejor tratamiento odontológico y ético. Esta es la máxima que guía el día a día de los profesionales de esta clínica dental en Barcelona.
Instalaciones y Tecnología de Vanguardia
En Clínica Dental Basté, las amplias y modernas instalaciones están equipadas con las últimas tecnologías, diseñadas para ofrecer tratamientos ultramodernos y asegurar que cada visita sea lo más reconfortante y placentera posible.
Especialidades Ofrecidas:
- Odontología general
- Implantología
- Estética dental
- Periodoncia
- Endodoncia
- Prótesis
- Ortodoncia
- Ortodoncia invisible - Invisalign
- Odontopediatría
- Implantes de Carga Inmediata
La Experiencia de los Pacientes
Muchos pacientes han compartido sus experiencias positivas con Centre Dental Basté. A continuación, se destacan algunos testimonios:
“Apareció esta clínica dental en mi vida y llevo años asistiendo a ella. Todos, absolutamente todos, son unos profesionales de primer nivel. Recomendaría esta clínica en Barcelona con los ojos cerrados para cualquier persona. El trato humano es exquisito y los precios muy correctos.”
“Los recomiendo totalmente, desde la excelente atención del personal, la tecnología puntera que poseen, la profesionalidad de todo su equipo, la honestidad al ofrecer el tratamiento que realmente necesitas y por supuesto el resultado que obtienes.”
“Vine recomendado por un amigo y estoy muy satisfecho con el resultado del tratamiento odontológico y el trato que he recibido por parte de todo el personal de la clínica.”
“Para una Clínica Dental es básico asegurar una agradable sonrisa. Físicamente estoy más que satisfecho con el cambio que han logrado ofrecerme. Pero doy mi palabra de que además han conseguido una sonrisa en mi interior por la calidez, cuidado y profesionalidad con que he sido tratado por el equipo profesional.”
“Me he hecho un tratamiento dental completo con ellos y he de decir que son excelentes profesionales, buenísima atención con las chicas de recepción: Leticia, Sandra y Cristina (te resuelven cualquier problema y te ayudan en todo lo posible para ajustar las citas) y los doctores son de 10.”

Leticia González Ruiz: Liderazgo y Atención Personalizada
La Directora Comercial, Leticia González Ruiz, aporta una amplia experiencia en el sector de la odontología. Su carrera profesional ha evolucionado desde auxiliar de enfermería hasta el liderazgo en el área administrativa y comercial.
En su rol, Leticia es responsable de diseñar y comunicar a los pacientes los presupuestos de sus tratamientos odontológicos. Además, se encarga de acordar las formas de pago y, en caso de financiación, de gestionar la documentación correspondiente. Leticia destaca por su habilidad natural para la atención al cliente, la gestión financiera y las ventas.
“Pienso que una directora comercial debe tener una visión amplia del funcionamiento del centro. Empezando por fomentar el trabajo en equipo, lo cual es vital para conseguir los resultados deseados. Escuchar las inquietudes del personal y del paciente es fundamental.”
“Lo principal es saber escuchar para poder ayudar a solucionar lo que les preocupa. Saber transmitirles tranquilidad y seguridad para fomentar una mejor relación asesora-paciente. Sinceramente, todo esto es mucho más sencillo de transmitir desde que trabajo en esta clínica dental desde hace ya más de 16 años porque sé que los resultados van a ser lo que el cliente espera.”
Leticia también gestiona la facturación de clientes y proveedores, la producción comercial de la clínica, la programación y seguimiento de los tratamientos, y coordina la visualización de las pruebas para el diagnóstico del tratamiento. Además, se encarga del control de los historiales clínicos y la documentación administrativa.
Según Leticia, las inquietudes más habituales de los pacientes son: ¿me va a quedar bien?, ¿Cómo puedo pagar este presupuesto?, ¿Los doctores son buenos?
Para abordar estas preocupaciones, Leticia muestra casos similares para ilustrar la calidad del trabajo de la clínica. Ofrece facilidades de pago para que los pacientes puedan asumir el tratamiento cómodamente y les invita a conocer al equipo médico a través de las redes sociales.
Cada caso es estudiado personalmente en colaboración con el cuadro médico, asegurando que se encuentre la solución más adecuada para cada paciente.
¿La mejor clínica dental de Granada? ⭐Porqué elegir Torres & González Dental ⭐
Tratamientos Populares
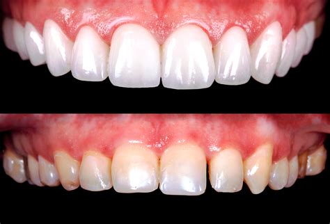
Las carillas son uno de los tratamientos estéticos más demandados en Centre Dental Basté, transformando sonrisas en pocas semanas. Sin embargo, no todas las personas son candidatas a este procedimiento. Además, la clínica ofrece soluciones para el bruxismo, un hábito cada vez más común.

Tabla resumen de servicios
| Servicio | Descripción |
|---|---|
| Odontología general | Revisiones, limpiezas y tratamientos básicos |
| Implantes | Sustitución de dientes perdidos |
| Estética dental | Carillas, blanqueamiento dental |
| Ortodoncia | Corrección de la posición de los dientes |