El sarro dental se debe a la acumulación de placa bacteriana en los dientes. Además de antiestético, perjudica tu salud dental. Pero, ¿cómo se puede eliminar el sarro de los dientes? ¿hay manera de evitar la aparición de sarro? Lo cierto es que la aparición de sarro es más o menos frecuente entre la población. Por ello, muchas personas buscan remedios caseros para eliminarlo.

¿Qué es el Sarro Dental?
El sarro dental, también llamado cálculo dental, es una placa bacteriana que se ha endurecido debido a los minerales presentes en la saliva. Todo comienza con la placa dental, una película transparente y pegajosa que se forma constantemente en nuestros dientes. Si no se elimina correctamente (con un buen cepillado y el uso de hilo dental), esta placa se mineraliza y se convierte en sarro, especialmente en zonas como detrás de los dientes inferiores.
Causas de la Formación de Sarro
Las bacterias bucales, los restos de alimentos y saliva que quedan en la boca a consecuencia de no cepillarnos los dientes o hacerlo de manera incorrecta forman la placa dental. El sarro casi siempre aparece debido a una higiene oral deficiente.
La buena noticia es que es fácil prevenir la aparición de sarro. Una de las cosas fundamentales que puedes hacer para prevenir la formación de placa es comprometerte a realizar una buena rutina de limpieza bucal. Elegir el mejor cepillo eléctrico Oral-B® para ti junto con una pasta de dientes Oral-B Pro-Expert Protección Profesional y un enjuague bucal antibacteriano, sin olvidar las visitas periódicas al dentista, es uno de los métodos más efectivos para mantener tu rutina a punto y la placa dental a raya.
Remedios Caseros: ¿Funcionan?
Existen multitud de sitios y personas que recomiendan mil y un remedios para eliminar el sarro o tener un dientes blancos y perfectos en casa. Por ejemplo, el tan extendido rumor de limpiarse los dientes a diario con bicarbonato para eliminar el sarro puede erosionar tus dientes. También se sugieren otros alimentos y productos como el vinagre o las semillas de ajonjolí. Aunque suenen a «remedios naturales milagro», no es buena idea usarlos.
Seguro que has oído más de un remedio casero que prometen eliminar el sarro, pero ¡son falsos! Como hemos comentado, no es posible eliminar el sarro dental de manera natural ni con los utensilios de limpieza oral que tenemos en casa. A diferencia de la placa dental, el sarro que se acumula en los dientes no puede ser eliminado con un cepillo dental en casa.
Y si te preguntas por soluciones DIY, debes saber que los remedios caseros para el sarro en los dientes de abajo no sustituyen la limpieza profesional.
Precauciones con el Bicarbonato de Sodio y el Limón
Para crear una pasta eficaz, se puede mezclar una cucharadita de bicarbonato de sodio con un poco de agua. Esta mezcla debe aplicarse sobre el cepillo de dientes y usarse para limpiar los dientes durante aproximadamente dos minutos. Es importante tener en cuenta que el uso excesivo de bicarbonato de sodio puede desgastar el esmalte dental.
El limón es conocido por sus propiedades antibacterianas y blanqueadoras. Para preparar una solución eficaz, se debe exprimir el jugo de medio limón en una taza de agua tibia y mezclar bien. Es fundamental recordar que el ácido del limón puede erosionar el esmalte dental si no se enjuaga adecuadamente.
La Importancia de la Limpieza Profesional
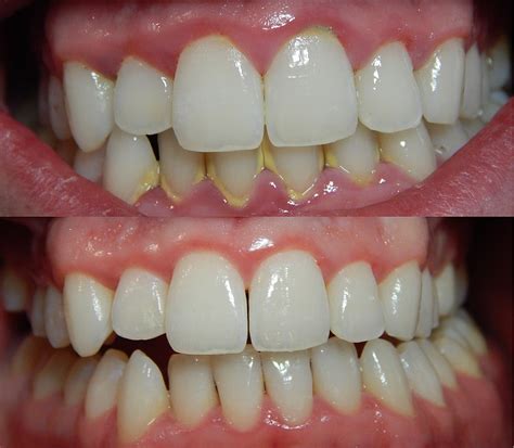
La única manera de eliminar el sarro de manera efectiva es hacerlo en la consulta del dentista, ya que se requiere de una limpieza dental profesional. La limpieza dental para eliminar el sarro de los dientes debe hacerse en una clínica dental, ya que requiere de herramientas profesionales.
La limpieza dental profesional se realiza en la clínica dental por parte del higienista dental. Para realizar la limpieza dental se utilizan herramientas específicas para ello: cepillos rotatorios, irrigador dental con agua a presión, fresas profesionales, etc.
Al menos una vez al año, aunque lo ideal es cada seis meses. Y no te olvides de visitar con regularidad a tu dentista para que puedan detectarse problemas antes de que sean graves. Si tu dentista identifica acumulación de sarro o una caries temprana, puede recomendarte una serie de tratamientos fluorados para ayudar a restaurar o remineralizar la desmineralización del esmalte de los dientes y evitar la necesidad de un empaste.
Se realiza cuando el sarro está debajo de las encías. Parecidas a las del dentista cuando te hacen un empaste.
Herramientas y Técnicas de Higiene Bucal
Implementar prácticas efectivas de higiene puede ayudar a reducir la acumulación de placa bacteriana y, por ende, la formación de sarro. Un cepillado adecuado es fundamental para eliminar los restos de comida y la placa. Se debe utilizar una pasta dental con flúor y cepillarse al menos dos veces al día.
El hilo dental es una herramienta esencial para limpiar entre los dientes donde el cepillo no llega. Es recomendable usarlo una vez al día. Los cepillos interdentales son útiles para alcanzar las áreas entre los dientes que un cepillo normal podría no limpiar adecuadamente. Su inclusión en la rutina diaria puede contribuir a reducir la acumulación de sarro.
Los enjuagues bucales con propiedades antibacterianas pueden complementar las técnicas de cepillado e hilo dental. Muchos colutorios contienen ingredientes como el cloruro de cetilpiridinio, que ayuda a eliminar la placa y el sarro y a prevenir la aparición de caries. Sin embargo, es importante tener en cuenta que el uso de un colutorio no reemplaza el cepillado y el uso de hilo dental o cepillo interdental.

Tipos de Cepillos de Dientes
El tipo de cepillo de dientes utilizado puede influir significativamente en la eficacia de la eliminación del sarro. Tanto los cepillos de dientes manuales como los cepillos electricos pueden ayudarnos a eliminar la placa dental y, por tanto, a evitar la aparición de sarro.
Sin embargo, hay muchos estudios que han evaluado la eficacia de los cepillos de dientes eléctricos en comparación con los cepillos de dientes manuales. Es importante tener en cuenta que la eficacia de un cepillo de dientes, ya sea eléctrico o manual, depende en gran medida de cómo se use. Para obtener los mejores resultados, es importante seguir las instrucciones de uso del cepillo de dientes y cepillarse los dientes durante al menos dos minutos, tres veces al día.
Los cepillos eléctricos han demostrado ser más eficaces en la eliminación de placa bacteriana en comparación con los manuales, gracias a su capacidad para realizar movimientos oscilantes y rotativos. Los cepillos interdentales y el hilo dental son especialmente útiles para llegar a lugares que son difíciles de alcanzar con un cepillo de dientes, como las áreas entre los dientes y debajo de la línea de las encías.
¿Los cepillos manuales no son lo suficientemente buenos? Los cepillos de dientes manuales cumplen su función, pero con ellos resulta difícil limpiar bien la parte trasera de los dientes, los espacios interdentales y demás áreas de difícil acceso de la boca. ¿El resultado? La placa dental se acumula gradualmente y a menudo se convierte en sarro, caries u otros problemas dentales.
Beneficios de los Cepillos Eléctricos
- Cabezal redondo inspirado en las herramientas de los dentistas: el cabezal redondo inspirado en el instrumental odontológico se adapta a cada diente de forma individual para limpiar a fondo el espacio interdental.
- Tecnología superior: los cepillos de dientes eléctricos Oral-B vibran para levantar la placa y, a continuación, oscilan y rotan para eliminarla.
Si eliminas la placa dental en casa a diario, disminuyes la posibilidad de que se forme sarro y de que tengas algún problema dental un poco más serio como caries, gingivitis y mal aliento. Los hábitos dentales saludables, tales como el cepillarse durante dos minutos un par de veces al día y usar el hilo dental después de cada cepillado, pueden ayudarte a prevenir los efectos negativos que genera la placa dental. Si tienes niños, recuerda: nunca es demasiado pronto para enseñarles la importancia de un buen cuidado oral.
Los cepillos de dientes manuales son efectivos. Sin embargo, los cepillos de dientes eléctricos Oral-B® facilitan el cepillado de dos minutos que recomiendan los dentistas; además, eliminan un 100 % más placa que los cepillos de dientes manuales. El cepillo Oral-B elimina un 22 % más de placa que el Sonicare.*
Si sigues esta rutina casera sencilla como la que te presentamos a continuación, junto con el uso de los cepillos de dientes eléctricos Oral-B, lograrás tener una boca saludable durante mucho tiempo.
Los dentistas recomiendan cepillarse los dientes durante dos minutos, dos veces al día; lo que equivale a 30 segundos de cepillado por cuadrante. El temporizador que tiene el mango del cepillo de dientes eléctrico Oral-B genera pulsaciones cada 30 segundos; de esta forma te avisa de cuándo debes pasar a cepillar el siguiente cuadrante.
Mientras te cepillas los dientes, asegúrate de llegar a todas las áreas del diente. Algunas personas piensan que logran una mejor limpieza cuando van diente por diente. Cuando termines de cepillar cada cuadrante, no olvides cepillar la lengua para que puedas eliminar las bacterias que causan el mal aliento. Finalmente, apaga el cepillo de dientes eléctrico mientras está todavía en tu boca.
Enjuaga las cerdas y coloca el mango del cepillo en posición vertical para que se sequen.

El Papel de la Alimentación
La alimentación desempeña un papel crucial en la salud bucal. Los alimentos ricos en azúcares y almidones son un caldo de cultivo para las bacterias, favoreciendo la formación de placa y sarro. Consumir frutas y verduras frescas, como manzanas y zanahorias, puede ayudar a limpiar los dientes de forma natural.
Una dieta saludable puede ayudar a prevenir la aparición de sarro en los dientes.
Tratamientos Profesionales Adicionales
Además de las limpiezas, existen tratamientos adicionales que pueden ser necesarios en ciertas situaciones. En la clínica, se dispone de tratamientos avanzados para abordar la acumulación de sarro.
La limpieza profunda es un tratamiento que se realiza para eliminar el sarro que se ha acumulado tanto por encima como por debajo de la línea de las encías. Este procedimiento no solo elimina la placa y el sarro, sino que también ayuda a prevenir la inflamación de las encías y otros problemas de salud bucal.
Dispositivos para la Eliminación de Sarro en Casa
Gracias a las vibraciones ultrasónicas, este aparato elimina eficazmente las manchas y el sarro. El eliminador de sarro Ortorex se apaga automáticamente tras 10 minutos de uso continuado. Esto no sólo prolonga la vida útil del aparato, sino que también le proporciona tranquilidad.
Nuestro eliminador de placa tiene un sensor que detiene su funcionamiento al entrar en contacto con las encías. Este eliminador de placa puede tratar diversas afecciones dentales. Equipado con dos cabezales - plano y afilado - proporciona una limpieza tanto superficial como entre los dientes. Puede ajustar la intensidad de las vibraciones según su comodidad y sus necesidades dentales. El eliminador de placa Ortorex está fabricado en acero inoxidable de alta calidad. No sólo es resistente a la corrosión, sino que también es fácil de limpiar.
Consecuencias de la Acumulación de Sarro
Si no eliminas la placa de tus dientes con hilo dental y cepillado, aumentas el riesgo de padecer una caries y formación de sarro. Las caries son uno de los problemas dentales más comunes en el mundo, pero un buen cuidado bucal, que incluya el uso de hilo dental, puede ayudar a prevenirlas.
En este post te contamos todo lo que necesitas saber sobre el sarro dental, cómo se forma, sus consecuencias, los tratamientos más efectivos para eliminarlo y los mejores productos para prevenirlo (sí, todos disponibles en Druni).
Es la inflamación de las encías. Una evolución de la gingivitis que afecta al hueso que sostiene los dientes. ¡Mucho ojo! El sarro dental también es responsable de ese mal aliento persistente que no se va ni con enjuague.

Resumen de Consejos para Prevenir y Eliminar el Sarro
Aquí es donde entra tu rutina beauty… pero para tu sonrisa. Recuerda: la placa es blanda y se elimina con el cepillo. El sarro es duro y solo sale en el dentista. Hilo dental: sí, todos los días.
- Cepillado regular: Utilizar una pasta dental con flúor y cepillarse al menos dos veces al día.
- Hilo dental: Usar hilo dental diariamente para limpiar entre los dientes.
- Enjuague bucal: Complementar con enjuagues bucales antibacterianos.
- Dieta saludable: Reducir el consumo de azúcares y almidones.
- Visitas al dentista: Realizar limpiezas profesionales cada seis meses o al menos una vez al año.
Siguiendo estos sencillos consejos podrás disfrutar de unos dientes sin sarro y conservar siempre tu sonrisa brillante.