Marta López Álamo, conocida por su presencia en redes sociales y su relación con Kiko Matamoros, ha sido abierta sobre sus transformaciones estéticas, incluyendo cambios significativos en su sonrisa. A través de los años, ha compartido detalles sobre los procedimientos a los que se ha sometido para mejorar su imagen, y su franqueza ha generado interés y debate.

El Viaje Hacia una Sonrisa "Perfecta"
Marta López Álamo ha hablado abiertamente sobre su búsqueda de la sonrisa ideal. Inicialmente, optó por fundas de porcelana de un color muy blanco, buscando una sonrisa de impacto. Sin embargo, recientemente ha expresado su deseo de un diseño de sonrisa más natural.
"Me estoy cambiando el diseño de sonrisa a uno más pequeño, más desigual y menos blanco", comentó Marta López Álamo, quien recalcó que la consulta sobre los cambios en su rostro son una de las más comunes que recibe domingo a domingo.
Según sus declaraciones, busca una apariencia menos artificial y más acorde con sus facciones. "Tengo la cara con las facciones muy marcadas y me veía mucha boca", reconoció Marta López Álamo, pero confía en que este tratamiento le hará tener la sonrisa que siempre quiso tener.
La modelo ha compartido que está en los últimos detalles para lograr el diseño “definitivo” de su sonrisa. "Me gustan los dientes alineados, pero estos se empiezan a ver mucho más naturales, aunque aún el material es provisional", sostuvo.
Tania y Marta López desvelan todas sus operaciones estéticas: "Mi complejo siempre ha sido mi cara"
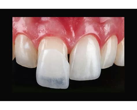
Carillas: La Clave para una Sonrisa de Celebridad
Las carillas son una opción popular para quienes desean transformar su sonrisa. Estas finas láminas, que se adhieren a la superficie frontal de los dientes, pueden modificar el color, tamaño, forma y posición de la dentadura.
Existen dos tipos principales de carillas:
- Carillas de composite: Ofrecen un cambio en la sonrisa siendo un tratamiento conservador. Tienen una durabilidad de cinco a ocho años.
- Carillas de porcelana: Proporcionan una sonrisa de aspecto natural y no cambian de color con el tiempo. Pueden durar hasta una década.
Marta López Álamo ha recurrido a las carillas para lograr la sonrisa que desea. Kiko Matamoros, su pareja, también ha utilizado este tratamiento.

Otros Tratamientos Dentales
Además de las carillas, Marta López Álamo ha mencionado otros procedimientos dentales que ha experimentado:
- Endodoncias: Realizadas debido a daños o necrosis en el nervio dental.
- Limado dental: Para ajustar la forma de los dientes, aunque puede tener consecuencias como sensibilidad y riesgo de caída.
El Impacto de las Operaciones Estéticas
A sus 26 años, Marta López Álamo ha pasado varias veces por el quirófano para realizarse retoques estéticos. Ella misma ha hablado abiertamente de sus operaciones estéticas. Nunca las ha ocultado.
"Si tenéis un complejo podéis hacer dos cosas: os adaptáis a él y os conformáis, que es súper respetable, o decidís cambiarlo, que también es totalmente lícito", dijo en el que canal que tenía en Mtmad.
La primera vez que entró a un quirófano fue para operarse la nariz. Tenía el tabique desviado y, ya de paso, aprovechó para para estrecharlo.
Entre las cirugías y retoques más destacados se encuentran:
- Rinoplastia: Para afinar el tabique nasal.
- Aumento de labios: Con rellenos semipermanentes.
- Cirugía de pecho: Se ha sometido a varias operaciones para modificar el tamaño y forma de sus prótesis.
- Rellenos faciales: Para pómulos, ojeras, mentón y arco mandibular.
A continuación, se presenta una tabla con los procedimientos estéticos más relevantes de Marta López Álamo:
| Procedimiento | Descripción | Motivación |
|---|---|---|
| Rinoplastia | Afinamiento del tabique nasal | Corrección del tabique desviado y mejora estética |
| Aumento de labios | Rellenos semipermanentes | Volumen y forma deseada |
| Cirugía de pecho | Implantes y modificaciones | Cambio de tamaño y forma de las prótesis |
| Carillas dentales | Láminas de porcelana | Mejora de la estética dental |
| Rellenos faciales | Pómulos, ojeras, mentón | Definición y rejuvenecimiento facial |

Bruxismo: Un Problema de Salud Bucal
Además de los tratamientos estéticos, Marta López Álamo ha compartido que padece bruxismo, un trastorno que se caracteriza por apretar los dientes de manera involuntaria y excesiva. Para tratarlo, ha recurrido a neuromoduladores.
El bruxismo puede provocar serios problemas dentales y de salud bucal en general, por lo que es importante buscar tratamiento adecuado.