La odontología veterinaria es una especialidad crucial que a menudo se subestima, a pesar de que numerosos estudios demuestran que casi todos los pacientes caninos desarrollan enfermedades orales que requieren atención especializada. A continuación, exploraremos las patologías orales más frecuentes en perros, desde el nacimiento hasta el primer año de vida, así como las herramientas básicas para su diagnóstico y tratamiento.
La boca es una parte importante para los perros, a través de ella obtienen sus alimentos, juegan, hablan, es parte de su hocico por lo que está ligado a su gusto, y dan esos besos que a todos nos encantan.
¿Cuál es la importancia de mantener la higiene bucal de los perros?
Desarrollo Dental Normal en Caninos
En la especie canina, los primeros dientes permanentes en erupcionar son los incisivos centrales (a los 3 meses de edad), posteriormente se recambian los incisivos medios (a los 4 meses) y finalmente los incisivos laterales (a los 5 meses).
Dentadura Decidua vs. Dentadura Permanente
Los perros, al igual que los humanos, tienen dos tipos de dentaduras: una decidua o de leche, y otra permanente. La primera dentadura comienza a salir en torno a las dos semanas de vida, y empieza a cambiarse por la permanente en torno a las 14 semanas de vida, y seguirá el proceso de cambio hasta aproximadamente los seis meses de edad.
La fórmula dentaria de un cachorro sería: 2 ( I 3/3 C 1 /1 P 3/3), lo cual suma un total de 28 dientes. El perro adulto posee más piezas dentales que el cachorro, aparecen los molares, y la fórmula dentaria cambia, siendo la siguiente: 2 ( I 3/3 C 1/1 P 4/4 M2/3 ), lo que haría un total de 42 piezas.
En resumen, los cachorros que aún conservan la dentadura primaria, tienen un total de 28 dientes, mientras que la dentadura de un perro adulto tiene 42 piezas.
Tipos de Dientes y sus Funciones
Dentro del conjunto de los dientes, son cuatro los tipos: incisivos, caninos, premolares y molares. Cada tipo desempeña una función específica:
- Incisivos: Se encuentran en la parte frontal y su función es coger objetos o comida, acicalarse, rascarse o mordisquear el alimento.
- Caninos: Son los más grandes, largos y curvos, utilizados para rasgar o perforar alimentos u objetos.
- Premolares: Se utilizan para cortar y desgarrar el alimento.
- Molares: Se utilizan para moler o aplastar alimentos, facilitando la digestión.

Patologías Orales Frecuentes en Caninos Jóvenes
Existen numerosas patologías que afectan a la cavidad oral de los pequeños animales desde el nacimiento hasta el año de edad.
Fisura Palatina
Puede clasificarse a su vez en primario o secundario. El riesgo grave de esta malformación reside en la dificultad que tienen las crías para alimentarse, ya que les es imposible succionar la leche y muchos animales suelen morir a los pocos días de nacer o bien son sacrificados. En el caso de que sobrevivan, es posible intervenirlos quirúrgicamente para resolver el problema. La edad mínima recomendada para la cirugía es de 8 a 12 semanas, pero es preferible hacerlo a los 4-6 meses. A esta edad se ha cerrado más la fisura palatina y el animal puede soportar una anestesia general más larga.
Durante el periodo que el paciente espera a ser intervenido, debe ser alimentado artificialmente; y hay que evitar que amamante de la madre. El tratamiento de esta patología es quirúrgico. Las técnicas que se pueden utilizar dependen del tamaño y localización del defecto. De todos los procedimientos, destaca la técnica de Howard o colgajo rotacional de 180º del mucoperiostio palatino. Es la técnica recomendada porque tiene el mayor porcentaje de éxito y la menor tasa de complicaciones.

Figura 1. Tratamiento quirúrgico de la Fisura Palatina.
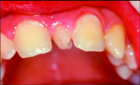
Persistencia de la Dentadura Decidua
Se produce principalmente en razas “Toy” y pequeñas, pero puede ocurrir en cualquier raza de perros y también en gatos. Los dientes que se afectan con mayor frecuencia son los caninos, seguidos de los incisivos y por último, los premolares. La consecuencia de esta anomalía es la predisposición a la enfermedad periodontal y la aparición de traumatismos a nivel gingival, palatino o dentario.
Todos los dientes de leche deben ser exodonciados tan pronto como sea posible. La radiografía dental previa a la extracción es esencial. Estos procedimientos pueden ser difíciles, ya que en ocasiones existe reabsorción y anquilosis de la raíz del diente de leche. Además, debemos evitar dañar el desarrollo del diente permanente. Debido a que los dientes de leche son más largos y finos que sus homólogos persistentes, se fracturan con más facilidad.

Figura 2. Persistencia de dentadura decidua.
Maloclusiones
Las maloclusiones son relativamente frecuentes en pequeños animales y generalmente predisponen a la enfermedad periodontal. La modificación en la posición fisiológica de las relaciones interdentarias durante la oclusión en los estándares de las diferentes razas caninas supone la existencia de una maloclusión. Son aquellas en las que el crecimiento maxilar y mandibular ha sido adecuado en longitud y anchura. Generalmente, producen sólo un problema estético, pero en algunas situaciones, como resultado del mal posicionamiento, se produce un apiñamiento dental, lo que conduce a la aparición temprana de enfermedad periodontal.
El tratamiento se recomienda siempre y cuando se produzca patología. Generalmente observamos en el examen físico que la mandíbula es más corta y que los caninos inferiores, al cerrar la boca, dañan el paladar, y en los casos más severos se pueden producir fístulas oronasales o daños en el tejido periodontal del canino maxilar.

Figura 3. Oclusión normal.
Clasificación de las Maloclusiones
En odontología las maloclusiones se clasifican como óseas, dentarias o mixtas; y se clasifican en varias clases. Dentro la clase I estarían las mordida cruzadas, rotaciones de piezas dentales, mordida en pinza y la palatinización de caninos. Dentro de la clase II, estaría el braquignatismo, donde los dientes o el hueso maxilar esta avanzado o retrasado (también conocido como enognatismo). Por ultimo, en la clase III, los dientes inferiores o la mandíbula es mas larga que el superior, siendo esta situación del prognatismo.
Las maloclusiones clase 1, 2 y 3 se pueden presentar en las mismas condiciones que en los dientes deciduos, y se han definido ya anteriormente. Es una maloclusión clase 1, en la cual el canino maxilar está desplazado rostralmente, pudiendo entrar en contacto con el tercer incisivo del mismo cuadrante. La etiología es múltiple, pudiendo deberse a enfermedades sistémicas y endocrinas, neoplasias, formaciones quísticas, o a la presión que ejercen el labio, la lengua o la mejilla durante el desarrollo. El diente en lanza, a menudo se diagnostica como hallazgo ocasional a los seis meses de edad, cuando se anestesia al animal para realizar su esterilización. Es importante realizar una buena exploración oral, ya que esta desviación predispone a la enfermedad periodontal.
Al igual que en el caso anterior se trata de una maloclusión de clase 1 existiendo una mayor predisposición en determinadas razas dolicocéfalas y en el Caniche. En este caso, los caninos mandibulares se desplazan lingualmente. Se debe a causas diversas como traumatismos, quistes, neoplasias, persistencia de la dentadura decidua y malposicionamiento del primer molar o tercer incisivo mandibular, que pueden interferir con el patrón normal de erupción.
Opciones de Tratamiento para Maloclusiones
Existen numerosas opciones de tratamiento que se pueden dividir en dos; movimiento ortodóntico del diente o eliminación de la fuente del trauma. Si la maloclusión no es muy grave y se diagnostica pronto, se puede realizar la exéresis en cuña de la encía maxilar para guiar al diente a la posición correcta. Además, podemos poner composite sobre la superficie coronal de los caninos mandibulares, para estimular el correcto movimiento dental. Otro método más barato, pero no por ello menos efectivo y que se ha realizado con éxito eligiendo bien los casos, es la terapia de la pelota de goma.
La terapia ortodóntica tiene excelentes resultados. El medio más común de lograr el movimiento deseado es a través de la realización de un plano inclinado. Se puede llevar a cabo mediante la aplicación de acrílicos dentales colocados directamente en la boca y remodelados hasta hacer un plano inclinado que redireccione los caninos inferiores hasta su posición normal con los movimientos de masticación, o con aparatos fabricados en el laboratorio dental y cementados a los caninos superiores.

Figura 4. Linguoversión de los caninos mandibulares.
Dientes Impactados
Denominamos diente impactado a cualquier pieza dentaria que no ha erupcionado a su debido tiempo, que debe ser cuando el diente contralateral ya lo ha hecho. Este concepto es aplicable tanto en dientes deciduos como definitivos. Existen diferentes causas que pueden originar este proceso , siendo la más frecuente la presencia de una estructura ósea, tejido blando u otro diente (dentadura decidua persistente, apiñamiento y dientes supernumerarios), y en casos más extraños neoplasias o quistes, que interfieren con la erupción normal. En los casos de dientes impactados el tratamiento de elección es la eliminación de la barrera física que impide la erupción espontánea.
Odontomas
Los odontomas son tumores de origen odontogénico, poco frecuentes en los animales de compañía, representando del 0,5-0,7% de todos los tumores de la cavidad oral. Están formados por células epiteliales y mesenquimales capaces de producir todos los tejidos dentales, incluyendo esmalte, cemento, dentina y pulpa. Pueden considerarse más bien malformaciones que neoplasias. Es aquel en el que aún están ordenados y definidos los tejidos que componen el diente (esmalte, dentina, cemento y pulpa).
Los odontomas son generalmente asintomáticos y para su diagnóstico es necesaria la radiología dental; pero el diagnóstico definitivo se lleva a cabo mediante estudio anatomopatológico. Se encuentran en áreas desprovistas de dientes, donde podemos observar externamente áreas de inflamación.

Figura 5. Movimiento ortodóncico del diente.
Hipoplasia del Esmalte
El esmalte recubre la zona de las piezas dentarias expuestas al ambiente de la cavidad oral, y es una capa muy fina de material que se deposita en la superficie del diente en desarrollo (antes de su erupción). Se forma y deposita por el órgano formador de esmalte y su mineralización comienza en la dentina. Los ameloblastos o células formadoras de esmalte, son muy sensibles a estímulos externos y se ven afectados por un gran número de factores causales, distinguiéndose tres tipos de agentes: las anomalías hereditarias como la amelogénesis imperfecta, en la que se produce un descenso en la cantidad de matriz de esmalte que se deposita en un diente, los traumatismos localizados y los factores sistémicos o metabólicos (los primeros afectan a la totalidad de la corona dental y son muy graves).
Las áreas de hipoplasia de esmalte generalmente aparecen como áreas de color amarillo o marrón oscuro y suelen tener una superficie áspera. El cepillado regular de estos dientes es importante para controlar la placa y el sarro que se acumula fácilmente en ellos. El tratamiento más efectivo consiste en la restauración dental con composite. Este proceso comienza con la eliminación de la dentina dañada con una fresa dental de diamante o con un disco de pulido.
Anomalías en el Número de Dientes
Existen alteraciones en el número de dientes, como la hiperdoncia (aumento en el número de dientes) y la hipodoncia (disminución en el número de dientes).
- Hiperdoncia: Es una alteración en la que el número de dientes está incrementado. La presencia de un mayor número de dientes produce un apiñamiento, acúmulo de alimento y aparición temprana de la enfermedad periodontal. Además, pueden originar problemas en la erupción y desviación de piezas adyacentes.
- Hipodoncia: Es una alteración en la que el número de dientes está disminuido. La anodoncia es la ausencia congénita y completa de todos los dientes y es una alteración muy poco frecuente. La hipodoncia es una condición en donde pocos, de uno a cinco dientes, están ausentes. Se puede observar en dientes deciduos y permanentes, siendo en éstos últimos más frecuente. Es muy común en razas pequeñas, especialmente braquicéfalas y en razas sin pelo, como el Crestado Chino.

Figura 6. Incisivo supernumerario.
Salud Bucal en Caninos: Prevención y Cuidado
La salud bucal es una de las tareas pendientes de los dueños. Sólo recientemente se ha investigado a ahondado en ello, ya que la proliferación de la alimentación basada en harinas ha provocado en muchos casos un aumento de sarro y necesidad de limpiezas bucales habituales. Es por ello, que al igual que los humanos, se recomienda al menos un cepillado diario), y una limpieza anual en el veterinario si lo requiriera.
De no realizar estas limpiezas, el sarro creará una placa al rededor del diente, inflamando la encía y provocando gingivitis dolorosas que pueden derivar a retracción de la encía y pérdida de la pieza. En los casos más graves, puede provocar enfermedades periodontales que afecten al corazón, ya que las bacterias que ingresan a través de la boca pueden llegar a los depósitos grasos del corazón a través del torrente sanguíneo y provocar coágulos que acaben en ataques al corazón.
Tabla Resumen de Patologías Dentales en Caninos
| Patología | Descripción | Tratamiento |
|---|---|---|
| Fisura Palatina | Malformación congénita que dificulta la alimentación. | Cirugía correctiva (Técnica de Howard). |
| Persistencia de Dientes Deciduos | Retención de dientes de leche. | Exodoncia temprana. |
| Maloclusiones | Desalineación de los dientes. | Ortodoncia, exéresis, planos inclinados. |
| Dientes Impactados | Dientes que no erupcionan correctamente. | Eliminación de la barrera física. |
| Odontomas | Tumores odontogénicos. | Extirpación quirúrgica. |
| Hipoplasia del Esmalte | Desarrollo incompleto del esmalte. | Restauración con composite, cepillado regular. |
| Hiperdoncia | Número excesivo de dientes. | Extracción de dientes supernumerarios. |
| Hipodoncia | Ausencia de uno o más dientes. | Seguimiento y posible intervención protésica. |
tags: #clases #caninas #odontologia