La fluorosis dental es una hipomineralización del esmalte provocada por la ingesta de altas concentraciones de fluoruro durante la fase de calcificación del diente (periodo pre-eruptivo). Este defecto puede suceder a lo largo del desarrollo del diente, tiempo en el que la ingesta de agua repercute en la formación del esmalte, entre 20 y 36 meses de vida para la dentición permanente y en la vida intrauterina para la dentición temporal, aunque en esta última la fluorosis es menos frecuente.

En Colombia, los estudios de salud bucodental realizados en 1965-66 y 1977-80 informaron que el 97,6% de los colombianos tenían historia de caries dental, por lo que se implementó como estrategia preventiva y como único vehículo de administración de fluoruros la sal de consumo humano. Con el tercer Estudio Nacional de Salud Bucal (ENSABIII) de 1998, se identificó una prevalencia de 11,5% de fluorosis de leve a moderada. Posteriormente, el ENSAB IV reportó un ICF de 0,1% a los 5 años; 0,9% a los 12 años y 0,84% a los 15 años.
Índices para la Clasificación de la Fluorosis Dental
Es importante que el fluoruro esté en el agua de consumo para que el diagnóstico definitivo sea fluorosis, ya que los índices han sido desarrollados con el fin de describir sus características clínicas, definir la severidad de la enfermedad, explicar su comportamiento y decidir la terapéutica indicada.
Índice Comunitario de Fluorosis de Dean (ICF)
Según el Índice Comunitario de Fluorosis de Dean (ICF), se considera que un país presenta fluorosis como problema de salud pública cuando sus valores superan el 0,6%.
Índice Thylstrup y Fejerskov (TF)
El índice Thylstrup y Fejerskov (TF) de 1978 clasifica las lesiones con base en la histopatología de la fluorosis dental, mostrando la secuencia lógica de los diferentes estadios para lograr la planificación acertada del tratamiento. Este índice se diferencia de otros porque hace una descripción detallada de las lesiones y la profundidad en el esmalte, medida en micras ya grupadas en 10 estadios que van desde TF0 o esmalte normal, hasta TF9 esmalte con fluorosis severa.

Otro mecanismo para clasificar las lesiones ocasionadas por la fluorosis es la transiluminación en lesiones superficiales y profundas según sean mayores o menores de 30 micras. Para la selección del tratamiento adecuado, es necesario tener en cuenta la clasificación de la lesión y su correcto diagnóstico.
Tratamientos Mínimamente Invasivos para la Fluorosis Dental
La fluorosis dental afecta tanto los dientes anteriores como los posteriores, pero el segmento anterior es el motivo de consulta preferente para recibir un tratamiento estético y funcional. El manejo de estas lesiones se ha venido realizando mediante tratamientos invasivos, pero el problema es que la mayoría de los pacientes que padecen la fluorosis dental son jóvenes y estos procedimientos resultan en la pérdida injustificada y prematura de los dientes afectados.
En la actualidad, se utilizan diversas técnicas para tratar este tipo de lesiones, generalmente con procedimientos que provocan microabrasión del esmalte, previo al aclaramiento dental y obturaciones con resina. El estudio es una revisión sistemática de 2.299 artículos, donde cuatro revisores realizaron de forma independiente la búsqueda sistemática en Pub Med, Embase, Science Direct y bases de datos EBSCO.
Se seleccionó un total de 22 artículos bajo los siguientes criterios de inclusión: textos científicos cuya población de referencia sea humana, que se encuentren en rango de edad de 6 a 35 años, en idioma inglés, español y portugués, publicados desde el 1 enero de 2009 hasta diciembre de 2018, con diseño de estudio relacionado con metodologías observacionales analíticas (casos y controles - cohortes), ensayos clínicos, reporte de casos y población de referencia con diagnóstico de fluorosis dental en estadios desde TF1 hasta F5.
Para el análisis se aplicó una lista de chequeo a cada uno de los artículos según el tipo de estudio; Strobe: Estudios observacionales y analíticos. Care: Reporte de casos clínicos y Consort: Ensayos clínicos aleatorizados. Estas listas se aplicaron para consolidar la validez interna y externa, controlar los sesgos y obtener validez en los resultados.
Técnicas de Tratamiento
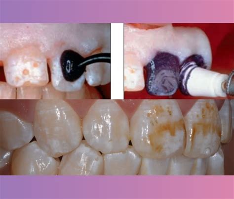
- Microabrasión: Se realiza bajo aislamiento absoluto, con aplicación aproximadamente 1mm de capa de una suspensión micro abrasiva compuesta por ácido clorhídrico al 6%, 15% y 18% o ácido fosfórico al 37% y carburo de silicio o piedra pómez.
- Aclaramiento dental: Procedimiento que se realiza con hipoclorito de sodio, peróxido de hidrógeno y peróxido de carbamida en diferentes concentraciones.
- Resina infiltrante: Se utiliza en combinación con otras técnicas.
- Técnicas combinadas: Macroabrasión en combinación con microabrasión, aclaramiento y resina infiltrante.
Después se aplica el flúor neutro por 1 minuto para remineralizar el esmalte y evitar sensibilidad posterior.
Efectividad según el Estadio de la Fluorosis
TF1 y TF2 se trataron con aclaramiento dental a base de hipoclorito de sodio, peróxido de hidrogeno al 35% y peróxido de carbamida al 10%; microabrasión con ácido fosfórico al 37%; ácido clorhídrico al 6.6% y resina infiltrante. La efectividad reportada en su mayoría fue alta y los resultados estéticos satisfactorios.
[CICLO DE CONFERENCIAS] ▪ Microabrasión del esmalte. Alcances y limitaciones de la técnica

Tabla resumen de tratamientos según el estadio de fluorosis:
| Estadio de Fluorosis | Tratamientos Efectivos |
|---|---|
| TF1 y TF2 | Aclaramiento dental (hipoclorito de sodio, peróxido de hidrógeno al 35%, peróxido de carbamida al 10%), microabrasión (ácido fosfórico al 37%, ácido clorhídrico al 6.6%), resina infiltrante |
| TF3 y TF4 | Microabrasión (ácido clorhídrico al 6% y carburo de silicio), aclaramiento dental |
tags: #clasificacion #de #dean #fluorosis #dental