La fluorosis dental, también conocida como diente veteado o moteado, es una anomalía estructural del esmalte que se forma debido a la ingestión de agua con alto contenido de flúor durante el período de formación del esmalte. El flúor es una sustancia natural que resulta muy beneficiosa para nuestra salud bucal, ya que fortalece el esmalte dental y previene las caries. Sin embargo, la fluorosis dental es un proceso que se da cuando los niveles o la exposición de nuestros dientes al flúor son demasiado altos, y afecta al esmalte.
EVITA LAS CARIES – Causas, PREVENCIÓN y tratamiento de la caries dental | Dentalk! ©
Normalmente, la fluorosis se manifiesta mediante la aparición de manchas en la superficie del esmalte. Y precisamente sobre ello vamos a hablar hoy.

¿Qué es la fluorosis dental?
La fluorosis dental es una alteración que afecta el esmalte dental caracterizada por la aparición de manchas y puntos en los dientes.
Clasificación de la Fluorosis Dental
Podemos clasificar la Fluorosis según Dean en:
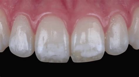
- En la fluorosis dental muy leve aparecen pequeñas zonas blancas como papel y opacas dispersas irregularmente en el diente, pero que afectan a menos de 25% de la superficie dental labial.
- En la fluorosis dental leve la opacidad blanca del esmalte es mayor que la correspondiente a la muy ligera, pero abarca menos de 50% de la superficie dental labial.
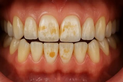
- La fluorosis dental moderada se caracteriza por la presencia de manchas de tonalidades blancas en el esmalte de la pieza. En la fluorosis dental Moderada la superficie del esmalte de los dientes muestra un desgaste marcado; además, el tinte pardo es con frecuencia una característica que la distingue.
- Por último, la fluorosis dental severa origina manchas que ocupan la mayor parte de la pieza y puede provocar rugosidades en el esmalte o modificaciones en la forma del diente. En la fluorosis dental Grave La superficie del esmalte está muy afectada y la hipoplasia es tan marcada que puede afectarse la forma general del diente. Se presentan zonas excavadas o gastadas y se halla un extendido tinte pardo; los dientes a menudo presentan un aspecto corroído.
- Fluorosis severa: Se percibe la aparición de manchas de mayor tamaño, de tonalidades más oscurecidas. También de rugosidades o cambios en la forma de los dientes.
- Fluorosis severa o aguda: en esta fase el paciente presenta caries y aparecen manchas que ocupan gran parte del diente. Si no se trata a tiempo, la fluorosis dacabará afectando la función dental, ya que al debilitar el esmalte, los dientes contraen caries con facilidad.

Otros signos de fluorosis:
- Cambios de color: uno de los principales signos de fluorosis es la aparición de manchas blancas u opacas en los dientes.
- Grietas y estrías: al debilitarse el esmalte dental, comienzan a aparecer pequeñas grietas y estrías, normalmente de color blanco.
- Fluorosis dental severa: se caracteriza por la presencia de rugosidades en el esmalte y las manchas se vuelven más oscuras, adquiriendo una tonalidad marrón.
¿Por qué se produce la fluorosis dental?
El mecanismo por el cual se produce la alteración adamantina radica en una alteración de los ameloblastos causantes de una matriz defectuosa que cuando los niveles de Fluor son muy altos se asocia a alteraciones en la calcificación. El aspecto macroscópico del esmalte veteado es variable y esta en relación al tenor de Fluor del agua en consumo a diferencias climáticas (que regulan la ingestión de agua) y a variaciones individuales. Tal y como hemos dicho, la causa de la fluorosis es una exposición excesiva al flúor durante la etapa de formación de los dientes.
Es importante tener en cuenta que la gravedad de los síntomas depende de la cantidad total de flúor a la que hemos estado expuestos y durante cuánto tiempo. Las manchas en la superficie dental pueden responder a causas muy diferenciadas.
En primer lugar, tenemos que los niveles excesivos de flúor en el agua potable son una de las causas más comunes de fluorosis dental. Normalmente, esto se debe a la ingesta de aguas con una cantidad de flúor superior a 1,5 ppm., lo que puede darse en determinadas zonas.
Por otro lado, ciertos alimentos se procesan con agua fluorada y, determinados suplementos nutricionales pueden contener fluoruro, incrementando así la exposición.
Por último, otra de las causas más relacionadas tiene que ver con la exposición prolongada a ciertos productos como pasta de dientes o colutorios con una cantidad de flúor superior a la recomendada.
Tipo de agua: en algunas zonas el agua potable contiene una cantidad de fluoruro superior a 1,5 mg/l, cantidad que recomienda la Organización Mundial de la Salud (OMS). No obstante, el consumo de agua del grifo en España es segura, por lo que no es una causa habitual en nuestro medio.
Productos de higiene bucodental: el uso de pastas de dientes o colutorios que contienen una concentración o cantidad de flúor superior a la recomendada puede provocar fluorosis dental.
Tratamiento de la Fluorosis Dental
Por ello, el tratamiento adecuado irá en función de la gravedad de las manchas causadas por la fluorosis dental. Los tratamientos para corregir la fluorosis dental dependerán del grado de gravedad de la afección y del estado en que se encuentren los dientes.
El esmalte moteado con frecuencia se mancha de un desagradable y antiestético color pardo. Por razones estéticas es práctico el blanqueamiento con un agente como el peróxido de hidrógeno pero manejado por un experto bucal. Este procedimiento con frecuencia es eficaz (dependiendo del grado de fluorosis); sin embargo debe realizarse periódicamente, ya que los dientes continúan manchándose. Una solución más definitiva es un tratamiento protésico, es decir coronas o fundas dentales de cerámica (porcelana) dental.
En los casos de fluorosis leve se suelen utilizar pastas de dientes y geles remineralizantes para saturar el esmalte con calcio y favorecer, así, su restauración. En los casos moderados, cuando aparecen ciertas manchas, se opta por pastas microabrasivas que remueven la capa del esmalte que ha sido afectada.
En cambio, en los casos de fluorosis moderada o severa, en los que se haya deteriorado el esmalte dental, la solución pasará por restaurar las piezas con composite o cerámica. En los frentes estéticos utilizaremos carillas dentales, finas láminas que nos permiten personalizar el tamaño, color y textura de los dientes. En los sectores posteriores recomendaremos las incrustaciones, fragmentos de cerámica que cubren la parte perdida del diente.
Para corregir la presencia de manchas visibles en esmalte podrá procederse a un blanqueamiento dental profesional que equilibre el tono del esmalte. Blanqueamiento dental: se trata de la opción más común en los casos más leves. El blanqueamiento elimina las manchas y los puntos producidos por fluorosis dental.
Para la selección del tratamiento adecuado, es necesario tener en cuenta la clasificación de la lesión y su correcto diagnóstico. La fluorosis dental afecta tanto los dientes anteriores como los posteriores, pero el segmento anterior es el motivo de consulta preferente para recibir un tratamiento estético y funcional.
El manejo de estas lesiones se ha venido realizando mediante tratamientos invasivos, pero el problema es que la mayoría de los pacientes que padecen la fluorosis dental son jóvenes y estos procedimientos resultan en la pérdida injustificada y prematura de los dientes afectados.
En la actualidad se utiliza diversas técnicas para tratar este tipo de lesiones generalmente con procedimientos que provocan micro-abrasión del esmalte, previo al aclaramiento dental y obturaciones con resina.
El tratamiento más efectivo para lesiones en estadios TF1 y TF2 fue aclaramiento dental con peróxido de carbamida a 15% o peróxido de hidrógeno a 35% durante tres sesiones de 15 minutos cada una, reforzado con peróxido de carbamida a 10%. Para estadios TF3 y TF4 fue microabrasión con ácido clorhídrico al 6% y carburo de silicio y/o con aclaramiento dental.

Microabrasión. Debe realizarse bajo aislamiento absoluto, con aplicación aproximadamente 1mmde capa de una suspensión micro abrasiva compuesta por ácido clorhídrico al 6%,15% y 18% o ácido fosfórico al 37% y carburo de silicio o piedrapómez. Después se aplica el flúor neutro por 1 minuto para remineralizar el esmalte y evitar sensibilidad posterior.
Efectividad en la estética de los tratamientos/estadio. TF1 y TF2 se trataron con aclaramiento dental a base de hipoclorito de sodio, peróxido de hidrogeno al 35% y peróxido de carbamida al 10%; microabrasión con ácido fosfórico al 37%; ácido clorhídrico al 6.6% y resina infiltrante. La efectividad reportada en su mayoría fue alta y los resultados estéticos satisfactorios.
| Tratamiento | Descripción | Efectividad |
|---|---|---|
| Aclaramiento dental | Peróxido de carbamida o hidrógeno | Alta en estadios TF1 y TF2 |
| Microabrasión | Ácido clorhídrico y carburo de silicio | Efectivo en TF3 y TF4 |
| Resina infiltrante | Aplicación de resina tras microabrasión | Satisfactoria en varios estadios |
Prevención de la Fluorosis Dental
Es posible prevenir la fluorosis dental si tomamos las precauciones necesarias durante la infancia. Es importante destacar la importancia de la prevención para evitar así la aparición de fluorosis. El principal modo de evitar dicho problema se basa en conocer la concentración de flúor del agua corriente del grifo de nuestra población.
La buena alimentación y los buenos hábitos de higiene dental son los pilares para un desarrollo correcto de los dientes y para prevenir posibles patologías como la fluorosis. Es importante puntualizar que las etapas leves de fluorosis dental no son fácilmente perceptibles por el paciente, así que es fundamental que durante la etapa de desarrollo de los dientes los pacientes tengan muy en cuenta las consultas periódicas con el odontopediatra, al menos dos veces al año, para tratar estas patologías en su estado inicial y evitar así el deterioro de los dientes.
- Utilizar únicamente dentífricos especialmente recomendados para niños y en la dosis recomendada por el fabricante. De esta manera, nos aseguraremos de utilizar productos que contienen la concentración de flúor adecuada para su edad y caso en particular.
- Otro aspecto que debe tenerse en cuenta es el tipo de pasta de dientes y enjuagues bucales que utilizan los niños. Existen pastas de dientes especiales para la infancia, que contienen los niveles de flúor adecuados.
- Evitar comer en exceso alimentos con una alta concentración de flúor como el pescado azul o las espinacas.
Sin embargo, en los casos más severos este procedimiento resulta insuficiente. Evitar el consumo excesivo de alimentos y suplementos alimenticios con alto contenido de flúor: hay que ser cuidadosos a la hora de controlar las cantidades y respetar las dosis recomendadas.
En cualquier caso, en Asistencia Dental Especializada - ADE, insistimos de nuevo en la importancia de la prevención como principal garantía para contar con un estado de salud bucodental óptimo.
tags: #clasificacion #de #fluorosis #dental