La ortodoncia lingual, también conocida como ortodoncia invisible, es uno de los métodos más eficaces para conseguir una dentadura perfecta. Este tipo de aparatos es tan eficaz como cualquier otro y ofrece los mismos resultados. Si has estado pensando en corregir la alineación de tus dientes, pero te preocupa la estética de los brackets tradicionales, la ortodoncia lingual puede ser la opción ideal para ti. Este innovador tratamiento ortodóncico no solo es efectivo para corregir una amplia gama de problemas dentales, sino que también es prácticamente invisible, ya que los brackets se colocan en la parte interna de los dientes.

¿Qué es la Ortodoncia Lingual?
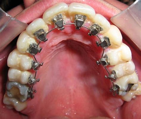
La ortodoncia lingual es una técnica de ortodoncia en la que los brackets se colocan en la cara interna de los dientes, es decir, en la superficie que da hacia la lengua (de ahí el nombre «lingual»). Por el contrario en la ortodoncia lingual los brackets se pegan en la cara interna de los dientes (lingual). La ortodoncia lingual está basada en unos brackets que se colocan en la cara interna (lingual) de los dientes. La ortodoncia lingual es igual de eficaz que otros tratamientos basados en brackets (como los metálicos o los transparentes). Sin embargo, los brackets linguales funcionan de manera ligeramente distinta al resto, ya que su proceso de fabricación es más avanzado. Por tanto, los brackets linguales han sido específicamente diseñados para ser colocados en la cara interior del diente. Esto se debe, entre otras cosas, a que los brackets invisibles están en contacto con la lengua.
El Proceso de Tratamiento con Ortodoncia Lingual
El proceso de tratamiento con ortodoncia lingual comienza con una evaluación detallada de la boca para determinar la mejor estrategia para corregir tus dientes.
1. Diagnóstico Inicial
Tras una primera visita se valora el estado de salud general de la boca del paciente y qué tratamiento es el más adecuado según sus necesidades. En la primera consulta, tu ortodoncista evaluará la alineación de tus dientes y determinará si la ortodoncia lingual es adecuada para ti.
2. Planificación 3D (Setup)
El ortodoncista, gracias al estudio realizado previamente, desarrolla mediante un software 3D (Setup) todo el tratamiento ortodóncico de forma virtual. El diseño es mucho más sofisticado, ya que el ortodoncista utiliza un programa de diseño 3D para planificar la sonrisa final del paciente.
3. Fabricación de Brackets Personalizados
Una vez aceptado el Setup se envía el archivo a 3M en Alemania que confecciona los brackets linguales y los arcos personalizados para el paciente. Es decir, cada diente necesita un bracket elaborado exclusivamente para él. La cara interna de los dientes varía tanto de un paciente a otro que es imposible fabricar un aparato lingual estándar que sirva para todo el mundo. La ortodoncia lingual Incógnito se fabrica a medida de la boca de cada paciente. Tanto los brackets como los arcos están hechos con una aleación de oro.

4. Colocación de los Brackets Linguales
Una vez que los brackets personalizados estén listos, se colocan en la parte posterior de los dientes utilizando un adhesivo especial. Antes de la cita, los ortodoncistas colocan los brackets linguales en la férula que servirá para transferir la ortodoncia a los dientes del paciente. En este punto, limpiamos y secamos los dientes.
Cementado Directo vs. Indirecto
- Cementado directo: El ortodoncista debe colocar los brackets, uno a uno, en los dientes del paciente.
- Cementado indirecto: Se colocan todos los brackets fuera de la boca, en una férula. El ortodoncista escanea la boca del paciente mediante un escáner intraoral en tres dimensiones.
5. Ajuste de los Brackets y Colocación del Arco
Al igual que con otros tratamientos de ortodoncia, tendrás citas periódicas para ajustar los brackets y asegurarte de que los dientes se muevan según lo planeado. El último paso del proceso consiste en la colocación del arco. Una vez que los brackets linguales han quedado correctamente sujetos, se coloca el arco entre ellos y se ajusta.
Dicho todo lo anterior, conviene mencionar que, en muchos casos, la colocación completa de la ortodoncia lingual se realiza en dos sesiones. Esto resulta más beneficioso para el paciente por dos motivos. Por un lado, el proceso de adaptación a la ortodoncia es más sencillo y paulatino.
¿Quién es un Candidato Ideal para la Ortodoncia Lingual?
La ortodoncia lingual es adecuada para muchas personas que desean corregir la alineación de sus dientes sin comprometer la estética de su sonrisa durante el tratamiento. Sin embargo, no todos los pacientes son candidatos ideales.
- Personas preocupadas por la estética: Si trabajas en un entorno profesional o social donde la apariencia es importante, la ortodoncia lingual es una excelente opción.
- Limitaciones de espacio: La ortodoncia lingual puede ser una opción viable para aquellos con estrechos arcos dentales o problemas de espacio en la boca que dificultan la colocación de brackets convencionales.
Ventajas de la Ortodoncia Lingual
Si bien existen varias opciones para corregir la alineación de los dientes, la ortodoncia lingual ofrece ventajas únicas que la hacen especialmente atractiva para ciertos pacientes.
- Invisibilidad total: A diferencia de los brackets tradicionales o incluso los alineadores transparentes, la ortodoncia lingual es completamente invisible. Sin embargo, podemos afirmar que la ortodoncia lingual es el único procedimiento completamente imperceptible, incluso a distancias cortas.
- Personalización: Los brackets linguales son completamente personalizados para cada paciente. Además es un tratamiento adaptado a cada paciente ya que los brackets se hacen a medida de cada boca. Esto puede entenderse como una ventaja debido a la precisión que ofrece dicha personalización.
- Precisión: La ortodoncia lingual ofrece el mismo nivel de precisión que los brackets tradicionales, ya que permite controlar con exactitud el movimiento de los dientes.
- Progresos visibles: Al estar colocados en la cara interna de los dientes, otro de los beneficios de los brackets linguales es que permiten observar la evolución de la sonrisa.
- No dañan el esmalte: Al colocarse en la cara interna de los dientes, no existe ningún riesgo de que puedan dañar o afear la parte más visible de la sonrisa.
- Se acorta la duración del tratamiento.

Desventajas de la Ortodoncia Lingual
Aunque la ortodoncia lingual ofrece muchas ventajas, también es importante considerar sus desventajas:
- Adaptación inicial: Al estar colocados en la parte interna de los dientes, los brackets linguales pueden causar incomodidad al principio, especialmente al hablar o comer. El paciente debe acostumbrarse tanto a hablar como a comer con el aparato. Al comenzar el tratamiento vas anotar ligeras molestias en la lengua y en algunos casos cambios en la pronunciación de las palabras. Todo ello desaparecerá en dos o tres semanas.
- Higiene más compleja: Una ortodoncia lingual dificulta el proceso de limpieza de tus dientes. Debes tener en cuenta que con el aparato es más complicado llegar a ciertas zonas de la boca. Por eso, el riesgo de sufrir caries o enfermedades periodontales se incrementa ligeramente mientras dura el tratamiento.
- Precio elevado: La otra desventaja es que su precio es algo más alto que el de otros tratamientos. Hay que tener en cuenta que el material utilizado para fabricar los brackets es más costoso y el ortodoncista debe ser experto en esta opción. Además, la fabricación de los aparatos linguales es totalmente individualizada, lo que hace que aumenten los costes.
- Disponibilidad limitada: Sin embargo, a largo plazo esa disponibilidad limitada genera más inconvenientes ya que en caso de rotura o fractura del bracket el proceso de fabricación podría prolongar el tratamiento ya que requiere alta especialización y laboratorios específicos.
Cuidado y Mantenimiento de la Ortodoncia Lingual
Mantener una buena higiene bucal es fundamental durante cualquier tratamiento ortodóncico, pero con la ortodoncia lingual, es especialmente importante debido a la ubicación de los brackets.
- Cepillado frecuente: Es fundamental cepillarse los dientes después de cada comida para evitar la acumulación de placa y restos de alimentos alrededor de los brackets linguales. Debes cepillarte durante al menos un par de minutos después de cada comida.
- Uso de hilo dental: Aunque puede ser más complicado, es esencial usar hilo dental diariamente para limpiar entre los dientes y evitar la acumulación de placa.
- Visitas regulares al ortodoncista: Asegúrate de asistir a todas las citas programadas para ajustes y revisiones.
- Enjuagues bucales: Los enjuagues bucales también ayudan. Te recomendamos que mientras dure el tratamiento trates de evitar las comidas muy ácidas.
En este último campo, muchos ortodoncistas recomiendan que se use un irrigador bucal para evitar que queden restos de comida en el aparato. Se trata de un aparato que expulsa un chorro de agua a presión y que consigue eliminar restos que el cepillo ha pasado por alto.
Duración del Tratamiento
La duración del tratamiento con brackets linguales está estrechamente relacionada con la complejidad del caso y el grado de maloclusión que presente el paciente. Normalmente, la ortodoncia lingual debe llevarse alrededor de 18 meses. Cuando un ortodoncista realice el estudio previo del caso, podrá determinar la duración del procedimiento.

Molestias y Dolor
Al principio, los brackets te harán sentir molestias. Al principio, los brackets te harán sentir molestias. Es cierto que necesitarás un tiempo para adaptarte, pero durante ese periodo lo que se pueden sentir son molestias al hablar y al masticar, que en ningún caso te impedirán llevar una vida normal. De la misma forma, es posible que se puedan sentir ciertas molestias cada vez que se revisa la ortodoncia. Pero lo que está claro es que nunca se debe sentir dolor con una ortodoncia lingual. Si te sucede, consulta con tu odontólogo.
En el caso de las molestias, si eres una persona muy sensible, tu dentista puede recomendarte que tomes analgésicos para aliviarlas. En ningún caso debes automedicarte. Si tienes pequeñas llagas o heridas producidas por el roce del aparato, te aconsejamos que hagas uso de la cera especial para ortodoncia. Sólo deberás colocar una pequeña parte en la zona que está provocando la herida para evitar la acción directa de los brackets sobre la mucosa. Es aconsejable seguir una dieta blanda -purés, sopas o guisos fáciles de masticar-. Por ello, es frecuente que aparezca acumulación de placa bacteriana o gingivitis.
Retención
Hay que tener en cuenta que cualquier tratamiento de ortodoncia no termina con la retirada de los brackets. Cuando esto sucede, se inicia una segunda fase: la de retención. Los dientes sin brackets tienden a volver a su posición original.
Tipos de retenedores:
- Retenedores removibles.
- Retenedores fijos: Se trata de unas láminas muy finas de alambre que se cementan en la cara interna de los dientes.
Consideraciones Adicionales
Aunque la ortodoncia lingual presenta algunas consideraciones adicionales en comparación con otros tratamientos ortodónticos, sus ventajas estéticas y efectividad en la corrección dental la convierten en una opción atractiva para aquellos que deseen una solución discreta y eficaz.
- Limitaciones alimentarias: Durante el tratamiento de ortodoncia lingual, es recomendable evitar alimentos pegajosos o duros que puedan dañar los brackets o los dientes. Para evitar que esto ocurra te recomendamos que no consumas alimentos muy duros o pegajosos. También hay que restringir el consumo de ciertos alimentos duros que puedan provocar que los brackets se caigan o despeguen. Por último, se debe evitar la costumbre de comer bocadillos o manzanas a mordiscos.
- Visitas regulares al ortodoncista: Para asegurar el progreso adecuado del tratamiento, es necesario realizar visitas periódicas al ortodoncista. Por supuesto, si quieres que el tratamiento funcione, es fundamental que cumplas con todas las visitas pautadas por tu ortodoncista. De esta forma, se podrá controlar todo el proceso y comprobar que todo está saliendo como estaba previsto.
Te explico la Ortodoncia Lingual ! Ventajas y Desventajas para pacientes y Odontólogos!
tags: #colocacion #de #brackets #linguales