Las carillas dentales son una de las posibles soluciones para restaurar la estética de tu sonrisa, ya que están diseñadas para imitar la apariencia natural de tus dientes. ¿Has pensado, o te han recomendado ponértelas? A continuación, descubre qué son, los distintos tipos que existen y cómo se colocan.
¿Qué son las carillas dentales y para qué sirven?
Las carillas dentales son finas láminas, generalmente de porcelana o resina compuesta, que se colocan sobre la superficie frontal de los dientes para mejorar su apariencia estética. Se fabrican a medida para adaptarse a cada paciente y se adhieren al esmalte del diente. Son una opción popular para quienes buscan hacer cambios superficiales en su sonrisa, como mejorar el tamaño, forma o color de sus dientes, ya que proporcionan una solución duradera y estética.

¿Para qué sirven las carillas dentales?
Las carillas dentales sirven para corregir pequeños defectos que afectan al color, el tamaño, la forma o la posición de los dientes. Entre las imperfecciones que pueden solucionar podemos destacar las siguientes:
- Dientes amarillos o con manchas
- Desgastes en el esmalte
- Diastemas (espacios entre los dientes)
- Leves malposiciones dentales
- Fisuras o fracturas
En cualquiera de los casos anteriores es necesario que el odontólogo realice una valoración del paciente para determinar si las alteraciones de sus dientes pueden ser corregidas con carillas.
¿Cuándo es recomendable ponerse carillas?
Algunos casos comunes en los que es recomendable el uso de carillas dentales son:
- Desgaste dental: principalmente para dientes que han sufrido desgaste por bruxismo.
- Daño o roturas: para restaurar la apariencia de dientes que están astillados, fracturados o tienen imperfecciones menores.
- Desalineación leve y pequeños espacios: como alternativa a la ortodoncia en casos de desalineaciones leves o para cerrar pequeños huecos entre los dientes.
- Manchas o decoloración: ideal para dientes que han cambiado de color o tienen machas profundas y no responden bien a técnicas de blanqueamiento dental.
- Mejora estética general: para aquellos que desean tener una sonrisa más uniforme y atractiva.
En todos estos casos, es fundamental la evaluación por parte de un profesional dental, quien podrá determinar si las carillas son la opción más adecuada según las necesidades y condiciones específicas del paciente.
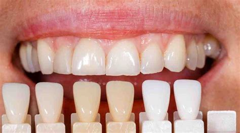
Tipos de carillas dentales
Existen diferentes tipos de carillas, cada una diseñada para satisfacer necesidades estéticas específicas y adaptarse a diferentes condiciones dentales. Las más destacadas son:
Carillas de porcelana
Esta tipología es la opción más popular debido a su aspecto natural y a su resistencia a las manchas. Aunque suelen tener un precio superior al de otras alternativas, destacan por su durabilidad y habilidad para corregir defectos como dientes astillados o desgastados. Este tipo de carillas dentales puede requerir múltiples visitas al dentista para su colocación, debido a que previamente es posible que haya que realizar un tallado de los dientes.
Las carillas de porcelana o cerámica son traslúcidas, lo que permite imitar la apariencia del esmalte. Este material es más resistente y duradero que la resina, a diferencia de esta no se mancha, por lo que su apariencia dura más tiempo. Dentro de las carillas de porcelana encontramos las Lumineers y e.max, que son ultrafinas. Con ellas se logra un resultado muy natural, pero también son las más costosas.
¿Cuánto duran? La vida útil de las carillas de porcelana es de entre 10 a 15 años.

Carillas de resina compuesta o composite
Las carillas de composite son una opción efectiva y más económica que no compromete demasiado las piezas dentales. Están hechas de un material de resina compuesta que se adapta al color natural del diente. Son ideales para corregir pequeñas imperfecciones, como dientes ligeramente torcidos o manchados. A diferencia de las carillas de porcelana, las de composite pueden aplicarse en una sola visita al dentista, ofreciendo una solución más rápida y menos invasiva, aunque requieren más mantenimiento.
Están fabricadas con resina compuesta y se pueden colocar en una sola visita. Una de las ventajas de este material es que es el más económico. Su aplicación es rápida y el material se puede modelar sobre el diente.
¿Cuánto duran? La vida útil de las carillas dentales de composite es de entre 5 a 7 años.

Carillas de zirconio
Están fabricadas con óxido de zirconio, un material cerámico resistente y no poroso, que imita perfectamente el esmalte natural del diente y resiste la decoloración y las manchas. Son ideales para quienes buscan resultados óptimos sin comprometer la funcionalidad de la sonrisa.
Este material ofrece una apariencia extremadamente natural y una gran resistencia. Son fabricadas con precisión utilizando tecnología avanzada.
¿Cuánto duran? La vida útil de las carillas de zirconio es de entre 10 y 15 años.
¿Cómo se colocan las carillas dentales?
El proceso de colocación de las carillas comienza con una consulta inicial donde el dentista evalúa el caso del paciente. Si se considera apto, los siguientes pasos suelen ser:
- Preparación del diente: para algunas carillas de porcelana esto puede incluir el tallado de una pequeña cantidad del diente para asegurar un ajuste adecuado.
- Escaneo intraoral 3D o toma de impresiones: este escáner realiza una captura detallada y rápida de los dientes del paciente, creando un modelo exacto que se envía a un laboratorio para la fabricación de las carillas.
- Aplicación: una vez que las carillas están listas, se adhieren a los dientes utilizando un adhesivo especial y se tratan con luz para solidificar el pegamento.

Ventajas de las carillas dentales
Las ventajas de las carillas dentales son numerosas para aquellos que desean mejorar su sonrisa. Algunas son:
- Mejora significativa en la apariencia de los dientes.
- Las carillas, especialmente las de porcelana y zirconio, destacan por su resistencia a las manchas y durabilidad, requiriendo poco mantenimiento más allá de una buena higiene bucal.
- Tratamiento de estética dental poco invasivo: su colocación es realmente sencilla y generalmente indolora.
Desventajas de las carillas dentales
- Precio relativamente alto, especialmente para las de porcelana y zirconio.
- Proceso irreversible en algunos casos de carillas de porcelana que requieren tallado previo de los dientes.
- No son una solución para problemas dentales más complejos como dientes muy desalineados o problemas de maloclusión.
¿Cuánto cuestan las carillas dentales?
Los precios de las carillas dentales dependen principalmente del material del que están hechas, el caso específico del paciente o la clínica dental:
| Tipo de Carilla | Precio (por diente) |
|---|---|
| Carillas de porcelana | 400 - 1.000€ |
| Carillas composite | 150 - 400€ |
| Carillas zirconio | 500 - 1.000€ |
Es importante tener en cuenta que el seguro dental no suele cubrir el coste de las carillas dentales.
El precio de las carillas dentales para la boca completa puede variar según el material y la clínica dental.
Alternativas a las carillas dentales
Dependiendo del resultado que estemos buscando, o el tratamiento que necesitemos, existen algunas alternativas a las carillas:
- Empaste dental: útil para corregir imperfecciones. Es menos invasivo y más económico que las carillas.
- Coronas dentales: cubren el diente entero y se utilizan en casos de caries severas o daño considerable.
- Blanqueamiento dental: puede ser una solución efectiva para mejorar el color de los dientes sin intervenciones invasivas.
- Tratamientos de ortodoncia: incluye ortodoncia invisible o brackets para corregir casos estéticos más complejos, como apiñamientos dentales.

Carillas Dentales Vs Diseño de Sonrisa | Lo que tienes que saber antes de decidir
Mantenimiento y cuidados de las carillas dentales
Es importante cuidar las carillas tal y como lo harías con tus dientes naturales. De este modo mantendrán su funcionalidad a largo plazo.
Esto incluye una rutina de higiene meticulosa, cepillándote los dientes dos veces al día con un cepillo de cerdas suaves y pasta dental con flúor.
- Evita el consumo de alimentos y bebidas que manchen.
- Utiliza un protector bucal si practicas deportes de contacto.
- Evita morder objetos duros como hielo, caramelos o lápices, ya que esto puede dañar tus carillas.
- Si sufres de bruxismo habla con tu odontólogo para que te proporcione un protector.