La salud de tus encías es fundamental para una boca sana. Es crucial prestar atención al estado de la línea de tus encías, ya que son la base de una boca sana.
La retracción de las encías se produce como resultado de la placa bacteriana que destruye el tejido alrededor de la línea de tus encías. Esto puede provocar exposición del diente y sensibilidad. A menudo, los problemas como la enfermedad de las encías pueden causar que las encías se retraigan; si sospecha que padece enfermedad de las encías, consulte con su dentista o higienista para obtener un diagnóstico y tratamiento adecuados.
Para ayudarte mejor a garantizar que no experimentes problemas de encías, prueba a enjuagarte con un enjuague bucal sin alcohol para proteger mejor la línea de las encías y reforzar tu limpieza bucal general. Para mantener las encías en buenas condiciones, es importante seguir una rutina de higiene bucal exhaustiva: cepillarse dos veces al día, pasar el hilo dental al menos una vez al día, y ver a tu dentista o higienista en seguida. Visita a tu dentista o higienista al menos dos veces al año para limpiezas y revisiones. Mejorar tu rutina de cuidado bucal con el enjuague bucal adecuado puede ayudar a mantener tus encías en buenas condiciones, especialmente cuando se combina con una rutina de higiene bucal correcta y visitas a tu dentista o higienista.
Para proteger tus encías y reforzar el esmalte, prueba a usar el Enjuague bucal Oral-B Encías y Esmalte Care.
Como odontólogo con años de experiencia, entiendo tu preocupación si estás buscando el mejor enjuague bucal para periodontitis. La periodontitis (piorrea) es una enfermedad grave e irreversible de las encías que, si no se trata a tiempo, puede provocar la pérdida de dientes. Quiero ayudarte de forma cercana y experta a resolver todas tus dudas para que puedas elegir el colutorio adecuado y cuidar tu salud bucal. Hablaremos sobre qué es la periodontitis, por qué un enjuague bucal puede ser tu aliado, compararemos los mejores enjuagues (marcas, ingredientes, pros y contras) y te daré recomendaciones profesionales y consejos adicionales.
¿Qué es la Periodontitis?
La periodontitis es una enfermedad inflamatoria crónica que afecta los tejidos de soporte del diente: encías, ligamento periodontal y hueso alveolar. Suele comenzar con una gingivitis (encías inflamadas y sangrantes) que no se trató a tiempo. En la periodontitis, las bacterias de la placa bacteriana avanzan bajo la encía formando bolsas periodontales que destruyen el hueso.
Los síntomas pueden incluir encías rojas, sangrado espontáneo, mal aliento, recesión (encías retraídas), movilidad dental e incluso pérdida de dientes. Además, la periodontitis no solo afecta tu boca: se ha asociado a un mayor riesgo de problemas sistémicos como diabetes o enfermedades cardiacas.
Si sospechas que tienes periodontitis (encías que sangran, dientes flojos, etc.), acude al dentista cuanto antes. Solo un tratamiento periodontal (limpieza profunda, raspados e incluso cirugía en casos avanzados) puede frenar la enfermedad. Los enjuagues bucales son un coadyuvante muy útil, pero no sustituyen el tratamiento dental profesional.
Además del cepillado dental correcto y el uso de hilo o cepillos interdentales, el enjuague bucal adecuado puede marcar una gran diferencia en el control de la periodontitis.
Beneficios de un enjuague bucal adecuado:
- Reducción de bacterias: Los colutorios terapéuticos contienen agentes antimicrobianos que eliminan o inhiben las bacterias de la boca.
- Alcance donde no llegas con el cepillo: Incluso con la mejor técnica de cepillado, es difícil alcanzar todos los rincones (sobre todo dentro de las bolsas periodontales).
- Propiedades antiinflamatorias: Algunos colutorios incluyen ingredientes que calman la inflamación de las encías y favorecen su cicatrización (por ejemplo, algunos contienen flúor para fortalecer, o componentes como el aloe vera o la provitamina B5 que ayudan a la regeneración).
- Prevención de recaídas: Tras un tratamiento periodontal exitoso, el uso regular de un enjuague recomendado ayuda a prevenir recaídas y mantener a raya la enfermedad a largo plazo.
El Papel de la Clorhexidina
Seguramente has oído hablar de la clorhexidina, y no por casualidad. La clorhexidina (CHX) es el antiséptico estrella en periodoncia, el más recomendado para controlar las infecciones periodontales. ¿Por qué? Porque es de amplio espectro (elimina muchos tipos de bacterias) y tiene un efecto residual: se adhiere a la mucosa y dientes, permaneciendo activa por horas, lo que previene el crecimiento bacteriano continuo.
Ahora bien, la clorhexidina no está exenta de inconvenientes. Su uso prolongado o inadecuado puede causar efectos secundarios molestos: mancha los dientes y la lengua (tinciones marrones superficiales) y puede alterar temporalmente el sentido del gusto. Por eso no debe usarse a diario de forma indefinida sin indicación profesional. Normalmente los dentistas recomendamos usar colutorios con clorhexidina en periodos cortos (1-2 semanas) durante fases de tratamiento activo o brotes de infección, y luego descansar o pasar a uno más suave de mantenimiento.
Además de la clorhexidina, existen enjuagues con Cloruro de Cetilpiridinio (CPC), un antiséptico que suele combinarse con la propia clorhexidina para potenciar su efecto. De hecho, clorhexidina + CPC forman un sistema doble muy efectivo: la clorhexidina elimina las bacterias y el CPC inhibe su crecimiento y la formación de toxinas de la placa. Esta combinación permite controlar mejor la infección.
También hay colutorios con hexetidina (otro antiséptico), con aceites esenciales (tipo Listerine) o con flúor y otros aditivos.
Un enjuague bucal adecuado es un gran aliado contra la periodontitis: ayuda a controlar las bacterias, reduce la inflamación y complementa tu higiene diaria. Pero recuerda que es un complemento, no la solución única: por sí solo no cura la periodontitis, sino que acompaña al tratamiento dental y a una buena rutina de limpieza.
A continuación, te presento una comparativa de los enjuagues bucales más recomendados por dentistas para periodontitis. He seleccionado las marcas y formulaciones de referencia, explicando sus ingredientes activos, pros y contras. Todas estas opciones están orientadas a combatir la placa bacteriana y las infecciones de encías.
Nota: Antes de elegir, ten presente que “el mejor colutorio es el que lleva clorhexidina, pero en la concentración y duración apropiadas para tu caso, algo que debe indicar tu dentista”.
😁 Tratamientos para ENCÍAS RETRAÍDAS: ¿Hay solución? ¿Las encías se regeneran? ¿Cuál es su CAUSA?
Comparativa de Colutorios Recomendados
Aquí tienes una tabla comparativa con algunos de los colutorios más recomendados por los dentistas para tratar la periodontitis y la retracción de encías:
| Colutorio | Ingredientes Activos | Pros | Contras | Indicaciones |
|---|---|---|---|---|
| Colutorio Lacer Clorhexidina 0,12% | Clorhexidina 0,12%, Xilitol | Acción rápida y prolongada, bactericida potente, sin alcohol, previene caries. | Uso limitado a 1-2 semanas, puede manchar los dientes y alterar el gusto. | Tras raspado o cirugía periodontal, o en episodios agudos de infección. |
| Perio·Aid Tratamiento | Clorhexidina 0,12%, CPC 0,05% | Potente acción antibacteriana, sin alcohol, ideal para post-operatorios. | No usar por más de 2-3 semanas por riesgo de manchas. | Tras cirugías periodontales, raspados en casos de periodontitis severa. |
| Perio·Aid Mantenimiento | Clorhexidina 0,05%, CPC 0,05% | Control diario de bacterias, menor riesgo de tinción, apto para uso diario. | En infecciones severas puede ser insuficiente. | Uso continuado tras la fase aguda del tratamiento, colutorio preventivo. |
| GUM Paroex 0,12% | Clorhexidina 0,12%, CPC 0,05% | Efectividad alta, sin alcohol, sabor agradable. | Potencial de manchas y alteración del sabor con uso prolongado. | Tratamiento intensivo tras limpieza profesional o cirugía. |
| GUM Paroex 0,06% | Clorhexidina 0,06%, CPC 0,05% | Menor concentración de CHX, uso a largo plazo con mínimo riesgo de efectos secundarios. | Potencia moderada, no para infecciones activas fuertes. | Uso inmediato tras la fase intensiva, para consolidar la salud gingival. |
| Parodontax Extra (0,2% CHX) | Clorhexidina 0,2% | Concentración elevada de CHX, muy eficaz eliminando bacterias. | No usar más de 1 o 2 semanas para evitar manchas y alteración del gusto. | Gingivitis muy agudas, abscesos periodontales, post-cirugías delicadas. |
| Colutorios con hexetidina (Oraldine) | Hexetidina | Útil para infecciones leves. | Menos potente que la CHX. | Gingivitis iniciales. |
| Enjuagues de aceites esenciales (Listerine, etc.) | Mentol, eucaliptol, timol | Acción antibacteriana moderada, refrescan el aliento. | Contienen alcohol en muchas versiones, puede irritar o secar la boca. | Mantenimiento en encías sanas tras la fase de tratamiento, o para personas que no toleran la CHX. |
| Enjuagues con flúor y CPC (Vitis Encías CPC, Colgate Total Encías) | CPC al 0,05%, flúor | Antiséptico diario, previene caries. | - | Tras finalizar con clorhexidina, para continuar cuidando las encías sin los efectos secundarios de ésta. |
| Enjuagues naturales o caseros | Agua con sal, infusiones (manzanilla, salvia), aceite de árbol de té | Pueden servir como apoyo. | No reemplazan a los colutorios medicados. | Apoyo temporal para disminuir la inflamación. |

Consideraciones Finales para Elegir tu Colutorio
Después de ver todas estas opciones, puede abrumar un poco la cantidad de productos. ¿Con cuál te quedas? La respuesta dependerá de tu situación específica. Como profesional, mi recomendación es individualizar la elección del colutorio. No hay una respuesta única, sino que depende de la severidad de tu periodontitis, si estás en fase activa de tratamiento o en mantenimiento, y de tus características (por ejemplo, sensibilidad oral, otras condiciones de salud).
- Sigue las indicaciones de tu dentista: Es posible que tras un tratamiento periodontal tu odontólogo te haya recetado un colutorio específico (muchas veces te lo dan por escrito). Hazle caso a esa indicación. Él/ella conoce tu caso y sabrá si necesitas un 0,12% por X días o uno de mantenimiento.
- Fase activa vs mantenimiento: Si estás en plena fase activa (encías muy inflamadas, post-raspado o con infección presente), suelen indicarse colutorios de clorhexidina 0,12% u 0,2% por tiempo limitado. En cambio, para mantenimiento a largo plazo, tras controlar la enfermedad, es preferible bajar a clorhexidina 0,05-0,06% o a CPC solo.
- Considera la concentración de clorhexidina: Como vimos, hay varias concentraciones. No por usar la más alta (0,2%) va a ser “mejor” si no toca; de hecho podría mancharte en exceso. La concentración adecuada a tu caso es la que funciona. Muchas veces 0,12% por 1-2 semanas es suficiente para desinfectar; luego se puede mantener con 0,05%.
- Con o sin alcohol: En general, prefiere colutorios sin alcohol. El alcohol enjuaga y potencia la acción antiséptica de algunos ingredientes, pero también puede resecar la mucosa, irritar y agravar el sangrado en encías delicadas. Hoy día casi todos los colutorios terapéuticos (Lacer, PerioAid, GUM, Parodontax) son libres de alcohol o tienen versiones “Zero”.
- Sabor y cumplimiento: Puede parecer secundario, pero el sabor influye en que uses o no el producto. Si un enjuague te resulta muy desagradable, acabarás usándolo menos de lo indicado. Por suerte, la mayoría de marcas han mejorado el sabor (menta fresca, etc.). Si eres muy sensible a sabores amargos, podrías probar marcas reconocidas por mejor palatabilidad (por ejemplo, PerioAid suele ser aceptable, Lacer también; en cambio los genéricos hospitalarios de CHX a veces saben peor).
- Posibles contraindicaciones: Aunque raras, algunas personas pueden ser alérgicas a componentes como la clorhexidina (erupciones, descamación). Si notas alguna reacción inusual, suspende el uso y consulta.
- Costo y disponibilidad: Todos los colutorios mencionados se venden en farmacias. El costo varía: los de marcas como Lacer, Dentaid, GUM rondan un precio medio; hay opciones más baratas (colutorios genéricos de CHX) pero verifica siempre la concentración y composición. A veces lo barato sale caro si no es efectivo o no te gusta. Mi consejo: invierte en uno bueno durante el periodo crítico de tratamiento.
- No te automediques indefinidamente: Insisto en esto: he visto pacientes que compran colutorio de clorhexidina y lo usan meses...
Geles para Regenerar las Encías
¿Alguna vez has utilizado algún gel para regenerar las encías? Si no se proporciona el cuidado necesario, puede provocar la retracción de las mismas. Este problema puede ocasionar desde una simple inflamación hasta el desarrollo de algo mucho más grave como una enfermedad periodontal.
Sin embargo, no tienes de qué preocuparte porque no todo es tan malo como parece. En la clínica dental en Madrid Ruiz de Gopegui, te ofrecemos los mejores especialistas para ofrecerte resultados óptimos y un buen seguimiento tras el tratamiento realizado. Es un gel bioadhesivo y bucal con propiedades antisépticas, reparadoras y regeneradoras de los tejidos gingivales que favorece la regeneración de la mucosa bucal. Contienen componentes como clorhexidina, ácido hialurónico y pantenol. Este gel se centra en el cuidado profiláctico de las encías, aporta un contenido en neem y aceite de salvia, regenerando aquellas encías sensibles e irritadas.
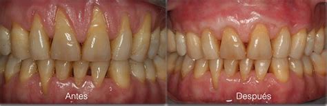
¿Se Regeneran las Encías Retraídas?
La respuesta a esta pregunta es un rotundo no. Las encías retraídas es el término que se le atribuye al proceso en el cual el tamaño del tejido de las encías empieza a desgastarse. Generalmente, este problema da inicio a grandes aglomeraciones de bacterias, lo que suele generar si no se trata a tiempo ciertas enfermedades periodontales y que dependiendo del grado de afección nuestros especialistas determinarán un tratamiento u otro.
Como ya sabemos, no es posible que nuestras encías se regeneren por sí solas, por lo que la recuperación gingival se realizará tras acudir con nuestros especialistas. Suele realizarse de manera quirúrgica y para ello se extrae una parte del tejido blando del paladar para insertarla en el área de la encía a reponer. En este caso se procede a realizar el estiramiento de encías sin necesidad de requerir algún injerto del paciente; sin embargo, esta técnica suele ser poco favorable debido a que no hay suficiente tejido para estirar, por lo que se termina recurriendo a la primera técnica.
Existen mezclas de diversos componentes sólidos combinados con agua que aporta atribuciones de manera efectiva en cuanto el mantenimiento de la salud dental se trata. Como hemos aprendido, los geles y las pastas son productos sintéticos o naturales que cumplen con un principio en general, el cual es mantener la limpieza como también la salud de nuestras piezas dentales y las encías.
En cambio, las pastas dentales pueden variar en cuanto su textura, debido a que se presenta de manera más gruesa que los geles y su color no es tan claro y transparente. En Clínica Ruiz de Gopegui solemos atender personas que han sufrido de algún tipo de recepción en la zona gingival, ocasionando que las piezas dentales queden totalmente desprotegidas.
Si quieres regenerar tus encías y no vale con los geles, puede ser que necesites un injerto de encías, en la que el Dr. Manuel Ruiz de Gopegui, sigue técnicas realmente novedosas y de alta tasa de éxito. Tener unas encías sanas puede evitar que en un futuro se necesiten implantes dentales.
Causas y Tratamientos de las Encías Retraídas
¿Has notado alguna vez que tus dientes parecen más largos de lo normal o sientes sensibilidad en la línea de las encías? Las encías retraídas se producen cuando el tejido de las encías se separa de los dientes, dejando al descubierto las raíces y exponiéndose a caries y sensibilidad. La buena noticia es que existen opciones de tratamiento para ayudar a prevenir daños mayores y restaurar el tejido de las encías.
Las encías son los tejidos blandos que cubren los huesos de la boca y ayudan a sostener los dientes. Las encías retraídas se producen cuando el tejido gingival que rodea los dientes se desprende, dejando al descubierto la raíz del diente. Si no se trata, puede provocar sensibilidad, caries e incluso la pérdida del diente.
La genética puede influir en la retracción de las encías. Algunas personas son más susceptibles a las enfermedades de las encías debido a sus genes, lo que puede provocar que las encías se retraigan. Aunque pueda parecer lo contrario, cepillarse de manera agresiva no es bueno ni para los dientes ni para las encías. Un cepillado agresivo puede desgastar el esmalte de los dientes y provocar la retracción de las encías. Cepillarse los dientes con demasiada fuerza también puede hacer que las encías se retraigan, especialmente si se cepilla con movimientos de vaivén.
La enfermedad de las encías es una infección bacteriana que puede dañar las encías y el hueso que sostiene los dientes. La gingivitis es la primera etapa de la enfermedad de las encías, y puede hacer que las encías se enrojezcan, se hinchen y sangren con facilidad. Si no se trata, la enfermedad de las encías puede evolucionar a periodontitis, que puede hacer que las encías se retraigan y provocar la pérdida de dientes.
Los cambios hormonales, como los que se producen durante la pubertad, el embarazo y la menopausia, pueden hacer que las encías se vuelvan más sensibles y propensas a la recesión.
Tratamientos para las Encías Retraídas
La detección y el tratamiento precoces de las encías retraídas son importantes para evitar daños mayores y restaurar el tejido gingival. Si no se trata, la retracción de las encías puede provocar la pérdida de dientes y otros problemas dentales. Existen tratamientos que no tienen porqué conllevar una pequeña intervención quirúrgica. El raspado y alisado radicular es un procedimiento de limpieza profunda que elimina la placa y el sarro de los dientes y las raíces. Se pueden utilizar antibióticos y colutorios para tratar la enfermedad de las encías y prevenir daños mayores en las encías. Si los tratamientos no quirúrgicos no son eficaces, puede ser necesario recurrir a tratamientos quirúrgicos.
La cirugía de injerto gingival consiste en tomar tejido del paladar o de otra fuente donante y adherirse a la zona afectada. La regeneración consiste en utilizar materiales especiales para regenerar el hueso y los tejidos que soportan los dientes. La cirugía de reducción de bolsas consiste en replegar el tejido gingival y eliminar las bacterias y la placa de la raíz del diente.
Después del tratamiento, es importante seguir las instrucciones de los profesionales de Dental Care Barcelona para la correcta recuperación. Esto puede incluir evitar ciertos alimentos o actividades durante un período de tiempo.
Para evitar una mayor recesión de las encías, es importante practicar una buena higiene bucal, que incluye cepillarse los dientes dos veces al día, usar hilo dental a diario y utilizar un enjuague bucal antiséptico. Aunque los remedios caseros no sustituyen al tratamiento profesional, pueden ayudar a prevenir o detener la retracción de las encías.

La retracción de las encías puede ser un problema dental grave si no se trata. Conocer las causas y las opciones de tratamiento de las encías retraídas puede ayudarle a tomar el control de su salud dental y evitar daños mayores. Si notas algún signo o síntoma de encías retraídas, es importante que te pongas en contacto con Dental Care Barcelona para pedir una cita con alguno de nuestros profesionales lo antes posible.