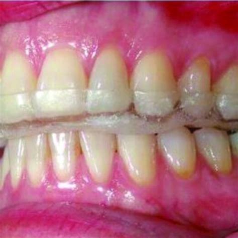
El bruxismo es una afección muy común que se caracteriza por el hábito involuntario de apretar y/o rechinar los dientes, tanto de día como de noche. Esta condición puede generar problemas en los dientes, músculos faciales y la articulación de la mandíbula, provocando dolor e incomodidad.

Aunque muchas personas no se dan cuenta de que lo padecen, los efectos del bruxismo pueden ser bastante evidentes con el tiempo: dolor mandibular, desgastes en los dientes, sensibilidad dental y cefaleas.
¿Qué es el bruxismo?
El bruxismo es una condición caracterizada por el apretamiento involuntario de los dientes, principalmente durante la noche mientras dormimos, aunque también puede ocurrir durante el día. El bruxismo puede presentarse de manera ocasional o convertirse en un hábito crónico. Cuando se produce de forma persistente, puede tener consecuencias negativas para la salud bucal y general.
El bruxismo es el hábito involuntario de apretar y/o rechinar los dientes, lo que puede ocurrir tanto de día como de noche y afectar a niños y adultos. Esta costumbre ejerce una presión excesiva sobre la musculatura de la mandíbula y deriva en una sobrecarga de la dentadura.
Generalmente, el bruxismo se clasifica en dos tipos, en función del momento del día en que ocurre: bruxismo diurno y bruxismo nocturno.

Síntomas del bruxismo
El bruxismo puede manifestarse a través de diversos síntomas que afectan diferentes áreas del cuerpo. El apretamiento involuntario de los dientes puede provocar molestias y dolor en la zona del rostro y la mandíbula.
Los síntomas del bruxismo pueden incluir dolor en la mandíbula, cuello o cabeza, así como el desgaste dental.
El bruxismo también puede ocasionar dolores de cabeza frecuentes, especialmente en la zona de las sienes o la parte posterior de la cabeza. Los músculos de la mandíbula están estrechamente conectados con los músculos del cuello y los hombros.
El constante apretamiento de los dientes durante el bruxismo puede generar sensibilidad y dolor en los dientes. Muchas personas que sufren bruxismo experimentan ruidos audibles, como chasquidos o crujidos, al abrir y cerrar la mandíbula.
Si experimentas varios de estos síntomas, es probable que padezcas bruxismo.
- Dolor facial, de cabeza, cuello y hombros
- Dolor en los dientes
- Ruidos en la mandíbula
7 EJERCICIOS para el BRUXISMO 💀
Causas del bruxismo
El bruxismo puede tener diversas causas, como el estrés, la ansiedad, problemas de oclusión dental, malos hábitos de masticación, entre otros.
La ansiedad, el estrés laboral, los problemas personales o una vida con ritmo acelerado pueden ser detonantes emocionales del bruxismo.
Como hemos mencionado en los apartados anteriores, la mayoría de casos de apretar y rechinar los dientes tienen su origen en el estrés o la ansiedad.
Principalmente por factores emocionales como el estrés, la ansiedad o la tensión acumulada.
Estrés y ansiedad: Son los factores más frecuentes.
Diagnóstico del bruxismo
El diagnóstico del bruxismo es fundamental para poder determinar el mejor enfoque de tratamiento. Para obtener un diagnóstico preciso, es importante acudir a profesionales especializados en bruxismo y alteraciones de la articulación temporomandibular (ATM).
Para su diagnóstico se requiere acudir a especialistas en bruxismo y alteraciones de la ATM.
El especialista realizará un examen físico detallado, prestando atención a la mandíbula, los músculos de la masticación y la articulación temporomandibular. Además, recopilará información sobre los síntomas que experimenta el paciente, como dolor facial y mandibular, dolor de cabeza, dolor de cuello y hombros, dolor en los dientes y ruidos en la mandíbula.
En algunos casos, se pueden requerir pruebas adicionales para confirmar el diagnóstico de bruxismo. Estas pruebas pueden incluir estudios radiográficos y la realización de una resonancia magnética (RM) de la articulación temporomandibular.
En general, solo es necesario el examen de tu dentista para diagnosticar el bruxismo. Cuando se busca una evaluación más detallada del bruxismo nocturno se puede realizar una polisomnografía o estudio del sueño.
Tratamientos para aliviar el dolor de dientes por bruxismo
El tratamiento del bruxismo y los trastornos de la ATM se enfoca en aliviar los síntomas y prevenir el daño adicional. Se utilizan diversas técnicas y terapias para aliviar el apretamiento involuntario de los dientes y los problemas asociados. El tratamiento del bruxismo puede variar según cada caso.
El tratamiento puede incluir técnicas de relajación, fisioterapia, uso de férulas oclusales y terapias complementarias.
El tratamiento del bruxismo y los trastornos de la ATM se basa en un enfoque integral que aborda tanto los síntomas como las causas subyacentes. Este trastorno se suele abordar de manera multidisciplinar.
Férulas oclusales
El uso de férulas oclusales es uno de los tratamientos más comunes para el bruxismo. Estas son dispositivos personalizados que se colocan sobre los dientes durante la noche para evitar el contacto entre ellos y así reducir la presión y el desgaste. Además, las férulas oclusales ayudan a relajar la musculatura de la mandíbula y a aliviar la tensión generada durante el apretamiento involuntario de los dientes.

Férulas de descarga: La opción más común y efectiva es el uso de férulas de descarga. Estas ayudan a restablecer el equilibrio de las cargas masticatorias y reducir la tensión en las mandíbulas.
El bruxismo puede tratarse de diversas maneras, siendo la más común y eficaz el uso de férulas de descarga. Estas férulas, fabricadas con material rígido y diseñadas a medida por un profesional, se colocan principalmente en la arcada superior y ayudan a proteger los dientes del desgaste, además de disminuir la presión ejercida sobre ellos. Su uso es más frecuente durante la noche, cuando el paciente no es consciente del rechinamiento, aunque en algunos casos también pueden emplearse durante el día.
Una férula de descarga profesional ayudará a evitar que el constante contacto de los dientes desgaste la dentadura y dañe el esmalte dental.
Las férulas de descarga son unos dispositivos que se colocan en la boca durante la noche para evitar el desgaste dental y reducir la presión sobre la mandíbula.
Técnicas de relajación
Las técnicas de relajación pueden ser de gran ayuda para reducir tanto la frecuencia como la intensidad del bruxismo. Practicar actividades como la meditación, la respiración profunda y el yoga pueden ayudar a disminuir la tensión muscular y promover la relajación general del cuerpo.
Practica la relajación consciente.
Fisioterapia
La terapia manual y la fisioterapia invasiva pueden ser utilizadas para liberar la tensión muscular y mejorar la movilidad de la articulación temporomandibular (ATM). Estas técnicas incluyen el masaje de la musculatura implicada, el auto-masaje de la mandíbula y musculatura de la masticación, ejercicios de movilización y relajación de la ATM, terapia manual osteopática, termoterapia, diatermia, ecografía y neurodinamia.
Cuando los dolores que derivan del bruxismo son constantes es conveniente acudir a un fisioterapeuta.
Otros tratamientos complementarios
Además de las técnicas mencionadas, existen otros tratamientos complementarios que pueden ser beneficiarios en el manejo del bruxismo y los trastornos de la ATM. La fisioterapia, la acupuntura y las técnicas de relajación, como la biofeedback o la hipnosis, pueden ayudar a reducir la tensión muscular y aliviar los síntomas asociados.
Ajustes en la mordida con ortodoncia y cirugía maxilofacial
Además, si el bruxismo está relacionado con una mala oclusión de la mordida, el dentista podría recomendar un tratamiento de ortodoncia para mejorar el alineamiento de los dientes y reducir la presión indebida sobre la mandíbula.
Ajustes en la mordida con ortodoncia: Cuando el bruxismo está vinculado a maloclusiones o inestabilidades oclusales, la ortodoncia puede ser la solución.
Cirugía maxilofacial: Reservada como último recurso debido a su complejidad, la cirugía puede considerarse en casos extremos.
Aunque la cirugía también puede corregir el bruxismo, ha de considerarse el último recurso dada su complicación y el proceso de recuperación posterior.
Ejercicios y estiramientos
Existen varios ejercicios y estiramientos que pueden ayudar a aliviar los síntomas del bruxismo. Algunos de ellos incluyen masajear suavemente los músculos de la mandíbula, realizar movimientos de apertura y cierre de la boca, y ejercicios de relajación facial y de cuello.

En los casos en los que existen molestias o dolor en los músculos de la cara, cuello y hombros, se aconseja realizar un automasaje que ayude a la relajación muscular. Con esto, además, se evitan las complicaciones y trastornos relacionados con la articulación temporomandibular (ATM).
Valiéndose de los dedos índice, corazón y anular, presionar con suavidad detectando las zonas con mayor tensión o más dolorosas debajo de los pómulos. Por último, colocar los dedos índice sobre las muelas inferiores con la boca ligeramente abierta, aunque de manera relajada y sin tensión.
Aunque dichos ejercicios para relajar la mandíbula y remedios caseros te ayuden a reducir el bruxismo, lo más conveniente será realizar un control y una vigilancia de cada caso concreto.
Remedios caseros
Para aquellos que buscan cómo curar el bruxismo naturalmente, existen muchos remedios que pueden resultar efectivos.
Por otro lado, los remedios caseros pueden contribuir a la reducción del dolor o el estrés que causa el bruxismo.
Medidas preventivas
Además del tratamiento, es importante tomar medidas para prevenir el bruxismo y reducir su impacto en la salud bucal y general.
Antes de comenzar a enumerar algunos consejos que ayuden a mitigar los efectos del bruxismo, es importante matizar que dependen por completo del estilo de vida y hábitos. Igualmente, varían si la persona tiene bruxismo nocturno o diurno.
- Evita dormir boca abajo. Acostarte de lado o boca arriba favorece una posición más relajada de la mandíbula.
- No realizar ejercicio físico después de las 18 horas.
Dolor de cabeza y bruxismo
El dolor de cabeza asociado al bruxismo puede aliviarse mediante diferentes métodos. Además de tratar el bruxismo en sí, se pueden aplicar técnicas de relajación, como la meditación y el masaje de los músculos faciales y cervicales.
El dolor de cabeza que se produce por sobrecarga muscular se conoce como cefalea tensional.
Sentir dolor de cabeza al apretar los dientes es algo muy común. Sin embargo, no solemos contemplar un origen dental o mandibular cuando nos duele la cabeza. Por supuesto, siempre será un especialista quien debe determinarlo.
Bruxismo y dolor de oído
Una de las consecuencias del bruxismo es el dolor de oído. La razón es sencilla, en realidad. Al hacerla sufrir, es habitual que acabe doliendo el oído, la cabeza e incluso el cuello, como veremos en los siguientes apartados.
Por lo tanto, el bruxismo debería ser un factor a tener en cuenta en casos de otalgia (dolor de oído) que no tienen otra explicación.
¿Cómo saber si tengo bruxismo?
¿Te despiertas con alguno de estos dolores mencionados?
¿Qué ocurre si al apretar los dientes tienes dolor mandibular?
El dolor de mandíbula, es una de las consecuencias más habituales del bruxismo.
¿Dónde acudir si sufro de bruxismo?
Si padeces dolor por bruxismo en cualquier parte de la cabeza o en la zona de las cervicales, es recomendable que acudas a tu dentista.
Si crees que sufres bruxismo, te recomendamos contactar con nosotros. En Clínica Quatre Dental sabremos identificar la causa de tu problema y te ayudaremos a determinar el enfoque más adecuado para ti, según la gravedad del problema. ¡No esperes más y cuida tu higiene bucal!
Como ves, cuando se trata de bruxismo, resulta imprescindible averiguar las causas de su aparición.