El sangrado de encías es uno de los problemas bucales más comunes y suele ser un signo temprano de gingivitis, una forma leve de enfermedad periodontal. A pesar de su prevalencia, muchas personas recurren a remedios caseros en lugar de buscar tratamiento profesional. Si bien algunos de estos remedios pueden parecer inofensivos, es importante analizar su efectividad y si realmente ayudan a combatir la causa subyacente del problema.
Gingivitis: Tratamiento casero. | Causas y soluciones.
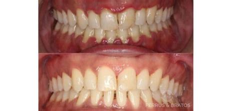
Entendiendo las Encías Inflamadas
Las encías inflamadas se caracterizan por estar abultadas, irritadas y sensibles. También suelen doler, estar enrojecidas y pueden sangrar con facilidad. Las encías sanas tienen un aspecto firme y de color rosado, mientras que las encías inflamadas se ven hinchadas y rojizas.

Comparación entre encías inflamadas y encías sanas.
Causas Principales de la Inflamación de las Encías
- Mala higiene bucal: Es la principal causa de encías inflamadas. La acumulación de sarro y placa producen enfermedades en las encías, como la gingivitis, que si no es tratada oportunamente, se puede convertir en una periodontitis.
- Cambios hormonales: Provocan un aumento en el flujo sanguíneo hacia las encías, lo que aumenta las probabilidades de que se irriten e inflamen.
- Deficiencia de vitaminas: La deficiencia de vitaminas como la B y C, o el consumo de productos del tabaco, pueden contribuir a que el tejido gingival se inflame.
Señales de Alarma
- Sangrado de encías después de cepillarte, usar hilo dental o incluso sin razón.
- Color rojizo o rojo en lugar del tono rosa pálido normal.
- Dolor al masticar o cepillarse.
- Sensibilidad en las encías.
Ante cualquiera de estos signos es importante consultar con un profesional de la salud bucal, para evitar que la condición pueda empeorar.
Remedios Caseros Comunes: ¿Realmente Funcionan?
1. Enjuague con Agua Salada
Uno de los remedios caseros más populares es el enjuague con agua salada. Se cree que la sal puede ayudar a desinfectar la boca y reducir la inflamación. En realidad, este método puede proporcionar alivio temporal al reducir la acumulación de bacterias en la boca, pero no es una solución a largo plazo. Además, un enjuague salino excesivo podría irritar las encías sensibles, empeorando la situación.
2. Bicarbonato de Sodio
El bicarbonato de sodio es otro ingrediente común en los remedios caseros para tratar el sangrado de encías. Sin embargo, el uso frecuente de bicarbonato de sodio puede ser demasiado agresivo para los tejidos blandos de la boca, como las encías. Su uso excesivo puede provocar irritación e incluso una erosión en el esmalte dental. Por desgracia, no sólo resulta ineficaz para tratar la gingivitis y/o periodontitis sino que la erosión del esmalte dental que puede llegar a producir es irreversible.
3. Oil Pulling
El «oil pulling», o enjuague con aceite, es una técnica que proviene de la medicina ayurvédica y consiste en hacer gárgaras con aceite de coco, de sésamo u otros aceites vegetales. Se cree que este método ayuda a «extraer» toxinas de la boca, además de reducir la acumulación de placa y las bacterias. Además, el «oil pulling» no elimina la placa bacteriana como lo hace un cepillado adecuado o el uso de hilo dental.
4. Infusiones de Hierbas
Muchos defensores de los remedios naturales recomiendan infusiones de hierbas como el té de manzanilla o la salvia para aliviar el sangrado de encías. Sin embargo, aunque las propiedades antiinflamatorias de estas plantas pueden proporcionar un alivio temporal, no solucionan el problema subyacente producido por la presencia de placa y el sarro.
5. Aloe Vera
El aloe vera es conocido por sus propiedades curativas y antiinflamatorias, y se ha sugerido que su uso puede ayudar a tratar el sangrado de encías. No obstante, aunque el aloe vera puede calmar las encías irritadas, nuevamente, no es una solución completa.
Aunque algunos de estos remedios caseros pueden ofrecer alivio temporal, es fundamental recordar que no abordan la causa subyacente del sangrado de encías: la acumulación de placa bacteriana.
Primeros Auxilios en Casa para Bajar la Inflamación de las Encías Rápidamente
Enjuagues con Agua y Sal
Un buen remedio casero para reducir la inflamación de las encías es hacer enjuagues con agua salada. La sal es un compuesto que ayuda a eliminar las bacterias de la boca, y a reducir su aparición. Para preparar la solución de agua salada debes mezclar en una taza de agua tibia, una cucharadita de sal. Y con esto enjuaga la boca por unos segundos y luego escupe. Repetir al menos dos veces al día.
Compresas Térmicas
Otro método fácil y efectivo, es colocar compresas frías o calientes. Para las calientes, puedes calentar agua, luego remojas un paño limpio, exprimes el exceso y lo colocas por la parte exterior de la boca, donde se tiene la inflamación. Para las compresas frías, solo necesitas colocar algunos cubos de hielo en una bolsa, y situarla sobre un paño limpio en el lugar de la hinchazón. Si lo deseas se puede alternar entre ambas compresas, para mejores resultados.
Aloe Vera o Gel Antiinflamatorio Tópico
El aloe vera tiene propiedades antiinflamatorias, cicatrizantes y antibacterianas, por lo que podría utilizarse para tratar las encías inflamadas. Es importante elegir un producto que pueda ser utilizado dentro de la boca. En las farmacias también se consiguen geles antiinflamatorios tópicos (con o sin receta) que pueden ayudar a aliviar los síntomas de las encías hinchadas.
Oil Pulling con Aceite de Coco
El aceite de coco tiene propiedades antibacterianas, y también ayuda a atrapar las bacterias, toxinas y hongos en la boca cuando se mueve el aceite dentro de la boca. El tiempo recomendado para que el oil pulling sea efectivo es enjuagar la boca durante 20 minutos.
Higiene Bucal Diaria para Reducir la Inflamación
Cepillado Suave y Técnico (Método Bass)
Se recomienda cepillarse al menos dos veces al día, utilizando un cepillo de cerdas suaves con una técnica adecuada. El método Bass es una de ellas, debido a que se enfoca en una limpieza efectiva de los dientes y líneas de las encías, de forma suave, al colocar el cepillo en un ángulo de 45 grados, con movimientos cortos y vibratorios.
Uso de Hilo Dental y Cepillos Interdentales
Usar hilo dental o cepillos interdentales al menos una vez al día ayuda a tener una mejor salud bucal. Sirven para eliminar los residuos de comida entre los dientes, donde el cepillo no alcanza. Los cepillos interdentales se recomiendan, en especial, en pacientes que han tenido periodontitis, o para quienes tienen ortodoncia, implantes o prótesis dentales.
Enjuagues Antibacterianos Adecuados
Utilizar un enjuague bucal antibacteriano puede contribuir a reducir las bacterias en la boca y es un complemento del cepillado y el hilo dental. Es importante seguir las indicaciones de uso del fabricante.

Una rutina de higiene bucal adecuada es esencial para prevenir la inflamación de las encías.
Nutrición y Hábitos Saludables
Alimentos Antiinflamatorios y Vitaminas
Se recomienda el consumo de alimentos ricos en vitamina C, ya que ayudan a recuperar los tejidos y tienen a la vez propiedades antiinflamatorias. Tales como naranjas, limones, fresas, kiwi, brócoli, entre otros. La vitamina D presente en el pescado graso, huevos y productos lácteos fortalece los huesos, incluyendo los dientes y los huesos que los soportan. También el Omega 3 tiene propiedades antiinflamatorias y está presente en el pescado graso (salmón, caballa, sardinas), las semillas de lino y las nueces.
Hidratación y Producción de Saliva
Beber suficiente agua contribuye a la producción de saliva, lo cual permite tener la boca húmeda y libre de restos de comida y bacterias que se acumulan y forman la placa dental. La boca seca o xerostomía es una condición que favorece la producción de bacterias en la boca.
Alimentos a Evitar
- Alimentos azucarados: Como los dulces, gaseosas y los carbohidratos refinados como el pan y la pasta, reduce la formación de bacterias que forman la placa dental.
- Alimentos ácidos: Pueden afectar la salud bucal, ya que erosionan el esmalte de los dientes.
- Fumar: Provoca un sistema inmunológico más débil, lo cual afecta el proceso de curación, aumentando el riesgo de inflamación y de enfermedades periodontales.
- Alcohol: El consumo de alcohol puede irritar los tejidos bucales y contribuye a la deshidratación, lo cual afecta la salud bucal.
Cuándo y Por Qué Visitar al Dentista
Si experimentas sangrado de encías de manera persistente, es crucial que consultes a un dentista, ya que podría ser un signo temprano de enfermedad periodontal.
Cuándo la Inflamación No Mejora
Es importante buscar atención médica cuando detectes los síntomas de inflamación de las encías, tales como hinchazón, enrojecimiento, dolor o sensibilidad y sangrado. De esta forma estarás evitando problemas más graves.
Señales de Alerta para Visitar al Dentista
- Inflamación persistente: Si la inflamación de las encías no disminuye después de varios días de aplicar remedios caseros o tratamientos de venta libre.
- Dolor intenso: Si experimentas un dolor severo en las encías que no responde al tratamiento en el hogar.
- Sangrado persistente: Si el sangrado de las encías durante el cepillado o el uso del hilo dental persiste a pesar de una buena higiene oral.
- Recesión gingival: Si notas que las encías se están retirando y exponiendo las raíces de los dientes.
- Mal aliento persistente: El mal aliento crónico, también conocido como halitosis, puede ser un síntoma de problemas en las encías o infecciones.
- Presencia de abscesos o úlceras: Si observas abscesos, úlceras o protuberancias en las encías.
- Cambios en la coloración de las encías: Si notas cambios en el color de las encías, como enrojecimiento intenso o pálidas.
- Antecedentes de enfermedad periodontal: Si tienes antecedentes de enfermedad periodontal o gingivitis crónica.
Tratamientos Profesionales
En pacientes con inflamación moderada o severa, el odontólogo puede recomendar tratamientos profesionales para controlar la condición.
- Raspado o scaling: Permite eliminar el sarro y la placa acumulada.
- Alisado radicular: Se alisa la superficie de las raíces de los dientes como método de prevención para que la placa y el sarro no se adhieran tan fácilmente.
- Láser: Es efectivo para tratar encías inflamadas o infectadas, ya que permite remover el tejido gingival dañado de forma precisa, promoviendo una rápida y fácil recuperación.

Un dentista puede realizar tratamientos profesionales para abordar la inflamación de las encías.
Prevención: Hábitos para Mantener Encías Sanas
Rutina de Higiene Diaria
La higiene dental adecuada es esencial para tener dientes y encías sanos. Recuerda cepillar los dientes dos veces al día y complementar con hilo dental y enjuague bucal.
Control de Factores de Riesgo
Evita fumar y consumir bebidas alcohólicas, ya que aumentan las probabilidades de tener enfermedades bucales como la gingivitis y periodontitis. Intenta controlar el estrés y si estás embarazada, presta atención a cualquier señal de que tus encías estén inflamadas, enrojecidas o sangrando para que busques atención médica a tiempo.
Revisiones Periódicas y Limpiezas Profesionales
Acudir al dentista cada seis meses y realizarte limpiezas dentales profesionales es una manera efectiva de cuidar tu salud bucal y evitar posibles problemas con tus dientes y encías.
Desmontar los mitos sobre los remedios caseros para el sangrado de encías es crucial para evitar que las personas retrasen un tratamiento profesional que puede solucionar el problema de raíz. Si bien algunos remedios naturales pueden ser útiles como complemento temporal, nada reemplaza una buena higiene bucal y la consulta con un profesional.