Las encías son una parte fundamental de nuestra sonrisa y salud bucal en general. Tener unas encías saludables es un indicativo de un buen estado de nuestra boca. Sin embargo, existen ciertos problemas estéticos que pueden afectar a nuestras encías, como la aparición de manchas o un oscurecimiento excesivo, conocido como encías negras o encías oscuras.
Las encías negras u oscuras pueden tener diferentes causas y orígenes. Antes de desarrollarlo, nos gustaría aclarar que en muchos casos, tener las encías oscuras es algo completamente normal, que no compromete la salud bucodental, pero en otros, sí puede ser síntoma de que algo no va bien.

Aspecto Saludable de las Encías
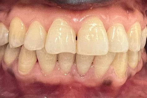
Antes de hablar sobre las encías negras, es importante conocer cómo es el aspecto saludable de las mismas. Las encías sanas deben tener un color rosado claro y estar firmes alrededor de los dientes. Además, no deben presentar inflamación, sangrado o dolor al cepillarse los dientes o utilizar hilo dental.
Causas de las Manchas Negras en las Encías
Existen diversas razones por las cuales pueden aparecer manchas negras en las encías. Es importante comprender los orígenes de este problema para tomar las medidas adecuadas.
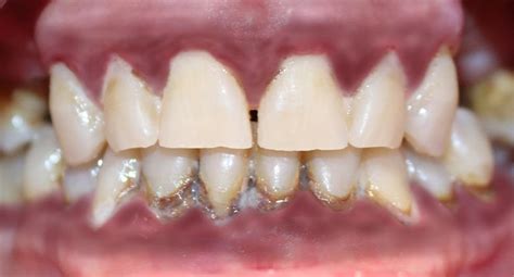
- Melanosis Gingival: Una de las causas más comunes es la melanosis gingival, que es una pigmentación natural de las encías. La melanosis gingival puede presentarse en personas de todas las edades, y se caracteriza por el aumento de la producción de melanina en la piel de las encías. La melanina de la piel, presente también en el pelo o los ojos, también está presente en las encías y determina su color. En ocasiones, se produce una acumulación anormal de melanina que puede darles ese aspecto oscuro.
- Tabaquismo: Fumar o masticar tabaco puede provocar la aparición de manchas oscuras en las encías, además de aumentar el riesgo de desarrollar enfermedades periodontales y cáncer oral. Los pacientes con gran adicción o que fuman desde hace muchos suelen suelen presentar cambios de tonalidad en las encías, siendo la nicotina, la principal responsable.
- Medicamentos: Algunos medicamentos, como ciertos antipsicóticos y antimaláricos, pueden provocar efectos secundarios como cambios en la pigmentación de las encías, incluyendo el oscurecimiento. Algunos medicamentos pueden tener efectos secundarios que incluyen el oscurecimiento de las encías como uno de ellos.
- Enfermedades Periodontales: Las enfermedades periodontales (gingivitis y periodontitis) son otra de las principales causas de encías oscuras. Ante la presencia del agente infeccioso, la encía reacciona, entre otras cosas, inflamándose y sangrando. La enfermedad periodontal, también conocida como periodontitis, es una infección bacteriana grave que afecta las encías y el hueso que sostiene los dientes.
- Empastes de Amalgama: En ocasiones, después de realizar un empaste dental con amalgama, puede quedar un tatuaje oscuro en las encías cercanas. Las obturaciones (empastes) de amalgama son otra de las causas de encías oscuras. La amalgama de plata es un material metálico que, si se filtra desde el diente hasta la encía, puede causar manchas oscuras. Antiguamente, los empastes se realizaban con amalgama de plata. Es posible, que con los años, quede un depósito de esta amalgama en las encías que crea una mancha oscura.
- Otras Causas: Al igual que ocurre con la piel, las encías pueden tener variaciones naturales en su coloración, que van desde un rosa claro hasta tonalidades más oscuras. Algunas formas de cáncer oral pueden manifestarse con manchas oscuras en las encías. Es una lesión benigna que puede presentarse como una mancha negra en las encías. Durante la dentición, es posible que aparezcan hematomas en las encías debido a la presión ejercida por los dientes en erupción.

Tratamientos para Blanquear las Encías
Si las manchas negras en las encías te preocupan estéticamente, existen tratamientos disponibles para reducir su apariencia o incluso eliminarlas por completo.
Despigmentación de Encías
Uno de los métodos más utilizados es la despigmentación de encías. La despigmentación de encías puede llevarse a cabo mediante diferentes técnicas, como el uso de láser, la cirugía o el raspado. En todos los casos, se busca eliminar la capa pigmentada de la encía y permitir que crezca una nueva capa de tejido sano y de coloración más clara. Este procedimiento implica la eliminación de la capa externa de tejido gingival que está causando la mancha, y se realiza mediante técnicas láser o quirúrgicas.
La despigmentación quirúrgica es una pequeña cirugía plástica periodontal. Sirve para eliminar el tejido epitelial. Este tratamiento se puede realizar con electrobisturí o con láser. En general, ambas técnicas son muy sencillas y rápidas. Sin embargo, el láser presenta una serie de ventajas para el paciente: reduce el sangrado y acelera la cicatrización. El láser actúa en el exterior de la encía, en la última capa epitelial, que es donde se encuentra el exceso de melanocitos que producen la coloración, y consigue aclarar las encías en varios tonos.
Microabrasión
Otro de los tratamientos para solucionar las encías negras u oscuras es la microabrasión. Tanto la microabrasión como la despigmentación quirúrgica son tratamientos indicados para la melanosis gingival o para las encías oscuras debido al consumo de determinados fármacos.
Raspado
Con el raspado, se elimina la placa bacteriana y el sarro que han dado lugar a la periodontitis.
Tratamiento de Enfermedades Periodontales
Si el oscurecimiento de las encías es causado por enfermedades de las encías, es fundamental tratar la afección subyacente. El tratamiento periodontal actúa prestando especial atención al estado de los dientes y los huesos maxilares, que son los principales afectados por la periodontitis. Solo tratando este oscurecimiento desde el origen, conseguiremos aclarar las encías y evitar daños mayores.

Prevención y Cuidados Posteriores
Además de la despigmentación de encías, es fundamental abordar las causas subyacentes de las manchas negras.
- Dejar de Fumar: Si fumas, es importante considerar dejar de hacerlo para evitar que las manchas vuelvan a aparecer en el futuro y para mejorar tu salud en general.
- Higiene Bucal: Mantener una buena higiene dental es esencial para prevenir manchas y enfermedades. Asegúrate de cepillarte los dientes y encías al menos dos veces al día, usar hilo dental y realizar enjuagues bucales recomendados por tu dentista.
- Consultar los Efectos Secundarios de los Medicamentos: De esa manera, sabrás de antemano si pueden causar un perjuicio estético en tu boca. Y, en caso de que así sea, tendrás la oportunidad de preguntar al médico si existe otra opción.
La despigmentación de encías es un procedimiento eficaz que debe realizado por un profesional dental. Recuerda que cada caso es único, por lo que te recomendamos acudir a cualquiera de nuestras clínicas dentales para valorar tu caso de manera gratuita y obtener un diagnóstico y tratamiento personalizado.

Color de las Encías y su Significado
Rosadas, rojas, grises, oscuras, inflamadas, rugosas, lisas… el color y la textura de tus encías nos dice mucho sobre la salud de tu boca. Normalmente, cuando hay un cambio en la coloración de la encía, también aparecen otros síntomas, como inflamación, dolor, llagas y sensibilidad. Por lo que, si aparecen síntomas como estos, te sugerimos que te pongas en contacto con tu clínica dental de confianza para que evalúen tu caso y puedan determinar el mejor tratamiento para tu caso.
- Encías rosa pálido o encía rosada: Las encías de color rosa pálido nos indican que todo va bien y que la encía está sana y cuidada.
- Encías color café o tostado: si tu piel es naturalmente de tono oscuro, tu encía también será más oscura.
- Encías rojas: las encías enrojecidas, con o sin inflamación, suelen ser síntoma de alguna infección.
- Encías blancas o blanquecinas: pueden tener varios orígenes, como la acumulación de placa bacteriana, la presencia de hongos o de una infección viral.
Blanqueamiento Dental Adicional
Para casos de hiperpigmentación superficial, el blanqueamiento dental puede ser efectivo. El blanqueamiento dental en casa con férulas es un procedimiento para blanquear tus dientes que no hace daño al esmalte. La cubeta tiene la forma de tus dientes.
Recomendación del odontólogo: no realices ningún blanqueamiento dental casero que pueda dañar el esmalte de tus diente. El precio del blanqueamiento dental en casa con férulas es un poco más elevado que el blanqueamiento led en clínica. Consulta nuestras tarifas y costes de tratamientos dentales en nuestra página web.
- No es necesario poner gel blanqueador en la cubeta para los dientes posteriores como los molares.
- El gel blanqueador no debe desbordarse y tocar las encías pudiendo causar irritación.
- Durante ese tiempo no podrás injerir alimentos ni bebidas.
Recomendación del odontólogo: el blanqueamiento con cubetas lo puedes realizar de 8 a 15 días. Antes de colocar las cubetas en la boca nuestros dientes debe de estar limpios. Es importante no utilizar pasta de dientes con colorante ya que puedes teñir los dientes. Es importante lavar la cubeta y limpiarla con nuestro cepillo de dientes con agua. Antes de volver a usar las cubetas es muy recomendable volver a lavarlas y secarlas para retirar cualquier residuo hubiera podido quedar.

Recomendación del dentista: no existen blanqueamientos dentales milagrosos. Antes de comenzar con un tratamiento es muy importante que un especialista te aconseje.
Tabla Resumen de Causas y Tratamientos
| Causa | Descripción | Tratamiento |
|---|---|---|
| Melanosis Gingival | Aumento de la producción de melanina. | Despigmentación con láser o microabrasión. |
| Tabaquismo | Manchas oscuras por nicotina. | Dejar de fumar. |
| Medicamentos | Efectos secundarios de ciertos fármacos. | Consultar alternativas con el médico. |
| Enfermedades Periodontales | Infecciones que afectan las encías. | Raspado y alisado radicular. |
| Empastes de Amalgama | Depósitos de amalgama en las encías. | Remoción del depósito. |