En muchas ocasiones, los pacientes se preguntan si es necesario un tratamiento de ortodoncia completo para corregir la posición de un solo diente.
En este artículo, exploraremos las diversas opciones disponibles para corregir un diente torcido, desde la ortodoncia tradicional hasta alternativas estéticas como las carillas dentales.
La realidad es que, aunque solo pueda ser la malposición de una pieza, es necesario realizar un estudio completo de la boca para confirmar que no existe ningún otro problema bucodental.

Algunos de los aspectos a tener en cuenta son: si el paladar tiene el tamaño adecuado, si la mordida es óptima o si la malposición es muy grave.
En muchos casos se necesita aplicar ortodoncia, a pesar de que el propósito inicial fuera corregir la posición de una o dos piezas dentales.
¿Por Qué Hay Que Utilizar Ortodoncia Para Corregir un Solo Diente?
La utilización de ortodoncia para corregir un solo diente se fundamenta en la necesidad de abordar problemas específicos de maloclusión dental, tales como superposición, torsión o separación de la pieza dental en cuestión.
Este enfoque se recomienda particularmente cuando el desplazamiento de un diente está generando complicaciones adicionales en la oclusión y la salud bucal en general.
En la mayoría de estos casos, la ortodoncia se convierte en la solución más efectiva para desplazar y recolocar tanto el diente en cuestión como el resto de las piezas dentales.
Cada diente ocupa un espacio definido en la boca, y al modificar la posición de uno, los demás dientes también necesitan adaptarse a este cambio.
En este sentido, el tratamiento ortodóncico se presenta como una herramienta clave para alinear la dentadura, corregir el tamaño del paladar y mejorar la oclusión dental.
Este proceso implica el uso de ejes de fuerza y palanca, así como elementos como arcos, ligaduras o extensores para reposicionar cada pieza dental de manera precisa y funcional.
Es crucial destacar que no corregir este tipo de patologías dentales puede acarrear consecuencias más allá de los problemas mandibulares.
La acumulación de placa bacteriana, conocida como sarro, se ve favorecida en dientes mal posicionados, aumentando el riesgo de desarrollar caries, enfermedades periodontales y halitosis (mal aliento).
Por lo tanto, la ortodoncia no solo contribuye a mejorar la estética dental, sino que también juega un papel fundamental en la prevención de complicaciones bucales y en la promoción de una salud oral integral.
¿Existe Alguna Alternativa Para Corregir un Diente Sin Ortodoncia?
Existen situaciones y casos específicos en las que no se presenta maloclusión, la malposición no es significativa, la salud bucodental es buena y la separación entre dientes es mínima, lo que permite considerar alternativas a la ortodoncia.
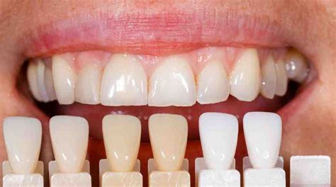
En estos casos, la colocación de carillas dentales se presenta como una opción viable.

Estas láminas personalizadas y resistentes se diseñan para ajustar el tamaño y la forma de los dientes, siendo capaces de corregir apiñamientos leves, dientes ligeramente torcidos o incluso armonizar la sonrisa, incluyendo la ocultación de pequeños espacios entre los dientes, conocidos como diastemas.
Un beneficio destacado de las carillas dentales es la rapidez del procedimiento, ya que en muchos casos pueden colocarse en una sola sesión, ocultando de manera eficaz estos pequeños defectos.
En situaciones como la presencia de un diastema, una pequeña separación entre dos dientes, las carillas dentales podrían ofrecer una solución estética sin recurrir a la ortodoncia.
A diferencia de esta última, las carillas son principalmente un tratamiento estético, permitiendo modificar la forma y el tamaño de piezas dentales específicas.
Es importante tener en cuenta que, aunque en algunos casos las carillas pueden evitar la necesidad de ortodoncia para corregir un solo diente, se recomienda la consulta con un ortodoncista para obtener una valoración personalizada.
La decisión entre carillas y ortodoncia dependerá de la naturaleza y gravedad del problema dental, así como de las metas estéticas y de salud bucal específicas de cada paciente.
Muchos adultos tienen los dientes desalineados y a pesar de que usaron brackets durante su adolescencia, es necesario volver a someterse a un tratamiento de ortodoncia.
Esto no es extraño, es común que los dientes vuelvan a moverse.
Para acomodarlos de nuevo, existe la Ortodoncia Invisible, la cual es una forma moderna de corrección dental.
Ortodoncia estética para adultos, innovadora y discreta, sea cuál sea tu edad.
¿Cuáles Son Las Causas de Los Dientes Torcidos o Maloclusión?
La mala posición de los dientes puede tener causas genéticas o ser causada por influencias externas.
A menudo, son factores y hábitos a una edad temprana, los que pueden provocar una deformidad.
Estos incluyen, por ejemplo: dientes torcidos por el chupete; cuando la lengua presiona los dientes frontales; rechinar los dientes; chuparse los pulgares o masticar lápices.
Sin embargo, las muelas del juicio también pueden ser responsables de que los dientes se muevan en la edad adulta.
💊 Tratamiento para 𝗠𝗢𝗥𝗗𝗜𝗗𝗔 𝗜𝗡𝗩𝗘𝗥𝗧𝗜𝗗𝗔 clase 3 en NIÑOS y ADULTOS (MORDIDA CRUZADA ANTERIOR)
Consecuencias de Tener Dientes Torcidos y Problemas de Maloclusión en Adultos
Los dientes torcidos o desalineados pueden causar varios problemas:
- La higiene bucal puede verse afectada por el apiñamiento dental, por ejemplo, ya que los espacios entre los dientes no se pueden limpiar fácilmente con hilo dental. Esto puede resultar en inflamación de las encías o caries en los dientes.
- Una sobremordida en adultos puede hacer que sea difícil morder o masticar. Además, los incisivos no se lavan lo suficiente con saliva, lo que aumenta el riesgo de caries. La corrección de una sobremordida debe considerarse no solo en niños sino también en adultos.
- Una mordida cruzada puede alterar la función de masticar y hasta hablar. Esto, debido a la carga unilateral, tanto en los dientes como en la mandíbula. Un tratamiento de mordida cruzada puede prevenir el desgaste y el dolor.
¿Cómo Se Pueden Corregir Los Dientes Torcidos?
Para corregir la mala posición de los dientes hay varias opciones, pero todo dependerá del caso y de su complejidad.
No todas las malas posiciones dentales pueden tratarse con el mismo tipo de tratamiento.
Dos opciones muy comunes son los brackets y los alineadores dentales.
Algunos problemas de mordida se pueden corregir con alineadores dentales.
Es recomendable que acudas a un ortodoncista y que evalúe tu caso.
Una de las formas más discretas, especialmente para adultos, es la ortodoncia invisible.
En este tipo de tratamiento, los alineadores que se utilizan ofrecen la oportunidad de mejorar la alineación de tus dientes sin que apenas se note.
Además de la ortodoncia invisible, existen otras alternativas a los brackets.
El diente que tú observas descolocado puede estar separado del resto, torcido o superpuesto sobre otra pieza.
Si te hablamos de colocar ortodoncia en toda la arcada, te puede parecer una solución muy extrema.
Lo primero que debes tener en cuenta es que ese diente que afea tu sonrisa es posible que genere otros problemas bucodentales más severos, como la maloclusión dental.
Es por eso que casi siempre solemos recomendar ortodoncia para corregir un solo diente.
Con la ortodoncia se corrige el tamaño del paladar, se mejora la mordida y se alinean todas las piezas dentales.
La genética es determinante en la configuración de tu dentadura, y esto afecta especialmente al crecimiento de los maxilares, que no deja hueco para algún diente.
Un paladar estrecho no deja espacio para el nacimiento o colocación correcta de todos los dientes.
Si cumples todos esos requisitos la opción alternativa es la colocación de carillas dentales.
Sea cual sea la opción escogida, apuesta por corregir ese diente que está separado o apiñado.
Piensa que puede generarte alteraciones mandibulares y acumula más placa bacteriana, lo que favorece la aparición de caries y mal aliento.
Tienes una sonrisa sana y bonita, pero hay un diente desalineado o torcido que te causa incomodidad al sonreír.
¿Cómo podemos ponerle solución? Muy sencillo: visitando a un ortodoncista que valore qué está causando que esa pieza dental esté desviada.
Realmente, que un diente esté mal posicionado en la sonrisa no es un problema que afecte solo a esa pieza dental.
Generalmente, esta anomalía está causada por falta de espacio en los maxilares -en el caso del apiñamiento- o por una distancia notoria entre dientes colindantes, si hablamos de un diastema (espacio entre dos dientes).
Por ello, es importante visitar a un ortodoncista (experto en tratamientos de ortodoncia) que pueda estudiar cuál es la causa de ese diente desalineado.
¿Es Una Buena Solución Utilizar Ortodoncia Para Corregir Un Solo Diente?
Un tratamiento de ortodoncia tiene como objetivo recuperar la buena funcionalidad y estética de la boca.
Aplica presión en los dientes consiguiendo que se desplacen y se coloquen en una posición correcta, solucionando distintos problemas generados durante el desarrollo bucodental y las diferencias estéticas que presente la sonrisa.
Entonces, ¿se puede optar por una ortodoncia para corregir un solo diente? Antes de tomar una decisión hay que esclarecer los motivos que ocasionan que ese diente no se encuentre en su posición correcta.
¿Qué Causa Una Malposición Dental?
Factores genéticos: La herencia genética suele jugar un papel determinante en la salud bucodental. Si en tu familia hay antecedentes de dientes torcidos o mal posicionados, es muy probable que la causa de que presentes diferencias estéticas en tu sonrisa se derive de tus genes.
La causa genética más común es que haya una alteración en el espacio de los maxilares que ocasione que los dientes no puedan erupcionar en su posición correcta.
Si el espacio es reducido, las piezas se irán apiñando unas con otras para poder salir en su totalidad y harán que la sonrisa se vea mal alineada.
Puede darse el caso de que el resto de dientes estén colocados correctamente, pero que no haya espacio suficiente para que los molares salgan.
Esto genera un movimiento dental que causa un apiñamiento dental.
Succión del pulgar o de un chupete de forma prolongada: Los niños deben dejar el hábito de succión continuada del chupete o del pulgar alrededor de los 2 años. De lo contrario, puede verse comprometido su desarrollo dental, afectando a la erupción de sus dientes de leche y pudiendo causar problemas en la mordida que generen una mal posición dental.
¿Existen Alternativas a La Ortodoncia Para Corregir Un Solo Diente?
Las carillas dentales son una gran alternativa a la ortodoncia para corregir solo un diente si el caso lo permite, ya que pueden alinear los dientes torcidos y solucionar problemas de espacio entre dientes en una sola sesión con el dentista.
Hay que tener en cuenta las características individuales del paciente.
Se pueden colocar carillas en lugar de la ortodoncia si:
- La malposición del diente es leve
- No presenta problemas en la mordida
- Su salud bucodental es buena
¿Cómo Alinear, Juntar o Separar Los Dientes Sin Brackets?
A pesar de que los brackets son el tratamiento más popular hasta la fecha para solucionar problemas de posición o de maloclusión dental, cada vez existen más soluciones para conseguir unos dientes rectos sin brackets.
El primer paso para determinar qué tratamiento es el más apropiado es someterse a un diagnóstico profesional.
Este diagnóstico, junto a un estudio de ortodoncia, nos permitirá conocer los motivos de la malposición dental y descubrir si existe algún otro problema bucodental.
Tras el diagnóstico y el estudio de ortodoncia se podrá determinar con precisión qué tratamiento es el más adecuado para enderezar los dientes del paciente con o sin brackets.
La Alternativa Definitiva Para Una Ortodoncia Sin Brackets
Los alineadores invisibles son el sistema más eficaz para arreglar los dientes sin brackets y, además, presentan diversas ventajas comparados con los otros métodos para enderezar los dientes.
Las principales ventajas de la ortodoncia invisible con alineadores es que son un tratamiento más cómodo, eficiente, higiénico y discreto que la ortodoncia tradicional o que los otros tratamientos para enderezar los dientes sin brackets.
Todas estas ventajas posicionan a la ortodoncia invisible como la mejor opción para alinear, juntar o separar los dientes sin brackets.
Otros Métodos Para Enderezar Los Dientes Sin Brackets
- Separadores o espaciadores: pequeños anillos de goma o metal que se colocan entre los dientes para mantenerlos separados. Normalmente los espaciadores dentales son un tratamiento previo a la ortodoncia, aunque en algunos casos muy concretos se pueden usar como alternativa para corregir la posición de algunos dientes sin necesidad de usar brackets.
- Expansores del arco transpalatino: dispositivos de ortodoncia interceptiva que ayudan a ensanchar el paladar. Se usan para solucionar casos de dientes impactados o de mordida cruzada, aunque también pueden usarse para arreglar dientes apiñados sin ortodoncia tradicional cuando el motivo del apiñamiento es la falta de espacio por paladar estrecho. El expansor permite ganar espacio y colocar cada diente en su sitio, de manera que ayuda a corregir la posición de los dientes sin brackets.
- Posicionadores: los posicionadores dentales son fundas dentales con pequeñas modificaciones respecto a la dentadura original que, gracias a su material elástico, al colocarse sobre los dientes del paciente, pueden provocar pequeños movimientos dentales. Los posicionadores ajustan ligeramente el engranaje entre el maxilar superior e inferior y ayudan a enderezar los dientes sin brackets, pero no los alinean.
Estos tratamientos para enderezar los dientes sin brackets no son adecuados para todos los casos, por tanto, el paciente deberá acudir a un profesional para determinar qué tratamiento es el más conveniente para su caso.
Además, estos tratamientos no son demasiado discretos si los comparamos con los alineadores invisibles, lo que los convierte en una alternativa poco viable para alinear los dientes sin brackets si uno de tus objetivos es que el tratamiento pase desapercibido.
¿Son Las Carillas Una Alternativa Para Alinear Dientes Torcidos?
Si tú también eres de los que te preguntas si las carillas son otro método para enderezar los dientes, la respuesta es contundente: alinear dientes con carillas es imposible.
Las carillas son un tratamiento puramente estético que no corrige el problema de malposición dental, sino que lo enmascara.
Las carillas se colocan sobre los dientes torcidos, de manera que estos quedan ocultos, y la carilla queda visible con el tamaño, color y posición deseado.
¿Se Pueden Corregir Problemas de Mordida Sin Brackets?
Es importante destacar que no solamente se pueden corregir problemas de posición dental, sino que también se pueden corregir problemas de mordida sin usar brackets, aunque no todos los tratamientos son capaces de hacerlo.
El sistema de alineadores invisibles permite corregir problemas de mordida y juntar dientes separados sin aparato incluso en casos complejos, lo que lo convierte en el tratamiento más apropiado para hacerlo.
El expansor del arco transpalatino, uno de los dispositivos ortodónticos comentados anteriormente para arreglar los dientes apiñados sin brackets, también puede corregir casos de mordida cruzada mediante la expansión del paladar.
Este tipo de dispositivos suele usarse mayormente en niños, que es cuando es más fácil modificar la estructura ósea.
Por último, las carillas no son un tratamiento que permita corregir la mordida, ya que se trata de un tratamiento puramente estético que no puede corregir la posición dental u ósea.
¿Cuánto Cuesta La Ortodoncia Sin Brackets?
Como venimos adelantando durante todo el artículo, la ortodoncia invisible con alineadores es el mejor tratamiento para enderezar los dientes y corregir la mordida sin brackets, pero ¿es más económico que la ortodoncia tradicional?
Los precios de la ortodoncia invisible pueden variar en función de la dificultad del caso y otros factores, como la tecnología, el tiempo de tratamiento, el número de revisiones que se requieran o el tipo de clínica y su localización.
Todos estos factores afectan al precio del tratamiento, pero, si te interesa cuánto cuesta la ortodoncia invisible sin brackets, podemos afirmar que el precio de los tratamientos con alineadores invisibles puede oscilar entre 2,000€ y 5,000€.
La ortodoncia no solo está pensada para alinear los dientes de manera general, sino que también puede ser utilizada para corregir un solo diente.
Sí, es posible corregir la posición de un solo diente mediante ortodoncia.
Muchas personas tienen un diente fuera de lugar que afecta tanto la estética como la funcionalidad de la mordida.
Se pueden usar diversos métodos para alinear un diente específico, que incluyen desde los tradicionales brackets de metal hasta alineadores invisibles.
Existen varias opciones de tratamiento cuando se desea corregir un solo diente.
- Los brackets tradicionales, ya sean metálicos o de zafiro, son una de las opciones más efectivas para corregir el posicionamiento de un solo diente. Este tratamiento es ideal para casos donde el diente está severamente desalineado.
- Para aquellos que buscan una opción discreta, los alineadores invisibles son una excelente alternativa. Este tratamiento es especialmente atractivo para quienes no desean que el proceso de ortodoncia sea evidente, ya que los alineadores son casi invisibles.
- En algunos casos, las carillas dentales pueden ser una solución estética para corregir la posición de un solo diente. Aunque no son una opción de ortodoncia en sí misma, las carillas pueden cambiar el aspecto del diente al mejorar su forma y tamaño.
El tiempo necesario para corregir un solo diente depende de la gravedad del desalineamiento y del tipo de tratamiento que elijas.
El coste de la ortodoncia para un solo diente varía según el tipo de tratamiento.
Los brackets metálicos suelen ser más económicos que los alineadores invisibles, pero estos últimos tienen la ventaja de ser más discretos.
El coste también puede depender de la clínica dental, la experiencia del ortodoncista y la complejidad del caso.
Durante el tratamiento de ortodoncia, es fundamental seguir las indicaciones del ortodoncista para garantizar que el proceso sea efectivo.
Antes de tomar cualquier decisión, es crucial realizar una evaluación personalizada con un ortodoncista.
La ortodoncia para un solo diente es una solución efectiva para mejorar tanto la estética como la funcionalidad de tu sonrisa.
Corregir los dientes torcidos no solo tiene un impacto estético, sino también una gran relevancia para la salud bucal.
Los dientes alineados correctamente facilitan la higiene oral, previenen problemas dentales futuros y mejoran la confianza personal.
Los brackets tradicionales siguen siendo una opción popular debido a su efectividad. Están hechos de metal y se fijan a cada diente, conectados por un alambre que se ajusta periódicamente para alinear los dientes. Aunque son visibles, los brackets metálicos actuales son más pequeños y cómodos que los de antaño.
Los alineadores invisibles, como SureSmile, han revolucionado la ortodoncia. Estos alineadores de plástico transparente son removibles y casi imperceptibles a simple vista. Se cambian cada pocas semanas para mover gradualmente los dientes a su posición deseada.
La ortodoncia lingual utiliza brackets similares a los tradicionales, pero se colocan en la parte interna de los dientes, haciéndolos invisibles desde el exterior. Esta técnica es adecuada para quienes desean la efectividad de los brackets sin comprometer la estética.
Los brackets de autoligado, como los sistemas Damon, utilizan un mecanismo de deslizamiento en lugar de ligaduras elásticas para mantener el alambre en su lugar. Esto reduce la fricción y permite movimientos más rápidos y menos dolorosos.
Elegir el tratamiento adecuado depende de varios factores, incluyendo la severidad de la desalineación, preferencias estéticas, estilo de vida y presupuesto.
La duración del tratamiento varía según el método elegido y la complejidad del caso. En general, los brackets tradicionales y de autoligado pueden requerir entre 18 a 24 meses aproximadamente, mientras que los alineadores invisibles pueden ofrecer resultados en un período similar.
El coste de la ortodoncia puede variar ampliamente. Los brackets tradicionales suelen ser la opción más económica, seguidos por los alineadores invisibles y los brackets de autoligado. La ortodoncia lingual tiende a ser la más elevada debido a la personalización y la técnica requerida.
La tecnología 3D ha transformado la ortodoncia, permitiendo una planificación precisa y personalizada de los tratamientos. Las impresoras 3D se utilizan para crear alineadores y brackets a medida, mejorando la comodidad y la efectividad.
Los materiales utilizados en ortodoncia han evolucionado, ofreciendo mayor durabilidad y confort. Los alineadores invisibles están hechos de plásticos de alta resistencia que son más cómodos y eficientes.
Aunque la adolescencia es el momento más común para comenzar el tratamiento, la ortodoncia es efectiva a cualquier edad.
El uso de retenedores es crucial para mantener los resultados del tratamiento.
| Tratamiento | Descripción | Ventajas | Desventajas | Costo Aproximado |
|---|---|---|---|---|
| Brackets Metálicos | Brackets tradicionales fijados a los dientes | Efectivos para casos severos, costo más bajo | Visibles, pueden ser incómodos | €1,500 - €3,000 |
| Alineadores Invisibles (ej. Invisalign) | Alineadores de plástico transparente removibles | Discretos, cómodos, removibles | Pueden requerir más disciplina, costo más alto | €2,500 - €5,000 |
| Carillas Dentales | Láminas de porcelana o composite adheridas al diente | Corrección estética rápida, mejora la forma y el color | No corrige la posición del diente, solo la apariencia | €400 - €1,500 por diente |
| Ortodoncia Lingual | Brackets fijados en la parte interna de los dientes | Invisibles | Más costosos, pueden ser incómodos al principio | €4,000 - €7,000 |