Las encías retraídas son un problema dental común que afecta a muchas personas. Se trata de la pérdida del tejido alrededor de los dientes, donde las encías se retraen dejando ver la base de los dientes. Esta condición no solo afecta la apariencia de tu sonrisa, sino que también puede venir acompañada de inflamaciones, sangrados y sensibilidad dental.
En este artículo, exploraremos las causas, síntomas y tratamientos disponibles para las encías retraídas, así como consejos para prevenir este problema y mantener una salud bucal óptima. Pero no te alarmes, la retracción de encías tiene solución. Según la severidad del problema existen distintos tratamientos y aquí te los contamos.
Hablamos de encías retraídas cuando el tejido gingival que rodea tu diente se desplaza en sentido apical, dejando al descubierto parte de la raíz dentaria. La superficie radicular está recubierta por un tejido llamado cemento, que no está preparado para estar en contacto con el exterior. Asimismo, si tienes pérdida de tu encía, el cepillado dental puede volverse dificultoso por la sensibilidad. Esto favorece el acúmulo de placa bacteriana y la formación de sarro, situaciones que irritan tu tejido gingival e incrementan la retracción. Retracción gingival, recesión de encías y pérdida de encía son otros nombres con los que se conoce esta afección.
Aunque se trata de una condición bastante común, muchas personas no se dan cuenta de que su tejido gingival está retrocediendo. Aunque el problema de encías retraídas sea severo, buscaremos una solución para resolverlo. Por este motivo, es importante que nos visites en nuestra Clínica Dental de Valencia y Silla para realizar tus revisiones semestrales con regularidad.
Ya te contamos que las encías retraídas afectan la estética de la boca, aumentan el riesgo de sufrir caries y pueden provocar sensibilidad. Igualmente, las encías retraídas pueden ser un síntoma de otras afecciones dentales subyacentes.

Causas de las Encías Retraídas
Son varios los motivos que pueden llevar a que tus encías se retraigan, incluso, en algunos casos, es la combinación de varias situaciones lo que provoca la pérdida de tejido gingival.
- Gingivitis: La gingivitis es la inflamación de las encías. La mayoría de las veces está asociada a una inadecuada higiene oral, lo que provoca la acumulación de placa bacteriana y la formación de sarro. Si tienes sarro en tu boca deberás acudir a nuestros consultorios lo más pronto posible. Además, si notas que tus encías están hinchadas o sangran cuando te cepillas los dientes también deberás visitarnos con prontitud. Estas son señales de que algo no está bien en tu boca y no debes pasarlo por alto.
- Periodontitis: La periodontitis, también conocida como enfermedad periodontal o piorrea, surge como consecuencia de una gingivitis no tratada. La presencia de bacterias en estas zonas profundas ocasiona un proceso infeccioso e inflamatorio que destruye progresivamente los tejidos que sostienen tus dientes. Si la afección no se trata a tiempo, las fibras periodontales y el hueso que aloja a tus piezas dentarias se van perdiendo. Al destruirse el hueso, las encías acompañan la pérdida y, por lo tanto, se retraen.
- Cepillado agresivo: En este caso, las encías retraídas aparecen en personas con un buen control de la placa bacteriana, al contrario de las causas anteriores. Si eres de los que se cepilla los dientes con mucha fuerza o con cepillos muy duros, debes saber que esta práctica puede dañar tus encías y provocar su retracción. Es frecuente que, si la técnica de cepillado es inadecuada, solo observemos la encía retraída sobre uno o dos elementos dentarios. En estos casos, es habitual que la afección se desarrolle en la zona del canino del lado contrario a la mano con que realizas el cepillado; si te cepillas tus dientes con tu mano derecha, lo más probable es que se retraiga la encía de tu colmillo izquierdo.
- Tratamientos de ortodoncia: Los tratamientos de ortodoncia nos permiten movilizar las piezas dentarias para conseguir una adecuada relación entre las piezas superiores con las inferiores. Estos movimientos dentales deben realizarse de manera precisa, progresiva y controlada. El movimiento de los dientes con ortodoncia, por sí solo, no provoca la pérdida de encía. De todos modos, muchas veces las piezas dentarias se reubican por fuera de la tabla ósea.
- Tabaquismo: El tabaco es un hábito nocivo que altera la salud oral de muchas maneras. El calor y las sustancias tóxicas del cigarrillo afectan la irrigación y las defensas del tejido gingival. Por este motivo, si fumas, tus encías pueden verse pálidas, gruesas y retraídas. Si tienes la costumbre de fumar, nuestro mayor consejo es que trates de abandonar el hábito.
- Traumatismos: Sufrir un golpe en la boca es otra de las causas que puede provocar la pérdida de encías. Los traumatismos no solo ocasionan dientes rotos, sino que también dañan los tejidos que los sostienen.
- Bruxismo: En odontología llamamos bruxismo al apretamiento y rechinamiento inconsciente de los dientes. La presión excesiva que provocan las fuerzas del apretamiento repetitivo y frecuente, dañan la salud de tus tejidos periodontales.
- Piercings orales: Otra causa de la recesión de encías es la presencia de piercings en la boca. La continua fricción del objeto contra tu tejido gingival hará que tus encías se alejen de la zona donde reciben el trauma.
- Factor genético: También existe un factor genético, ya que se ha demostrado que mientras hay gente muy propensa a desarrollar enfermedades de las encías, hay otras personas que son completamente inmunes a pesar de su higiene. En esta misma sintonía, las enfermedades que debilitan el sistema inmunológico como la diabetes pueden favorecer el avance de la placa bacteriana.
Síntomas de las Encías Retraídas
Las encías retraídas pueden afectar a tu salud dental y estética, aprende a identificar las señales. Estos son los principales síntomas de la recesión gingival que te permitirán comprobar si existe algún problema con tus encías que pueda complicarse con el tiempo. Para evitarlo, deberías acudir a tu clínica de confianza cuando detectes cualquiera de ellos y seguir las recomendaciones de los profesionales encargados de tu salud bucodental.
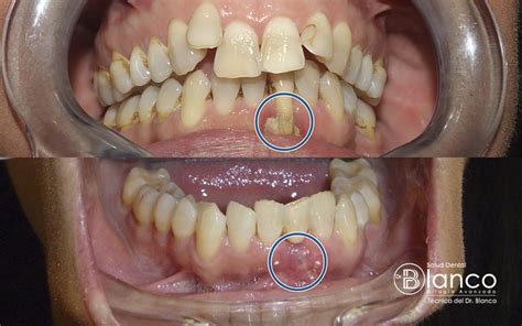
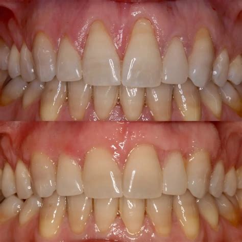
Así se solucionan las encías retraídas (recesión gingival)
- Dientes que parecen más largos: Aunque parece difícil de detectar, sí que es posible notar una longitud mayor de las piezas respecto a hace algún tiempo. Fíjate en tus dientes y en la posición de las encías ¿notas que ha aumentado la separación? Presencia de uno o más dientes largos respecto a los demás.
- Color diferente en la línea de encías: Si eres un poco observador puedes detectar tonos distintos entre la raíz expuesta y la corona del diente. Si te acostumbras a fijarte en tus dientes cada vez que realizas tu rutina de limpieza, serás más consciente del estado en el que se encuentran dientes y encías y podrás comprobar si surgen cambios o algún problema.
- Inflamación de las encías: Si compruebas que tus encías se hinchan y enrojecen, sobre todo en los márgenes, podría estar comenzando la retracción. Esta situación es más fácilmente comprobable y puede ser un factor determinante para empezar a tratar esta situación a tiempo y evitar complicaciones.
- Sangrado de las encías: Suele aparecer durante el cepillado o cuando se muerden alimentos un poco más duros, como manzanas, por ejemplo. Si notas que al cepillarte te sangran las encías puede ser que estés realizando un cepillado demasiado fuerte o agresivo. Lo mejor es que acudas a una revisión para que te puedan asesorar y revisar cómo se encuentran tus encías. También te darán consejos para realizar un cepillado adecuado y que no dañe tus encías.
- Excesiva sensibilidad a los alimentos: Se produce un dolor intenso cuando ingieres algún alimento o bebida muy fría o caliente, ácida o dulce. ¿Has notado una mayor sensibilidad en tus dientes cuando comes helado o tomas bebidas con mucho hielo?
- Movilidad dental: Podrías notar cómo algún diente se mueve ligeramente, en este caso no deberías dejarlo más tiempo. Acude a tu clínica dental y evitarás problemas o incluso pérdidas dentales.
Tratamientos para las Encías Retraídas
El tejido gingival no se regenera por sí mismo ni existen remedios caseros para tratar las encías retraídas. Si bien puedes modificar tus hábitos y cuidar tu salud oral, no hay una solución natural o casera para curar tus encías retraídas. Si el origen es un cepillado agresivo, un piercing o la consecuencia de un tratamiento de ortodoncia, las encías retraídas tienen solución. En cambio, si la retracción gingival se acompaña de un daño periodontal grave, como en la periodontitis, el abordaje es más complicado.
Entonces, lo primero que debemos hacer para curar tus encías retraídas es encontrar la causa que provocó el problema. Te enseñaremos cómo higienizar tu boca y cepillar tus dientes de manera correcta y con cuidado. Te asesoraremos sobre tu dieta.
Al eliminar las causas de las encías retraídas, intentamos que el tejido gingival vuelva a su posición natural. Además de actuar sobre el origen del problema, muchas veces, serán necesarios algunos procedimientos terapéuticos para recuperar tus encías, disminuir los síntomas o lograr una sonrisa más armónica y bonita. Podemos dividir los tratamientos en técnicas quirúrgicas y no quirúrgicas.
Tratamientos No Quirúrgicos
Si tu problema de encías retraídas es leve, podremos mejorar la situación sin cirugías.
- Agentes desensibilizantes y barnices: Utilizaremos estos productos sobre las raíces expuestas.
Tratamientos Quirúrgicos
Si tus encías no logran reposicionarse por sí solas, recurrimos a algunos procedimientos quirúrgicos que nos ayudan a solucionar el problema.
- Cirugía plástica mucogingival o injerto de encía: Con esta técnica tomamos un fragmento de mucosa de tu paladar y lo colocamos sobre el sitio donde has perdido encía, recubriendo las raíces dentarias expuestas. Con esto buscamos regenerar el tejido faltante. Es una cirugía sencilla, rápida y con un postoperatorio leve.
- Estiramiento de encía: Esta técnica, también llamada «colgajo movilizado coronalmente» lo podemos realizar si tienes conservadas tus papilas interdentarias, que son la porción triangular de encía que hay entre diente y diente.
- Cirugías periodontales: Las aplicamos en casos de periodontitis graves y avanzadas.

Procedimientos Quirúrgicos Adicionales
Existen varios procedimientos quirúrgicos para tratar las enfermedades de las encías. Durante este procedimiento, el dentista o periodoncista (odontólogo especialista en encías) eleva el tejido de las encías afectado y limpia muy bien toda la zona infectada, eliminando las bacterias de las bolsas periodontales y realizando un alisado de la superficie de la raíz.
Si el hueso que sostiene los dientes se ha visto afectado, se recomienda la aplicación de un procedimiento que regenere la pérdida de hueso y tejido. Al igual que en el caso anterior, el dentista eleva el tejido de las encías y elimina las bacterias. Posteriormente, aplica un material regenerativo, como una membrana, tejido de injerto o proteína estimuladora de tejido, para fomentar la regeneración natural del hueso y el tejido en dicha zona.
Existen varios tipos de procedimientos de injerto de tejido en las encías, pero el más común es el que se conoce como injerto de tejido conectivo. En esta cirugía se toma un trocito de encía del paladar del que se extrae tejido conectivo subepitelial.
Remedios Caseros para Encías Retraídas
Existen remedios caseros para encías retraídas naturales que te pueden ayudar a evitar que este problema aparezca. Queremos ayudarte a mantener tus dientes y encías sanos, pero no olvides que una buena higiene y la prevención, siempre serán claves para conseguirlo.
- Milenrama: Sus hojas tienen efectos anti-inflamatorios, analgésicos y anti-coagulantes, por lo que puede ayudar a reducir la retracción de encías con una solucion casera en cualquiera de sus fases. Lo mejor es masticar las hojas o también machacarlas hasta obtener una pasta con la que masajear las encías. Para la retracción de encías otra solución natural, es hacer gárgaras con una infusión de milenrama.
- Té verde: El té verde tiene importantes propiedades anti-inflamatorias y antioxidantes que ayudan a rebajar la inflamación de las encías y mejorar la fijación dental. Si quieres evitar la retracción de encías con unos buenos remedios caseros, te recomendamos dos infusiones de té verde al día. Será suficiente para que este té haga su trabajo.
- Salvia: Para tratar la recesión de encías existe otro tratamiento casero muy útil y fácil de realizar: masticar hojas de salvia. Ha sido un remedio ancestral que se ha utilizado para combatir los abscesos dentales y las encías hinchadas gracias a sus propiedades anti-inflamatorias. Ayuda a proteger las encías y mejorar la higiene de tu boca. También puedes hacer gárgaras con la infusión.
- Aloe Vera: Un gel de aloe vera te ayudará a rebajar la inflamación de encías y a prevenir la retracción de encías. Se puede romper una hoja y frotar el gel directamente en la encía después del cepillado de dientes.
- Aceite de coco: El aceite de coco posee ácido láurico y un tipo de triglicéridos con propiedades anti-inflamatorias y antimicrobianas que te ayudará a tratar y evitar las encías retraídas. Si mezclas este tipo de aceite con la sal marina y masajeas tus encías reducirás la inflamación provocada por la retracción.
- Aceite de limón: Se obtiene de la cáscara de limón y tiene propiedades antisépticas y antimicrobianas. Puedes masajear tus encías con el aceite o añadir varias gotas a un vaso con agua tibia para hacer gárgaras. Además, de tratar la rectracción de encías con un remedio casero, este aceite te ayuda a eliminar el mal aliento.
- Suplemento de vitamina C: Las frutas y verduras frescas son ricas en vitamina C, sobre todo los kiwis, los tomates, los cítricos, brócoli, pimientos, etc. Si se pueden comer crudas, mucho mejor para evitar la pérdida de vitamina en la cocción.

Prevención de las Encías Retraídas
La mejor manera de prevenir las encías retraídas es realizando un muy buen cuidado de tu boca. Cepíllate los dientes y usa hilo dental o cepillos interdentales todos los días, visita al odontólogo al menos dos veces al año, o según lo que te recomiende tu dentista de confianza. Usa siempre un cepillo de dientes de cerdas suaves y pídele a tu dentista que te muestre la forma correcta de cepillarte los dientes.
Contra las encías retraídas existen remedios caseros, que pueden ayudarte a evitar este problema. Queremos explicarte la importancia de realizar una higiene bucal adecuada que te ayudará a evitar complicaciones que puedan perjudicar tu salud dental y la de tus encías.
Las encías cumplen una función fundamental ya que se encargan de mantener las piezas dentales en posición para que permanezcan estables y evitar que se muevan. Además, las encías intervienen cuando la corona del diente se junta con la raíz, gracias a esta situación estratégica consiguen proteger de forma más efectiva la parte inferior de los dientes de los restos de alimentos y posibles bacterias que se acumulan por no eliminarlos adecuadamente.
Si notas que tus dientes se ven más largos, tus encías se desplazan o tienes molestias al beber algo frío o caliente, puedes tener un problema de encías retraídas. Te recomendamos que no dejes pasar estas señales y pautes una cita en nuestras Clínicas Dentales de Valencia o Silla lo antes posible.
Si crees que estás padeciendo retracción en las encías lo más recomendable es acudir a tu dentista de confianza. El podrá aconsejarte, y si la retracción de encías es detectada en una fase inicial, hay muchos tips que se pueden aplicar para evitar que progrese y que llegue a causar daños mayores.
En definitiva, si notas tus encías retraídas, o ligeros cambios en tu tejido gingival, no lo dejes pasar. ¿Tienes dudas o quieres una valoración?
