La formación de llagas en la encía es muy frecuente entre la población general. La presencia de aftas bucales suele darse con mayor prevalencia en las mucosas orales, como la zona del paladar blando, la lengua, la cara interna de las mejillas, el interior de los labios y las encías. Desde la Clínica Dental te vamos a explicar cómo identificar las llagas, por qué aparecen y cómo evitarlas.

¿Qué son las llagas en la encía?
Las llagas en la encía son lesiones ulcerosas que se forman principalmente en las encías. Son muy similares a las llagas en la lengua o las que surgen en cualquier otra zona de las mucosas orales. Morfológicamente las llagas en la encía suelen presentar un tono blanco, con un borde rojizo. Una de las características de este tipo de aftas es que generan ciertas molestias, sobre todo al masticar, al hablar o al comer en general. Además, complican un poco la higiene bucodental, debido a que molestan durante el cepillado.
Tipos de llagas
- Menores: normalmente tardan en curarse entre 7 y 15 días. Morfológicamente tienen un tono blanquecino con el reborde rojo.
- Mayores: su curación podría demorarse más allá de 30 días.
- Herpetiformes: pueden confundirse con los herpes por su morfología.
Causas de las llagas en la encía
La presencia de llagas en la encía sigue siendo un problema frecuente del que poco conocemos. Las llagas que se producen en la encía pueden variar en cuanto a su origen y características.
- Aftas Recurrentes: Las aftas recurrentes son una causa común de llagas en la encía. Son llagas pequeñas y redondas que pueden aparecer en la encía u otras áreas de la boca. Suelen ser de color blanco o amarillento con un borde rojo y pueden ser dolorosas.
- Herpes Labial: El herpes labial es causado por el virus del herpes simple tipo 1 (HSV-1). Las llagas suelen aparecer en los labios o alrededor de la boca, pero también pueden desarrollarse en la encía.
- Úlceras Traumáticas: Las úlceras traumáticas en la encía pueden ser el resultado de lesiones físicas, como morderse accidentalmente la encía, cepillarse demasiado fuerte o sufrir un traumatismo durante un procedimiento dental.
- Infecciones Bacterianas o Fúngicas: Ciertas infecciones bacterianas o fúngicas pueden causar la formación de llagas en la encía.
- Cepillarte los dientes enérgicamente podría estar detrás de las llagas en la encía. La recomendación es que uses un cepillo de dientes de cerdas suaves o medias y no ejerzas demasiada presión sobre dientes y mucosas.
- Los cambios bruscos de temperatura pueden provocar aftas bucales.
- Las dentaduras postizas cuando no están bien ajustadas también son esenciales en la formación de aftas bucales.
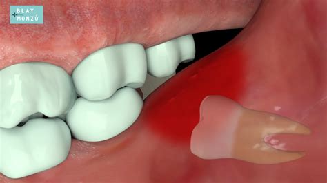
Pericoronaritis: Inflamación de la encía por muelas del juicio
Las muelas del juicio, también conocidas como terceros molares o cordales, a menudo son motivo de preocupación en el mundo dental. Su erupción, en ocasiones parcial, puede dar lugar a diversas complicaciones, siendo la pericoronaritis una de las más comunes.
La pericoronaritis es la inflamación de la encía por encima de la muela que no ha erupcionado totalmente. Es decir, se produce cuando una muela del juicio ha comenzado a erupcionar y le falta espacio para salir, quedando una parte de esta cubierta por encía. La pericoronaritis suele afectar a la encía que rodea los últimos molares inferiores, sobre todo en los casos en los que la erupción del diente no se puede dar correctamente por falta de espacio en las encías.
Esta infección de la encía e inflamación de la zona se presenta con una encía muy dolorosa, roja y edematosa. Inclusive causando dolor intenso al hablar y muchas veces limitación de la apertura bucal, dificultad al tragar, halitosis o mal olor de boca. Presencia de pus al tocar la encía alrededor de la muela del juicio. La pericoronitis es debido a la escasez de espacio en el momento en que erupcionan las muelas del juicio.

Síntomas de la pericoronaritis
La pericoronaritis manifiesta una serie de síntomas que, si bien pueden variar en intensidad, sirven como señales de alerta para buscar atención odontológica.
- Dolor y Sensibilidad: Uno de los síntomas más comunes de la pericoronaritis es el dolor en la zona de la muela del juicio afectada. Este dolor puede variar desde una molestia leve hasta una incomodidad intensa.
- Inflamación y Enrojecimiento: La inflamación de las encías alrededor de la muela del juicio es otra señal evidente de pericoronaritis. Esta inflamación puede ir acompañada de enrojecimiento, creando un área sensible y visualmente notable en la boca del paciente.
- Mal Sabor o Mal Aliento: La acumulación de bacterias debajo de la encía de la muela parcialmente erupcionada puede causar un mal sabor en la boca o mal aliento persistente.
- Dificultad para Abrir la Boca: En casos más avanzados, la pericoronaritis puede resultar en una limitación en la capacidad de abrir completamente la boca.
Si experimentas alguno de estos síntomas, es crucial que busques atención odontológica de inmediato. Un odontólogo realizará un examen exhaustivo y, posiblemente, radiografías para confirmar el diagnóstico y determinar el mejor curso de acción.
Diagnóstico de la pericoronaritis
El diagnóstico preciso de la pericoronaritis es esencial para iniciar un tratamiento efectivo y evitar complicaciones a largo plazo.
- Examen Clínico: Durante el examen clínico, el odontólogo evaluará visualmente la zona afectada, buscando signos de inflamación, enrojecimiento y cualquier acumulación de pus o residuos alimenticios.
- Radiografías: Las radiografías dentales son herramientas cruciales para evaluar la posición de las muelas del juicio y la presencia de pericoronaritis.
- Pruebas Específicas: En algunos casos, el odontólogo puede realizar pruebas específicas, como aplicar presión controlada sobre la muela del juicio para evaluar la respuesta del paciente al dolor.
Es importante destacar que el diagnóstico temprano de la pericoronaritis es fundamental para evitar complicaciones graves, como abscesos dentales o infecciones más extensas.
Tratamiento de la pericoronaritis
El tratamiento de la pericoronaritis varía según la gravedad de la condición y los síntomas presentes. Los enfoques pueden ir desde medidas conservadoras hasta intervenciones más invasivas, y la elección dependerá de la evaluación específica de tu odontólogo. Es esencial seguir las recomendaciones de tu odontólogo y cuidar la zona afectada después del tratamiento. Recuerda que ignorar la pericoronaritis o posponer el tratamiento puede conducir a complicaciones más graves, como infecciones extensas o daño permanente a las estructuras dentales circundantes.
El tratamiento normalmente es la extracción de la muela del juicio semi incluida. También se debe retirar el capuchón pericoronario, que ha permitido el ambiente ideal para que la infección se produjera.
Primero se realizará una limpieza dental profesional y un drenaje quirúrgico de la zona afectada. Cuando haya remitido la infección, valoraremos la necesidad de eliminar el tejido de la encía que cubre la muela en erupción.

Medidas temporales para aliviar el malestar
Si experimentas síntomas de pericoronaritis antes de poder consultar a tu odontólogo, hay algunas medidas que puedes tomar en casa para aliviar el malestar. Sin embargo, es importante destacar que estos consejos son temporales y no sustituyen la atención profesional. Siempre busca la orientación de un odontólogo para un diagnóstico y tratamiento adecuados.
- Prepara una solución de agua tibia con sal (aproximadamente media cucharadita de sal en un vaso de agua) y realiza enjuagues suaves.
- Aplica compresas frías en la mejilla exterior, en intervalos cortos, para ayudar a reducir la hinchazón y aliviar el dolor.
- Considera el uso de analgésicos de venta libre, como el ibuprofeno o el paracetamol, siguiendo las indicaciones del envase.
- Si experimentas molestias al masticar, trata de evitar usar la muela del juicio afectada.
¿Cuándo buscar atención odontológica?
Reconocer cuándo es el momento adecuado para buscar la atención de un odontólogo es esencial para prevenir complicaciones graves asociadas con la pericoronaritis.
- La presencia de fiebre, escalofríos y malestar general podría ser indicativo de una infección más extensa.
- La presencia de pus o un mal olor persistente alrededor de la muela del juicio puede indicar una infección activa.
Absceso dental
Un absceso dental es una acumulación de pus en el interior del diente o en los tejidos circundantes. Las muelas infectadas, generalmente causadas por una infección bacteriana en el interior del diente o en sus tejidos circundantes, pueden ser dolorosas y potencialmente peligrosas si no se tratan adecuadamente.
Causas de los abscesos de las encías
- Caries no tratadas, que pueden causar una infección bacteriana profunda que puede llegar a la mandíbula.
- Un traumatismo dental posterior a un shock, que puede destruir la pulpa y provocar una infección del tejido muerto.
- Lesión o enfermedad de las encías como la gingivitis que promueve el desarrollo de bacterias.
- Una infección en las muelas del juicio.
Tratamiento de los abscesos de las encías
A diferencia de una úlcera bucal en la encía, es poco probable que un absceso gingival se cure por sí solo y, en ausencia de tratamiento, puede provocar complicaciones. Es por eso que se recomienda enfáticamente que un absceso en la encía sea tratado por tu dentista.
La mayoría de las veces, tu dentista drenará el absceso para evacuar el pus. En el caso de un absceso gingival, es posible que deba limpiar el espacio entre el diente y la encía afectada. Si el absceso es severo, puede ser necesaria la extracción del diente.
Infección de las muelas del juicio
Una muela del juicio infectada puede ser una experiencia dolorosa, incluso peligrosa. Las causas más frecuentes de una muela del juicio infectada suele estar asociado con casos de infección en las encías o en los dientes.

Causas de la infección
- Caries Dental: Las caries son una causa común de infecciones dentales. Cuando las bacterias dañinas atacan el esmalte dental y penetran en la pulpa dental (la parte más interna del diente que contiene nervios y vasos sanguíneos), se puede desarrollar una infección.
- Al comer, hay alimentos que se retienen en esa bolsa, ya que la higiene no se realiza correctamente al ser una zona de difícil acceso. Estos restos de comida que quedan por debajo de la encía que cubre la muela parcialmente son los que causan la infección. Las encía que cubre la muela parcialmente erupcionada termina por convertirse en un hábitat idóneo para que las bacterias orales proliferen.
Complicaciones de una muela del juicio infectada
Es importante destacar que las muelas infectadas pueden progresar y causar complicaciones graves, como la propagación de la infección a otras áreas del cuerpo.
- Extensión Local: La infección dental en una muela del juicio puede propagarse a los tejidos circundantes, lo que puede dar lugar a una serie de complicaciones locales, como la formación de un absceso dental.
- Infección de los Tejidos Vecinos: La infección puede extenderse a los tejidos adyacentes, como las encías, los dientes cercanos y los huesos maxilares.
- Infección de las Articulaciones Temporomandibulares (ATM): En casos graves, la infección puede llegar a las articulaciones temporomandibulares, que están ubicadas en la mandíbula y permiten el movimiento de la boca.
- Infección Sistémica: En casos extremadamente raros y graves, la infección de las muelas del juicio puede propagarse a la sangre, lo que se conoce como bacteriemia.
Tratamiento de una muela del juicio infectada
El tratamiento de una muela del juicio infectada generalmente se enfoca en eliminar la infección, aliviar el dolor y prevenir complicaciones posteriores. El tipo de tratamiento dependerá de la gravedad de la infección, la posición de la muela del juicio y la salud general del paciente.
- Antibióticos: En algunos casos, el dentista o cirujano oral puede recetar antibióticos para controlar la infección. Los antibióticos se utilizan para reducir la inflamación y prevenir que la infección se propague a otras áreas.
- Endodoncia (Tratamiento de Conducto): Si la infección ha llegado al interior del diente (pulpa), es posible que se realice una endodoncia para eliminar la infección y salvar el diente.
- Extracción Dental: En muchos casos, especialmente si la muela del juicio está impactada o no es funcional, se puede recomendar la extracción dental. La extracción elimina la fuente de la infección y evita futuros problemas.
- Analgesia: Para aliviar el dolor asociado con la muela del juicio infectada, el profesional de la salud dental puede recetar analgésicos.
- Cuidado en Casa: Después del tratamiento, es importante seguir las instrucciones del dentista para el cuidado en casa.
¿Qué hacer ante una muela del juicio infectada?
- Consulta a un Dentista: Lo más importante es buscar atención dental inmediata.
- No Automedicarse: Evita tratar de lidiar con la infección por tu cuenta, ya que esto puede empeorar la situación.