Una muela picada es un problema dental común que puede causar molestias, dolor y dificultades al comer. Las caries duelen generalmente en todos los dientes, pero el dolor de muelas es uno de los más fuertes que hay y es el que más sensibilidad provoca en la boca al comer. En este artículo, te explicamos qué hacer si tienes una muela picada y cómo prevenir su aparición en un futuro para mantener tu salud bucal en óptimas condiciones.

¿Qué es una Muela Picada?
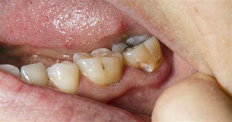
Básicamente, llamamos muela picada a la afección causada por una caries en el molar. Una muela picada, también conocida como caries dental, es una afección muy común que se produce cuando las bacterias presentes en la boca descomponen el esmalte de los dientes, creando pequeñas cavidades o agujeros. Estas cavidades, si no se tratan a tiempo, pueden llegar a afectar la dentina y la pulpa dental, las capas internas del diente.
Las caries dentales son unos agujeros, que aparecen en las capas exteriores de los dientes llamadas esmalte y dentina. Lo que conocemos como una muela picada es aquella que tiene caries, algo muy frecuente en la población. De hecho, se estima que alrededor del 90% de las personas las padece.
¿Por qué se Produce una Muela Picada?
La formación de una muela picada, o caries dental, es el resultado de una combinación de factores que interactúan entre sí. Los principales son:

- Placa bacteriana: La placa bacteriana es una película pegajosa que se forma constantemente sobre los dientes como resultado de la interacción de las bacterias presentes en la boca con los restos de alimentos.
- Acción de los ácidos: Los ácidos producidos por las bacterias atacan el esmalte dental, la capa más externa y dura del diente. Con el tiempo, este ataque constante debilita el esmalte, creando pequeñas cavidades o caries.
- Dieta rica en azúcares: El consumo frecuente de alimentos y bebidas azucaradas proporciona a las bacterias la fuente de energía que necesitan para producir ácidos y acelerar el proceso de desmineralización del esmalte.
- Falta de higiene bucal: No cepillarse los dientes de forma adecuada y regular permite que la placa bacteriana se acumule y las bacterias proliferen, aumentando el riesgo de caries.
- Falta de flúor: El flúor es un mineral que ayuda a fortalecer el esmalte dental y a hacer que los dientes sean más resistentes a los ácidos.
- Sequedad bucal: La saliva ayuda a neutralizar los ácidos producidos por las bacterias y a eliminar los restos de alimentos. La disminución del flujo salival, ya sea por causas médicas o por el uso de ciertos medicamentos, puede favorecer la aparición de caries.
- Factores genéticos: La susceptibilidad a las caries puede tener un componente genético. Algunas personas pueden tener un esmalte dental más débil o una composición salival que los hace más propensos a desarrollar caries.
La existencia de una periodontitis o una gingivitis puede favorecer la aparición de muelas picadas. También un golpe en la boca o traumatismo dental, ya que a veces dejan un espacio abierto para que las bacterias alcancen el interior del diente y lo infecten.
Síntomas de una Muela Picada
Avance vídeo completo "Caries Subgingival" - PerioPixel
Una muela picada puede manifestarse de diversas formas, pero los síntomas más comunes son:
- Dolor dental: Es uno de los síntomas más evidentes. El dolor puede ser agudo, punzante, constante o aparecer y desaparecer. A menudo, se intensifica al masticar, aplicar presión sobre el diente o al consumir alimentos o bebidas calientes, frías o dulces.
- Sensibilidad dental: Las caries pueden causar sensibilidad al frío, calor, dulces o alimentos ácidos. Este síntoma se produce cuando la cavidad expone la dentina, una capa más profunda del diente que contiene diminutos túbulos que conducen al nervio.
- Manchas en los dientes: Las caries pueden causar manchas blancas, marrones o negras en la superficie del diente, especialmente en las zonas afectadas. La apariencia de la muela es otro indicativo notable, ya que el sarro suele aparecer antes que la caries, por lo que podrás notar manchas marrones o amarillas en tus dientes.
- Mal aliento: Las bacterias que causan las caries pueden producir compuestos de azufre que causan mal aliento persistente. También se puede dar la halitosis o mal aliento, debido a la acumulación de bacterias.
- Mal sabor de boca: Un sabor desagradable en la boca también puede ser un signo de caries. La presencia de bacterias en la boca provoca mal olor e incluso sabor a metal.
- Inflamación de las encías: En casos avanzados, la infección causada por la caries puede extenderse a las encías, provocando enrojecimiento, hinchazón y dolor.
- Dolor en el oído: En ocasiones, el dolor de una muela picada puede irradiarse hacia el oído.
- Dolor de cabeza: En algunos casos, una infección dental puede causar dolor de cabeza.
Tratamiento para las Muelas Picadas
El tratamiento para una muela picada dependerá de la gravedad de la caries y de la extensión del daño en el diente. Como podemos apreciar, el problema de las muelas picadas puede suscitarnos graves molestias si no es tratado por especialistas. A continuación, te detallamos las opciones más comunes:
- Obturación o empaste dental: Es el tratamiento más común y se utiliza cuando la caries es superficial. El dentista elimina la parte afectada del diente y la rellena con un material de relleno, como la resina compuesta, para restaurar la forma y función del diente. Estos empastes sustituyen el área de la muela afectada por la caries.
- Endodoncia: Si la caries ha alcanzado la pulpa dental, se realiza una endodoncia. Este tratamiento consiste en eliminar la pulpa infectada, limpiar los conductos radiculares y sellarlos. Después, se coloca una corona dental para proteger el diente. En otras palabras: cuando ya la caries ha alcanzado y afectado la pulpa del diente. Se realiza para poder conservar un diente o muela ya muy dañada o infectada sin necesidad de extráerselo al paciente. Se trata de reemplazar la pulpa del diente o molar por un relleno, a veces tras haber limpiado el canal radicular.
- Extracción dental: En casos muy avanzados, cuando el diente está muy dañado o la infección es extensa, puede ser necesaria la extracción del diente. Posteriormente, se pueden considerar opciones como un implante dental, un puente o una dentadura postiza para reemplazar el diente perdido.
- Coronas: Se emplean en una fase en que el proceso se halla muy avanzado. Son las llamadas fundas, coronas fabricadas a medida para cubrir la corona natural del diente.
- Flúor: el tratamiento con flúor puede reparar los dientes cariados y muelas picadas cuando el proceso está en su inicio. Es el momento en el cual tan sólo está dañado el esmalte. En tales etapas tempranas, se puede restaurar el esmalte disuelto e incluso revertir el proceso de caries. Este tipo de tratamientos, a base de fluoruro, incluyen una cantidad de flúor muy superior a la que se encuentra en el agua del grifo, dentífricos, y enjuagues o colutorios bucales.
La elección entre un empaste o un tratamiento de conducto depende de la profundidad de la caries. Si esta es superficial, un empaste suele ser suficiente. Depende de la extensión del daño.
Remedios Caseros para Aliviar el Dolor de Muelas
Muchas veces la causa del dolor, al menos en la etapa inicial de la caries, es la concentración de bacterias en las muelas infectadas. Existen diversos remedios caseros:
- Hilo dental y colutorio o enjuague bucal.
- Enjuague de agua tibia y sal. Con unos 100 ml de agua templada y media cucharada de sal, enjuagando y haciendo gárgaras durante 1 o 2 minutos, y escupiendo a continuación.
- Perejil: el perejil es un gran antiséptico natural.
Sin embargo, estos remedios ayudan a aliviar el dolor de la muela picada, no a eliminar este mal.
Consecuencias de no Tratar una Muela Picada
Ignorar una muela picada puede tener consecuencias graves para tu salud bucal y general. A continuación, te detallamos algunas de las posibles complicaciones:
- Infección de la pulpa dental: Si la caries alcanza la pulpa, puede producirse una infección, causando dolor intenso y sensibilidad.
- Absceso dental: Una infección no tratada puede propagarse y formar un absceso dental, que es una bolsa de pus que se acumula en la raíz del diente. Los abscesos pueden causar dolor intenso, hinchazón en la cara, fiebre y mal aliento.
- Pérdida del diente: Si la infección no se trata, puede destruir el hueso que sostiene el diente, lo que finalmente puede llevar a la pérdida del diente.
- Enfermedad periodontal: Las bacterias de una caries no tratada pueden propagarse a las encías y al hueso que sostiene los dientes, causando enfermedad periodontal. Esta enfermedad puede provocar la pérdida de hueso y, en última instancia, la pérdida de dientes.
- Dificultad para masticar: Una muela picada puede dificultar las masticación de los alimentos, lo que puede afectar tu nutrición.
- Problemas en otros dientes: Las bacterias de una caries pueden propagarse a otros dientes, aumentando el riesgo de desarrollar más caries.
- Problemas de salud sistémicos: En algunos casos, las infecciones dentales pueden propagarse a otras partes del cuerpo, causando problemas de salud más graves, como endocarditis (infección del revestimiento interno del corazón) o abscesos en otros órganos.
Prevención de las Muelas Picadas
Una buena higiene bucal y hábitos saludables son fundamentales para prevenir la aparición de caries. Existen varias formas de prevenir el dolor de muelas:
- Usar cepillos de dientes de consistencia suave o media.
- Cepillado correcto después de cada comida. Se puede emplear hilo dental para limpiar los espacios entre dientes.
- Cambio del cepillo dental. Cada tres meses, es recomendable sustituirlo para evitar la acumulación de bacterias.
- Alimentación saludable. Limitando la ingesta de azúcares y almidones se puede contribuir a evitar el desarrollo de dientes picados.
- Revisiones periódicas en el dentista. Al menos una vez al año para evitar tratamientos mayores y lograr un diagnóstico precoz.
En la prevención de la caries dental, es fundamental que los padres comuniquen y enseñen a sus hijos la importancia de unos dientes limpios y una boca sana. Así, pueden guiarles en el cepillado y en el uso del hilo dental cuando estos tengan la edad suficiente para utilizarlo.
