Las caries interproximales son un problema dental común pero complicado, ubicadas en los espacios entre los dientes. A menudo pasan desapercibidas y pueden causar daños serios si no se tratan a tiempo. En este artículo, te proporcionaremos información clara y directa sobre qué son estas caries, cómo detectarlas, prevenirlas y tratarlas.

¿Qué son las Caries Interproximales?
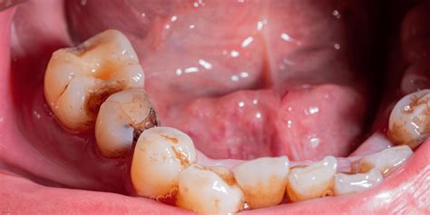
Las caries interproximales, también conocidas como caries interdentales, son lesiones que se forman en los espacios entre los dientes. Estas áreas son más propensas a acumular placa y bacterias debido a su difícil acceso durante el cepillado y el uso de hilo dental. A diferencia de las caries comunes, las interproximales pueden desarrollarse rápidamente y dañar el diente sin ser fácilmente visibles. Es crucial detectarlas temprano para evitar complicaciones mayores como la pérdida del diente o infecciones graves.
Las caries interdentales, también conocidas como caries interproximales, son aquellas que se desarrollan entre los dientes, en las áreas de contacto entre ellos.
Síntomas de las Caries Interproximales
Las caries interproximales pueden pasar desapercibidas en sus etapas iniciales, pero es importante estar atento a los posibles síntomas que podrían indicar su presencia:
- Sensibilidad Dental: La sensibilidad dental es un signo común de caries interproximales. Puedes experimentar un dolor agudo al consumir alimentos o bebidas frías, calientes o dulces.
- Dolor Punzante: Conforme la caries avanza y se acerca a la pulpa dental, el dolor puede volverse más intenso y punzante. Esto se debe a que las bacterias se acercan al nervio dental.
- Insensibilidad: En casos más avanzados, la caries interproximal puede llegar a necrosar el nervio del diente, lo que provoca insensibilidad.
- Enganche al Usar Hilo Dental: Durante tu rutina de higiene dental, podrías notar que el hilo dental se engancha o causa molestias al pasarlo entre dos dientes. Por último, durante la higiene dental podemos notar que al pasar el hilo dental se engancha, provocando dolor al pasarlo entre dos dientes.
- Halitosis:Mal aliento (halitosis), causada por la acumulación de bacterias y restos de alimentos en las cavidades.
- Pérdida del color del diente.
- Retención de comida entre los dientes.
- Aparición de cavidad entre los dientes.
En los casos menos avanzados, la superficie de la pieza dental puede llegar a tener una mancha blanca.
Es importante destacar que no siempre se presentan síntomas evidentes en las caries interproximales, especialmente en sus primeras etapas. Por esta razón, las visitas regulares al dentista son cruciales para detectar cualquier problema dental, incluso cuando no se manifiestan síntomas visibles.
La mejor técnica para cepillar los dientes y cómo usar el hilo/seda dental | ¿Cuál hilo es el mejor?
Muchos pacientes se dan cuenta de que tienen una caries interproximal cuando ya sienten síntomas de dolor y sensibilidad dental, momento en que la caries ya ha erosionado parte de la estructura dental.
Diagnóstico de las Caries Interproximales
Las caries interdentales pueden ser difíciles de detectar a simple vista. Uno de los primeros sintomas de caries es la sensibilidad al frío o al calor en las áreas afectadas. También puede haber dolor o molestias al masticar.
Entonces, ¿es posible detectarla antes de que aparezcan las molestias? La clave está en realizar revisiones periódicas con un especialista. Las pruebas más eficaces para diagnosticar la caries interproximal son la radiografía oral y una exploración dental. Ambas son completamente indoloras y permiten identificar caries y otros problemas bucodentales en fases iniciales, incluso antes de que aparezcan síntomas, minimizando el desgaste dental y protegiendo al máximo la salud del paciente.
Para poder asegurarnos de que el paciente sufre de caries interproximales, el odontólogo le realizará una radiografía oral y una exploración dental. De está manera, podrá detectar las caries interdentales a tiempo y tratarlas.
La prueba diagnóstica más adecuada para las caries interproximales será una radiografía oral y una exhaustiva exploración dental.

Prevención de las Caries Interproximales
La prevención de las caries interproximales es fundamental para una salud bucal óptima. Aquí te ofrecemos algunos consejos clave:
- Cepillado Efectivo y Técnica Adecuada: Cepillar los dientes al menos dos veces al día es crucial, pero la técnica es igualmente importante. Usa un cepillo de cerdas suaves y realiza movimientos suaves y circulares, asegurándote de limpiar todas las superficies de cada diente.
- Uso Diario de Hilo Dental: El hilo dental es tu mejor aliado para eliminar la placa y los restos de comida en los espacios entre los dientes. Utiliza el hilo dental o cepillo interproximal al menos una vez al día para limpiar las zonas situadas entre los dientes.
- Enjuagues Bucales con Flúor: Los enjuagues bucales no solo refrescan el aliento, sino que también pueden contener flúor, que ayuda a fortalecer el esmalte dental y combatir las bacterias.
- Dieta Equilibrada y Baja en Azúcares: Los alimentos y bebidas azucaradas son uno de los principales enemigos de tus dientes. Opta por una dieta rica en frutas, verduras, y alimentos integrales. Limita el consumo de alimentos y bebidas ricos en azúcares, especialmente los que se toman entre las comidas.
- Visitas Dentales Regulares: Acudir al dentista al menos dos veces al año para limpiezas y revisiones es esencial.
La mejor forma de evitarlas siempre será la prevención, mediante una correcta alimentación y sobre todo cuidando los hábitos de higiene dental: el cepillado dental tres veces al día y el uso de hilo dental o de cepillos interdentales una vez al día serán tus grandes aliados para prevenir las caries interproximales.
Además de acudir al dentista con regularidad, seguir las siguientes recomendaciones te ayudará a reducir el riesgo de contraer una caries interproximal:
- Llevar una higiene adecuada incluyendo el cepillado tres veces al día, sobre todo en la mañana y la noche, e incidiendo especialmente en las zonas de difícil acceso.
- Evitar fumar o abusar del alcohol son sustancias nocivas para la salud dental y general del ser humano.
Tratamientos para las Caries Interproximales
El tratamiento de una caries interproximal dependerá de la gravedad de la lesión y el estadio en el que se encuentre. Obviamente, cuanto antes se diagnostique, más sencillo será tratarla.
Para las caries interproximales existen dos tipos de tratamientos; sin intervención y con intervención.
Tratamiento sin Intervención
Si se detectan las caries interproximales a tiempo, el odontólogo recomendará al paciente mantener un mejor cuidado dental, así podrá controlar las caries y eliminarlas.
Para mantener un mejor cuidado dental, será necesario que el paciente se cepille los dientes adecuadamente, utilice el hilo dental y acuda cada seis meses a la clínica para realizarse una limpieza dental.
Remineralización dental: en las caries muy pequeñas o detectadas en etapas iniciales, se puede llevar a cabo un tratamiento de remineralización con flúor. Es muy importante que el paciente recuerde que las caries no remiten por sí solas y necesitamos tratarlas y controlarlas en manos de especialistas en restauración dental para evitar comprometer la vida de nuestras piezas dentales.
La opción de tratamiento sin intervención solamente puede considerarse en lesiones inactivas en pacientes que cumplen con las estrategias de higiene y control de placa.
Tratamiento con Intervención
Si las caries interproximales no se detectan a tiempo y se encuentran muy extendidas, se deberá realizar una endodoncia. En este tratamiento el odontólogo retirará la parte dañada de la/s pieza/s dental/es por las caries y procederá a realizar una reconstrucción para que el diente se vea lo más natural posible.
En el pasado, el tratamiento de caries interdentales implicaba a menudo la extracción de tejido dental, lo cual puede debilitar el diente. Un ejemplo es el tratamiento de infiltración proximal con el sistema Icon Proximal. Este método utiliza un infiltrante que penetra en el esmalte, previniendo la progresión de la caries sin necesidad de perforar el diente. El proceso de infiltración es sencillo y efectivo. Primero, el dentista coloca separadores elásticos para mejorar el acceso a las zonas afectadas. Después de una limpieza cuidadosa, se aplica ácido para abrir los poros del esmalte y permitir la penetración del infiltrante. Este tratamiento requiere de una profesionalización odontológica y no se recomienda intentar eliminar las caries en casa.
- Empastes dentales: Los empastes dentales se utilizan en casos leves para restaurar dientes con cavidades y prevenir la progresión de la caries. El procedimiento consiste en retirar el tejido dañado y rellenar la cavidad con un material de obturación, generalmente composite dental, que devuelve al diente su forma y función de manera natural.
- Endodoncia: Cuando la lesión es grave y no ha sido tratada en sus etapas iniciales, puede ser necesaria una endodoncia para salvar el diente. La endodoncia está indicada cuando la caries ha alcanzado la pulpa dental. Este tratamiento consiste en eliminar la pulpa dental enferma o lesionada para salvar el diente y aliviar el dolor del paciente. La intervención se realiza bajo anestesia local, garantizando la comodidad del paciente.
- Extracción del diente: La extracción del diente se recomienda cuando la pieza ya no es salvable o si la infección se ha extendido hasta la mandíbula.
En el caso de que tus caries interproximales se encuentren avanzadas, no tengas miedo, en Dental Corbella contamos con el servicio de sedación monitorizada, en el cual te anestesian para que no sientas absolutamente nada durante el tratamiento y puedas volver a disfrutar de una sonrisa perfecta sin sufrir.
Tabla Resumen de Prevención y Tratamiento
| Aspecto | Recomendaciones |
|---|---|
| Higiene Dental | Cepillado 3 veces al día, uso diario de hilo dental o cepillos interproximales |
| Dieta | Reducir el consumo de azúcares y alimentos procesados |
| Visitas al Dentista | Revisiones y limpiezas profesionales cada 6 meses |
| Tratamientos | Remineralización con flúor, empastes, endodoncia, extracción (en casos extremos) |
Mantener una buena higiene y realizar visitas regulares al dentista es clave para prevenirlas.
tags: #como #detectar #caries #interproximal