Habitualmente se asocia la ortodoncia con la idea de ponerse brackets, pero es mucho más que eso. Si lo que buscas es colocar tus dientes sin brackets, la solución perfecta para ti es un tratamiento con alineadores transparentes. Este artículo explorará diversas opciones para corregir problemas de posición dental, desde tratamientos con y sin brackets hasta cirugía ortognática.

Alineación Dental sin Brackets: Alineadores Transparentes
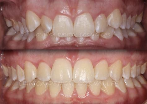
Muchas de las personas que nos visitan que ya han llevado brackets metálicos y estéticos, y que sus dientes se vuelven a montar por falta de uso de la retención, optan por volver a alinear y arreglarse los dientes sin brackets. Para nosotros se trata de un sistema ideal para tratar este tipo de casos. También es un tratamiento que se adecúa muy bien para cualquier otro paciente que quiera arreglarse los dientes sin brackets.
¿Cómo Funcionan los Alineadores Transparentes?
Son férulas con la forma de tus dientes, que se van cambiando cada 7 o 15 días, dependiendo de cada caso. El primer paso y el más importante es el diagnóstico y la planificación del caso. Se hace un estudio del paciente y se toma un escáner 3D intraoral para digitalizar la boca desde su situación de partida. Con la ayuda de una empresa externa y su software, como Invisalign, se planifican virtualmente los movimientos que queremos hacer con tus dientes.
Los alineadores vienen en paquetes numerados: el 1, el 2, el 3, etcétera. Te irás cambiando los alineadores progresivamente en tu casa, según las indicaciones que te va realizando el doctor. Lo recomendable es utilizarlos 22 horas diarias. Son de quita y pon, por lo que se deben quitar para comer, pudiendo beber solo agua con ellos colocados. Otra de las ventajas de este tratamiento de ortodoncia es que no necesitas cambiar tus hábitos de higiene bucal.
La experiencia también nos dice que con este tipo de tratamiento hay un menor número de urgencias provocadas por llagas en la boca. Estas suelen aparecer por el roce del alambre de los brackets. El éxito del tratamiento con alineadores va a depender de los conocimientos que tenga el profesional que lo realice y de la experiencia que tenga trabajando con ellos.
Las distintas marcas de alineadores generan certificados que entregan a los doctores, sin distinguir si son especialistas en ortodoncia o no. Piensa por un momento en un coche de Fórmula 1. No es lo mismo que se suba al coche un conductor normal que un piloto de Fórmula 1 profesional. ¿Quién crees que lo conducirá mejor? Los ortodoncistas que nos dedicamos en exclusiva a la ortodoncia, dedicamos muchas horas de formación y aprendizaje.
Corrección de Dientes Adelantados
Los pacientes con incisivos adelantados, y en especial los superiores, tienen una inclinación excesiva, los pacientes con esta maloclusión pueden sufrir traumatismos dentales, problemas al masticar, enfermedad periodontal o inflamación gingival, problemas respiratorios y alteración en la forma labial y facial. En Lorente Ortodoncia trataremos este problema desde diferentes abordajes, siendo siempre nuestra prioridad realizar tratamientos conservadores.
Microtornillos y Alineadores Transparentes
Por eso, una de nuestras opciones para corregir la biprotrusión dentaria es el uso de microtornillos, que son pequeños tornillos de titanio también denominados dispositivos de anclaje temporal o TADs (Temporary Anchorage Devices). Se posicionan de forma sencilla en el hueso durante el tratamiento de ortodoncia, y una vez finalizado, se retiran con facilidad. En este caso, el paciente fue tratado con microtornillos en los 4 cuadrantes y alineadores transparentes.
El diagnóstico para corregir los dientes adelantados puede implicar que por falta de espacio tengamos que realizar extracciones. En algunos casos, el paciente con dientes adelantados puede presentar una compresión del maxilar, por lo que colocaríamos un aparato palatino de expansión llamado quad-helix, acompañado de una ortodoncia multibracket.
Si te acompleja el aspecto de tus dientes adelantados, contacta con nosotros y evaluaremos tu caso para encontrar el tratamiento de ortodoncia más efectivo para ti.
¿Qué Hacer si los Dientes se Van Hacia Afuera Tras Usar Brackets?
Si los dientes se proyectan hacia afuera tras la ortodoncia, puede deberse a una falta de retención, crecimiento óseo o un mal ajuste inicial. La solución puede incluir nuevos alineadores, ortodoncia correctiva o tratamientos de estética dental como carillas.
Causas Comunes de la Malposición Dental Post-Ortodoncia
- Falta de retención adecuada: Al terminar tu tratamiento, el ortodoncista debió darte retenedores (removibles o fijos) para mantener los dientes en su nuevo lugar. Si no usas el retenedor disciplinadamente o lo dejas muy pronto, tus dientes intentarán moverse de nuevo a su posición original.
- Tratamiento sin extracciones (falta de espacio): Cada sonrisa es un mundo. En casos de apiñamiento severo, a veces para alinear los dientes sin extraer piezas se recurre a expandir el arco o inclinar los dientes hacia adelante para ganar espacio. El resultado puede ser unos incisivos más hacia afuera de lo ideal. Si tus dientes eran muy grandes o estaban muy montados antes del tratamiento y no te sacaron ninguna pieza, es posible que ahora estén demasiado proyectados hacia adelante.
- Crecimiento de la mandíbula o cambios esqueletales: Si terminaste tu ortodoncia en la adolescencia, debes saber que los huesos de la cara siguen cambiando. Un crecimiento mandibular tardío (la mandíbula inferior creciendo hacia adelante en la edad adulta joven) puede alterar la mordida y hacer que los dientes superiores parezcan más hacia afuera en relación con los inferiores.
- Muelas del juicio erupcionando: La aparición de los terceros molares (las muelas del juicio) entre los 17 y 25 años a veces coincide justo con el final de un tratamiento de brackets. Si no hay suficiente espacio para ellas, pueden ejercer presión en la dentadura y provocar apiñamiento o que los incisivos se vean hacia adelante.
- Hábitos y fuerza muscular: Acciones cotidianas pueden influir mínimamente en la posición dental. Por ejemplo, empujar los dientes con la lengua (un hábito conocido como tongue thrust) puede hacer que los dientes frontales se inclinen hacia afuera con el tiempo. De igual forma, morder objetos duros, masticar de un solo lado o incluso los movimientos de la musculatura al hablar o toser generan micro-presiones continuas.
- Problemas periodontales: Una enfermedad de las encías (gingivitis, periodontitis) debilita el soporte de los dientes. Si el hueso y las encías están dañados, los dientes pueden aflojarse levemente y moverse. Unos dientes anteriormente rectos podrían torcerse o inclinarse hacia afuera si las encías no están saludables.
La recidiva ortodóntica (es decir, la tendencia de los dientes a volver a su posición previa) puede deberse a falta de uso del retenedor, cambios naturales en tu boca o incluso detalles del plan de tratamiento original.
Soluciones para Dientes Proyectados Hacia Afuera
- Consulta con tu ortodoncista (seguimiento): Lo primero es no quedarte con la duda. Agenda una cita de revisión con el ortodoncista que llevó tu caso (o con otro especialista de confianza si prefieres una segunda opinión). Cuéntale claramente qué te incomoda de tu sonrisa actual. El especialista evaluará si hay algún desajuste real en la posición de tus dientes y cuál podría ser la causa.
- Uso disciplinado del retenedor: Si dejaste de usar tu retenedor o lo estuviste usando menos de lo indicado, ¡aún estás a tiempo de retomarlo! Muchas veces, volver a usar el retenedor constantemente (de día y noche al inicio) puede recolocar pequeños desplazamientos recientes.
- Ortodoncia de «retoque»: Cuando la desalineación posterior al tratamiento es más pronunciada, es posible que se requiera algún tipo de tratamiento ortodóncico adicional. No necesariamente implica ponerte brackets completos de nuevo durante dos años (así que calma).
- Alineadores transparentes: Tratamientos con aligners (como Invisalign u otras marcas) pueden corregir movimientos menores o moderados de los dientes. Son casi invisibles, removibles para comer y suelen ser rápidos en casos focalizados.
- Brackets segmentarios: Si prefieres la vía tradicional o el caso lo amerita, se pueden colocar brackets solo en algunos dientes o segmentos durante un período corto.
- Extracciones tardías: En casos donde claramente faltó espacio (como mencionamos antes), quizá deban considerarse extracciones de premolares ahora para lograr acomodar bien los dientes sin que queden hacia afuera.
- Otros aparatos auxiliares: Dependiendo de la situación, podrían usarse dispositivos adicionales como mini-tornillos (micro-implantes) para anclar y mover dientes hacia atrás, resortes especiales o barras de avance mandibular si el problema es de posición ósea.
- Seguir las indicaciones al pie de la letra: Una vez iniciado el plan de corrección, la clave del éxito está en tu constancia. Si te indican usar un alineador, ponte cada juego el tiempo requerido; si te instalan algún aparato, acude a todos tus ajustes puntualmente.
- Mantén una buena higiene y salud bucal: Mientras estás corrigiendo el problema (y de aquí en adelante), cuida tus dientes y encías como tesoro. Unos hábitos de higiene excelentes ayudarán a que nada más se interponga en tu camino hacia la sonrisa perfecta.
- Usa tus retenedores el tiempo que sea necesario… ¡y más!: Tu ortodoncista te dará un plazo estimado, pero la realidad es que los retenedores son de por vida. No hace falta usarlos 24/7 para siempre, pero sí ponértelos para dormir muchos años (idealmente, indefinidamente). Así tus dientes no tendrán oportunidad de moverse.
- Acude a tus revisiones dentales periódicas: Tras la ortodoncia, programa visitas de control: primero más seguidas (al mes, a los tres meses) y luego al menos cada 6-12 meses. El especialista puede detectar a tiempo si algún diente está queriendo moverse y corregirlo con un ajuste leve.
- Cuida tus encías y tu salud general: Ya lo mencionamos, pero lo repito porque es vital: unas encías sanas mantienen a los dientes firmes y estables. Sigue buenos hábitos de higiene, alimentación equilibrada y trata a tiempo cualquier problema de encías o caries.
- Evita los malos hábitos orales: Si tienes tendencia a empujar con la lengua, intenta ser consciente y corregir ese hábito (a veces ayuda la terapia miofuncional con un especialista). No uses tus dientes para abrir objetos, morder bolígrafos u otros usos indebidos.
- Consulta por las muelas del juicio: Si aún no te han salido las muelas del juicio, pregunta a tu dentista si deberías sacarlas preventivamente. Una radiografía panorámica revelará si están en mala posición. Muelas del juicio retenidas o en mala posición pueden, con el tiempo, empujar a sus vecinos y generar apiñamiento.
Tener los dientes hacia afuera después de brackets puede ser un contratiempo, pero no es el fin del mundo. Con información, constancia y la ayuda de tu ortodoncista, podrás lograr que tu sonrisa luzca exactamente como deseas.
Prognatismo Mandibular: Causas y Soluciones
La mandíbula dentada, médicamente llamado prognatismo mandibular, es una alteración más común de lo que nos podemos imaginar. El prognatismo mandibular es una condición en la cual la mandíbula inferior (mandíbula) sobresale más allá de la posición normal en relación con la mandíbula superior (maxilar). Esto genera una desalineación en la mordida que puede afectar tanto la función oral como la apariencia facial.

Es muy importante tratar el prognatismo mandibular porque el hecho de tener la mandíbula adelantada no solo puede afectar la estética facial, sino que también puede originar una serie de problemas de salud dental y bienestar general significativos.
Problemas Asociados al Prognatismo Mandibular
- Dificultad para masticar, hablar y respirar: La desalineación de la mandíbula provoca que los dientes no encajen adecuadamente, cosa que acaba complicando la masticación de los alimentos.
- Desgaste dental prematuro: Al no estar alineados los dientes de manera correcta, la presión de la mordida se distribuye de manera desigual, causando que ciertos dientes soportan más presión que otros.
- Impacto en la estética facial: Las personas con esta condición suelen tener un perfil facial más prominente y asimétrico debido a la proyección de la mandíbula inferior.
- Problemas en la articulación temporomandibular (ATM): Los síntomas más comunes de los problemas en la ATM incluyen dolor en la mandíbula, ruidos o chasquidos al abrir y cerrar la boca, dolores de cabeza crónicos, e incluso dificultades para mover la mandíbula.
Causas, síntomas y tratamientos del Bruxismo
Opciones de Tratamiento para el Prognatismo Mandibular
El tratamiento del prognatismo mandibular depende de la gravedad de cada caso, de la edad del paciente y de las necesidades del paciente. Las soluciones pueden variar desde tratamientos ortodóncicos hasta procedimientos quirúrgicos, o incluso una combinación de ambos.
Tratamientos Ortodóncicos
Los tratamientos de ortodoncia o ortodóncicos son la opción más común y menos invasiva para corregir el prognatismo mandibular, especialmente en pacientes jóvenes cuyo desarrollo óseo aún está en curso. Estos tratamientos ayudan a alinear los dientes y corregir la posición de la mandíbula.
- Brackets tradicionales o alineadores invisibles (Invisalign): Los brackets tradicionales, hechos de metal o cerámica, son “aparatos” fijos que aplican presión constante sobre los dientes para moverlos gradualmente a su posición correcta. Por otro lado, los alineadores invisibles como Invisalign son una alternativa estética y cómoda para corregir la alineación de los dientes.
- Expansión maxilar: En algunos casos, el prognatismo mandibular se debe a una discrepancia entre el tamaño de la mandíbula superior y la inferior. La expansión maxilar es un tratamiento ortodóncico que utiliza un dispositivo para ensanchar el maxilar superior, mejorando la alineación de ambas mandíbulas.
Cirugía Ortognática
En casos de prognatismo mandibular más grave o en aquellos casos donde los tratamientos ortodóncicos no son suficientes para corregir el caso, la cirugía ortognática puede ser necesaria. La cirugía ortognática es un procedimiento que implica la corrección quirúrgica de los huesos de la mandíbula. Durante la cirugía, el cirujano realiza cortes en la mandíbula para moverla hacia adelante o hacia atrás, dependiendo del caso.
Tras una cirugía ortognática, la recuperación es un proceso gradual. Los primeros días, el paciente experimentará hinchazón y molestias, que pueden ser manejadas con medicamentos prescritos por el cirujano. La dieta suele ser líquida o blanda durante las primeras semanas, mientras la mandíbula sana.
En muchos casos, la solución más efectiva para corregir el prognatismo mandibular implica una combinación de tratamientos ortodóncicos y quirúrgicos. Antes de la cirugía, el paciente suele necesitar un tratamiento ortodóncico para alinear los dientes y asegurarse de que encajen adecuadamente después de la cirugía. Este enfoque integral asegura los mejores resultados posibles, tanto en términos de funcionalidad como de estética facial.
Duración y Molestias de los Tratamientos
La duración y el nivel de molestias varían según el tipo de tratamiento:
| Tratamiento | Duración | Molestias |
|---|---|---|
| Tratamientos ortodóncicos (brackets o Invisalign) | 12-24 meses | Cierta incomodidad o presión en los dientes |
| Expansión maxilar | 6-12 meses | Presión y malestar en la zona de los dientes y el paladar |
| Cirugía ortognática | Planificación ortodóntica (12-18 meses) + Cirugía | Dolor e hinchazón postoperatorios |
Consideraciones Adicionales
- En niños y adolescentes: Es ideal tratar el prognatismo mandibular durante el crecimiento, ya que los huesos aún están en desarrollo.
- En adultos: Los tratamientos también son efectivos en adultos, aunque la corrección completa puede requerir cirugía ortognática en casos severos.
- Opciones no quirúrgicas para adultos: En algunos casos, el uso de dispositivos ortopédicos combinados con tratamientos ortodóncicos puede mejorar la función y la estética sin necesidad de cirugía.
Corrección de un Solo Diente Descolocado
El diente que tú observas descolocado puede estar separado del resto, torcido o superpuesto sobre otra pieza. Si te hablamos de colocar ortodoncia en toda la arcada, te puede parecer una solución muy extrema.
¿Por Qué se Recomienda Ortodoncia para un Solo Diente?
Lo primero que debes tener en cuenta es que ese diente que afea tu sonrisa es posible que genere otros problemas bucodentales más severos, como la maloclusión dental. Es por eso que casi siempre solemos recomendar ortodoncia para corregir un solo diente. Con la ortodoncia se corrige el tamaño del paladar, se mejora la mordida y se alinean todas las piezas dentales.
La genética es determinante en la configuración de tu dentadura, y esto afecta especialmente al crecimiento de los maxilares, que no deja hueco para algún diente. Un paladar estrecho no deja espacio para el nacimiento o colocación correcta de todos los dientes.
Alternativas a la Ortodoncia Completa
Si cumples todos esos requisitos la opción alternativa es la colocación de carillas dentales. Sea cual sea la opción escogida, apuesta por corregir ese diente que está separado o apiñado. Piensa que puede generarte alteraciones mandibulares y acumula más placa bacteriana, lo que favorece la aparición de caries y mal aliento.
Opciones de Tratamiento
- Apiñamiento leve: Si tiene los dientes tan solo ligeramente desviados debido a un apiñamiento menor, es posible que pueda solucionarlo con retenedores dentales.
- Maloclusión: Corregir una mordida desalineada suele requerir aparatos para ajustar la posición de los maxilares.
- Paladar subdesarrollado o estrechamiento del maxilar superior: Su ortodoncista puede determinar cómo enderezar la dentadura sin brackets, en función del problema ortodóntico de que se trate.
Tipos de Retenedores
- Retenedores fijos: como los linguales adheridos, se sujetan con cemento dental a la cara interna de los dientes para evitar que se desplacen, lo cual ayuda a corregir la mordida del paciente y a enderezar los dientes.
- Retenedores extraíbles: son ideales para tratar de corregir la sonrisa, ya que es posible retirarlos en ocasiones especiales o para descansar de ellos de forma puntual.
Aparatos para Corregir la Mordida
- Aparato de Herbst: posibilita que la mandíbula se desarrolle hacia adelante para corregir la mordida. De este modo, coinciden los maxilares superior e inferior, lo cual es a menudo suficiente para obtener unos dientes rectos perfectos.
- Arco facial: ejerce presión sobre los dientes y el maxilar superiores, de forma que va desplazando todo el conjunto simultáneamente hacia la posición correcta.
- Disyuntor de paladar: para ensanchar el arco dental superior.
Sobremordida: Causas, Consecuencias y Tratamientos
Siempre has notado que tenías un problema en tu boca porque tus dientes superiores están adelantados. Por fin te has decidido ir al dentista y te han comentado que lo que te sucede se llama sobremordida, pero no sabes qué es ni qué te van a hacer.
¿Qué es la Sobremordida?
La sobremordida es un problema de maloclusión que se da cuando el maxilar superior sobresale más que el inferior. Se considera que un paciente tiene esta mordida cuando la mandíbula inferior está cubierta en un tercio por los dientes superiores. Por lo general esta clase de mordida suele ser a causa de una maloclusión de clase 2.
Tipos de Sobremordida
- Sobremordida profunda o sobremordida vertical: Cuando se da este tipo de maloclusión es que los dientes de arriba cubren por completo a los de abajo.
- Sobremordida horizontal: Se considera que es un problema cuando la distancia en línea recta entre un diente de arriba y abajo en línea recta es mayor a 2mm. También se conoce como resalte u overjet.
Causas de la Sobremordida
- Tener la costumbre de succionar el dedo
- Malos hábitos durante la infancia

Consecuencias de la Sobremordida
- Muchas caries y las encías inflamadas
- Apiñamiento
- Dientes desgastados
- Aspecto poco estético
- Dificultades para pronunciar ciertas palabras
Tratamientos para la Sobremordida
Para solucionar este problema sin necesidad de cirugía es necesario llevar a los niños a su primera revisión cuando se les mueven los primeros diente, alrededor de los 6 años. Esto permitirá detectar problemas de maloclusión y tratarlos con ortodoncia interceptiva.
Esta ortodoncia es un aparato removible que no sirven para colocar el diente, pero sí para cambiar la forma de los huesos maxilares. El ortodoncista determinará cuántas horas se debe llevar al día, dependerá de la gravedad de cada caso.
Una vez se pasa la etapa de crecimiento los huesos maxilares son inamovibles, la forma que tienen no se puede modificar a no ser que el paciente se someta a un tratamiento de cirugía ortognática para corregirlo. Los que solo se someten a un tratamiento de ortodoncia y no modifican su hueso, tendrán los dientes colocados pero su problema de mordida proseguirá.
Los adultos suelen decantarse por tratamientos más estéticos como la ortodoncia invisible, una serie de alineadores transparentes que se cambian cada 15 días. Su gran ventaja es que nadie nota que se llevan puestos y puedes seguir el tratamiento cómodamente desde casa.
Hay adultos que prefieren llevar brackets, pero no suelen elegirlos metálicos, si no de cerámica o zafiro. Otros se decantan por los brackets linguales, que se colocan en la cara interna del diente y tampoco se ven, pero es uno de los tratamientos de ortodoncia más caros.
Invisalign para Dientes Inclinados
La técnica de odontología mas conservadora para arreglar los dientes inclinados hacia dentro o hacia fuera es la ortodoncia. La ortodoncia permite tratar todo tipo de maloclusiones y malposiciones dentales, como son los dientes montados, rotados o inclinados. Cualquier otro tipo de maloclusión se puede tratar con ortodoncia invisalign en Clínicas Propdental.
Tener los dientes montados, aparte de dificultar la higiene de los mismos, lo que se traduce en un mayor riesgo de caries y problemas de gingivitis-periodontitis. Afecta a la estética de tu sonrisa y no permite que tu boca encaje bien, lo que puede provocar problemas de mordida y que mastiques correctamente.
Como conclusión cabe destacar que las maloclusiones u problemas de mordida o estética dental como son los dientes inclinados hacia afuera o hacia dentro se puede tratar con Invisalign en las Clínicas Propdental.