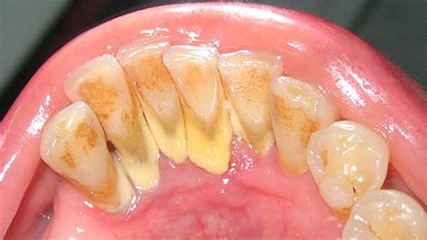
El sarro dental, también conocido como cálculo, es un problema común que afecta a muchas personas. Se trata de un depósito duro de color amarillento o marrón que se forma en los dientes debido a la mineralización de la placa bacteriana. Aunque el sarro en sí mismo no es peligroso, puede provocar la acumulación de placa y la enfermedad de las encías si no se trata adecuadamente.

Si te preguntas cómo quitar el sarro de los dientes con remedios caseros, es importante ser muy directos: no existen trucos ni productos “milagro” antisarro. A poco que busques en Internet, encontrarás cientos de remedios caseros para eliminar el sarro de los dientes, la mayoría con bicarbonato, limón o agua oxigenada entre sus componentes. Sin embargo, ninguno de estos remedios va a hacerle ningún favor a tu boca, sino todo lo contrario, sobre todo si recurres a ellos con frecuencia.
Por suerte, evitar la formación de sarro es muy fácil y está al alcance de todos. ¡Te contamos cómo hacerlo! En el caso del sarro, el mejor ataque es una buena defensa. El único remedio casero contra el sarro es la prevención, es decir, cumplir con una buena higiene oral en casa para evitar que aparezca. Es especialmente importante no olvidarnos de los espacios interproximales, entre diente y diente, para lo que podemos utilizar el hilo dental o los cepillos interproximales, al menos una vez al día.
¿Qué Causa el Sarro en los Dientes?
La razón principal de la acumulación de sarro dental es una mala higiene bucal. Cuando las partículas de comida se quedan en los dientes después de comer, pueden quedar atrapadas entre ellos y, segundos después, se convierten en un material endurecido y calcificado. El sarro dental está formado por minerales como el fósforo, el calcio y el magnesio que provienen de tu saliva y de otras fuentes. Cuando la saliva entra en contacto con las partículas de comida de los dientes, ayuda a convertirlas en sarro.
La genética también puede desempeñar un papel en la formación del sarro dental. Si tienes antecedentes familiares de acumulación de sarro, puedes ser más propenso a contraerlo tú mismo. Además, algunos medicamentos pueden provocar sequedad en la boca, lo que puede conducir a una mayor acumulación de sarro.
Algunas personas tambien tienen tendencia a generar sarro dental más fácilmente que otras. Además de la higiene, tiene que ver con el pH de la saliva. Cuando las personas tienen altos niveles de acidez, son propensas a las caries. Y si la saliva tiene un pH más bajo, es más probable que desarrolle sarro. Otros alimentos que hacen que se forme más placa y se oscurezcan son el vino, el café y el té negro.

¿Cómo Saber si Uno Tiene Sarro Dental?
Lo primero es lo primero: mírate en el espejo. Si ves manchas descoloridas en tus dientes delanteros que no parecen desaparecer con el cepillado, puede ser un signo de sarro dental. El sarro dental tiene el aspecto de manchas amarillentas o vetas de color marrón oscuro a lo largo de la línea de las encías o en cualquier zona donde se acumulen partículas de comida.
Otra forma de saber si tienes sarro dental es palpar alrededor de los dientes con la lengua. El sarro dental se sentirá áspero y abrasivo, a diferencia de una superficie lisa cuando no tienes sarro.
La tercera forma de detectar el sarro dental es acudir a tu dentista para que te haga un examen profesional. El sarro dental puede ser difícil de ver, pero los dentistas tienen herramientas especiales que les permiten detectarlo fácilmente.
El sarro dental nunca debe ignorarse, así que si crees que puedes tenerlo, no dudes en visitar a tu dentista.
¿Qué Hago si Ya Se Me Ha Formado Sarro?
La placa bacteriana, una vez que se endurece y transforma en sarro, sólo puede eliminarse en el dentista, mediante una profilaxis o limpieza dental. Los aparatos sónicos y ultrasónicos que utilizamos los dentistas producen ondas vibratorias que rompen el sarro de la superficie del diente sin afectar en absoluto al esmalte.
Para eliminar el sarro que ha crecido más profundamente debajo de los tejidos blandos que sostienen los dientes, es necesario un tratamiento distinto, que recibe el nombre de raspado y alisado radicular, o curetaje, que sí necesita anestesia local.
Tratamientos Profesionales para Eliminar el Sarro
Si el cepillado regular y el uso del hilo dental no parecen funcionar, hay otras formas de eliminar el sarro dental. Las limpiezas profesionales dos veces al año con tu dentista o higienista pueden reducir significativamente la acumulación de sarro. Durante estas visitas, tu profesional dental utilizará instrumentos especiales para eliminar el sarro que haya por encima y por debajo de la línea de las encías y que puedas haber pasado por alto durante el cuidado en casa.
Raspado y Alisado Radicular
En algunos casos, tu dentista puede recomendar también un procedimiento llamado raspado y alisado radicular. Durante este proceso, se elimina el sarro de la superficie de los dientes y de debajo de la línea de las encías. Este tratamiento ayuda a reducir la inflamación y puede contribuir a mejorar la salud de las encías en las personas con una grave acumulación de placa o sarro.
Tecnología Láser
En el caso de depósitos de sarro persistentes que no desaparecen con la limpieza habitual, tu dentista puede utilizar la tecnología láser para eliminarlos. Los láseres son muy precisos, por lo que pueden dirigirse sólo a la zona afectada sin dañar ninguna de las estructuras dentales sanas.
Independientemente del tipo de eliminación de sarro que elijas, es importante mantener unos buenos hábitos de higiene bucal para evitar que se formen nuevos depósitos en los dientes.
Rutina Anti Caries ¿Cómo se lava los dientes un dentista en casa?
Remedios Caseros para Tratar el Sarro Dental
Hay algunos remedios caseros de eficacia probada que seguramente te ayudarán a eliminar el molesto sarro dental en poco tiempo.
Pasta de Bicarbonato de Sodio
Uno de los tratamientos más comunes para el sarro dental es la pasta de bicarbonato de sodio, que disuelve los depósitos en los dientes y ayuda a eliminarlos sin tener que utilizar ningún producto químico fuerte. Para hacer esta pasta, sólo tienes que mezclar una cucharadita de bicarbonato de sodio con agua caliente hasta formar una pasta espesa. A continuación, cepíllate los dientes con la mezcla durante dos minutos antes de enjuagarte bien la boca con la mezcla.
Vinagre de Sidra de Manzana
Si la pasta de bicarbonato de sodio no es suficiente, entonces puedes probar a utilizar vinagre de sidra de manzana. Este remedio natural es ácido y puede ayudar a romper los depósitos de los dientes, ayudando a eliminarlos fácilmente. Sólo tienes que mezclar partes iguales de vinagre de sidra de manzana y agua en una taza, y luego utilizarlo como enjuague bucal durante dos minutos cada día, más o menos. Recuerda que no debes tragar esta mezcla.
Oil Pulling con Aceite de Coco
Por último, si todo lo demás falla, siempre puedes probar el oil pulling con aceite de coco. Para este remedio casero, basta con hacer buches con aceite de coco en la boca durante unos 15-20 minutos por sesión. El aceite ayuda a eliminar las bacterias y la placa que quedan en los dientes y las encías, a la vez que los fortalece en el.

Sea cual sea el remedio que decidas probar, es importante recordar que ninguno sustituye a una higiene dental adecuada y a las revisiones periódicas con tu dentista. Así que asegúrate de cepillarte los dientes dos veces al día y de usar el hilo dental a diario, además de utilizar cualquiera de estos remedios caseros para el sarro dental.
Precaución: La mayoría de estos remedios caseros tienen en común una cosa: aplicarlos puede implicar un severo daño en el esmalte dental. Además, ninguna de estas recomendaciones para eliminar el sarro será efectiva sin una higiene dental completa de forma regular.
Consecuencias de No Tratar el Sarro Dental
Si eres una de las muchas personas que piensan que el sarro dental no es más que una molestia, piénsalo bien. El sarro dental puede causar multitud de problemas si no se trata, y es importante saber cómo puede afectar a tu salud bucal el hecho de ignorarlo.
En primer lugar, cuanto más tiempo dejes que el sarro dental permanezca en tu boca, más bacterias se acumularán a su alrededor. Estas bacterias pueden causar diversas enfermedades de las encías, como la gingivitis y la periodontitis, que son afecciones graves que pueden provocar dolor o incluso la pérdida de los dientes. No sólo eso, sino que los estudios también han relacionado el sarro dental no tratado con otros problemas sistémicos, como las enfermedades cardíacas y la diabetes.
Además, cuando la placa (la sustancia que acaba por endurecerse y convertirse en sarro) se deja en los dientes, puede empezar a corroer el esmalte. Esto provoca la decoloración de los dientes e incluso caries. El sarro dental también atrapa partículas de comida entre los dientes, lo que provoca mal aliento y un sabor desagradable en la boca.
¿Qué es el Sarro Dental Negro?
Puede que hayas oído hablar de la frase "diente de negro", pero ¿sabías que en realidad puede estar causada por el sarro dental negro? El sarro dental es una forma de placa endurecida que se acumula en los dientes y puede causar decoloración.
Suele ser de color marrón o amarillo, pero en algunos casos puede volverse negro debido a ciertos factores, como tener una alta concentración de hierro en la saliva.
El hierro presente en la saliva se une a ciertas bacterias que producen la pigmentación oscura. Este tipo de acumulación de placa puede aparecer en otras partes de los dientes, pero suele afectar a las muelas.
Afortunadamente, el sarro dental negro puede tratarse con una higiene bucal adecuada y una limpieza profesional por parte de un dentista. El cepillado regular y el uso del hilo dental son esenciales para eliminar la acumulación de placa en los dientes. Además, utilizar un enjuague bucal antiséptico o una pasta de dientes como parte de tu rutina diaria puede ayudar a prevenir la aparición de este problema.
Tu dentista también puede recomendar el raspado y el alisado radicular, que es un procedimiento utilizado para eliminar los depósitos endurecidos de la superficie de los dientes. El raspado consiste en eliminar la placa con instrumentos especiales, mientras que el alisado radicular alisa las zonas ásperas de la superficie de la raíz que son propensas a acumular bacterias. Esto ayuda a detener la propagación de las bacterias y previene una mayor decoloración.
Cómo Evitar el Sarro en los Dientes de Forma Natural
Si te preguntas como evitar el sarro en los dientes de forma natural, ten en cuenta los siguientes puntos:
- Cepilla tres veces al día: Es importante cepillarse los dientes después de cada comida para prevenir la acumulación de placa y la formación de sarro. Cepillarse los dientes con una pasta de dientes con flúor durante dos minutos ayuda a eliminar la placa y las bacterias.
- Utiliza una pasta con flúor: El flúor ayuda a fortalecer el esmalte dental y prevenir la formación de caries. Las pastas de dientes con flúor también pueden ayudar a prevenir la acumulación de sarro en los dientes.
- Usa hilo dental: El hilo dental ayuda a eliminar la placa y los restos de comida que se acumulan entre los dientes, lo que ayuda a prevenir la acumulación de sarro.
- Emplea enjuague bucal: Los enjuagues bucales con agentes antibacterianos pueden ayudar a reducir la cantidad de bacterias en la boca, lo que puede prevenir la formación de sarro.
- Lleva una dieta equilibrada: Una dieta equilibrada, baja en azúcares y rica en frutas y verduras, puede ayudar a prevenir la formación de sarro. Además, es importante evitar el consumo excesivo de alimentos y bebidas ácidas, ya que pueden debilitar el esmalte dental.
- Evita el tabaco y el alcohol: Fumar y consumir alcohol en exceso pueden debilitar el esmalte dental y favorecer la acumulación de sarro. Es importante evitar estos hábitos para mantener una buena salud bucal y prevenir problemas como la caries y la enfermedad periodontal.
Por Qué Es Importante Eliminar el Sarro de los Dientes
Es fundamental eliminar sarro de los dientes para evitar:
- Halitosis: El sarro acumulado en los dientes puede provocar mal aliento. Esto se debe a que el sarro alberga bacterias que producen compuestos sulfurados volátiles, responsables del mal olor.
- Pigmentación de los dientes: El sarro, al acumularse en los dientes, puede provocar manchas y decoloración, lo que afecta negativamente la apariencia estética de la sonrisa.
- Inflamación de encías: El sarro puede acumularse debajo de las encías, lo que puede provocar inflamación y enrojecimiento de las mismas. A medida que el sarro se acumula, la inflamación puede agravarse y provocar gingivitis.
- Enfermedades periodontales: Si el sarro no se elimina a tiempo, puede producir enfermedades periodontales como la periodontitis, que puede llevar a la pérdida de los dientes. Esto se debe a que el sarro acumulado debajo de las encías puede destruir el hueso y el tejido conectivo que sostienen los dientes.
Tabla Resumen: Remedios y Tratamientos para el Sarro Dental
| Remedio/Tratamiento | Descripción | Precauciones |
|---|---|---|
| Cepillado con pasta de flúor | Elimina la placa y fortalece el esmalte. | Cepillar al menos dos veces al día. |
| Hilo dental | Limpia entre los dientes donde el cepillo no llega. | Usar al menos una vez al día. |
| Enjuague bucal antibacteriano | Reduce las bacterias en la boca. | Usar según las indicaciones del fabricante. |
| Limpieza dental profesional | Elimina el sarro acumulado por encima y debajo de las encías. | Acudir al dentista cada 6 meses. |
| Raspado y alisado radicular | Elimina el sarro en zonas profundas de las encías. | Requiere anestesia local. |
| Bicarbonato de sodio | Ayuda a disolver los depósitos en los dientes. | Puede dañar el esmalte si se usa en exceso. |
| Vinagre de sidra de manzana | Puede romper los depósitos de los dientes. | Puede dañar el esmalte si se usa con demasiada frecuencia. |
| Oil pulling con aceite de coco | Ayuda a eliminar bacterias y placa. | Realizar buches durante 15-20 minutos. |
Recuerda que el sarro dental es un problema común que se puede prevenir manteniendo una buena higiene bucodental y realizando visitas regulares al dentista. El sarro sólo se puede eliminar con una limpieza profesional realizada en una clínica dental.