El bruxismo es una condición caracterizada por el apretamiento involuntario de los dientes, principalmente durante la noche mientras dormimos, aunque también puede ocurrir durante el día. El bruxismo es el apretamiento involuntario de los dientes que puede causar síntomas como dolor facial, de cabeza, cuello y hombros, en los dientes y ruidos en la mandíbula. Cuando se produce de forma persistente, puede tener consecuencias negativas para la salud bucal y general. El bruxismo puede presentarse de manera ocasional o convertirse en un hábito crónico. Es importante de abordar y tratar para prevenir daños mayores en la boca y mejorar la calidad de vida de las personas afectadas.

Síntomas del Bruxismo
El bruxismo puede manifestarse a través de diversos síntomas que afectan diferentes áreas del cuerpo:
- Molestias y dolor en la zona del rostro y la mandíbula.
- Dolores de cabeza frecuentes, especialmente en la zona de las sienes o la parte posterior de la cabeza.
- Sensibilidad y dolor en los dientes.
- Muchas personas que sufren bruxismo experimentan ruidos audibles, como chasquidos o crujidos, al abrir y cerrar la mandíbula.
- Los músculos de la mandíbula están estrechamente conectados con los músculos del cuello y los hombros.
Diagnóstico del Bruxismo
El diagnóstico del bruxismo es fundamental para poder determinar el mejor enfoque de tratamiento. Para obtener un diagnóstico preciso, es importante acudir a profesionales especializados en bruxismo y alteraciones de la articulación temporomandibular (ATM). El especialista realizará un examen físico detallado, prestando atención a la mandíbula, los músculos de la masticación y la articulación temporomandibular. Además, recopilará información sobre los síntomas que experimenta el paciente, como dolor facial y mandibular, dolor de cabeza, dolor de cuello y hombros, dolor en los dientes y ruidos en la mandíbula. En algunos casos, se pueden requerir pruebas adicionales para confirmar el diagnóstico de bruxismo. Estas pruebas pueden incluir estudios radiográficos y la realización de una resonancia magnética (RM) de la articulación temporomandibular.

Tratamiento del Bruxismo
El tratamiento del bruxismo y los trastornos de la ATM se enfoca en aliviar los síntomas y prevenir el daño adicional. El tratamiento del bruxismo y los trastornos de la ATM se basa en un enfoque integral que aborda tanto los síntomas como las causas subyacentes. Se utilizan diversas técnicas y terapias para aliviar el apretamiento involuntario de los dientes y los problemas asociados.
Técnicas de Relajación
Las técnicas de relajación pueden ser de gran ayuda para reducir tanto la frecuencia como la intensidad del bruxismo. Practicar actividades como la meditación, la respiración profunda y el yoga pueden ayudar a disminuir la tensión muscular y promover la relajación general del cuerpo. El bruxismo a menudo está relacionado con el estrés y la ansiedad. Por lo tanto, reducir el estrés de tu día a día es fundamental.
Fisioterapia
La terapia manual y la fisioterapia invasiva pueden ser utilizadas para liberar la tensión muscular y mejorar la movilidad de la articulación temporomandibular (ATM). Estas técnicas incluyen el masaje de la musculatura implicada, el auto-masaje de la mandíbula y musculatura de la masticación, ejercicios de movilización y relajación de la ATM, terapia manual osteopática, termoterapia, diatermia, ecografía y neurodinamia. Una musculatura contracturada en cuello, hombros o mandíbula puede agravar el problema.
Férulas Oclusales
El uso de férulas oclusales es uno de los tratamientos más comunes para el bruxismo. Estas son dispositivos personalizados que se colocan sobre los dientes durante la noche para evitar el contacto entre ellos y así reducir la presión y el desgaste. Además, las férulas oclusales ayudan a relajar la musculatura de la mandíbula y a aliviar la tensión generada durante el apretamiento involuntario de los dientes. Muchos pacientes con bruxismo ya utilizan férulas de descarga nocturnas.

Tratamientos Complementarios
Además de las técnicas mencionadas, existen otros tratamientos complementarios que pueden ser beneficiosarios en el manejo del bruxismo y los trastornos de la ATM. La fisioterapia, la acupuntura y las técnicas de relajación, como la biofeedback o la hipnosis, pueden ayudar a reducir la tensión muscular y aliviar los síntomas asociados.
Ortodoncia
La ortodoncia desempeña un papel fundamental en la prevención y tratamiento del desgaste dental. Al corregir la posición de los dientes, evita el rozamiento y adelgazamiento del esmalte dental, deteniendo así la erosión de las piezas dentales. Cuando el bruxismo tiene un componente mecánico importante -es decir, cuando deriva de una mordida desajustada-, el tratamiento ortodóntico puede ser la solución definitiva. Los alineadores transparentes tipo Invisalign® no solo son cómodos y estéticos, sino que actúan como férula nocturna mientras corrigen la maloclusión.
La ortodoncia, al corregir la posición de los dientes y alinear la mordida, reduce la presión ejercida sobre los músculos, aliviando así el dolor en la mandíbula. Asimismo, el bruxismo puede afectar los oídos, causando sensaciones de presión, dolor e incluso problemas de audición. La ortodoncia, al corregir la posición de los dientes y la mordida, ayuda a aliviar las contracturas musculares en el cuello. En nuestra clínica experta en ortodoncia en Zaragoza contamos con diferentes tratamientos de ortodoncia para ATM y bruxismo que pueden ayudar a reducir los síntomas y el malestar del paciente.
Neuromoduladores
Los neuromoduladores ayudan a disminuir la hiperactividad de los músculos masticatorios, reduciendo el dolor, la tensión y el desgaste de los dientes. En los casos de bruxismo diurno, los neuromoduladores no suelen ser el tratamiento de primera elección, ya que el objetivo principal es reeducar al paciente y enseñarle a relajar la mandíbula de forma consciente.
Consejos Adicionales para Prevenir el Bruxismo
- Mantener una buena higiene del sueño: Establece una rutina de sueño regular, evita la cafeína y el alcohol antes de dormir, y crea un ambiente adecuado para el descanso.
- Evitar el consumo de estimulantes: Reduce o elimina el consumo de cafeína, tabaco y bebidas energéticas, especialmente por la tarde y antes de acostarte.
- Masajes y estiramientos faciales: Realiza masajes suaves en la mandíbula y estiramientos faciales para reducir la tensión acumulada.
- Visitas regulares al dentista: Las revisiones periódicas permiten detectar el bruxismo a tiempo y prevenir daños mayores.
- Evitar apretar los dientes durante el día: Si eres propenso a apretar los dientes durante el día, intenta ser consciente de este hábito y realizar esfuerzos conscientes para evitarlo.

Automasaje de mandíbula para relajar la tensión
Ortodoncia y Desgaste Oclusal Dentario
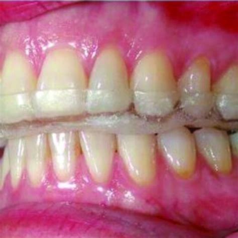
El desgaste oclusal dentario es un problema que puede tener importantes consecuencias para la salud dental. El desgaste dental se refiere al desgaste del esmalte dental, la capa exterior protectora de los dientes. El adelgazamiento y desgaste del esmalte dental pueden provocar sensibilidad dental, dolor al masticar, cambios en la mordida y dificultades en la articulación de la mandíbula.
La maloclusión dental, que se refiere a una mala alineación de los dientes y una incorrecta relación entre la mandíbula superior e inferior, es una de las principales causas del desgaste dental. El bruxismo, que es el hábito involuntario de apretar o rechinar los dientes, también puede desencadenar el desgaste dental.
La ortodoncia desempeña un papel fundamental en la prevención y tratamiento del desgaste dental. Al corregir la posición de los dientes, evita el rozamiento y adelgazamiento del esmalte dental, deteniendo así la erosión de las piezas dentales. Uno de los objetivos principales de la ortodoncia es corregir la posición de los dientes y lograr una correcta alineación de la mordida.
Los brackets tradicionales son una opción efectiva para corregir la posición dental y prevenir el desgaste oclusal. Los brackets estéticos son una excelente opción para aquellos adultos que desean corregir la posición dental de forma discreta. El tratamiento con ortodoncia invisible es una opción innovadora y popular para corregir la maloclusión dental.
La ortodoncia infantil es fundamental para prevenir y corregir problemas de maloclusión dental en etapas tempranas. La adolescencia es una etapa en la que los problemas de maloclusión dental y desgaste pueden agravarse debido al crecimiento y cambio dentofacial. Los adultos también pueden beneficiarse de la ortodoncia para tratar el desgaste dental y otros problemas relacionados con la posición dental y mordida.
Mantener una buena higiene bucal es fundamental para prevenir el desgaste dental. Cepillarse los dientes al menos dos veces al día con pasta dental fluorada ayuda a eliminar los restos de alimentos y la placa bacteriana que pueden dañar el esmalte dental. Es posible que se requieran retenedores u otros dispositivos para mantener los dientes en su nueva posición. Asimismo, se recomienda evitar alimentos duros o pegajosos que puedan dañar los brackets o dispositivos de ortodoncia.
Para mantener una sonrisa saludable y prevenir el desgaste dental, es esencial realizar visitas regulares al ortodoncista. En una clínica de ortodoncia, contar con un equipo interdisciplinario de profesionales es fundamental para ofrecer un tratamiento integral y exitoso. La ortodoncia se beneficia de los avances tecnológicos y las nuevas herramientas digitales para obtener resultados precisos y eficientes.
Opciones de Tratamiento Ortodóntico
Si alguna vez has pensado en mejorar tu sonrisa, pero la idea de usar brackets visibles te desanima, la ortodoncia lingual podría ser justo lo que necesitas. Colocados en la cara interna del diente, son eficaces y discretos.
Bruxismo y Tratamiento Ortodóntico: Preguntas Frecuentes
Muchos pacientes con bruxismo ya utilizan férulas de descarga nocturnas. Cuando se empieza un tratamiento ortodóntico, suele dejar de usarse temporalmente. Pero en función del tipo de aparato, algunos alineadores cumplen esa función protectora durante el tratamiento. En Clínica Kreo, abordamos cada caso de forma integral.
Es fundamental mantener una comunicación abierta y constante con tu ortodoncista. Además, un profesional, siempre puede proporcionarte recomendaciones específicas, así como ajustar los aparatos para minimizar el impacto.
Financiación
Importe mínimo:90€. Ejemplo de financiación para un importe de 237,00 € en 6 meses. Comisión de formalización del 2,00%: 4,74€ a pagar en la primera cuota. Importe financiado: 237,00€. Primera cuota de 45,10€. 04 cuotas de 40,36€ y una última cuota de 40,38€. TIN 7,45% TAE 15,40%. Total intereses: 5,18€. Coste total del crédito: 9,92€. Importe total adeudado y precio total a plazos: 246,92€. Precio de adquisición al contado: 237,00€. Sistema de amortización francés. Financiación ofrecida por Banco Cetelem S.A.U.
| Tratamiento | Descripción | Beneficios |
|---|---|---|
| Técnicas de Relajación | Meditación, respiración profunda, yoga | Reducción de la tensión muscular y el estrés |
| Fisioterapia | Masajes, ejercicios de movilización de la ATM | Liberación de la tensión muscular y mejora de la movilidad |
| Férulas Oclusales | Dispositivos personalizados para usar durante la noche | Protección de los dientes y relajación de la mandíbula |
| Ortodoncia | Alineación de los dientes y corrección de la mordida | Prevención del desgaste dental y alivio de la tensión muscular |
| Neuromoduladores | Sustancias químicas para modificar la actividad neuronal | Disminución de la hiperactividad de los músculos masticatorios |