El diastema, conocido comúnmente como espacio entre los dientes, es una particularidad dental que muchos desean corregir. Se conoce como diastema y hace referencia a la separación que existe entre los dientes, sobre todo entre los incisivos superiores. Un diastema es un espacio visible entre dos dientes. Aunque puede presentarse en cualquier parte de la boca, es más común entre los incisivos centrales superiores.

Para muchos, tener los dientes separados es motivo de complejo y ocultan la sonrisa hasta conseguir una solución; para otros el diastema resulta incluso atractivo. En González y Casado, tu clínica dental de alta estética en Madrid, somos expertos en diseñar y crear sonrisas perfectas. Si estás pensando en cerrar tu diastema con composite, te invitamos a consultarnos tu caso. Escucharemos tus necesidades de tratamiento y evaluaremos las diferentes opciones que presenta tu caso. Mejora tu sonrisa de manera segura y efectiva. Contáctanos hoy mismo para más información o para solicitar una cita especializada.
Causas de los Diastemas o Dientes Separados
Existen numerosas causas que provocan espacios interdentales y para cada una existe un tratamiento específico. Sin embargo, siempre será tarea del odontólogo realizar un estudio exhaustivo de cada caso para determinar cuál es el mejor tratamiento.
- Desproporción entre el tamaño de los dientes: Su nombre técnico es microdoncia y se produce cuando los dientes son más pequeños de lo habitual. Por esta razón, las piezas dentales no contactan entre sí.
- Falta de alguna pieza dental: Se produce un diastema cuando un paciente padece agenesia dental (es decir, la ausencia congénita de uno o más dientes) o ha perdido algún diente.
- Arcada dental superior mayor que la inferior: Al disponer de una arcada mayor, los dientes tienden a separarse. Es, ciertamente, el caso contrario al apiñamiento dental.
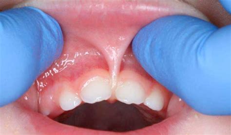
- Anomalías del frenillo labial y lingual: Si el frenillo labial situado en la parte superior de la boca ha tenido una anomalía en su desarrollo, puede generar la presencia de diastemas. La separación entre los dientes en estos casos se debe a que el frenillo ocupa parte de la encía. Éste se interpone entre los incisivos centrales superiores y, por tanto, impidiendo que ambos se junten. Igualmente, es posible que el frenillo labial inferior tenga un tamaño mayor de lo normal, aunque no es tan habitual. En menor medida, una persona con frenillo lingual corto puede presentar algún diastema en los incisivos inferiores.
- Succión o empuje contra los dientes: Algunas personas tienen el hábito de presionar en exceso la lengua contra los dientes de manera prolongada.

Tratamientos para Corregir el Diastema
Si el diastema persiste, es muy ostentoso y afecta a muchas piezas a la vez, una de las técnicas más socorridas es la de la ortodoncia. Cuando la separación entre los dientes es pequeña, el especialista puede optar por ofrecerte cambiar tu estética dental con un simple retoque con composite. Se trata del mismo material que utilizan para sellar y corregir las caries. En casos de más envergadura, también puedes aprovechar los beneficios del uso de las carillas de porcelana. Con estas delgadas piezas, el dentista acabará con tu diastema sin necesidad de aparatos en los dientes. Solo deberá superponer sobre cada pieza unas finas láminas esmaltadas. Las coronas también pueden servirnos para disimular los dientes separados, sobre todo si además se trata de corregir piezas más dañadas.
Espacio entre los dientes | Tratamientos para cerrar un "Diastema"
Además, existen otros tratamientos como:
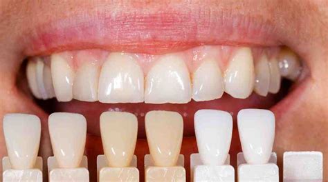
- Carillas dentales: Las carillas dentales ofrecen una solución eficaz y con resultados muy estéticos. Proporcionan al diente la forma, el color y el tamaño deseados, además de contribuir a que la sonrisa del paciente sea armónica y natural.
- Frenectomía: La frenectomía es una cirugía mínimamente invasiva cuya misión es corregir el crecimiento anómalo del frenillo labial. Esta singularidad provoca un hueco localizado entre las dos paletas y, tal como sucedía con el punto anterior, es necesario combinar dos tratamientos.

Prevención del Diastema
Los diastemas tienen un factor genético y, en este sentido, evitarlo es una tarea muy complicada. Sin embargo, cuando la separación dental responde a un hábito durante la infancia, sí que es posible prevenirlos. Es normal que un bebé se chupe el dedo, tome biberón o use chupete, pero extender esta costumbre muchos años puede causar malformaciones en su dentadura.
Consideraciones Adicionales
Es importante señalar que las separaciones entre los dientes no presentan un problema directo para tu salud bucodental, pero conviene estudiar cada caso. Es posible que tengas diastemas pero presentes buena oclusión. Desde el punto de vista estético, los diastemas sí pueden ser un problema para quien los padece pues suele ser causante de complejos. Respecto a la higiene bucal, es muy importante poner énfasis en estos espacios cuando nos estamos cepillando los dientes, para que no se conviertan en el refugio de restos de alimentos. Si esto sucediera, podríamos desarrollar caries y/o problemas periodontales (gingivitis o periodontitis). Además, otra de las consecuencias de acumular alimentos en los huecos interdentales es la halitosis o mal aliento.
En la actualidad, y pese al desacuerdo de muchos odontólogos, el diastema se ha convertido en última tendencia especialmente en el mundo de la moda. Sin embargo, este tipo de moda puede entrañar ciertos riegos para la salud dental, como ya hemos explicado.
Alternativas a los Brackets para Corregir el Diastema
Con todas las cartas sobre la mesa respecto a los brackets tradicionales es hora de mirar otras alternativas que puedan ser interesantes. En primer lugar, no podemos dejar de mencionar la Ortodoncia Invisible de DR SMILE. Con ella contarás con una fórmula tecnológica, mucho más económica y sencilla, especialmente a la hora de mantener una higiene bucal adecuada, y arreglará todo tipo de maloclusiones como la mordida profunda. La ortodoncia invisible DR SMILE reduce notablemente los plazos en cuanto a tiempo. Los brackets tradicionales tienen un tiempo medio de 2 años de uso, mientras que la Ortodoncia Invisible de DR SMILE permiten solucionar los casos más severos en torno a los 9 meses. Una diferencia notable en 3 aspectos clave como: el económico, la comodidad y el temporal.

Otras opciones reales, también con sus pros y sus contras, es la ortodoncia lingual o los brackets metálicos transparentes. En el primer caso, hablamos de la implantación de brackets tradicionales, pero en esta ocasión, situados en la cara interna de los maxilares.
¿Cómo Aliviar el Dolor por Brackets?
Si optas por el tratamiento con brackets, es importante saber cómo aliviar las molestias que pueden surgir:
- Tomar analgésicos: Los analgésicos pueden ser una solución para rebajar el dolor y sobre todo, la hinchazón provocada por los cambios en el cuerpo. Recuerda que la ingesta de analgésicos debe hacerse siempre con la supervisión y conocimiento de un especialista, en este caso, tu médico de cabecera o tu ortodoncista.
- Consume alimentos fríos, pueden aliviar el dolor: De la misma forma que aplicamos hielo en una rodilla tras una caída.
- Aplicar directamente hielo: Mediante una toalla pequeña, trapo o tela, podemos aplicar hielo en la parte exterior de la boca, es decir, la mejilla.
- Mantén una higiene buco dental sobresaliente: Tanto los tratamientos de ortodoncia lingual, como los de ortodoncia invisible o los brackets convencionales tienen lugar dentro de la cavidad oral. Lava tus dientes de forma regular, usa hilo dental y pregunta a tu dentista u ortodoncista por la mejor fórmula para mantener las infecciones lejos de tu boca.
Recuerda que este artículo es meramente informativo y no sustituye la consulta con un profesional de la odontología. Siempre es recomendable buscar la opinión de un experto para determinar el mejor tratamiento para tu caso particular.