Conseguir la alineación dental ideal mediante ortodoncia es solo la primera etapa hacia una sonrisa estable y funcional. En la búsqueda de una sonrisa perfecta y saludable, a menudo se pasa por alto un elemento esencial: el retenedor dental. Estos retenedores juegan un papel fundamental en mantener tus dientes alineados y tu sonrisa radiante. Por eso, la retención post ortodoncia es esencial para mantener los resultados obtenidos después de meses o años de tratamiento.
La fase de retención es una etapa fundamental para mantener los resultados obtenidos a largo plazo, ya sea después de un tratamiento de Invisalign o de ortodoncia tradicional, y evitar que los dientes regresen a su posición inicial, un fenómeno conocido como recidiva. Antes de usarlos, es crucial que comprendas todos los aspectos relevantes. En esta guía completa, te contaremos todo lo que necesitas saber.

¿Qué es un Retenedor Dental?
Un retenedor dental es un dispositivo diseñado para mantener los dientes en su posición adecuada después de un tratamiento de ortodoncia invisible u ortodoncia con brackets. Los retenedores están hechos a medida para adaptarse a la forma de tu boca y se utilizan para prevenir que los dientes vuelvan a su posición original.
Tipos de Retenedores de Ortodoncia
Existen varios tipos de retenedores, cada uno con sus propias ventajas y consideraciones:
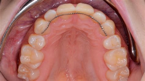
Retenedor Fijo Dental
Los retenedores fijos, también conocidos como retenedor fijo dental, están adheridos a la parte posterior de los dientes. Son invisibles a simple vista y requieren un cuidado especial en la higiene bucal. El retenedor fijo consiste en unas finas barras de alambre que se colocan de colmillo a colmillo, tanto en la arcada superior como en la inferior. Se adhieren a la parte interna de los dientes con composite y no causan ninguna molestia.
Siempre se cementan el mismo día de la retirada de la Ortodoncia. Cuando se cementan, es posible que requieran unos días hasta que el paciente se acostumbre a ellos. Es posible que el paciente experimente molestias en la lengua durante los primeros días, e incluso que se de la aparición de algún afta.

Retenedor Dental Removible
El removible se puede quitar y volver a poner. Son más cómodos para comer y limpiar, pero requieren disciplina para su uso regular. El retenedor removible se basa en unas férulas transparentes, muy similares a las de la ortodoncia invisible. Al igual que el fijo, se usan en las dos arcadas: superior e inferior.
Los retenedores removibles, essix o férulas de Ortodoncia, son un aparato «extra» que se pone al finalizar la Ortodoncia junto con el retenedor fijo o alambre lingual. Su uso no justifica la no puesta de los retenedores fijos, son algo complementario.
Para realizarlos, el Ortodoncista toma una impresión o medida de las arcadas superior e inferior del paciente, creando unas fundas transparentes que adaptan casi al vacío.

Retenedor Dental para Niños
Cuando un niño termina un tratamiento de odontopediatra, también necesita llevar retenedor dental, también llamado placa de Hawley. Se trata de un retenedor removible que se coloca en los últimos molares y que está hecho con un material acrílico y que se utiliza para garantizar el resultado de la primera fase de la ortodoncia.
¿Por Qué es Importante Llevar un Retenedor?
El uso de retenedores es esencial para mantener los resultados de tu tratamiento. Después de llevar brackets o alineadores, los dientes tienden a moverse gradualmente. Los retenedores evitan que esto suceda, asegurando que tu nueva sonrisa permanezca intacta.
Luego de la ortodoncia, por cuanto tiempo debo usar los RETENEDORES? 😖😖😖
Retenedores Después de la Ortodoncia: ¿Cuánto Tiempo Hay Que Llevarlos?
Lo normal es usar retenedores después de la ortodoncia durante 3 o 4 meses. En el caso de tener retenedores removibles, puedes quitártelos para comer, beber, cepillarte los dientes, etc. Después de estos 3-4 meses, lo más probable es que solo tengas que usar retenedores después de ortodoncia por las noches, para dormir. Esta es la mejor manera de tener tu sonrisa bien alineada para el mayor tiempo posible.
Aún con todo, no hay dos bocas iguales, de modo que cada caso es un mundo, de modo que consulta en tu clínica si quieres saber exactamente cuanto tiempo debes llevar los retenedores post ortodoncia.
Los tiempos de uso de los retenedores varían según el tipo de tratamiento y las recomendaciones del ortodoncista. El primer año es crítico para la retención, ya que los dientes aún son propensos a moverse.
Retenedores removibles: Durante los primeros seis meses, los pacientes suelen llevar los retenedores todo el día, quitándolos solo para comer y cepillarse. Incluso varios años después de terminar el tratamiento, existe la posibilidad de que los dientes vuelvan a moverse debido a la memoria del ligamento periodontal o la presión de los músculos faciales.
¿Cómo Limpiar un Retenedor Dental?
Limpiar el retenedor es importante para mantenerlo higienizado y evitar la acumulación de bacterias y malos olores. Aquí tienes algunos pasos para que sepas como limpiar un retenedor:
Cómo Limpiar un Retenedor Dental Fijo Paso a Paso
Si tienes un retenedor fijo, es muy fácil limpiarlo, ya que al llevarlo siempre puesto, puedes limpiarlo cuando te laves los dientes. Si quieres saber cómo hacerlo correctamente, aquí te contamos cómo hay que lavarse los dientes. Tan solo tendrás que cuidar tu higiene dental y evitar que se acumule sarro entre los dientes:
- Ten cuidado al morder ciertos alimentos: Y evita tirar mucho cuando comas alimentos duros, como el típico bocadillo, ya que puedes sacar el retenedor sin querer.
- No te muerdas las uñas: Ya que provocas que los dientes se muevan y que se despegue el retenedor.

Cómo Limpiar un Retenedor Dental Removible Paso a Paso
Limpiar un retenedor removible es algo más complicado. Lo ideal es limpiarlos cada vez que te los quites, ya que se exponen a la saliva y al sarro. Sigue estos pasos para limpiar tu retenedor removible:
- Limpia la superficie: Limpia la parte superficial del retenedor con un cepillo, agua fría y jabón neutro.
- No utilices pasta de dientes: Un error muy común es lavar el retenedor dental removible con pasta de dientes. No lo hagas, ya que pueden perder transparencia y pueden volverse blanco, quedando mal estéticamente.
- Utiliza pastillas limpiadoras semanalmente: Podrás encontrar este tipo de pastillas en cualquier farmacia. Limpiándolas de esta manera dejarás la férula impoluta sin dañarla. Tan solo llena un vaso, bol o lo que quieras con agua, echa la pastilla y añade el retenedor dental durante 15 minutos; al sacarlo, lo aclaramos muy bien, lo secamos y lo guardamos en la caja del retenedor. Así desincrustarás toda la suciedad y los retenedores quedarán como nuevos. Hazlo una vez a la semana.

Consejos Adicionales para el Cuidado y Mantenimiento de tu Retenedor Dental
- Limpieza diaria: Los retenedores removibles deben limpiarse diariamente con un cepillo suave, agua fría y jabón.
- Evita alimentos duros: Evita morder alimentos duros con retenedores fijos para evitar daños.
- Disciplina y hábito: Sigue las recomendaciones de tu ortodoncista sobre cuánto tiempo debes usar tu retenedor al día.
- Consulta a un profesional: Antes de ponerte un retenedor dental, es importante consultar a un dentista. Te ayudarán a ver lo que necesitas específicamente y te dirán que tipo de retenedor es mejor para ti.
Problemas Más Comunes con los Retenedores de Ortodoncia
Mi Retenedor Dental Fijo se Ha Despegado
Si de repente tienes tu retenedor dental fijo despegado, acude a tu clínica de confianza para pegarlo o, si es necesario, para reemplazarlo.
Mi Retenedor Dental Transparente se Ha Roto
Es posible que tengas tu retenedor dental transparente roto por varias razones. Lo importante es que actúes cuanto antes. Puede ser que esté un poco roto o desgastado, pero si está estable no hace falta cambiarlo. Si está roto completamente y no puedes utilizarlo, lo mejor es lo que acudas a la clínica para realizar uno nuevo.
Preguntas Frecuentes Sobre los Retenedores de Ortodoncia
¿Duele Llevar Retenedores de Ortodoncia?
Los retenedores no deberían de doler en absoluto, aunque puede que al principio te encuentres un poco incómodo, lo cual es completamente normal. Una vez te acostumbres a él no debería dolerte para nada. Si ese es tu caso, lo mejor es que pases por tu clínica o en la que te hayan colocado el retenedor.
¿Cada Cuánto Tiempo Tengo que Cambiar Mi Retenedor Dental?
Esto es muy variable y depende totalmente de ti y de cómo avance el tratamiento post ortodoncia. Normalmente hay que cambiar los retenedores cuando el retenedor esté desgastado. El cambio depende al 100% de tu caso en concreto.
¿Cómo Quitar el Retenedor Dental?
Si tienes un retenedor fijo, no puedes quitarlo, debes de ir a consulta a quitártelo. Recuerda que en ningún caso te debería de doler ni molestarte, así que si eses tu caso y quieres saber cómo quitar el retenedor dental, consulta con tu dentista.
Por otro lado, saber cómo quitar el retenedor dental removible es muy importante, ya que se suelen ajustar muy bien a la boca y hay que andar quitándolos y poniéndolos todo el rato. Intenta aflojar el retenedor por ambos lados para que salga fácilmente. Intenta evitar siempre sacarlo por el mismo lado para que no se deforme ni se rompa.
Mantener tus retenedores limpios es esencial para asegurar su efectividad y prolongar su vida útil. Siguiendo las recomendaciones de limpieza diaria y semanal, así como evitando productos abrasivos y técnicas inapropiadas, puedes garantizar que tus retenedores permanezcan en óptimas condiciones.