Las carillas dentales son un tratamiento estético muy demandado gracias al cambio espectacular que ofrecen a la sonrisa en poco tiempo. Existen principalmente dos tipos: las de porcelana y las de composite.

Las carillas dentales han ganado popularidad a medida que la técnica de colocación y los materiales han evolucionado, ofreciendo una solución estética natural y duradera. Aunque existen otros tratamientos estéticos, las carillas dentales permiten a pacientes con manchas, fracturas o dientes separados disfrutar de una sonrisa armónica y natural a través de un procedimiento sencillo.
En este artículo, exploraremos qué esperar después de quitar las carillas, cómo se ven los dientes y qué cuidados son necesarios para mantener una sonrisa saludable.
Tipos de Carillas Dentales
Existen dos tipos principales de carillas dentales:
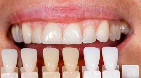
- Carillas de Porcelana: Son láminas muy finas que se adhieren a la superficie de los dientes y son completamente seguras para tu sonrisa.
- Carillas de Composite: También tienen una gran demanda y ofrecen resultados muy estéticos y naturales.
Si tienes dudas sobre qué material es mejor para ti, es importante consultar con un especialista que te ayude a resolverlas.
Casos de Éxito con Carillas Dentales
Muchos pacientes han mejorado su sonrisa gracias a las carillas dentales. Aquí algunos ejemplos:
- Marta: Llevaba meses pensando en mejorar su sonrisa y ahora se pregunta por qué no dio este paso antes.
- Tiago: Necesitaba un cambio en su sonrisa y las carillas fueron la solución.
- Santiago: Consultó con especialistas para mejorar la funcionalidad y el aspecto de sus dientes, deseando una sonrisa más armónica.
- Diego: No se sentía a gusto con su sonrisa, y tras un diagnóstico, se observó que tenía diastemas y algunas piezas más pequeñas de lo habitual.
- Alicia: No estaba del todo a gusto con su sonrisa, y tras corregir su oclusión, se colocó carillas estéticas en sus incisivos laterales para nivelar su sonrisa.
Como puedes ver, las carillas dentales consiguen dar un cambio radical a la sonrisa, mejorando con creces su estética y haciendo que los dientes sean más blancos y brillantes.

En la clínica dental Ferrus & Bratos, se ofrecen fotos del antes y después tras un tratamiento con carillas dentales para que puedas comprobar el cambio que ya disfrutan muchos pacientes.
El Proceso de Colocación de Carillas Dentales
El proceso de colocación de carillas dentales generalmente incluye los siguientes pasos:
- Estudio y Diagnóstico Personalizado: Antes de colocar las carillas, se realiza un estudio y diagnóstico personalizado para evaluar la situación dental del paciente.
- Planificación Digital Avanzada: Se planifica cada caso con tecnología digital avanzada para garantizar resultados naturales, duraderos y predecibles.
- Tratamientos Complementarios: En algunos casos, es necesario realizar tratamientos previos como ortodoncia o blanqueamiento dental para asegurar una base estable y duradera para las carillas.
- Colocación de las Carillas: Las carillas se adhieren a la parte frontal de los dientes para mejorar su apariencia y corregir problemas estéticos.
¿Qué Esperar Después de Quitar las Carillas?
Es frecuente la pregunta: ¿cómo quedan los dientes después de quitar las carillas? La respuesta depende de si hubo desgaste en los dientes durante la colocación:
- Sin Desgaste: Si no hubo desgaste, el esmalte queda intacto.
- Con Desgaste: Si fue necesario hacer un mínimo desgaste para colocar las carillas, el esmalte no se puede recuperar, por lo tanto, las carillas son un tratamiento irreversible.
El esmalte dental es una capa que protege la superficie de los dientes. Si se pierde, los dientes se vuelven más vulnerables y sensibles a factores externos, y pueden desarrollar caries. Sin embargo, el proceso de colocar carillas no solo elimina el esmalte, sino que lo sustituye con una capa de porcelana protectora. Esto hace que, después del procedimiento, las carillas de porcelana actúen como una nueva capa de protección en lugar del esmalte original.
En Ferrus&Bratos cumplimos con el RGPD de la UE por lo que tus datos están seguros. Dr. Pedro Pablo Martínez es licenciado en Odontología por la Universidad Alfonso X el Sabio. Se especializó a través del Máster en Odontología Integrada de la Universidad Rey Juan Carlos de Madrid y del Máster en Endodoncia de la Universidad Alfonso X el Sabio. Combina su actividad profesional con la investigación, ya que es autor de diversos artículos aparecidos en publicaciones científicas como Journal of Dentistry o Journal of Clinical Periodontogy.
Cuidado de las Carillas Dentales
En términos generales, el cuidado de las carillas dentales no difiere mucho del cuidado que cualquier otra persona debe tener con sus dientes.
Las carillas dentales son un tratamiento que tiene pocos riesgos, pero es importante considerar algunas recomendaciones. Por ejemplo, no se deben colocar carillas en pacientes que no mantienen una buena higiene bucal, ya que esto puede causar problemas en las encías. También es necesario corregir la mala oclusión antes de colocar las carillas en pacientes que muerden de manera incorrecta.
Las principales razones de una caries debajo de su carilla son:
- Mala higiene dental
- Carillas mal puestas
- Carillas viejas
- Efectos secundarios de algunos medicamentos
- Tiene un sistema inmunológico comprometido
La mayoría de las veces, su dentista puede eliminar la caries y pegar el empaste a su diente. Su dentista decidirá si puede mezclarlo con su carilla o si tiene que rehacer la carilla. Esto depende de dónde esté la caries en tu diente. Si está en el lado palatino o lingual y no es una caries muy grande, su dentista puede tratarla alrededor de la carilla. Sin embargo, si la caries es más grande, puede hacer que su carilla falle. En ese caso, su dentista tendrá que retirar la carilla, tratar la caries y volver a colocar la carilla.
Además, si eres amante del café, deseas tomar un par de bebidas alcohólicas en una fiesta o fumar un cigarro, puedes hacerlo sin temor a que se dañen tus carillas (obviamente sin excesos), ya que las carillas son resistentes a este tipo de pigmentos y prevalecerá el color original sin que sea necesario hacerte blanqueamiento posterior.
Si has presentado problemas con algún medicamento el cual provocó manchas graves en tus dientes y con un blanqueamiento no se logra llegar al color original, las carillas son una excelente opción para ti.
Carillas FirstFit®: Una Opción Innovadora
Las carillas FirstFit® son una opción innovadora que ofrece varias ventajas:
- 100% Digital: El estudio, diseño de la sonrisa y fabricación de las carillas se realiza digitalmente, permitiendo disminuir errores.
- Precisión: Las guías de tallado son fabricadas tras un estudio digital que permiten guiar el tallado para que sea mínimo y exacto.
- Rapidez: Con esta técnica se puede reducir el tiempo a dos citas. Además, gracias a la nueva tecnología FirstFit, se pueden cementar hasta 20 carillas en una misma sesión.
- Mínimamente Invasivo: Se elimina la incomodidad del uso de carillas provisionales.
- Personalizado: Se realiza digitalmente un estudio de sonrisa teniendo en cuenta la cara del paciente y sus gustos para crear la sonrisa perfecta.
- Alta Estética: Son carillas muy finas de disilicato que se mimetizan con el diente y no cambian de color con el paso del tiempo.
Las carillas FirstFit son una buena opción en casos de correcciones leves o para mejorar la forma o tamaño de un diente después de un tratamiento de ortodoncia. También pueden ser útiles en casos de desgaste dental por bruxismo, cierre de diastemas (espacio entre dientes) o en pacientes jóvenes que buscan una solución estética provisional.
| Ventajas de Carillas FirstFit® | Desventajas de Carillas de Composite |
|---|---|
| 100% Digital | Menor durabilidad |
| Alta precisión | Posibles alteraciones o porosidades con el tiempo |
| Rapidez en el tratamiento | - |
| Mínimamente invasivo | - |
| Diseño personalizado | - |
| Alta estética y durabilidad del color | - |
¿Te vas a hacer CARILLAS DENTALES? - Antes deberías de ver esto - ¿Cuales son mejores? | Dentalk! ©

En Clínicas Nobel, el tratamiento First Fit incluye:
- Consulta gratuita con especialistas en FirstFit®, donde verás el paso a paso para conseguir tu nueva sonrisa.
- Toma de registros fotográficos y medidas intraorales.
Recuerda que antes de someterte al tratamiento de carillas, es importante que un especialista evalúe tu situación dental.