Una de las preguntas más frecuentes entre los pacientes que se deciden a llevar ortodoncia es: una vez que llegue el momento, ¿cómo se quitan los brackets?, ¿será doloroso el proceso? De la misma manera que el proceso de colocación no resulta doloroso, la retirada tampoco lo es. A continuación, te guiaremos a través del proceso de remoción de bandas de ortodoncia, los materiales necesarios y los cuidados posteriores.
Fases del tratamiento de ortodoncia
Cuando hablamos de ortodoncia no simplemente nos referimos a la colocación de los dientes, sino a un complejo proceso de corrección de la mordida y la alineación dental que se desarrolla a través de un conjunto de etapas de varios meses cada una.

Fase de estudio
La primera fase consiste en un estudio completo, a través del cual, se consigue un exhaustivo diagnóstico para que el ortodoncista pueda establecer un diagnóstico correcto y elaborar un plan de tratamiento adecuado al caso. En este estudio es indispensable realizar algunas de las siguientes pruebas médicas:
- Radiografías: ortopantomografía, telerradiografía lateral de cráneo, telerradiografía frontal, TAC dental, etc. Cuanta más información se tenga, más fácil será elaborar un plan de tratamiento. Por eso es fundamental conocer el estado y la posición de todas las piezas dentales, incluso las que no se ven.
- Modelo de estudio: con los modelos de la boca del paciente seremos capaces de disponer de la situación de partida para el tratamiento y evita molestias añadidas al paciente. Aquí es importante contar con material para realizar los modelos de alta calidad.
- Fotografías intraorales y extraorales para poder visualizar perfectamente la boca y conocer, por tanto, aspectos como, por ejemplo, el tipo de mordida, la alineación de los dientes o la posición de la línea media.
Una vez se haya realizado el estudio, entonces se podrá escoger el tratamiento de ortodoncia más adecuado.
Fase de movimientos ortodóncicos: la fase activa
En esta fase es cuando empiezan a utilizarse la mayor parte del material de ortodoncia. En la fase activa se suceden el alineamiento y la nivelación (corregir las malposiciones que afectan a la alineación vertical de los dientes y el apiñamiento de los mismos), la corrección de la mordida (se inicia el camino hacia el encaje de los dientes en lo que, debería ser, su posición correcta), el cierre de espacios (tanto los que ya había como los que surgen durante el tratamiento) y el acabado o terminación (para realizar los pequeños ajustes finales).
Material de ortodoncia utilizado en la fase activa
El material de ortodoncia que se utiliza en esta fase se compone de:
- Arcos: Es el elemento activo del tratamiento de ortodoncia. Almacenan y liberan las fuerzas que estimulan el movimiento dentario. Para que el arco libere la fuerza almacenada es necesario activarlo mediante la flexión, la torsión o la combinación de ambas. Existe una extensa clasificación de los arcos dependiendo de su grosor, el material con el que está fabricado o la arcada.
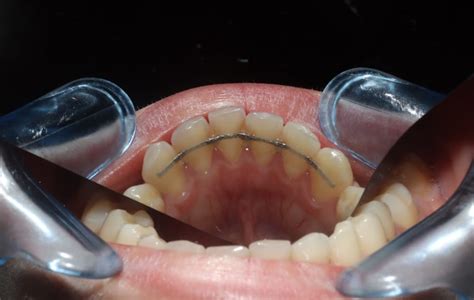
- Brackets: Los brackets son cada una de las piezas sujetadas por el arco que se adhieren a la superficie frontal del diente (o en la posterior, si se trata de una ortodoncia lingual o invisible). Es la parte pasiva del tratamiento, ya que cumplen la función de transmitir a los dientes la fuerza que generan los arcos. Aunque tradicionalmente el material de los brackets era metálico de acero inoxidable, en los últimos años han surgido nuevos modelos de otros materiales como cerámica, zafiro o con la técnica del autoligado.
- Bandas: Las bandas de ortodoncia son los aditamentos que se ubican en el primer o segundo molar que tenemos en boca (6 ó 7) para conseguir una perfecta oclusión de dientes, musculatura y articulación. Son anillos metálicos que rodean toda la pieza dental y están totalmente adaptadas a la forma del molar.
- Tubos: Los tubos, al igual que las bandas, son los aditamentos que se ubican en el primer o segundo molar que tenemos en boca (6 ó 7). Son unos dispositivos metálicos que se adhieren de forma directa sobre el esmalte en las caras vestibulares de los molares (aunque también pueden soldarse en las bandas). Sirven para soportar alambres activos y pasivos. En general los tubos se utilizan en un tratamiento normal con adulto sano, colaborador y que se compromete a seguir las recomendaciones diariamente o cuando el paciente tiene antecedentes de enfermedad periodontal.
- Ligaduras: Las ligaduras en los brackets convencionales (no brackets de autoligado) tienen la función de fijar el arco al bracket y permiten que éste ejerza la fuerza necesaria sobre los dientes para moverlos. Existen dos tipos de ligaduras: las ligaduras elásticas, realizadas en de látex, silicona o cualquier otro producto elástico y las ligaduras metálicas, unos finos alambres de metal que rodean el bracket por la zona de sus aletas y lo fijan al arco.
- Elásticos: Los elásticos son unas gomas elásticas que se usan en determinados tratamientos de ortodoncia para corregir la mordida del paciente. Este instrumento realiza una serie de movimientos que los propios aparatos no son capaces de hacer por sí mismos. Los elásticos se colocan entre las dos arcadas, superior e inferior, y siempre de arriba a abajo.
- Cadenetas: Las cadenetas de ortodoncia son un elemento auxiliar en algunos tratamientos dentales. Están realizadas de materiales elásticos y su función es cerrar los espacios entre los dientes. Solo funcionan en caso de espacios pequeños.
- Botones: Los botones se utilizan en aquellos casos clínicos en que se requiera acelerar los movimientos de rotación de los dientes o descruzar mordida. Se colocan en la cara lingual de los dientes y van fijados directamente sobre el esmalte mediante un adhesivo especial para brackets y botones o mediante bandas de ortodoncia. Pueden encontrarse en dos composiciones, acero inoxidable y níquel-titanio.
- Barras Palatinas: Las barras palatinas es un aparato de acero formado por dos bandas cementadas a un molar de cada lado en la arcada superior y un arco de acero que las une. Este arco de acero puede ser removible o puede estar soldado a las bandas. Es comúnmente utilizado como aparatología auxiliar en tratamientos de ortodoncia, por ejemplo para obtener una ligera expansión de los molares e inclusión de ellos, o como mantenedor del espacio de los dientes temporales hasta la erupción de los dientes definitivos.
- Expanders: Los expansores palatinos son aparatos que permiten ensanchar el paladar de forma ortopédica durante el crecimiento del niño. Se coloca en los molares y está formado por dos componentes metálicos o de acrílico simétricos unidos entre sí a través de un tornillo. Permite aplicar una fuerza determinada con el objetivo de desarrollar el tamaño del paladar y obtener la curvatura óptima.
- Adhesivos: Los adhesivos para ortodoncia tienen como función principal la unión entre el bracket y el esmalte dental. Este enlace ofrece una sujeción firme, ya que debe resistir las condiciones que se producen en el ambiente oral húmedo. Además, la resistencia de estos adhesivos debe permitir el desprendimiento del bracket sin causar daños en el esmalte y sin dejar residuos. En esta fase se utilizan dos clases de adhesivos: para brackets y tubos o para bandas y levantes.
- Stripping: El stripping dental es el procedimiento mediante el cual el ortodoncista reduce el ancho de determinadas piezas dentales (entre 0,2 y 0,5 milímetros) para separarlas y ganar así un espacio entre ellas. Se utiliza principalmente en los casos de pacientes que se van a someter a un tratamiento y tienen problemas de apiñamiento. El stripping se puede realizar manualmente con tiras de pulir o con fresas de pulido, que es un procedimiento mecánico que permite ganar más espacio.
- Instrumental: El material de ortodoncia instrumental que se utiliza en esta fase es amplio: alicates para sostener alambres, barras, retenedores o hooks; alicates para doblar y contornear alambres cuando se necesitan conformar figuras como loops, omegas o asas; alicates de corte para alambres y ligaduras metálicas; alicates para conformar ligaduras metálicas o pinzas para amarrar ligaduras.
- Ceras: Los brackets sobresalen ligeramente de los dientes pudiendo producir roces sobre las mucosas -interior del labio y mejillas- y la lengua, llegando a causar llagas y heridas en los pacientes. Para calmar el dolor y evitar las heridas se recomienda el uso de productos como las ceras de ortodoncia, que pueden ser con o sin sabor.
- Elementos extraorales: Como su nombre indica, los elementos extraorales en ortodoncia son los que trabajan des de fuera de la cavidad bucal. Formarían parte de los aparatos y material de ortodoncia para las ortodoncias removibles. Se trata de elementos como el tiro cervical, la mentonera, los arcos faciales o los módulos de fuerza.
Retiro de brackets
Fase de retirada
Una vez los movimientos de corrección han llegado a su fin y la boca luce bien alineada, llega el esperado momento de retirar los brackets y poder lucir una bonita sonrisa. Para ello, es fundamental el instrumental de retirada: los alicates para retirar bandas y brackets. El alicate saca bandas está diseñado para quitar las bandas de los molares y el alicate para sacar brackets sirve para despegar los brackets del esmalte. Existen alicates para brackets metálicos, estéticos, brackets de la técnica Damon, etc.
Además, existen productos de acabado final que consiguen eliminar cualquier residuo que haya podido quedar adherido al esmalte.
Instrumental específico para la retirada
- Alicates para retirar bandas: Diseñados específicamente para remover las bandas de los molares de forma segura y eficiente.
- Alicates para retirar brackets: Permiten despegar los brackets del esmalte dental sin causar daño.
Además, existen productos de acabado final que ayudan a eliminar cualquier residuo que haya podido quedar adherido al esmalte.
Procedimiento profesional para quitar las bandas de ortodoncia
El procedimiento tiene una duración total de algo más de una hora aproximadamente (entre las dos arcadas). Los pasos generales incluyen:
- Remoción de brackets y bandas: Utilización de alicates especiales para retirar los brackets y las bandas de los dientes.
- Limpieza dental: Una vez que se han quitado todos los brackets, se limpia toda la superficie del diente con una fresa para eliminar cualquier residuo de adhesivo.
- Pulido: Se realiza un pulido dental para asegurar que la superficie del diente quede lisa y sin manchas.

Fase de retención
Los dientes tienen memoria, por lo que tienden a volver a su posición inicial. Por eso necesitamos afianzar los movimientos realizados, o con el tiempo los dientes intentarán volver a sus orígenes, perdiendo gran parte del trabajo realizado con la ortodoncia si no ponemos retenedores.
En esta fase se utiliza material de ortodoncia específico para la retención lingual fija , que es la más habitual después de una ortodoncia, o bien los retenedores removibles realizados con planchas termoplásticas, y que se guardan en las cajas de retenedores que se le ofrecen al paciente.
Tipos de retenedores
- Retenedor fijo: Colocamos un retenedor fijo de canino a canino (tanto en la arcada superior como en la inferior). Dicho retenedor no es otra cosa que un alambre muy fino que va cementado -pegado- a la cara interna de los dientes.
- Retenedor removible: Tras la colocación de la retención fija se tomarán los moldes para el retenedor removible transparente.

Consideraciones finales y recomendaciones
Una vez que te retiran la ortodoncia es muy importante que lleves los retenedores y acudas a las revisiones planificadas por tu ortodoncista. Si sigues estas sencillas indicaciones no deberías tener problemas para mantener de por vida los resultados conseguidos con tu tratamiento de ortodoncia.
Por último, se toman una serie de fotografías para posteriormente poder ofrecer al paciente una presentación con el «antes» y el «después».
Instrumental de ortodoncia durante el cementado
Fase de preparación de la boca para después empezar el tratamiento. Dentro de los auxiliares de cementado encontramos:
- Pinzas para colocar separadores elásticos: Diseñadas con punta angulada para colocar en anteriores y posteriores, con muelle central para un fácil y cómodo retorno.
- Mordedor y empujadores de bandas: Los empujadores tienen su parte activa ranurada y requieren de la fuerza manual para poder calzar las bandas, son parecidos a los elevadores de cirugía. Los mordedores también se usan una vez abierto el espacio entre los molares para insertar las bandas. Utilizan la fuerza de cierre del paciente y tienen una parte activa, metálica, con distintas formas y un mango de plástico.
- Pinza posicionadora de tubos: El extremo de la pinza permite dar angulación a los tubos, sujetándolos hasta el momento que estén cementados. Para usarla se introduce una de las puntas en el agujero del tubo, mientras la otra agarra la superficie exterior. Una vez posicionado el tubo, se aprieta la pinza para sacar la punta del tubo. Las pinzas porta tubos tienen una curvatura que permite sortear los brackets que se encuentran por mesial.
- Pinza posicionadora de brackets: Para cementar los brackets se usa una pinza posicionadora de Brackets, idealmente agarre positivo para que el bracket no se suelte al posicionarlo, sino que se libere al apretar el instrumento. La parte posterior de la pinza suele tener una extensión metálica fina que sirve para el correcto posicionamiento final de los brackets y quitar los excesos de material de cementado. Pueden ser pequeñas, medias o largas.
- Posicionadores de brackets: Se dice que hoy el mejor ortodoncista es aquel que mejor cementa los Brackets. Para ello se puede recurrir al uso de posicionadores tales como la estrella o los posicionadores de Mc Laughling o altímetros. Ambos poseen una superficie en la que se apoyará el borde incisal u oclusal del diente y una punta que marcará la altura a la que quedará cementado el Bracket (4mm, 4,5mm, 5mm, 5,5mm). También el posicionador Falcon para brackets posteriores, que cuenta con adhesión directa para la precisa colocación de brakets posteriores, tubos o aditamentos. El posicionamiento se realiza de forma sencilla gracias a las pequeñas ranuras del mecanismo de resorte.
Tratamiento de ortodoncia
Una vez cementado el caso hay que activar con el tratamiento de ortodoncia. Es en este punto cuando se empiezan a utilizar los alicates. Los distintos tipos de que se van a utilizar son:Alicates para sostener alambres, alicates para doblar y contornear alambres, alicates de corte para alambres y ligaduras metálicas, alicates para conformar ligaduras metálicas. En este completo artículo podéis conocer toda la variedad de alicates que existen para cada una de estas categorías.
Además, durante esta fase también se utilizan pinzas para ligaduras. Una vez instalado el arco en boca es necesario ligarlo a los brackets para que no se salga y conseguir expresar las fuerzas que logren que los dientes comiencen a moverse. En este punto se utilizan posicionadores y pinzas, no alicates. Las ligaduras pueden ser metálicas o elastoméricas, por eso utilizaremos:
- Pinza Mathieu: Alicate de toma palmar y bocados finos con leves ranuras para poder sujetar los elastómeros pero no romperlos. Existen varios tipos de pinzas de este tipo, con diferentes puntas, que se ajustan a la práctica y al gusto de cada clínico: estándar, recta o con orificio de retención en la punta, que facilita la sujeción de las ligaduras elásticas al colocarlas.
- Pinza Mathieu curva: Se usa tanto en ortodoncia vestibular como lingual. Es lo suficientemente fuerte como para insertar arcos o asegurarlos por detrás de los tubos.
- Pinza mosquito: Puede ser curva o recta, similar a que se usa en cirugía.
- Twirl on: Instrumento que sirve para colocar las ligaduras que vienen en bastones.
- Doble director de ligaduras: Sus puntas ayudan a ajustar y colocar los elásticos, atrapando el arco en el slot del bracket.
Instrumental de ortodoncia al retirar el tratamiento
Al llegar al final del tratamiento hay que quitar de los dientes tanto brackets como tubos o bandas que se encuentran sobre ellos. Para ello, como vimos en nuestro anterior artículo sobre alicates de ortodoncia, utilizamos el alicate para quitar bandas, diseñado para sacar las bandas de los molares y el alicate para quitar brackets, que sirven para despegar los brackets del esmalte sin dañarlo.
No podemos olvidar que existen otros tipos de instrumental que no son ni pinzas ni elementos auxiliares de cementado como, por ejemplo:
- Calibre dental: Es el instrumento de ortodoncia adecuado para tomar mediciones precisas tanto en laboratorio como con los pacientes.
tags: #como #quitar #bandas #de #ortodoncia