El sarro dental, también conocido como cálculo dental, es un problema común que se puede prevenir manteniendo una buena higiene bucodental y realizando visitas regulares al dentista. Se forma cuando la placa bacteriana no se elimina correctamente y se endurece sobre los dientes. Si bien la mejor solución siempre será acudir al dentista, muchas personas buscan cómo quitar el sarro de los dientes con remedios caseros.

¿Qué es el Sarro Dental?
El sarro, también conocido como cálculo dental, es la placa bacteriana mineralizada que se adhiere firmemente a la superficie de los dientes. Se forma cuando no se realiza un cepillado eficaz, se omite el uso del hilo dental y se mantienen dietas altas en azúcares. Eliminar el sarro en casa es complicado, ya que requiere instrumental específico. No se puede eliminar el sarro en casa. Si has detectado sarro en tu boca solo un dentista o higienista dental podrá eliminarlo por completo con una limpieza dental profesional.
Tipos de Sarro Dental
El sarro es un depósito mineral duro en los dientes que puede provocar enfermedades de las encías y caries si no se trata. Se presenta en dos formas:
- Sarro supragingival: Se forma por encima de la línea de las encías.
- Sarro subgingival: Reside por debajo de la línea de las encías.
Ambos deben ser eliminados cuidadosamente con herramientas de limpieza profesionales por un dentista o higienista cualificado.
¿Qué Causa el Sarro en los Dientes?
La razón principal de la acumulación de sarro dental es una mala higiene bucal. Cuando las partículas de comida se quedan en los dientes después de comer, pueden quedar atrapadas entre ellos y, segundos después, se convierten en un material endurecido y calcificado. El sarro dental está formado por minerales como el fósforo, el calcio y el magnesio que provienen de tu saliva y de otras fuentes.
La genética también puede desempeñar un papel en la formación del sarro dental. Si tienes antecedentes familiares de acumulación de sarro, puedes ser más propenso a contraerlo tú mismo. Además, algunos medicamentos pueden provocar sequedad en la boca, lo que puede conducir a una mayor acumulación de sarro.
Algunas personas tambien tienen tendencia a generar sarro dental más fácilmente que otras. Además de la higiene, tiene que ver con el pH de la saliva. Cuando las personas tienen altos niveles de acidez, son propensas a las caries. Y si la saliva tiene un pH más bajo, es más probable que desarrolle sarro. Otros alimentos que hacen que se forme más placa y se oscurezcan son el vino, el café y el té negro.
¿Cómo Saber si Uno Tiene Sarro Dental?
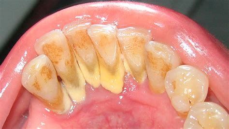
Lo primero es lo primero: mírate en el espejo. Si ves manchas descoloridas en tus dientes delanteros que no parecen desaparecer con el cepillado, puede ser un signo de sarro dental. El sarro dental tiene el aspecto de manchas amarillentas o vetas de color marrón oscuro a lo largo de la línea de las encías o en cualquier zona donde se acumulen partículas de comida.
Otra forma de saber si tienes sarro dental es palpar alrededor de los dientes con la lengua. El sarro dental se sentirá áspero y abrasivo, a diferencia de una superficie lisa cuando no tienes sarro.
La forma más efectiva de detectar si tienes sarro dental es acudir a tu dentista para que te haga un examen profesional. El sarro dental puede ser difícil de ver, pero los dentistas tienen herramientas especiales que les permiten detectarlo fácilmente. El sarro dental nunca debe ignorarse, así que si crees que puedes tenerlo, no dudes en visitar a tu dentista.
Remedios Caseros para Ayudar a Prevenir el Sarro
Aunque los remedios caseros pueden ser útiles como complemento, no sustituyen una limpieza dental profesional.
1. Bicarbonato de Sodio

El bicarbonato de sodio es uno de los métodos más conocidos. Para crear una pasta eficaz, se puede mezclar una cucharadita de bicarbonato de sodio con un poco de agua. Para hacer esta pasta, sólo tienes que mezclar una cucharadita de bicarbonato de sodio con agua caliente hasta formar una pasta espesa. Esta mezcla debe aplicarse sobre el cepillo de dientes y usarse para limpiar los dientes durante aproximadamente dos minutos. Es importante tener en cuenta que el uso excesivo de bicarbonato de sodio puede desgastar el esmalte dental.
El bicarbonato de sodio es un abrasivo natural que puede ayudar a eliminar la placa de los dientes. ¡Pero cuidado, también podría dañar el esmalte! Mezcla una cucharadita de bicarbonato de sodio con unas gotas de agua hasta formar una pasta. Utilice la pasta para cepillarse los dientes durante 2 o 3 minutos y luego enjuáguelos bien con agua. El bicarbonato de sodio también puede ayudar a blanquear los dientes y refrescar el aliento.
2. Zumo de Limón

El limón es conocido por sus propiedades antibacterianas y blanqueadoras. Para preparar una solución eficaz, se debe exprimir el jugo de medio limón en una taza de agua tibia y mezclar bien. Es fundamental recordar que el ácido del limón puede erosionar el esmalte dental si no se enjuaga adecuadamente.
El zumo de medio limón con una taza de agua tibia y enjuaga tu boca con esta solución. El ácido cítrico del limón ayuda a disolver el sarro, pero debes tener cuidado de no exponer tus dientes al ácido durante mucho tiempo, ya que puede dañar el esmalte.
3. Aceite de Coco

Realiza enjuagues bucales con aceite de coco durante unos 15-20 minutos al día. El aceite de coco contiene ácido láurico que ayuda a reducir la acumulación de placa y sarro en los dientes.
También puedes probar el oil pulling con aceite de coco. Para este remedio casero, basta con hacer buches con aceite de coco en la boca durante unos 15-20 minutos por sesión. El aceite ayuda a eliminar las bacterias y la placa que quedan en los dientes y las encías, a la vez que los fortalece en el.
Un estudio encontró que el enjuague con aceite de coco puede reducir significativamente la placa y la gingivitis.
4. Té Verde

El té verde es conocido por sus propiedades antioxidantes y su capacidad para neutralizar bacterias. Cómo usarlo: preparar infusiones de té verde y usarlas como enjuague diario.
5. Vinagre de Sidra de Manzana
El vinagre de sidra de manzana es un ácido natural que puede ayudar a disolver la placa de los dientes. Mezcle una cucharada de vinagre de sidra de manzana con una taza de agua y agítelo en la boca durante 1 o 2 minutos, luego enjuáguelo con agua. Sin embargo, tenga cuidado de no abusar del vinagre de sidra de manzana, ya que también puede dañar el esmalte dental si se usa con demasiada frecuencia. Recuerda que la acidez del vinagre puede dañar tu esmalte.
Sólo tienes que mezclar partes iguales de vinagre de sidra de manzana y agua en una taza, y luego utilizarlo como enjuague bucal durante dos minutos cada día, más o menos.
6. Consumir Frutas y Verduras Frescas
Consumir frutas y verduras frescas, como manzanas y zanahorias, puede ayudar a limpiar los dientes de forma natural. Y no olvides que tu alimentación también es fundamental para prevenir la aparición del sarro. Come muchas manzanas y zanahorias, y evita, en la medida de lo posible, el pan de molde.
7. Masticar Chicle sin Azúcar
Masticar chicle sin azúcar puede ayudar a estimular la producción de saliva, lo que puede ayudar a eliminar la placa y las bacterias. Un estudio encontró que masticar chicle sin azúcar durante 20 minutos después de las comidas reducía significativamente la placa y prevenía las caries.
8. Masaje con Sal y Aceite de Mostaza
La sal y el aceite de mostaza son un remedio tradicional indio para la salud bucal. Un estudio encontró que el uso de una mezcla de sal y aceite de mostaza como enjuague bucal redujo significativamente la placa y la gingivitis. Mezcla una cucharadita de sal con una cucharada de aceite de mostaza y haz buches con la mezcla en la boca durante unos minutos antes de escupirla y enjuagar con agua.
Prácticas Efectivas de Higiene Bucal
Implementar prácticas efectivas de higiene puede ayudar a reducir la acumulación de placa bacteriana y, por ende, la formación de sarro.
1. Cepillado Adecuado
Un cepillado adecuado es fundamental para eliminar los restos de comida y la placa. Se debe utilizar una pasta dental con flúor y cepillarse al menos dos veces al día. Cepillarse los dientes con una pasta de dientes con flúor durante dos minutos ayuda a eliminar la placa y las bacterias.
Cepillarse los dientes al menos tres veces al día te ayudará a mantener a raya la acción de las bacterias de los alimentos que ingieres.
El tipo de cepillo de dientes utilizado puede influir significativamente en la eficacia de la eliminación del sarro. Los cepillos eléctricos han demostrado ser más eficaces en la eliminación de placa bacteriana en comparación con los manuales, gracias a su capacidad para realizar movimientos oscilantes y rotativos.
2. Uso del Hilo Dental
El hilo dental es una herramienta esencial para limpiar entre los dientes donde el cepillo no llega. Es recomendable usarlo una vez al día. El hilo dental ayuda a eliminar la placa y los restos de comida que se acumulan entre los dientes, lo que ayuda a prevenir la acumulación de sarro.
Es especialmente importante no olvidarnos de los espacios interproximales, entre diente y diente, para lo que podemos utilizar el hilo dental o los cepillos interproximales, al menos una vez al día. Los cepillos interdentales son útiles para alcanzar las áreas entre los dientes que un cepillo normal podría no limpiar adecuadamente. Su inclusión en la rutina diaria puede contribuir a reducir la acumulación de sarro.
3. Enjuagues Bucales
Los enjuagues bucales con propiedades antibacterianas pueden complementar las técnicas de cepillado e hilo dental. Los enjuagues bucales con agentes antibacterianos pueden ayudar a reducir la cantidad de bacterias en la boca, lo que puede prevenir la formación de sarro.
4. Alimentación Consciente
La alimentación desempeña un papel crucial en la salud bucal. Los alimentos ricos en azúcares y almidones son un caldo de cultivo para las bacterias, favoreciendo la formación de placa y sarro. Una dieta equilibrada, baja en azúcares y rica en frutas y verduras, puede ayudar a prevenir la formación de sarro. Además, es importante evitar el consumo excesivo de alimentos y bebidas ácidas, ya que pueden debilitar el esmalte dental.
5. Evitar el Tabaco y el Alcohol
Fumar y consumir alcohol en exceso pueden debilitar el esmalte dental y favorecer la acumulación de sarro. Es importante evitar estos hábitos para mantener una buena salud bucal y prevenir problemas como la caries y la enfermedad periodontal.
Tratamientos Profesionales para Eliminar el Sarro
En la clínica, se dispone de tratamientos avanzados para abordar la acumulación de sarro. No se puede eliminar el sarro en casa. Si has detectado sarro en tu boca solo un dentista o higienista dental podrá eliminarlo por completo con una limpieza dental profesional.
¿Qué hago si ya se me ha formado sarro? La placa bacteriana, una vez que se endurece y transforma en sarro, sólo puede eliminarse en el dentista, mediante una profilaxis o limpieza dental.
1. Limpieza Profunda
La limpieza profunda es un tratamiento que se realiza para eliminar el sarro que se ha acumulado tanto por encima como por debajo de la línea de las encías. Este procedimiento no solo elimina la placa y el sarro, sino que también ayuda a prevenir la inflamación de las encías y otros problemas de salud bucal. Este procedimiento se realiza mediante un instrumental adecuado, sin dañar el esmalte dental. Los aparatos sónicos y ultrasónicos que utilizamos los dentistas producen ondas vibratorias que rompen el sarro de la superficie del diente sin afectar en absoluto al esmalte.
2. Curetaje Dental
Para eliminar el sarro que ha crecido más profundamente debajo de los tejidos blandos que sostienen los dientes, es necesario un tratamiento distinto, que recibe el nombre de raspado y alisado radicular, o curetaje, que sí necesita anestesia local.
El curetaje dental es un tratamiento más invasivo que se realiza cuando el sarro se ha acumulado en zonas más profundas de las encías, llegando al hueso alveolar y provocando inflamación o infección. Se utiliza anestesia local para poder llegar a esas zonas y se procede a raspar el sarro con la ayuda de curetas y otros instrumentos.
3. Tecnología Láser
En el caso de depósitos de sarro persistentes que no desaparecen con la limpieza habitual, tu dentista puede utilizar la tecnología láser para eliminarlos. Los láseres son muy precisos, por lo que pueden dirigirse sólo a la zona afectada sin dañar ninguna de las estructuras dentales sanas.
Consecuencias de No Tratar el Sarro Dental
Es fundamental eliminar sarro de los dientes para evitar:
- Halitosis: El sarro acumulado en los dientes puede provocar mal aliento. Esto se debe a que el sarro alberga bacterias que producen compuestos sulfurados volátiles, responsables del mal olor.
- Pigmentación de los dientes: El sarro, al acumularse en los dientes, puede provocar manchas y decoloración, lo que afecta negativamente la apariencia estética de la sonrisa.
- Inflamación de encías: El sarro puede acumularse debajo de las encías, lo que puede provocar inflamación y enrojecimiento de las mismas. A medida que el sarro se acumula, la inflamación puede agravarse y provocar gingivitis. Encías inflamadas.
- Enfermedades periodontales: Si el sarro no se elimina a tiempo, puede producir enfermedades periodontales como la periodontitis, que puede llevar a la pérdida de los dientes. Esto se debe a que el sarro acumulado debajo de las encías puede destruir el hueso y el tejido conectivo que sostienen los dientes. Ver Periodontitis.
- Caries dentales.
- Dolor de muelas.
- Flemón.
- Manchas blancas en los dientes.
Sarro Dental Negro
El sarro dental es una forma de placa endurecida que se acumula en los dientes y puede causar decoloración. Puede que hayas oído hablar de la frase "diente de negro", pero ¿sabías que en realidad puede estar causada por el sarro dental negro?
Suele ser de color marrón o amarillo, pero en algunos casos puede volverse negro debido a ciertos factores, como tener una alta concentración de hierro en la saliva. El hierro presente en la saliva se une a ciertas bacterias que producen la pigmentación oscura. Este tipo de acumulación de placa puede aparecer en otras partes de los dientes, pero suele afectar a las muelas.
Afortunadamente, el sarro dental negro puede tratarse con una higiene bucal adecuada y una limpieza profesional por parte de un dentista. El cepillado regular y el uso del hilo dental son esenciales para eliminar la acumulación de placa en los dientes. Además, utilizar un enjuague bucal antiséptico o una pasta de dientes como parte de tu rutina diaria puede ayudar a prevenir la aparición de este problema.
Tu dentista también puede recomendar el raspado y el alisado radicular, que es un procedimiento utilizado para eliminar los depósitos endurecidos de la superficie de los dientes. El raspado consiste en eliminar la placa con instrumentos especiales, mientras que el alisado radicular alisa las zonas ásperas de la superficie de la raíz que son propensas a acumular bacterias. Esto ayuda a detener la propagación de las bacterias y previene una mayor decoloración.
