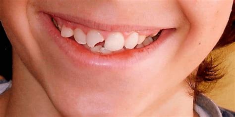
Un diente roto, o una rotura dental, es una de las urgencias más comunes. Un diente roto es una urgencia dental común, a menudo causada por un traumatismo. Es importante actuar con calma y celeridad cuando un niño sufre un fuerte golpe en la boca.

Tipos de rotura dental
La reparación de un diente roto depende del tipo y la extensión de la fractura. Se debe diferenciar entre la fractura total y la avulsión. Hablamos de avulsión cuando el diente se sale por completo de su alveolo tras un impacto traumático.
- Diente astillado: Presenta pequeñas fisuras en el esmalte. Eso sí, si un diente astillado no se trata correctamente, terminará por romperse.
- Rotura parcial: Tiene lugar cuando se desprende un trozo de este. Las fracturas que solo afectan al esmalte se producen principalmente en el borde incisal o en un ángulo interproximal.
- Rotura total: Tiene lugar cuando se rompe, al menos, la mitad del diente.
Síntomas tras la rotura de un diente
Los síntomas que aparecen tras la rotura de un diente dependen de la gravedad y la extensión de la misma:
- Sensibilidad dental: Se percibe al consumir bebidas o alimentos muy fríos, calientes o ácidos.
- Dolor: Cuanto mayor sea la rotura producida, mayor será también el dolor. Esto se produce, por ejemplo, cuando la fractura llega hasta la cámara pulpar, donde está el nervio.
- Movilidad: Puede que la parte del diente que ha quedado en la boca -que no se ha caído- experimente cierta movilidad. Por ello, no se debe tocar la pieza dental.
- Cambio de color: Se produce cuando la pieza dental sufre un golpe tan severo que afecta a los vasos sanguíneos.
- Sangrado de la encía: La propia fuerza del traumatismo puede hacer que la encía sangre. La sangre siempre es “escandalosa” y provoca mucho nerviosismo.
Sean cuales sean los síntomas que se presenten tras un golpe relativamente importante en el diente, debes acudir al dentista cuanto antes.
Primeros auxilios en casa
Pero, mientras acudes al odontólogo, te damos unas recomendaciones de primeros auxilios. La acción rápida puede ser crucial para salvar el diente y prevenir complicaciones adicionales.
- Si se te ha roto un trozo de diente, trata de rescatarlo. Posteriormente, límpialo cuidadosamente con un poco de agua y guárdalo. Es importante no usar jabón y otros productos químicos, ya que se podría dañar el esmalte o la dentina.
- Recoge cualquier fragmento del diente roto y guárdalos. En algunos casos, pueden ser reutilizados o ayudar al dentista a decidir el mejor tratamiento.
- Enjuaga tu boca con agua tibia para limpiar el área.
- Protege el diente con cera dental y evita masticar con ese lado de la boca.

¿Se puede reparar un diente roto?
Sí, siempre existe una solución para arreglar un diente roto. Como hemos explicado previamente, cuando el paciente llega a la consulta con un diente roto, el dentista evalúa la zona donde se ha producido la fractura. No es posible arreglar un diente roto de forma definitiva sin acudir al dentista. Mientras que existen medidas temporales que puedes tomar para manejar un diente roto en casa, es imperativo buscar atención dental profesional tan pronto como sea posible.
RECONSTRUCCION de diente fracturado
El dentista tiene que evaluar qué tipo de rotura es y valorar si hace falta realizar una radiografía para ver si el diente tiene una rotura interna. En estos casos lo más importante es pedir una cita con tu dentista para eliminar y limpiar la zona dental afectada por la caries.
Opciones de tratamiento
- Si el diente se ha astillado: El dentista lo limará y pulirá con la ayuda de fresas.
- Cuando el diente se ha roto parcialmente: La primera opción será tratar de colocar el trozo de diente que se ha desprendido, en el caso de que el paciente lo haya recogido.
- Ante una rotura total: El dentista también tratará, en primer lugar, de colocar el trozo de diente recogido por el paciente. Si ambas partes del diente no se pueden unir, el odontólogo realizará una reconstrucción del diente con composite.
- Endodoncia: Mediante la endodoncia, se extraerá el nervio del diente y se rellenará la cavidad en la que estaba dicho nervio con un material de obturación.
- Incrustaciones: Se recomiendan para cavidades amplias en dientes en los que se ha realizado una endodoncia.
- Coronas: La fabricación de una corona para reconstruir un diente roto es otro de los métodos usados por los odontólogos.
Causas de la rotura de un diente
La rotura de un diente se puede producir por causas que pueden ser o bien accidentales o por malos hábitos:
- Mala higiene bucal: Tiene como consecuencia la formación de caries.
- Ingerir alimentos ácidos: Ingerir diariamente alimentos ácidos, con un pH bajo, como pueden ser las bebidas gaseosas, el zumo de limón o de naranja, o el vinagre no es lo más adecuado para nuestros dientes ya que debilitan la capa del esmalte pudiendo provocar incluso la rotura del diente.
- Reflujo gástrico o desórdenes alimentarios: En personas que tienen reflujo gástrico o que padecen desórdenes alimentarios, como puede ser la bulimia, es común tener roturas de dientes por jugos gástricos.
¿Qué hacer ante un agujero en el diente?
Cuando aparecen cavidades en los dientes significa que se está formando una caries. Comienzan siendo muy pequeños, casi imperceptibles, y cuando las notamos es porque ya el daño ha avanzado. Los agujeros son más comunes en las muelas, pero también aparecen en los dientes frontales.
Síntomas de agujeros en los dientes
Los síntomas de la caries dental no aparecen sino cuando el daño ha avanzado. En este caso, mientras más rápido acudas al dentista, hay más posibilidades de detener su avance. Es difícil detectar el agujero en sus primeras etapas porque esté es muy pequeño. Sin embargo, con el tiempo comienzan a aparecer algunas señales:
- Dolor en el diente o la muela donde está el agujero.
- Sensibilidad dental al consumir alimentos o bebidas frías y calientes, o dulces.
- Cambios de color en la pieza dental afectada.
- Bultos en las encías, estos abscesos se forman cuando hay una infección.
- Fracturas en el diente y sensibilidad al morder.
- Mal aliento y mal sabor constante en la boca.
Tratamientos para un agujero en el diente
Será necesario que el dentista haga una exploración para determinar qué camino tomar. Hay casos en los que se tiene que hacer una radiografía para ver la magnitud del daño. Es importante tratar la caries antes de que llegue a la raíz.
- Empastes dentales: Si el agujero es pequeño se hace un empaste dental y así se evita que la caries siga avanzando.
- Endodoncia: Cuando no se ha tratado a tiempo, la caries puede penetrar hasta la pulpa dental y afectar el nervio, para lo cual será necesario una endodoncia.
- Reconstrucción dental y carillas: Reconstruir el diente luego de reparar un agujero, es una manera de devolverle la estética y funcionalidad.
Factores de riesgo para las caries
Como ya sabemos, los huecos en los dientes son producto de la formación de caries, y estas se originan por tener una incorrecta higiene bucal. Pero además, de no cepillarse dos veces al día, utilizar hilo dental y acudir al odontólogo cada seis meses, existen otros factores que pueden hacerte más susceptible a tener caries. Entre ellos mencionaremos:
- Consumir alimentos azucarados
- Poca saliva
- Edad
- Falta de flúor
- Bruxismo
¿Cómo evitar los huecos en los dientes?
Tener una rutina de higiene correcta es la mejor manera de evitar la aparición de caries. En ese sentido, cepilla tus dientes dos o tres veces al día, durante dos minutos, después de cada comida y antes de dormir. Esto te ayudará a eliminar la placa bacteriana que producen las caries. Además, debes usar enjuague bucal y seda dental ayudará a limpiar mejor tu boca y llegar hasta donde los cepillos no pueden. Al comprar la pasta dental y el enjuague, verifica que tenga flúor, ya que ayudará a fortalecer el esmalte.

¿Qué hacer si se te parte un diente?
Lo primero que te voy a pedir es calma. Sé que ver un diente roto asusta (¡y duele!), pero mantener la cabeza fría te ayudará a salvar esa pieza.
- Conserva cualquier fragmento del diente: Si se te ha caído un trozo, búscalo y recupéralo. Ese pedazo podría ser pegado de nuevo por el odontólogo si se maneja adecuadamente.
- Enjuaga tu boca cuidadosamente: Enjuágate con agua tibia para limpiar la zona. Esto elimina restos de sangre, fragmentos sueltos o suciedad del accidente.
- Controla el sangrado (si lo hay): Es común que un diente roto sangre por la encía cercana. Toma una gasa estéril o un pañuelo limpio, colócalo sobre la zona que sangra y haz presión suave pero firme durante unos minutos.
- Aplica frío en la cara: Pon una compresa fría o bolsa de hielo envuelta en paño sobre la mejilla, justo afuera de la zona afectada. El frío reduce la inflamación y adormece un poco el área para disminuir el dolor.
- Evita masticar o tocar el diente: Trata ese diente con mucha delicadeza. No lo toquetees con la lengua o los dedos, eso puede moverlo más si está inestable o causar más dolor.
- Toma un analgésico si el dolor es muy fuerte: Medicamentos de venta libre como ibuprofeno o paracetamol pueden ayudar a controlar el dolor y la inflamación ligera.
- Llama a tu dentista de inmediato (urgencia dental): No dejes pasar el tiempo. Contacta cuanto antes una clínica dental de urgencias y explícales lo ocurrido.
Tratamientos para un diente partido
Cuando llegues al consultorio dental, lo primero que haré (o hará cualquier odontólogo) es evaluar la gravedad de la fractura con examen clínico y, normalmente, una radiografía. Esto nos permite ver si la raíz está afectada y hasta dónde llega la rotura. La meta principal será siempre salvar tu diente natural si existe posibilidad.
Tratamientos para fracturas leves
Si solo se ha astillado una parte del esmalte o se desprendió un fragmento pequeño, la solución suele ser sencilla y mínimamente invasiva. En estos casos no hace falta anestesia muchas veces.
- Adhesión del fragmento: Si todavía tienes el trozo de diente y está en buen estado, a veces podemos pegarlo de nuevo.
- Reconstrucción con composite: Si no se puede reinsertar el pedazo (porque se perdió, se astilló en micro pedazos, o simplemente la unión no “pega”), entonces reconstruimos la parte faltante con un material de resina composite.
- Limado y pulido: En algunos casos de fisuras muy finas en el esmalte sin pérdida de estructura, basta con un limado y pulido de la zona.
Tratamientos para fracturas moderadas
Aquí hablamos de un diente que perdió una porción considerable, pero el nervio dental no quedó al descubierto. Puede doler por la cercanía a la pulpa y por la fractura en dentina, pero el pronóstico de salvar el diente es bueno.
- Adhesión del fragmento: Al igual que en las fracturas leves, si el paciente trae el pedazo de diente y encaja bien, la primera opción es intentar recolocar el fragmento con técnicas adhesivas.
- Reconstrucción con composite: Si no hay fragmento disponible o no es viable pegarlo, entonces hacemos una reconstrucción directa. Con resina composite se restaura la zona faltante.
- Incrustación (inlay/onlay): Las incrustaciones son restauraciones a medida (de porcelana o composite hecho en laboratorio) que encajan en la parte faltante del diente.
- Corona parcial o completa: Si la fractura abarca más de 1/2 de la corona, probablemente se necesite una corona dental.
Tratamientos cuando la fractura alcanza la pulpa dental
Si la línea de fractura alcanza la pulpa dental (es decir, el nervio del diente), el escenario cambia un poco. Sueles saber que este es el caso cuando el dolor es intenso y constante después del golpe, o si ves directamente el tejido rojizo del nervio en la fractura.
- Endodoncia: Consiste en remover la pulpa dañada del interior del diente. Es decir, limpiamos el espacio interno (los conductos radiculares) para eliminar el nervio que se expuso o se lesionó con la fractura.