Las carillas dentales son unas finas láminas de porcelana o composite que se colocan en los dientes para solucionar pequeños defectos y dar a la sonrisa un aspecto más estético y armónico. Son una excelente solución para corregir imperfecciones como dientes oscuros o manchados, espacios entre dientes, fracturas y malposiciones leves.
En este artículo, te explicamos cómo es, paso a paso, el proceso para colocar las carillas, tanto de porcelana como de composite. Las carillas dentales son uno de los tratamientos más demandados en estética dental, ya que permiten transformar la sonrisa de forma segura, natural y mínimamente invasiva. En todos los casos se confeccionan totalmente a medida a partir de un diseño de sonrisa y su forma está, por tanto, personalizada. Ya sean de porcelana o composite, las carillas dentales van adheridas al diente natural de la persona mediante un cementado.
Las carillas dentales son una fina capa que se fija en la superficie vestibular de los dientes anteriores, fundamentalmente para mejorar sus aspectos estéticos. Algunas carillas se colocan sólo en dientes concretos ya sea en una o varias piezas, de forma que quedan integradas con el resto de dientes. En otras ocasiones, se colocan en toda la línea de sonrisa llegando a abarcar toda la dentadura. Son un tratamiento odontológico que se realiza totalmente a medida.
Carillas de Resina y Porcelana: Pros, Contras y Mi Experiencia.
Tipos de Carillas Dentales
Dependiendo del estado inicial del diente y la encía, así cómo de las expectativas y necesidades del paciente se optará por un tipo de carilla concreto (porcelana, composite o microcarillas).
- Carillas de porcelana: Ofrecen una estética muy elevada y son resistentes a las tinciones.
- Carillas de composite: Se colocan directamente sobre el diente y son más fáciles de modificar.
- Microcarillas dentales: Son cerámicas ultrafinas que no requieren tallado previo.

Proceso Paso a Paso para la Colocación de Carillas de Composite
En general, podemos afirmar que el proceso de colocación de las carillas de composite es el más sencillo. Este tipo de carillas dentales son las más fáciles de colocar. Requieren de mínima preparación y es un tratamiento que, aunque no se puede revertir en su totalidad, sí es fácilmente modificable. Las carillas dentales de composite se colocan o se modelan directamente sobre el diente del paciente.
1. Estudio Inicial
Antes de poner las carillas de composite resulta fundamental realizar un estudio de la boca del paciente, con el objetivo de confirmar que este es apto para dicho tratamiento. A través de dicho estudio, los dentistas determinarán si el estado de salud oral de la persona es el adecuado. En algunos casos, será necesario llevar a cabo un procedimiento adicional antes de poner las carillas. Primero se ha de diagnosticar al paciente en la clínica, además de tomar fotografías y un escaneo digital de toda la dentadura y sonrisa.
2. Colocación de las Carillas
En la segunda cita se colocarán las carillas de composite. Inmediatamente antes de poner las carillas, el odontólogo limpia el diente y aplica sobre su cara externa un gel adhesivo, que facilitará la unión del composite al diente. Después de aplicar el composite, el odontólogo realiza los últimos retoques en las carillas para darles la forma y la apariencia final. Uno de los aspectos positivos de elegir este tratamiento es que en Smile Design Center by Joan Autrán se realiza en una única sesión.
Esto se debe, sobre todo, a dos motivos. En primer lugar, hay que tener en cuenta que con las carillas de composite no suele ser necesario tallar el diente. En segundo lugar, las carillas de composite se confeccionan en la propia clínica dental, directamente sobre la boca del paciente.
3. Mantenimiento
Eso sí, aunque este tipo de tratamiento no requiere de más visitas, con las carillas de composite sí que se considera necesario un mayor mantenimiento para garantizar la conservación del brillo y color adecuado.
Proceso Paso a Paso para la Colocación de Carillas de Porcelana
Normalmente, el proceso de colocación de las carillas de porcelana se lleva a cabo en tres citas. El estudio inicial que se lleva a cabo antes de colocar las carillas de porcelana es igual al realizado para las de composite.
1. Preparación del Diente
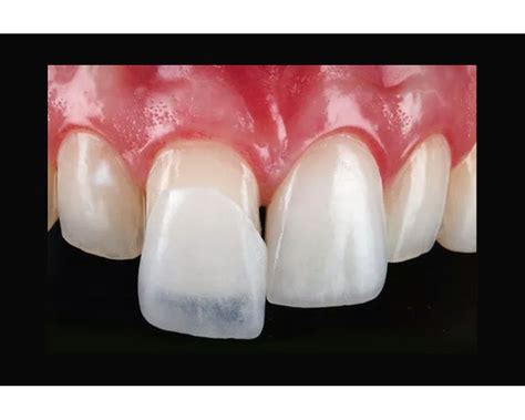
En la segunda cita se debe preparar el diente para la colocación de las carillas. Es necesario preparar el diente para conseguir una adhesión eficiente de la carilla sobre la parte frontal del mismo. Sin embargo, las técnicas actuales son mínimamente invasivas y requieren un tallado prácticamente imperceptible e incluso existen carillas sin tallado. De esta manera, la carilla podrá ajustarse correctamente a su superficie y tener un aspecto natural.
En el caso de las carillas cerámicas, apenas suavizamos la forma del diente, pulimos alguna esquina de esmalte que pueda estar dañada por traumatismo o bruxismo y facilitamos la inserción de las carillas. Una vez realizado el tallado, el dentista tomará una impresión o molde de los dientes. Debido a que, en este punto, la colocación de las carillas de porcelana puede demorarse dos o tres semanas, resulta necesario poner unas carillas provisionales al paciente.
2. Prueba y Cementación
Una vez que las carillas han sido fabricadas, el odontólogo citará al paciente para hacer una prueba en su boca y asegurarse de que encajan correctamente. Antes de poner las carillas definitivas, el odontólogo retirará las provisionales. Tras esto, aplica un cemento especial en la carilla y la coloca sobre el diente. Luego utiliza una lámpara de polimerización para endurecer los materiales de adhesión y garantizar la fijación de la carilla.
Dos semanas después de la cita de preparación, llega el gran día: cementamos las carillas. Normalmente en una sola cita, de una duración de entre 1 y 2 horas, cementamos las carillas con un adhesivo dental biocompatible. Es el momento más feliz del tratamiento.

3. Mantenimiento
Una vez termines tu tratamiento, programaremos una cita que se llama Mantenimiento. Normalmente se realiza a los 6 meses, y a partir de ahí cada 6 o 12 meses es lo ideal.
Protocolo Específico para la Colocación de Carillas Dentales
En la Clínica Dental Ferrus & Bratos de Madrid, contamos con un equipo de especialistas en estética dental avanzada que han desarrollado un protocolo específico para mejorar el proceso de colocación de carillas dentales y poder ofrecer unos resultados duraderos y de calidad en tan solo cuatro citas. Esta rigurosidad en el tratamiento nos ha permitido convertirnos en una clínica de referencia en Madrid en carillas de porcelana.
1. Evaluación Detallada
La colocación de las carillas estéticas comienza con una evaluación detallada por parte de nuestro equipo de odontólogos especializados en estética dental. El primer paso es realizar una prueba en boca con la férula de posicionamiento, acompañada de una evaluación digital avanzada. En esta fase inicial, tomamos fotografías detalladas de tu boca y realizamos un escáner intraoral con tecnología 3D.
Gracias a la tecnología de Diseño Digital de Sonrisa (DSD), podemos planificar el resultado estético final antes de comenzar el tratamiento. En este momento, podemos ajustar y modificar ese diseño de sonrisa. Por ello, realizamos un proceso de escucha activa con todos nuestros pacientes para poder ajustarnos a sus necesidades y expectativas. Revisamos tu salud bucal general.
2. Colocación con Guías Inteligentes
En tu segunda visita, procedemos a colocar tus carillas definitivas mediante unas guías inteligentes. Gracias al diseño con guías 3D, el procedimiento es mínimamente invasivo, lo que reduce cualquier posible molestia y asegura un acabado natural. El diseño 100 % digital no solo aporta precisión, sino que también minimiza errores.
El protocolo de trabajo que hemos desarrollado en nuestra clínica de Madrid nos permite diseñar casos de manera digital y ejecutarlos con total precisión. A través de unas guías inteligentes que nos permiten una preparación muy conservadora y aplicar técnicas mínimamente invasivas sin errores. El proceso de colocación y cementación es realmente sencillo y gracias a la guía inteligente, anteriormente mencionado, podemos llegar a colocar hasta 10 carillas en un solo paso. Las guías se fabrican utilizando lo último en tecnología de impresión 3D y materiales resistentes y biocompatibles.
Ventajas y Desventajas de las Carillas de Porcelana
Las carillas de porcelana son un tratamiento restaurador que ha probado su bondad después de muchos años de uso clínico, especialmente en el sector anterior por sus implicaciones estéticas, con porcentajes de éxito próximos al 95% a los 15 años.
Ventajas
- Técnica de dificultad media.
- Preparación dentaria muy conservadora.
- Estética muy elevada.
- Resistencia elevada a las fuerzas.
- Biocompatibilidad local y general.
- Resistencia al desgaste.
- Resistencia a la tinción.
- Resistencia al ataque químico.
- Radiopacidad.
- Costo aceptable.
Inconvenientes
- Técnica clínica más compleja que para las carillas de composite.
- Técnica de laboratorio compleja.
- Fragilidad relativa.
- Dificultad para la reparación.
- Técnica adhesiva compleja.
- Tratamiento irreversible.
- Imposibilidad de cambiar el color una vez cementada la carilla.
Consideraciones Adicionales
- Tallado Dental: En algunos casos, es necesario realizar un ligero tallado de la superficie externa de los dientes para asegurar que las carillas se adhieran de manera segura y estén alineadas correctamente.
- Anestesia: En los casos en los que realizamos carillas sin tallado, no se necesita anestesia.
- Férula de Descarga: Por este motivo, el mismo día que colocamos las carillas tomamos medidas para una férula de descarga, un dispositivo que previene los daños causados por este apretamiento de dientes nocturno y así proteger nuestras carillas.
Conclusión
El tiempo que tardan en ponerse las carillas dentales varía en función del material de fabricación. Por otro lado, las carillas de porcelana precisan, al menos, dos visitas después del estudio inicial.