Mantener una buena salud bucodental es esencial para una estética atractiva y para la salud general de nuestro organismo. Gracias a los avances tecnológicos, la odontología ha evolucionado enormemente, y contar con herramientas de diagnóstico avanzadas es vital para garantizar tratamientos eficaces. Una de estas herramientas es el TAC dental, una tecnología que ha revolucionado la forma en que abordamos la salud dental. En este artículo, profundizaremos sobre qué es un TAC dental, cómo se realiza correctamente y cuándo es recomendable su uso, destacando sus numerosas ventajas.

¿Qué es un TAC Dental?
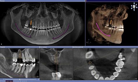
Un TAC dental, también conocido como Tomografía Axial Computarizada, es una técnica avanzada de imagenología que utiliza rayos X para obtener imágenes tridimensionales (3D) de los dientes, maxilares y estructuras circundantes. A diferencia de una ortopantomografía, la imagen es en 3D en vez de 2D, dando mayor información espacial, lo que nos da datos mucho más útiles a la hora de hacer un buen diagnóstico.
Gracias al TAC dental, tenemos una visión completa y precisa desde múltiples ángulos, permitiendo a los dentistas realizar estudios sobre la salud de los dientes, las encías y el hueso maxilar con la mayor exactitud posible. Esta exploración permite realizar tratamientos complejos, como la colocación de implantes dentales, la extracción de dientes impactados y la evaluación de patologías maxilofaciales.
Además, la precisión que aporta el TAC es muy útil para identificar problemas ocultos que no se pueden detectar con otros métodos de diagnóstico, mejorando así la efectividad y seguridad de los procedimientos odontológicos.
¿Cómo se hace un TAC dental correctamente?
Para realizar un TAC dental de forma correcta, es importante seguir una serie de pasos precisos que garantizan imágenes claras y diagnósticos precisos.
- Primero, el paciente debe quitarse cualquier objeto metálico, como joyas o dentaduras postizas, que pueda interferir con las imágenes.
- Durante el procedimiento, el paciente se sienta o se acuesta en una posición cómoda para mantenerse quieto mientras el escáner de TAC gira alrededor de la cabeza.
- El técnico especialista en radiología ajustará el dispositivo para asegurar que esté perfectamente alineado con la zona a examinar. Es esencial que el paciente permanezca inmóvil durante todo el proceso y, en algunos casos, contenga la respiración brevemente para evitar cualquier distorsión en las imágenes.
El proceso es rápido y no invasivo, generalmente dura entre 20 y 30 segundos. Siguiendo estos pasos, se consigue una visualización precisa y detallada, crucial para un diagnóstico y tratamiento efectivos.
Escáner 3D │ Revolución en tecnología dental
¿Cuándo es recomendable hacer un TAC dental?
El TAC dental es recomendable en distintas situaciones que requieren una evaluación más detallada de la estructura bucal. Esta técnica es realmente útil para:
- Planificar la colocación de implantes dentales, ya que proporciona una visión precisa del hueso maxilar y su densidad.
- Evaluar dientes impactados, quistes, tumores y fracturas óseas.
- Diagnosticar trastornos de la articulación temporomandibular (ATM).
- Planificar cirugías ortognáticas de mayor complejidad.
- Evaluar el daño óseo y diseñar un tratamiento adecuado en casos de enfermedades periodontales avanzadas.
En resumen, su uso está indicado siempre que sea necesaria una imagen tridimensional detallada para realizar un diagnóstico preciso y un tratamiento más eficaz.
Ventajas de hacer un TAC dental
El TAC dental ofrece una gran serie de beneficios que lo convierten en una herramienta indispensable en la odontología moderna. Su principal diferencia respecto a las radiografías convencionales es su capacidad para obtener imágenes en 3D, lo que permite contar con una visión más completa y detallada de la anatomía dental y ósea de una persona.

Usos del TAC dental en odontología:
- Colocación de implantes: El TAC es imprescindible antes de la colocación de implantes dentales, usándose durante la fase de estudio para observar y analizar las estructuras óseas del paciente.
- Regeneración de hueso: Permite observar la estructura ósea del paciente y valorar si dispone de suficiente cantidad de hueso para colocar un implante.
- Extracción de las muelas del juicio: Sirve para valorar el proceso de erupción de las muelas del juicio.
- Ortodoncia: Se utiliza para valorar la posición de dientes incluidos o supernumerarios, y cada vez más en la planificación de tratamientos de ortodoncia invisible y para valorar las posiciones reales de las raíces de los dientes.
- Periodoncia: El TAC permite visualizar en tres dimensiones por donde se sitúa el hueso, alrededor de los dientes. Por lo que permite diagnosticar problemas periodontales iniciales o avanzados. Muestra con gran precisión posibles defectos óseos.
- Odontología conservadora y endodoncia: La precisión del TAC nos permite detectar caries que no detectaríamos con radiografías convencionales, así como valorar la extensión real de estas.
Otros beneficios:
- Diagnósticos y tratamientos más precisos y predecibles: El hecho de tener una representación fiable de la boca ayuda a que el dentista haga un diagnóstico adecuado y completo.
- Bajo nivel de radiación: El TAC dental emite una radiación muy baja, siendo una prueba segura siempre y cuando se realice correctamente por profesionales cualificados.
- Detección temprana de problemas: Permite la detección de quistes, granulomas, tumores o fracturas ocultas que podrían pasar desapercibidos en radiografías convencionales.
¿Cuánta radiación se recibe con un TAC DENTAL?
La radiación se mide en microsieverts. Todos los seres vivos del planeta recibimos un mínimo de radiación equivalente a 6 microsieverts (radiación cósmica). El CBCT emite la misma radiación que dos ortopantomografías (radiografía de toda la boca).
La dosis de un estudio CBCT es al menos seis veces menor que la de una tomografía médica convencional. La emisión del haz es en forma de cono y la captura de la imagen dura entre 12-20 segundos. Solo se realiza una única rotación minimizando la dosis de radiación y el riesgo de repetición de tomas.
| Procedimiento Radiológico | Radiación (microsieverts) |
|---|---|
| Radiación cósmica | 6 |
| CBCT (TAC dental) | Equivalente a dos ortopantomografías |
TAC dental en implantología
El CBCT permite identificar la mejor vía para el acceso quirúrgico, reduciendo el riesgo de lesiones neurológicas y dentales. El TAC dental nos da la opción de colocar “virtualmente” los implantes gracias a los diferentes software que existen. Esto asegura que a la hora de la intervención el cirujano sepa con seguridad cuál es lugar más apropiado, facilitando que en intervenciones más complejas la tasa de éxito aumente.
¿Dónde se realiza el TAC dental?
El TAC dental se realiza en clínicas odontológicas especializadas y en centros de radiología. Recuerda que el procedimiento se deberá de llevar a cabo siempre de la mano de un profesional.
¿Es seguro el TAC dental?
Sí, el TAC dental es seguro. Las imágenes del TAC están disponibles casi de inmediato. No, el TAC dental es una técnica no invasiva y no causa dolor.
Alternativas al TAC dental
Las alternativas incluyen radiografías dentales convencionales, como las radiografías panorámicas y periapicales.