En la práctica odontológica moderna, la radiografía dental se ha convertido en una herramienta indispensable. Estas imágenes permiten a los odontólogos ver lo que a simple vista es imposible detectar, proporcionando una visión detallada de la estructura interna de los dientes, huesos y tejidos circundantes. Esto es crucial para el diagnóstico preciso de enfermedades y condiciones dentales, así como para la planificación de tratamientos efectivos.
Desde la detección temprana de caries hasta la evaluación de problemas periodontales y la planificación de tratamientos de ortodoncia, las radiografías son fundamentales para ofrecer una atención de calidad a los pacientes. En esta guía, exploraremos en detalle el fascinante mundo de la radiografía dental. Analizaremos los diferentes tipos de radiografías disponibles, explicando para qué se utiliza cada una y cómo contribuyen al diagnóstico y tratamiento de diversas condiciones dentales.
Las radiografías dentales son imágenes obtenidas mediante el uso de rayos X, que permiten a los odontólogos ver las estructuras internas de la boca, como los dientes, huesos maxilares y tejidos circundantes. Este método de diagnóstico es fundamental en la odontología dado que ayuda a identificar problemas que no son visibles durante un examen clínico regular.
La tecnología de rayos X funciona emitiendo una pequeña cantidad de radiación que atraviesa el cuerpo del paciente y es capturada en una película especial o, en el caso de las radiografías digitales, en un sensor electrónico. Las distintas estructuras del cuerpo absorben los rayos X en diferentes grados: los dientes y huesos absorben más radiación y aparecen más blancos en la imagen resultante, mientras que los tejidos blandos y las cavidades absorben menos radiación y aparecen más oscuros.
Las radiografías dentales son esenciales para detectar caries ocultas, identificar infecciones en las raíces, evaluar la pérdida ósea causada por la enfermedad periodontal, planear tratamientos de ortodoncia y detectar quistes y tumores. Al ofrecer una visión detallada de la estructura interna de la boca, permiten diagnósticos precisos y una planificación de tratamientos efectiva, asegurando una atención de alta calidad para los pacientes.
Normalmente, estas radiografías no generan ninguna dolencia o molestia. Sin embargo, en la mayoría de los casos, algunas personas pueden sentir náuseas o ganas de vomitar al momento de morder la película. En Clínica Ruiz Gopegui contamos con especialistas cualificados para realizar cualquier tipo de radiografías dentales, tanto intraorales como extraorales. Todos nuestros especialistas podrán responder todas tus dudas e inquietudes que pueda generarte este tema.
Tipos de radiografías dentales
Las radiografías dentales se clasifican en dos grandes grupos, intraorales y extraorales.
Radiografías intraorales
Las radiografías intraorales son aquellas en las que la película o el sensor se coloca dentro de la boca. Son las más comunes y detalladas, proporcionando una visión precisa de los dientes y las estructuras adyacentes.
Dentro de las radiografías intraorales, encontramos:
- Radiografías periapicales: Como se mencionó anteriormente, una radiografía periapical se utiliza para examinar todo el diente desde la corona hasta el tejido óseo que lo rodea.
- Radiografías interproximales o de aleta de mordida (bitewing): Permiten observar las coronas de los dientes superiores e inferiores en una misma imagen, enfocándose en las áreas de contacto entre dientes.
- Radiografía Oclusal: Muestran una vista amplia del maxilar o la mandíbula, lo que facilita la observación de dientes en desarrollo, fracturas o cuerpos extraños.
Las radiografías intraorales con película son una modalidad de diagnóstico en la que se utiliza una película sensible a los rayos X para obtener imágenes de los dientes, las raíces dentales y los tejidos óseos circundantes. En este procedimiento, la película se coloca directamente dentro de la cavidad oral, generalmente entre los dientes y las encías, mientras que una fuente de rayos X emite radiación sobre la zona a explorar. Después de cada exposición, la película debe ser procesada (revelada) en un proceso químico que permite que la imagen latente se convierta en una imagen visible. Una vez revelada, la película se convierte en un registro único y definitivo de esa radiografía específica. Este tipo de radiografías son de uso unico.
En esta modalidad, se utiliza tecnología digital para capturar y procesar imágenes. Las placas de fósforo están hechas de un material sensible a la radiación, similar a la película tradicional, pero con la ventaja de que pueden almacenar temporalmente la información capturada por los rayos X. Durante el procedimiento, la placa se coloca dentro de la cavidad oral, de la misma manera que una película convencional, pero en lugar de ser revelada químicamente, la imagen es leída mediante un escáner especial. Este escáner digitaliza la imagen almacenada en la placa y la transfiere a un sistema informático, donde puede ser visualizada, almacenada y procesada para su diagnóstico y análisis posterior.
Los sensores digitales de radiografía directa (DR) son dispositivos electrónicos que capturan imágenes de rayos X y las convierten directamente en señales digitales. A diferencia de los sistemas convencionales (como las películas tradicionales o las placas de fósforo), estos sensores no requieren ningún tipo de revelado físico ni escaneo posterior.
Los tamaños de las radiografías intraorales son prácticamente los mismos para las películas tradicionales, sensores digitales y placas de fósforo, la numeración de los dispositivos varía ligeramente dependiendo de la tecnología. Las películas tradicionales y las placas de fósforo comparten una numeración similar, mientras que los sensores digitales a menudo tienen una numeración diferente, pero en general, los tamaños corresponden a las mismas categorías de diagnóstico, como dientes anteriores, dientes posteriores y arcadas grandes.
Películas tradicionales y Placas de fosforo.
- Tamaño 0: Diseñado para niños pequeños.
- Tamaño 1: Adecuado para niños mayores y algunos adultos con bocas pequeñas.
- Tamaño 3: Más largo que el tamaño 2.
Sensor Tipo
- Sensor Tipo 0: Este tamaño es el más pequeño y se utiliza principalmente para pacientes pediátricos debido a sus bocas más pequeñas. También es útil en áreas muy reducidas donde los sensores de mayor tamaño no caben cómodamente.
- Sensor Tipo 1: Este tamaño se utiliza para capturar imágenes de dientes anteriores en adultos. Es una opción intermedia que proporciona un buen equilibrio entre comodidad y cobertura de la zona a radiografiar.
- Sensor Tipo 2: Este es el tamaño más comúnmente utilizado tanto para niños mayores como para adultos. Es el tamaño estándar y cubre la mayoría de las necesidades de diagnóstico intraoral, incluyendo periapicales y bitewings.
- Sensor Tipo 3: Este tamaño no es tan comúnmente utilizado, pero es ideal para capturas bitewing extendidas. Permite obtener más información de áreas más grandes en una sola imagen, lo que puede ser práctico para ciertos diagnósticos periodontales y detección de caries interproximales.
Alta precisión y detalle: Proporcionan imágenes de alta resolución, lo que permite observar detalles minuciosos de los dientes, las raíces y las estructuras óseas circundantes.
¿Qué es Radiolucido y Radiopaco en Una Radiografía dental? - Radiología Dental- Dx Radiográfico
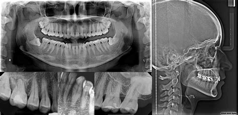
Radiografías extraorales
Las radiografías extraorales son técnicas de diagnóstico por imagen en odontología en las que el sensor o película radiográfica se coloca fuera de la boca del paciente. Es fundamental para los análisis cefalométricos que determinan la posición y alineación de los dientes, así como la relación entre los maxilares y el cráneo.
¿Sabías que las radiografías dentales modernas, especialmente las digitales, emiten una cantidad de radiación extremadamente baja?
Equipamiento y materiales necesarios
Para obtener radiografías de calidad, a parte de las películas o sensores, es fundamental contar con el equipamiento adecuado y los materiales complementarios. A continuación, se describen los elementos clave que garantizan una toma de imágenes radiográficas eficaz, segura y precisa.
- Máquina de Rayos X Dental: Es el equipo principal que emite los rayos X necesarios para crear las imágenes.
- Delantales de Plomo: Son utilizados por el paciente para proteger las áreas no irradiadas, como la zona abdominal, del impacto de los rayos X. Están hechos de plomo o materiales equivalentes que bloquean eficazmente la radiación.
- Protectores de Tiroides: Son dispositivos de protección que se colocan alrededor del cuello del paciente para proteger la tiroides, una glándula particularmente sensible a la radiación.
- Posicionadores de radiografía: Son dispositivos utilizados para colocar y mantener la película o el sensor en la posición correcta dentro de la boca del paciente. Los posicionadores ayudan a garantizar que las imágenes sean precisas y reproducibles, reduciendo la necesidad de repetir las radiografías debido a errores de posicionamiento.
- Procesador de imágenes: En el caso de las radiografías digitales, un procesador de imágenes es necesario para visualizar y analizar las radiografías en una computadora.
- Revelado (en sistemas analógicos): Liquido revelador para el proceso de radiografías analógicas.
Técnicas radiográficas intraorales
Existen principalmente dos técnicas para la toma de radiografías intraorales:
- Técnica del paralelismo: En esta técnica, el receptor se coloca paralelo al eje longitudinal del diente y el rayo central se dirige perpendicularmente al receptor y al diente. Paralelismo: esta técnica se enfoca en lograr la proyección con la mínima distorsión geométrica posible.
- Técnica de la bisectriz: En esta técnica, el receptor de la imagen se coloca lo más cerca posible del diente, formando un ángulo con el eje del diente. El rayo central se dirige perpendicularmente a la línea bisectriz que divide el ángulo formado entre el diente y el receptor. Bisección: este tipo de técnica es muy utilizada, ya que es muy fácil de realizar en comparación con la técnica del paralelismo. Se debe de colocar la película a lo largo de la superficie del diente. El especialista debe de imaginar un plano que divida por la mitad en ángulo anteriormente mencionado.
Además, se pueden realizar ajustes para mejorar la visualización de ciertas estructuras:
- Alteración de la angulación vertical: se puede obtener una visualización más certera de raíces linguales y sus ápices aumentando la angulación vertical.
- Identificación de raíces múltiples.
- Identificación de conductos múltiples.
- Separación de estructuras anatómicas y radiolucencias periapicales.
- Identificación de curvaturas apicales. Las curvaturas linguales y vestibulares no son visibles en las radiografías orto radiales.
- Determinación de conductos calcificados.
Paso a paso para una radiografía periapical
La radiografía periapical es una técnica que nos ayuda a la captura de imágenes detalladas de un diente específico y su raíz, incluyendo el hueso que hay a su alrededor.
- Preparación del paciente: El paciente sentado o tumbado en el sillón dental, depende la pieza que se vaya a realizar la radiografía. Colocamos un protector de plomo sobre el pecho y cuello para proteger de la radiación.
- Colocación del sensor o película: Inserta el receptor (película o sensor digital) en la boca del paciente. Coloca la película o el sensor digital en la boca del paciente, según el tipo de aparato que se tenga en la clínica dental, alineándolo detrás del diente que deseas observar. Importante que se mantenga la película o el sensor en la posición correcta para que se vea lo que necesitamos.
- Ajuste del cabezal de rayos X: Se erigirá en el aparato según el paciente , hombre, mujer peso aproximado y si se va a a realizar la radiografía en la parte superior (paladar) o en el maxilar inferior (zona de la lengua). Coloca el cabezal de rayos X en el ángulo adecuado, perpendicular al diente y al sensor. Ajusta el cabezal para que esté alineado con el área a capturar y asegúrate de que esté en la posición correcta.
- Captura de la imagen: El paciente durante unos segundos deberá de permanezca quieto y con la boca abierta. Activa el equipo de rayos ( con un pulsador se activa el aparato) X y realiza la exposición.
- Revisión de la imagen: Se retira la película o el sensor de la boca del paciente y revisa la imagen para asegurarte de que es clara y útil. Si es necesario, repite el procedimiento ajustando el ángulo para mejorar la calidad.
- Procesamiento de la imagen: Si usas una película radiográfica tradicional, deberás revelarla utilizando un procesador químico. En el caso de utilizar un sensor digital, la imagen aparecerá instantáneamente en la pantalla del ordenador conectado.
Además de para el inicio del tratamiento también se pueden realizar dichas radiografías para asegurarnos de que el trabajo realizado haya sido correcto, por ejemplo en una endodoncia para ver que el conducto este sellado de una forma correcta.
Interpretación de radiografías
La interpretación de las radiografías dentales es una habilidad clave para los profesionales de la odontología. Existen varios factores que pueden afectar la interpretación de las radiografías dentales. Uno de estos factores son las variaciones anatómicas presentes en cada paciente, que pueden dificultar la interpretación de las imágenes. Otro factor clave es la calidad de la imagen en sí. Una radiografía de baja calidad puede dificultar la interpretación y dar lugar a diagnósticos erróneos. Por último, la experiencia del profesional también influye en la interpretación de las radiografías dentales. La habilidad para interpretar correctamente las imágenes se desarrolla con la experiencia y la formación continua.
Al interpretar una radiografía dental, es importante buscar:
- Las caries aparecen como áreas radiolúcidas (oscuras) en la corona del diente.
- Las lesiones periapicales, como los abscesos, se presentan como áreas radiolúcidas alrededor del ápice de la raíz.
- Examina el hueso alveolar en busca de signos de pérdida ósea o enfermedad periodontal.
- El espacio periodontal debe ser uniforme alrededor de la raíz del diente.
- Observa la forma y longitud de la raíz.
- Si es posible, compara la radiografía actual con imágenes anteriores del mismo diente y área.
Procesamiento de radiografías
El procesamiento de las radiografías es un paso clave para obtener imágenes de calidad. Hay dos tipos de procesamiento: manual y automático. Para evitar errores en el procesamiento de las radiografías, es fundamental seguir las pautas de exposición y desarrollo, así como mantener un control de calidad adecuado.
Tomografía computarizada (TC)
La tomografía computarizada (TC) permite obtener imágenes tridimensionales de alta resolución de las estructuras dentales y maxilofaciales.
🌟 ¿Sabías que el TAC escáner en nuestra clínica es una herramienta fundamental para el diagnóstico y planificación de los tratamientos dentales?
Aquí te dejamos 15 ventajas de contar con esta tecnología avanzada:
- Imágenes detalladas en 3D de tu boca y maxilares.
- Diagnósticos más precisos y específicos.
- Detección temprana de problemas dentales.
- Mayor seguridad en procedimientos complejos.
- Minimiza errores en la colocación de implantes.
- Facilita la planificación de cirugías guiadas.
- Reduce el tiempo de tratamiento.
- Proporciona una visión completa de hueso y tejidos.
- Ayuda a evaluar la densidad ósea para implantes.
- Ideal para planificación de ortodoncia.
- Detecta lesiones o anomalías en el hueso.
- Reduce la necesidad de múltiples radiografías.
- Mayor comodidad y rapidez para el paciente.
- Menos exposición a radiación comparado con métodos tradicionales.
- Permite al dentista hacer una evaluación completa de tus necesidades.
✨ Porque en nuestra clínica, cada imagen cuenta para mejorar tu sonrisa. 🦷Reserva tu cita aquí y descubre cómo esta tecnología nos ayuda a darte el mejor tratamiento posible.
Nuestro precio en scaner es competitivo y si prefieres solo realizar el scaner con nosotros pide cita online y te lo enviaremos a tu correo.#DiaDeLasRadiografias #ClinicaDental #TACScanner #ImplantesDentales #SaludBucodental

Paso a paso para un escáner bucal
El escáner bucal se utiliza para capturar imágenes en 3D de la boca, útiles para tratamientos como implantes, ortodoncia, y prótesis.
- Preparación del equipo: Asegúrate de que el escáner esté limpio y configurado correctamente. Ajusta la configuración del software según el tipo de escaneo que vas a realizar.
- Explicación al paciente: Informa al paciente sobre el procedimiento tendrá que apoyar la mandíbula y morder en el centro para lograr que este inmóvil y centrado.
- Inicio del escaneo: Introduce el escáner en la boca del paciente y comienza a moverlo lentamente por las superficies dentales.
No tengas miedo a realizarte radiografías dentales: la exposición a radiación es mínima y son seguras para la mayoría de las personas. Si estás embarazada, es importante informarlo para tomar precauciones. Conoce cómo estas imágenes ayudan a tu dentista a planificar tratamientos efectivos y precisos.
En un entorno bien organizado, con equipos modernos y personal capacitado, el proceso puede ser aún más eficiente. Primero, mantente actualizado con las mejores prácticas y avances tecnológicos en radiografía dental. Utiliza equipos modernos y bien mantenidos para asegurar imágenes claras y precisas. Comunicarte de manera efectiva con el paciente también es crucial. Explica el procedimiento de manera clara y asegúrate de que el paciente esté cómodo y relajado. Realizar pruebas de posicionamiento con modelos antes de tomar la radiografía real puede minimizar errores. Finalmente, monitorea la exposición a la radiación y mantenla lo más baja posible sin comprometer la calidad de la imagen.
Avances en radiología dental
La radiología dental ha avanzado significativamente en las últimas décadas, gracias a la adopción de tecnologías innovadoras que han transformado la obtención, procesamiento y análisis de imágenes. Destacan los sistemas digitales, que permiten obtener imágenes de alta resolución al instante, y las técnicas tridimensionales como la tomografía computarizada de haz cónico, que brindan una visión completa de las estructuras orales y maxilofaciales. La integración de software especializado y herramientas de inteligencia artificial ha facilitado la detección automática de patologías y una planificación más precisa de tratamientos complejos, como implantes y ortodoncia.
Una radiografía es una herramienta de diagnóstico por imagen que utiliza rayos X para capturar imágenes del interior del cuerpo, de zonas duras sobre todo hueso, permitiendo observar estructuras, dientes y tejidos.En odontología, las radiografías son esenciales para evaluar la salud bucodental, ya que proporcionan información detallada que no es visible a simple vista.Poder ver la anatomía y estructura nos ayuda a realizar el trabajo de una forma eficiente.Aquí te explico algunos de los beneficios y usos específicos de las radiografías en el contexto dental:
- Evaluar la estructura ósea: Muestran la densidad y el estado del hueso alrededor de los dientes, es crucial para procedimientos como los implantes dentales.
- Diagnosticar enfermedades periodontales: Ayudan a identificar la pérdida ósea y la extensión de enfermedades de las encías.
- Planificación de tratamientos: Los scanner nos ayudan a planificar tratamientos como implantes, extracciones de muelas del juicio y ortodoncia, permitiendo al dentista visualizar la anatomía de los maxilares y estructuras adyacentes.
- Detectar quistes y tumores: Nos revelan la presencia de formaciones anormales, como quistes o tumores, que podrían pasar desapercibidas en un examen visual.
- Evaluar el desarrollo dental en niños: Ayudan a monitorizar el crecimiento y desarrollo de los dientes permanentes y verificar que no haya problemas estructurales.
Las radiografías son rápidas, seguras y suelen implicar una dosis de radiación muy baja, por lo que se consideran un recurso seguro en la mayoría de las personas.En la Clínica dental del dentista Isaac Díaz en Madrid celebramos y usamos el avance en tecnología que hace posible cuidar tu salud bucodental de manera precisa y segura.