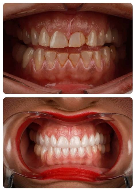
Una funda dental, coloquialmente conocida como corona dental artificial, se coloca sobre un diente natural previamente tallado. Estas fundas ayudan a recuperar la función y/o estética perdida de la corona natural del diente. Por lo tanto, se recurre a una corona artificial cuando la integridad del diente está comprometida y se necesita fortalecerlo y/o embellecerlo.
El proceso de colocación de una corona dental es minucioso y extenso, compuesto por diversas pruebas para tomar las medidas precisas de la boca del paciente, del diente que recibirá la corona y de la mordida.

Proceso paso a paso para la colocación de una corona dental
La colocación de coronas dentales generalmente se realiza en varias fases, usualmente en dos visitas a la clínica:
1. Evaluación inicial
En esta primera cita, el odontólogo examina detenidamente el diente afectado y su entorno, confirmando si la corona dental es el tratamiento adecuado y si el diente está en condiciones de recibirla. Muchos pacientes preguntan si es necesaria una endodoncia previa. No siempre lo es, solo en caso de que el nervio del diente esté dañado o haya infección.

Si el diente lo requiere (por ejemplo, está muy destruido o con el nervio afectado), primero se realiza una endodoncia (tratamiento de conducto) y, tras asegurarse de que esté libre de infección, se continúa con el plan de la corona.
En este diagnóstico inicial también se decide el material de la corona más adecuado según el diente (no es lo mismo un incisivo que un molar), las preferencias estéticas y el presupuesto del paciente. Se explican las opciones (porcelana, zirconio, etc.) para que juntos tomen la mejor decisión.
2. Tallado dental
Este paso suele realizarse en la primera visita de tratamiento. Antes de empezar, siempre se aplica anestesia local para que no se sienta dolor. Cuando la zona está bien adormecida, se prepara el diente: se elimina cualquier caries restante, se retiran empastes antiguos defectuosos y se reduce el tamaño del diente alrededor y en la parte superior (esto es el tallado).
Se talla lo mínimo indispensable para hacer hueco a la funda, dando forma de manera que quede un pilar firme y ligeramente cónico. Se comprueba que la forma y tamaño del muñón dental sean adecuados y se pule la superficie para que esté lisa y facilite la adhesión del cemento de la corona más adelante.
Durante todo este proceso el paciente estará anestesiado, por lo que no sentirá dolor, solo quizás presión o vibración de la fresa. Si en algún momento siente molestia, se detiene y aplica más anestesia.
3. Toma de impresiones
Con el diente ya tallado, se toman las impresiones. Este paso puede hacerse de dos maneras: la tradicional, usando una cubeta con una silicona o pasta blanda, o mediante escáner intraoral digital.
Si se usa el método tradicional, se coloca una cubeta con material de impresión sobre el diente y se pide al paciente que muerda durante unos segundos hasta que el material endurezca y copie la forma de sus dientes. Si se cuenta con tecnología digital, se pasa un escáner intraoral, una pequeña camarita, por la boca del paciente. Este escáner captura miles de fotografías y crea una imagen 3D digital de sus dientes.
El resultado, ya sea un molde físico o un archivo digital, se envía al laboratorio dental, donde los técnicos protesistas fabricarán la corona personalizada. Este proceso de laboratorio suele tomar unos pocos días hasta un par de semanas, dependiendo del material elegido y la carga de trabajo del laboratorio.
4. Colocación de una corona temporal
Al terminar la impresión en esa primera visita, se coloca una corona temporal de inmediato. ¿Por qué es necesaria? Porque el diente tallado ha perdido su capa externa de esmalte y dentina, pudiendo quedar sensible; además, estéticamente puede verse feo si es un diente anterior.
Estas coronas temporales suelen estar hechas de resina acrílica o composite, materiales plásticos más blandos que la porcelana. Se fijan con un cemento provisional, que es un adhesivo más débil: esto facilita retirarla después sin dañar nada.
5. Cementado definitivo
En la segunda visita, se retira con cuidado la corona temporal y se prueba la corona definitiva sobre el diente. Se verifica el ajuste, la oclusión (mordida), el color y la forma.
Cuando el odontólogo y el paciente están conformes con el ajuste y la estética, se procede al cementado definitivo. Se limpia y seca bien el diente, y se prepara la superficie con un adhesivo especial si el procedimiento lo requiere. Se aplica entonces el cemento dental definitivo, que es un tipo de «pegamento» médico muy fuerte.
Antes de que el cemento esté completamente duro, se retira con instrumental cualquier exceso alrededor de la corona, sobre todo cerca de la encía. Finalmente, se pule la corona y se verifica la mordida por última vez. ¡Listo! La corona queda fija en el diente.
En resumen: el procedimiento completo de poner una corona dental abarca diagnóstico, preparación, impresión, provisional y cementado final. En la práctica se resume en dos visitas breves: una para preparar el diente y tomar registros, y otra para colocar la corona definitiva.

Materiales de las coronas dentales
¿Cuál Es El Mejor 𝐌𝐚𝐭𝐞𝐫𝐢𝐚𝐥 En 𝐂𝐨𝐫𝐨𝐧𝐚𝐬 𝐃𝐞𝐧𝐭𝐚𝐥𝐞𝐬? La Elección Acertada 𝐙𝐢𝐫𝐜𝐨𝐧𝐢𝐚 vs 𝐌𝐞𝐭𝐚𝐥-𝐏𝐨𝐫𝐜𝐞𝐥𝐚𝐧𝐚
No todas las coronas dentales son iguales; el material con el que están hechas influye en su aspecto, durabilidad y precio.
- Coronas de porcelana: Imitan de forma excelente el aspecto de un diente natural. Son la opción preferida para dientes frontales o zonas estéticas visibles. Sin embargo, la porcelana es algo más frágil que otros materiales ante fuerzas muy grandes.
- Coronas de zirconio: Destacan por ser extremadamente resistentes y duraderas. En cuanto a la estética, el zirconio moderno puede ser altamente estético también. El precio suele ser elevado.
- Coronas metal-cerámicas: Constan de un núcleo interno metálico recubierto por porcelana dental en la parte externa visible. Son muy fuertes y duraderas y suelen costar algo menos que las de cerámica pura o zirconio. Con el tiempo, si la encía se retrae un poco, puede aparecer una fina línea oscura en el borde de la corona.
- Coronas de resina o acrílico: Se emplean sobre todo de forma provisional. La principal ventaja es que son más económicas que las de cerámica o metal. No son muy duraderas y tienden a pigmentarse y oscurecerse con el tiempo.
- Coronas metálicas: Están fabricados con oro, níquel o platino. Son resistentes al desgaste y duraderos, pero no estéticos. Se suelen usar en dientes que no son muy visibles.
Cada material tiene indicaciones específicas. El odontólogo recomendará el material más adecuado según el caso del paciente.
Cuidados y mantenimiento de las coronas dentales
Una vez colocada la corona, es crucial seguir una serie de cuidados para asegurar su durabilidad y el bienestar de la salud bucal:
- Higiene oral rigurosa: Cepillar los dientes al menos dos veces al día con pasta fluorada, prestando atención especial a la zona de la corona. Usar hilo dental o cepillos interdentales diariamente.
- Cuidado al masticar los primeros días: Esperar a que pase completamente el efecto de la anestesia antes de comer. Al principio, probar alimentos blandos y ve introduciendo tu dieta normal gradualmente.
- Proteger la corona si aprietas los dientes: Si sufres bruxismo, coméntalo con tu dentista. Es posible que te indiquen usar una férula nocturna (protector bucal) para evitar ejercer demasiada presión sobre la corona mientras duermes.
- Evitar hábitos perjudiciales: No uses tus dientes (ni tu nueva corona) para abrir paquetes, morder bolígrafos, destapar botellas ni nada que no sea comida.
- Observar y acudir a tus revisiones: En días posteriores, fíjate si notas algo inusual: ¿la mordida sigue rara?, ¿sientes el diente alto o dolor al morder?, ¿hay sensibilidad prolongada al frío/calor?
Con estos cuidados, la corona dental se mantendrá en óptimas condiciones.
Duración de una corona dental
La duración de una corona dental depende de varios factores, pero en términos generales suele ser de entre 10 y 15 años. Por supuesto, muchas coronas bien cuidadas pueden durar bastante más.
¿Por qué algunas coronas duran más que otras?
- La ubicación y función.
- Los hábitos e higiene del paciente.
- La calidad de la elaboración.
Aunque las coronas dentales son muy duraderas, ninguna es eterna. Con el paso de los años, los materiales pueden sufrir desgaste natural, el cemento de fijación puede debilitarse ligeramente, o las encías y hueso pueden cambiar.
