Para las personas sin dientes, también conocidas como pacientes edéntulos, la implantología representa una solución duradera y altamente eficaz. Este procedimiento no solo mejora la estética facial, sino que restaura la funcionalidad masticatoria y la calidad de vida de manera significativa. En este artículo, exploraremos cómo los implantes dentales pueden cambiar la vida de quienes padecen edentulismo, brindándoles una opción fija y permanente frente a las limitaciones de las prótesis removibles tradicionales.

¿Qué es la implantología y cómo beneficia a personas sin dientes?
La implantología es una rama de la odontología que se enfoca en la colocación de implantes dentales para reemplazar dientes perdidos. Para las personas sin dientes, también conocidas como pacientes edéntulos, la implantología ofrece una solución duradera y funcional. Los implantes dentales consisten en raíces artificiales que se insertan en el hueso maxilar o mandibular, proporcionando una base sólida para prótesis dentales fijas, como coronas o puentes, mejorando significativamente la función masticatoria y la estética facial.
Implantes Dentales: La Solución Definitiva para Dientes Perdidos
Causas Subyacentes del Edentulismo
El hecho de perder todas las piezas dentales, puede tener un origen multifactorial, ya que existen diversas causas subyacentes que pueden llevar a la pérdida de todos los dientes. A continuación, se explican las principales causas de edentulismo:
- Enfermedades periodontales: Las enfermedades de las encías, como la periodontitis, son una causa frecuente de pérdida dental. Esta patología implica la inflamación crónica de los tejidos que rodean y sostienen los dientes, lo que eventualmente provoca la destrucción del hueso alveolar que sostiene las piezas dentales. Sin tratamiento adecuado, la periodontitis avanzada puede conducir a la movilidad y pérdida de los dientes, lo que, en casos graves, resulta en edentulismo.
- Caries avanzadas: Las caries no tratadas pueden progresar hasta destruir una parte significativa de la estructura dental. También puede causarla una caries tan grave que no sea posible salvar el diente con una endodoncia. Cuando la caries avanza hacia la raíz y afecta el tejido circundante, es posible que el diente deba ser extraído debido a una infección o destrucción severa. La acumulación de múltiples caries no tratadas a lo largo del tiempo puede resultar en edentulismo total.
- Traumatismos: Los accidentes o lesiones graves, como caídas, golpes o accidentes automovilísticos, pueden dañar severamente los dientes y las estructuras de soporte. En situaciones donde el traumatismo afecta varios dientes y no es posible su restauración, puede ser necesario extraerlos, lo que en algunos casos extremos puede causar edentulismo.
- Factores genéticos: Algunos individuos pueden tener predisposición genética a desarrollar problemas dentales, como el desarrollo insuficiente de los dientes o la falta congénita de piezas dentales (agenesia dental). Esta predisposición puede combinarse con otros factores, como enfermedades orales, para aumentar el riesgo de perder todos los dientes. La agenesia dental es una alteración congénita. Es decir, que está presente desde el nacimiento de la persona. La agenesia dental tiene un fuerte componente genético. Por un lado, puede ser hereditaria y pasar de padres a hijos. Por otro lado, hay numerosos síndromes genéticos asociados a la agenesia dental.
- Enfermedades sistémicas: Ciertas enfermedades sistémicas, como la diabetes, pueden predisponer al paciente a infecciones orales crónicas y enfermedades de las encías. Las condiciones médicas que afectan el sistema inmunológico también pueden agravar los problemas dentales, facilitando la progresión hacia la pérdida total de los dientes si no se controla adecuadamente.
- Higiene dental deficiente: Una falta prolongada de cuidados dentales, como la mala higiene oral y la ausencia de visitas regulares al odontólogo, puede llevar a la acumulación de placa y sarro, caries, y enfermedades periodontales. Este deterioro progresivo eventualmente puede causar la pérdida de múltiples dientes, llegando al edentulismo.
El desarrollo de los dientes es un proceso complejo que tiene lugar durante las primeras etapas de la vida y que puede verse afectado por diversos factores. Ciertos factores ambientales que tienen lugar durante el desarrollo de la persona (embarazo) pueden causar agenesia dental. Por ejemplo: la exposición a toxinas, el uso de determinados medicamentos, la aplicación de radioterapia o la presencia de infecciones durante el primer trimestre (como la tuberculosis o la rubéola).

Consecuencias del Edentulismo
El edentulismo no solo afecta la función masticatoria y la estética facial, sino que también tiene un impacto negativo en la calidad de vida del paciente, afectando su capacidad para hablar, comer y socializar adecuadamente. Una persona con ausencias dentales no puede masticar bien los alimentos, por lo que debe limitarse a alimentos blandos, y la incomodidad que ello genera. Además, con el deterioro de su función masticatoria, se expone a todo un abanico de problemas digestivos y nutricionales. Pero, hoy día, las consecuencias son sobre todo a nivel psicológico.
Además, la ausencia de dientes provoca una acelerada reabsorción ósea, lo que puede alterar la estructura facial del paciente, causando una apariencia hundida o envejecida. Cuando se pierden o dañan varias piezas dentales del maxilar superior y no se acude a la consulta del odontólogo para su reposición o restauración, puede producirse lo que se conoce como síndrome de Kelly, en el que se produce la reabsorción del maxilar superior causando una rotación de la mandíbula que siempre intenta mantener la posición en relación al maxilar superior.
Por estas razones, es crucial tratar el edentulismo de manera temprana y optar por soluciones permanentes como los implantes dentales para mejorar tanto la funcionalidad como la calidad de vida de los pacientes.
Tipos de implantes dentales para personas sin dientes
Las ausencias dentales solían tratarse con prótesis y puentes dentales removibles (las dentaduras postizas de toda lo vida), pero estas soluciones tienen claras limitaciones. El mejor tratamiento para las ausencias son los implantes dentales. Con un implante dental que el paciente note en ningún momento una diferencia con un diente natural.
- Implantes convencionales: Los implantes convencionales son ideales para pacientes con suficiente densidad ósea en la mandíbula o el maxilar. En casos de edentulismo total, se pueden colocar múltiples implantes que sirvan de soporte para prótesis completas. Este enfoque suele ser más adecuado para pacientes con buena salud ósea y sin necesidad de reconstrucciones óseas significativas.
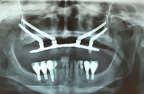
- Implantes All-on-4: Este sistema utiliza cuatro implantes estratégicamente colocados en cada arco dental (superior o inferior) para soportar una prótesis fija completa. Es una opción muy popular para personas sin dientes, ya que permite rehabilitar todo el arco dental con una menor cantidad de implantes, reduciendo el tiempo de tratamiento y el coste.
- Implantes zigomáticos: Los implantes zigomáticos son una solución avanzada para pacientes con pérdida severa de hueso en el maxilar superior. Estos implantes se anclan en el hueso cigomático (pómulo), ofreciendo una alternativa a los injertos óseos. Son una opción efectiva para personas sin dientes que no pueden recibir implantes convencionales debido a la falta de hueso.

Proceso de colocación de implantes en pacientes sin dientes
- Evaluación inicial y diagnóstico: El primer paso es una evaluación detallada del paciente, que incluye una revisión de su historial médico, un examen clínico y pruebas radiográficas, como tomografías computarizadas (CBCT), para evaluar la cantidad y calidad del hueso disponible.
- Planificación quirúrgica: Una vez que se determina el estado del hueso y las características específicas del paciente, el cirujano implantólogo planifica la ubicación de los implantes. Esta fase es crucial para garantizar que los implantes se coloquen en las posiciones más adecuadas para soportar la prótesis.
- Procedimiento de colocación de los implantes: Durante la cirugía, los implantes se insertan en el hueso maxilar o mandibular bajo anestesia local o sedación. Dependiendo del tipo de implante y la condición del paciente, la colocación de una prótesis provisional puede realizarse el mismo día o después de un periodo de osteointegración, que suele durar entre 3 a 6 meses.
Ventajas de la implantología en personas completamente edéntulas
La implantología dental ofrece numerosas ventajas para las personas sin dientes, proporcionando una solución duradera y funcional que supera significativamente las opciones tradicionales como las prótesis removibles. Los implantes dentales no solo restauran la capacidad de masticar y hablar correctamente, sino que también tienen beneficios estéticos y psicológicos que mejoran la calidad de vida del paciente. A continuación, se amplían los principales beneficios de los implantes dentales:
- Restauración de la funcionalidad masticatoria: Uno de los mayores beneficios de los implantes dentales es la restauración completa de la capacidad masticatoria. Las personas sin dientes o con prótesis removibles suelen experimentar dificultades para masticar alimentos duros o fibrosos, lo que limita su dieta. Con los implantes dentales, los pacientes pueden recuperar hasta el 90% de la fuerza masticatoria que tendrían con dientes naturales. Esto les permite disfrutar de una dieta más variada y equilibrada, incluyendo alimentos saludables como frutas, verduras, nueces y carnes, lo que mejora su nutrición y bienestar general.
- Mejora en la apariencia facial: La pérdida de dientes no solo afecta la funcionalidad, sino que también tiene un impacto negativo en la apariencia facial. La ausencia de dientes provoca una rápida reabsorción del hueso maxilar o mandibular, ya que la falta de estimulación mecánica de las raíces naturales o implantes acelera el proceso de atrofia ósea. Este fenómeno provoca una pérdida de volumen en los tejidos faciales, lo que puede dar lugar a un aspecto envejecido, con mejillas hundidas y arrugas pronunciadas alrededor de la boca. Los implantes dentales actúan como raíces artificiales y se integran con el hueso, evitando su reabsorción y preservando la estructura facial. Al mantener el volumen óseo, los implantes previenen el colapso facial y contribuyen a una apariencia más juvenil y natural. Además, la prótesis dental fija sobre implantes puede ser diseñada para restaurar la armonía estética de la sonrisa, con un ajuste preciso a las características faciales del paciente.
- Mayor estabilidad y comodidad: En comparación con las prótesis removibles tradicionales, los implantes dentales ofrecen una mayor estabilidad y comodidad. Las dentaduras removibles, aunque funcionales, pueden deslizarse o moverse durante la masticación o el habla, lo que genera incomodidad y dificulta el uso cotidiano. Además, con el tiempo, las prótesis removibles tienden a aflojarse debido a la reabsorción ósea, lo que requiere ajustes periódicos. Los implantes, al estar anclados directamente en el hueso, ofrecen una solución fija que no se mueve ni causa irritación en las encías. Esta estabilidad mejora significativamente la calidad de vida del paciente, permitiéndole comer, hablar y sonreír con confianza. Los implantes eliminan también la necesidad de adhesivos para prótesis, y al no tener que retirarse para limpiarse, facilitan una rutina de higiene oral más sencilla y natural.
- Aumento de la confianza y bienestar psicológico: La pérdida total de los dientes tiene un impacto emocional significativo en muchos pacientes. Las personas sin dientes suelen experimentar una disminución en la autoestima debido a la apariencia de su sonrisa, lo que puede llevar a sentimientos de inseguridad o vergüenza, afectando su interacción social y su bienestar psicológico. Los implantes dentales ofrecen una solución estética que imita a la perfección la apariencia de los dientes naturales. Al restaurar una sonrisa completa y natural, los pacientes pueden experimentar un aumento en su confianza y autoestima. Este cambio positivo se refleja no solo en la estética facial, sino también en su disposición para interactuar socialmente, reír y hablar sin inhibiciones. El bienestar psicológico mejora de manera significativa cuando los pacientes recuperan su capacidad de mostrar una sonrisa saludable y atractiva.
- Durabilidad y solución a largo plazo: Una de las principales ventajas de los implantes dentales es su durabilidad. Mientras que las prótesis removibles requieren reemplazo cada 5 a 10 años debido al desgaste o la reabsorción ósea, los implantes dentales pueden durar toda la vida con un mantenimiento adecuado. Al integrarse directamente con el hueso a través del proceso de osteointegración, los implantes ofrecen una solución permanente que resiste el desgaste y no se ve afectada por los cambios en la estructura ósea. Esta longevidad hace que los implantes dentales sean una opción costo-efectiva a largo plazo, ya que minimizan la necesidad de ajustes o reemplazos frecuentes. Además, su resistencia y estabilidad permiten a los pacientes disfrutar de una vida normal sin preocuparse por las limitaciones o incomodidades asociadas con otros tipos de prótesis dentales.
Mantenimiento y cuidados de los implantes dentales en personas sin dientes
El éxito de los implantes dentales depende en gran medida de una correcta higiene oral y visitas periódicas al dentista. Es fundamental que los pacientes sigan un régimen de cepillado diario y uso de hilo dental, además de limpiadores específicos para los implantes. Las revisiones regulares permiten al profesional asegurarse de que los implantes se mantengan en buen estado y detectar cualquier problema a tiempo, como la periimplantitis (inflamación alrededor del implante).
Consideraciones para el éxito a largo plazo de los implantes
- La calidad del hueso donde se colocan los implantes. En algunos casos, puede ser necesario realizar injertos óseos o utilizar técnicas avanzadas, como los implantes zigomáticos.
- El estado de salud general del paciente. Condiciones como la diabetes no controlada o el tabaquismo pueden afectar negativamente la osteointegración de los implantes.
- Un mantenimiento riguroso y controles periódicos con el implantólogo son esenciales para prevenir complicaciones y garantizar una longevidad óptima de los implantes.
Agenesia Dental
La agenesia dental es lo que conocemos como falta o ausencia congénita de uno o más dientes. Es bastante frecuente en un alto porcentaje de seres humanos. Puede ocurrir tanto en dentición definitiva como en dentición temporal (en dientes de leche). Cuando es el diente definitivo el que falta el problema es mayor que si falta el diente temporal (algo bastante inusual).
La agenesia dental no es uno de esos problemas dentales de los que se oiga hablar con frecuencia. De hecho el término es bastante desconocido, aunque no sean pocas las personas afectadas. Agenesia es un término que significa “sin nacimiento”, lo que ya da una pista clara acerca de lo que hablamos. Se trata de un problema de origen congénito, que con mayor frecuencia afecta a las llamadas muelas del juicio, pero que en realidad puede hacerlo con cualquier tipo de pieza.
En este punto, es importante señalar que hablamos de agenesia cuando la falta de la pieza dental es permanente. La agenesia dental es una alteración que provoca la falta de uno o más dientes en la boca. Sin embargo, la agenesia también suele causar incomodidades importantes al comer, alteraciones en el desarrollo del resto de dientes, diastemas y maloclusiones.
Tipos de agenesia dental
- Hipodoncia: es el tipo de agenesia más común. Hipodoncia: ocurre cuando al paciente le faltan entre 1 a 6 dientes.
- Terceros molares (comúnmente llamados “muelas del juicio”): es la agenesia dental más frecuente. De hecho, se estima que al 25% de las personas no les ha salido, al menos, una muela del juicio. Por suerte, también es la agenesia que menos problemas presenta. Esto se debe a que las muelas del juicio no tienen un papel especialmente relevante en la funcionalidad o estética de la boca.
- Incisivos laterales del maxilar superior: al contrario de lo que sucede con los terceros molares, la falta de los incisivos laterales sí supone un importante perjuicio para el paciente. Estos dientes se encuentran en la parte delantera de la boca, por lo que son muy visibles.
- Premolares del maxilar superior: los premolares son otros de los dientes a los que afecta la agenesia con mayor frecuencia. Y, al igual que en el caso anterior, su ausencia también es perjudicial para la persona. Los premolares son fundamentales al comer, ya que su función es la de triturar los alimentos para que sean más fáciles de tragar y digerir.

Diagnóstico de agenesia dental
El diagnóstico se realiza observando la ausencia de uno o más dientes. En el caso de los dientes definitivos el diagnóstico suele ser la presencia de los dientes de leche durante más tiempo de lo normal en boca. El diagnóstico de la agenesia se produce normalmente a partir de la observación de que los dientes de leche se mantienen más tiempo del que deberían. Al no aparecer un reemplazo que fuerce la caída del diente de leche éste permanece más allá de la edad a la que suelen ir cayéndose, y esta circunstancia es el primer indicio de que podemos estar ante un caso de agenesia.
En cambio, en las piezas dentales definitivas no se aprecia tan fácilmente. Sin embargo, hay un signo que nos puede hacer sospechar la agenesia: un diente de leche que tarda en caerse más de lo habitual. Por ello, para poder diagnosticar la agenesia en dientes definitivos es necesario realizar una radiografía panorámica, que ofrezca una vista completa de las dos arcadas dentarias (superior e inferior).
Tratamientos para la agenesia dental
Antes de establecer un tratamiento el especialista ha de evaluar una serie de factores como la edad del paciente, el estado general de su dentadura, cuantas piezas dentales faltan y en qué lugar se ubican. Un tratamiento de ortodoncia puede ser la solución idónea en casos en los que apenas falta una pieza. Cuando la ausencia de piezas dentales es más numerosa y éstas faltan en la parte frontal lo más común es que la solución pase por la aplicación de implantes dentales. Es la forma más práctica de solucionar un problema grave de agenesia.
La agenesia dental se puede corregir mediante distintos tratamientos. La ortodoncia es un tratamiento que puede estar indicado cuando el paciente presenta la ausencia de un único diente o de dos dientes simétricos. Sin embargo, antes de decidir cuál es el tratamiento más adecuado hay que tener en cuenta varios factores: apiñamiento, línea media, resalte… De esta manera, se puede valorar si la mejor opción es cerrar el espacio. Los implantes dentales pueden sustituir tanto uno como varios dientes faltantes. Además, su colocación permite que la persona desarrolle todas las funciones de su boca con normalidad (comer, sonreír…). En general, podemos afirmar que las prótesis dentales funcionan de la misma manera que los implantes.
Los mantenedores de espacio son tratamientos destinados a niños. Con el mantenedor de espacio se evita que el resto de dientes traten de ocupar el espacio vacío. Una vez concluido el crecimiento dental, se valora qué tratamiento es mejor para solucionar la agenesia (ortodoncia, implantes…) y se retira el mantenedor.
Consecuencias de la agenesia dental
El tener agenesia dental puede afectar al paciente tanto a nivel funcional como a nivel estético. Como hemos mencionado anteriormente, la agenesia dental en el caso de los dientes temporales no supone tanto problema como en el caso de los dientes definitivos. Si no se trata la ausencia de los dientes, el paciente puede sufrir el desplazamiento de los dientes adyacentes al hueco, así como la inclinación de los mismos. También dificulta mantener una higiene oral correcta, favoreciendo la acumulación de bacterias y haciendo soportar a la encía un impacto directo con la comida.
La agenesia dental puede tener una serie de consecuencias negativas para la salud, la estética y la calidad de vida de la persona. Alteraciones en la mordida: los dientes adyacentes a un espacio vacío tienden a desplazarse o inclinarse para ocupar dicho hueco. Mayor riesgo de problemas dentales: la falta de alineamiento de los dientes puede hacer que estos sean más difíciles de limpiar durante el cepillado. Por su parte, la principal consecuencia de la falta de higiene es la mayor predisposición a padecer caries, gingivitis y periodontitis. Desarrollo inadecuado de los huesos maxilares: en niños, la agenesia dental puede afectar al desarrollo normal del maxilar superior y de la mandíbula. Esto se debe a que los dientes funcionan como un estímulo para el crecimiento de los huesos.