Los brackets son un elemento indispensable de los aparatos fijos de ortodoncia. Existen diversos tipos de brackets, cada uno con características y ventajas particulares.
Tradicionalmente, la ortodoncia se divide en:
- Ortodoncia fija: utiliza brackets cementados a los dientes, que permanecen durante todo el tratamiento.
- Ortodoncia invisible: se basa en alineadores transparentes, removibles y fabricados a medida.
Dentro de la ortodoncia fija, encontramos diferentes opciones, incluyendo los brackets que se colocan en la parte interna de los dientes, conocidos como brackets linguales.
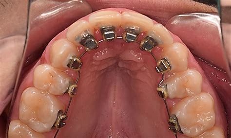
¿Qué son los Brackets Linguales?
Mientras que los aparatos fijos por Lingual son los Brackets que se colocan en la parte interna de los dientes, quedando libre la superficie externa de los dientes.

Ortodoncia lingual
La Ortodoncia Lingual se compone de Brackets de color metálico (oro o platino) fabricados a medida de la cara lingual de los dientes. Estos tipos de aparatos dentales están diseñados para cementarse en la parte interior de los dientes, que es más irregular, y por esto requiere una fabricación y customización total para cada caso.
Ventajas de la Ortodoncia Lingual
Una de las principales ventajas de la ortodoncia lingual es que es la única opción 100% invisible. Ofrece total invisibilidad frente a los brackets externos y, aunque los alineadores invisibles son prácticamente imperceptibles, la ortodoncia lingual es la única que no se ve.
Además, es un tratamiento adaptado a cada paciente, ya que los brackets se hacen a medida de cada boca. Esto puede entenderse como una ventaja debido a la precisión que ofrece dicha personalización.
Al estar colocados en la cara interna de los dientes, otro de los beneficios de los brackets linguales es que permiten observar la evolución de la sonrisa. Al colocarse en la cara interna de los dientes, no existe ningún riesgo de que puedan dañar o afear la parte más visible de la sonrisa.
Desventajas de la Ortodoncia Lingual
El principal inconveniente es que los brackets por lingual son más costosos porque precisan ser realizados a medida del paciente y a pesar de esa hipotética mayor estética, son altamente incómodos para el paciente dificultando la higiene cotidiana o el habla y obligando a múltiples visitas de urgencia por roces.
Sus inconvenientes son la alta complejidad de las técnicas de fabricación lo que los hace muy costosos y la dificultad técnica tanto en su aplicación como ajuste, con largas visitas de tiempo del profesional para su ajuste y activación en clínica.
Sin embargo, a largo plazo esa disponibilidad limitada genera más inconvenientes ya que en caso de rotura o fractura del bracket el proceso de fabricación podría prolongar el tratamiento ya que requiere alta especialización y laboratorios específicos.
Existen otras limitaciones como una higiene más compleja y un precio elevado que pueden frenar la elección de la ortodoncia lingual frente a cualquier otro sistema de ortodoncia.
Aunque en el aspecto estético la ortodoncia lingual no interfiere de ninguna manera en la vida del paciente, supone una serie de dificultades y molestias al hablar o comer.
Precio: este es el inconveniente más importante que encuentran las personas interesadas en la ortodoncia lingual.
Periodo de adaptación: a pesar de que los brackets linguales sean pequeños y tengan un grosor mínimo, requieren un periodo de adaptación de unas dos semanas. Durante los primeros días, es normal que la persona experimente alguna dificultad para pronunciar determinadas palabras.

Ortodoncia invisible
Además, al igual que otros brackets, la ortodoncia lingual conlleva algunas restricciones en la alimentación. Y es que, como los brackets van adheridos al diente, se deben evitar determinados alimentos que puedan quedarse pegados a ellos (chicles, turrón blando…). También hay que restringir el consumo de ciertos alimentos duros que puedan provocar que los brackets se caigan o despeguen.
La duración del tratamiento con brackets linguales está estrechamente relacionada con la complejidad del caso y el grado de maloclusión que presente el paciente. Normalmente, la ortodoncia lingual debe llevarse alrededor de 18 meses.
Alternativas a la Ortodoncia Lingual
La ortodoncia lingual ha sido durante años una opción popular para quienes buscaban discreción en su tratamiento ortodóncico. Sin embargo, actualmente este tipo de tratamiento ha sido sustituido por alternativas más avanzadas y eficaces.
Invisalign: Invisalign es la técnica de ortodoncia con alineadores removibles más antigua (unos 23 años de trayectoria ya), más avanzada, más estudiada y más patentada. Los tratamientos de Ortodoncia con alineadores permiten llegar a excelentes resultados aplicando los principios ortodóncicos ya conocidos, pero de una forma más cómoda, estética y aparentemente más simple.
Son removibles y se utilizan férulas de materiales plásticos completamente transparentes con algunos aditamentos para empujar a los dientes hacia la posición que deben ocupar y controlar mejor la aplicación de fuerzas haciéndolo más preciso, denominados ataches o attachments, smart features, power ridges, precision cuts etc.
Brackets Estéticos: Este tipo de ortodoncia se compone por Brackets y alambres de cementado directo por vestibular, que resultan en gran medida transparentes pues están fabricados en materiales policristalinos tipo zafiro o de cerámicas avanzadas. Este tipo de brackets estéticos Clarity Advanced ® de 3M Solventum, cuenta con un avanzado software para asistir la planificación digital y el cementado indirecto a través de cómodas férulas, y un adhesivo especial para una adhesión muy resistente, sin excesos, muy limpia… un conjunto de características que hacen este sistema muy superior a cualquier otro sistema de Ortodoncia fija que exista en la actualidad.
Brackets Autoligables: Actualmente, las técnicas tradicionales también avanzan utilizando nuevas formas, fuerzas más ligeras de aleaciones superelásticas, brackets autoligables sin fricción y sin ligaduras, que realizan un movimiento dentario más natural e hipotéticamente más rápido… cementado y diseño del sistema con avanzados sistemas digitales que permiten realizar un Cementado Indirecto guiado por planificación digital, más cómodo para el paciente y que permiten una mayor eficiencia y precisión en el resultado final; Sistemas de Overlays, Table Tops, TO GO u otros suplementos con fines funcionales y de tratamiento disfuncional; Microtornillos o Microcirugías… etc.

Alternativas a la ortodoncia lingual
¿Qué tipo de ortodoncia es mejor para ti?
Únicamente los especialistas de la Ortodoncia son los indicados para decir qué tratamiento de Ortodoncia es mejor y cuál es la técnica más adecuada para cada paciente y cada maloclusión. Porque al hablar del aparato en sí, sólo hablamos de técnicas, de vehículos que nos llevan en una determinada dirección y que no deberían influir en la consecución del resultado final. En otras palabras, lo importante es el Diagnóstico de cada paciente y el Plan de Tratamiento establecido, que nos conducirá a un objetivo determinado, y la técnica es sólo la manera de llevar al paciente hasta dicho resultado u objetivo.
Antes de determinar qué tipo de ortodoncia es mejor para ti, hay que valorar las ventajas y desventajas que ofrece cada uno de ellos, teniendo en cuenta nuestro estado de salud bucodental inicial así cómo nuestras necesidades y preferencias.
Muchas personas pueden mirarse al espejo después de cepillarse los dientes, observar su arcada dental y preguntarse ¿Qué tipo de Ortodoncia necesito? ¿Cuál sería mejor en mi caso? No es tan claro y sencillo saber identificar los problemas dentales y la Ortodoncia es una ciencia muy especializada y específica. Sin embargo, existen algunas formas de saber si necesitan tratamiento de ortodoncia e ir a una clínica dental capacitada con profesionales cualificados y dejarse aconsejar por aquellos que entienden y manejan todos los días este tipo de problemas.
Si necesitas realizar un tratamiento de ortodoncia, es importante que conozcas en detalle todas las opciones disponibles para alinear tus dientes. Según tus preferencias estéticas, el tiempo que estás dispuesto a llevar el tratamiento y tus posibilidades económicas, puedes elegir entre distintas opciones como: aparato dental invisible o transparente, brackets metálicos convencionales y brackets autoligables damon entre otros.