Las carillas dentales son una solución estética que sirve para mejorar la apariencia de los dientes. Son uno de los tratamientos dentales estéticos más demandados actualmente, tanto por su sencillez como por su precio. En este artículo, explicaremos en qué consiste este tratamiento, los tipos de carillas disponibles, el procedimiento de colocación, los precios y los cuidados necesarios para mantener una sonrisa radiante.

¿Qué son las carillas dentales?
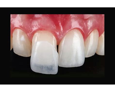
Las carillas dentales son unas láminas muy finas -generalmente inferiores a un milímetro de espesor- que se fijan sobre la parte visible de uno o varios dientes. Su principal objetivo es mejorar el aspecto de los dientes, ya sea para modificar su tamaño, color, forma o posición. Por tanto, tienen una finalidad puramente estética.
Las carillas son un tratamiento para mejorar la apariencia de los dientes. Consiste en colocar unas láminas de porcelana en la cara frontal de los dientes, mejorando su aspecto estético. Las carillas dan un mejor aspecto en color y forma a los dientes.
¿Quién puede llevar carillas dentales y cuándo se recomiendan?
Las personas que habitualmente optan por un tratamiento de carillas son aquellas que quieren mejorar su imagen estética, especialmente el color, la forma y la posición de los dientes. Sin embargo, no todas las personas son aptas para este tipo de tratamiento. Habitualmente, los pacientes que pueden someterse a un tratamiento de carillas son aquellos con una buena salud bucal en general. Es importante tener unos dientes y encías saludables. También es importante tener suficiente esmalte dental.
Algunos casos comunes en los que es recomendable el uso de carillas dentales son:- Desgaste dental: principalmente para dientes que han sufrido desgaste por bruxismo.
- Daño o roturas: para restaurar la apariencia de dientes que están astillados, fracturados o tienen imperfecciones menores.
- Desalineación leve y pequeños espacios: como alternativa a la ortodoncia en casos de desalineaciones leves o para cerrar pequeños huecos entre los dientes.
- Manchas o decoloración: ideal para dientes que han cambiado de color o tienen machas profundas y no responden bien a técnicas de blanqueamiento dental.
- Mejora estética general: para aquellos que desean tener una sonrisa más uniforme y atractiva.
En todos estos casos, es fundamental la evaluación por parte de un profesional dental, quien podrá determinar si las carillas son la opción más adecuada según las necesidades y condiciones específicas del paciente.
¿Conoces los TIPOS de CARILLAS DENTALES? ✨ El mejor tratamiento ESTÉTICO para tu sonrisa👄
Tipos de carillas dentales
Pueden estar hechas de diferentes materiales, pero suelen ser de porcelana o composite.
Los materiales con los que se fabrican las carillas dentales son el composite y la porcelana. Este último es el más recomendado debido a que proporciona mejores resultados y más duraderos. Con la porcelana se logra una apariencia similar al esmalte de los dientes, no se mancha y puede durar hasta 20 años si se le da el cuidado adecuado.

Carillas de porcelana
Las carillas de porcelana, al utilizar este material, cuentan con la ventaja de que resisten muy bien a las manchas. Además, la porcelana tiene un aspecto muy similar al de los dientes naturales cuando estos están sanos y blancos. Además, las carillas de porcelana pueden corregir problemas como el desgaste de los dientes, así como cubrir piezas astilladas o rotas.
Este tipo de carillas dentales puede requerir múltiples visitas al dentista para su colocación, debido a que previamente es posible que haya que realizar un tallado de los dientes.
Para fabricar las carillas se utilizan diferentes tipos de porcelana que describimos a continuación.
Carillas tradicionales de porcelana
Las primeras carillas se fabricaron con porcelana feldespática tradicional que tenían feldespato, cuarzo y caolín. Se caracteriza por ser un material translúcido y resistente. Para colocar las carillas de feldespato se requiere preparar los dientes, aunque es un tratamiento sencillo que se realiza en dos visitas al dentista. Este material también ha evolucionado y su composición ha cambiado con el paso del tiempo. Sin embargo, no es el que más se utiliza en la odontología actual, ya que han surgido otras carillas cerámicas con resultados más óptimos.
Carillas de porcelana sin preparación
Las alternativas más modernas son las carillas ultrafinas y las microcarillas. Ambas presentan ventajas estéticas frente a las de porcelana tradicional y las técnicas para colocarlas también son más prácticas, puesto que no siempre requieren la preparación del diente. Las carillas ultrafinas se fabrican con porcelana inyectada y tienen un grosor de entre 0,3 y 1 milímetro. Son muy translúcidas, lo que les da un aspecto natural, y pueden durar hasta 20 años. Por otro lado, las microcarillas tienen un grosor de entre 0,2 y 0,4 milímetros y requieren tallar un poco el diente antes de colocarlo. Su aspecto también es muy natural y son resistentes.
Aunque es posible colocar carillas de porcelana sin preparación, es el dentista quien decidirá si se debe limar o tallar el diente antes.
Carillas de composite
Las carillas de composite, un material fabricado con varias resinas compuestas, tienen la ventaja de que son reversibles. El trabajo previo con los dientes es mínimo, por lo que no los altera de forma permanente. Por otra parte, tienen la desventaja de que no imitan tan bien el esmalte de los dientes como las de porcelana. Además, al ser la resina un material poroso, pueden mancharse y son susceptibles de sufrir astillados o fracturas.
Carillas de zirconio
Están fabricadas con óxido de zirconio, un material cerámico resistente y no poroso, que imita perfectamente el esmalte natural del diente y resiste la decoloración y las manchas. Son ideales para quienes buscan resultados óptimos sin comprometer la funcionalidad de la sonrisa.
| Tipo de Carilla | Duración Estimada |
|---|---|
| Porcelana | 10-15 años |
| Composite | 5-7 años |
| Zirconio | 10-15 años |
Proceso de aplicación de carillas de porcelana
Colocar las carillas de porcelana es un proceso rápido y que se puede hacer en dos sesiones. La primera para el diagnóstico y toma del molde de los dientes y, la segunda, para pegar las carillas en su lugar.
- Consulta inicial y planificación: Para comenzar el tratamiento, el dentista hace un estudio de la boca del paciente para determinar si es un buen candidato para las carillas. Y, si lo es, analiza la mejor técnica para colocarlas y prueba las carillas provisionales para que el paciente tenga una idea del resultado final. Durante esta sesión se toman los moldes que se enviarán al laboratorio para fabricar las carillas.
- Preparación del diente: En la primera consulta también se preparan los dientes sobre los cuales se colocarán las carillas. Para ello, el dentista limará los dientes o hará un ligero tallado, dependiendo del diagnóstico inicial. La intención es que la superficie quede un poco áspera para mejorar la adherencia. Una vez que termina de preparar el diente, se colocan las carillas provisionales para protegerlo. Es posible que el paciente tenga un poco de sensibilidad tras este procedimiento.
- Colocación y ajuste final: Cuando el laboratorio termina de fabricar las carillas se realiza la segunda sesión con el dentista para colocarlas. Lo primero que hará es retirar las provisionales y probar las definitivas. De este modo se asegura de que las prótesis sean las adecuadas y le permite al paciente ver cuál será el resultado definitivo. A continuación, se coloca el adhesivo y luego se fija la carilla. Por último, el dentista limpia la boca para eliminar cualquier residuo.
Precios de las carillas de porcelana
El precio de las carillas de porcelana oscila entre 400 y 2000 euros. Esto depende de diversos factores como la calidad del material, la cantidad de carillas y la experiencia del dentista.
Factores que afectan el costo
A continuación, detallamos qué factores afectan el costo de los precios de las carillas.
- Material: las carillas de porcelana son más costosas que las de composite debido a que son de mayor calidad. La porcelana es más duradera y resistente, y no se manchará al consumir ciertos alimentos y bebidas.
- Número de carillas: esto depende de la cantidad de dientes sobre las que se vayan a colocar las prótesis. El precio total resulta de multiplicar el costo de una carilla por la cantidad de carillas que se necesiten.
- Experiencia del dentista: es importante comparar precios entre diferentes dentistas antes de tomar una decisión.
- Estado de los dientes: si los dientes necesitan mucha preparación antes de colocar las carillas, el costo será mayor.
- Tamaño y ubicación de los dientes: las carillas que se colocan en dientes más grandes o que requieren más preparación suelen ser más caras.
Opciones de financiamiento y seguro
Por lo general, los seguros no cubren los tratamientos de estética dental. De modo que si te quieres someter a este procedimiento debes consultar antes con tu aseguradora si lo cubre. Aparte de los seguros, hay otras alternativas, como los dentistas que ofrecen planes de pago a plazos para carillas de porcelana. Pregunta a tu odontólogo cuáles son las opciones que tiene.
Ventajas y desventajas de las carillas de porcelana
Beneficios estéticos y funcionales
- Es un tratamiento rápido e indoloro, aunque la preparación del diente puede generar cierta molestia.
- Pueden corregir una variedad de problemas dentales, como los dientes manchados, fracturados o desalineados.
- Son duraderas y atractivas
- Mejoran la confianza y la autoestima.
- Se consigue un aspecto natural debido a que la capa de material es muy fina y translúcida.
Consideraciones y riesgos potenciales
Las carillas de porcelana también tienen algunas desventajas que se deben considerar:
- Son más costosas que las carillas de composite.
- En caso de que se agrieten o se rompan no es posible arreglarlas y se tiene que colocar una nueva.
Mantenimiento y cuidado de las carillas
Vida útil y durabilidad
Las carillas de porcelana pueden durar hasta 20 años si se cuidan de manera adecuada. Por tanto, si cuidas tu salud bucal, también proteges tu inversión. Lo principal será mantener una buena higiene dental diaria y buenos hábitos. Algunos factores que pueden acortar la vida útil de las carillas son el bruxismo, que es el hábito de rechinar o apretar los dientes; morder alimentos duros, como hielo o nueces, puede agrietar o romper las carillas. Por último, la falta de higiene dental provoca la acumulación de placa y sarro.
Consejos para el cuidado diario
Algunos consejos para mantener tus dientes y carillas limpios son los siguientes:
- Cepíllate los dientes dos veces al día durante dos minutos con un cepillo de dientes de cerdas suaves y una pasta dental con flúor.
- Usa hilo dental una vez al día para eliminar la placa y los restos de alimentos de entre los dientes.
- Completa la limpieza con un enjuague bucal con flúor para ayudar a proteger tus dientes de las caries.
Visitas al dentista y revisiones
Es importante programar visitas al dentista para revisiones regulares. Durante estas, el especialista examinará tus carillas para detectar cualquier problema temprano, además de hacer limpiezas profesionales. Se recomienda programar una revisión al dentista cada seis meses.