¿Has comenzado a sentir un extraño dolor o molestia en tus dientes? ¿Alguna vez te has preguntado cómo reconocer una caries en sus etapas más tempranas? Las caries dentales son uno de los problemas bucodentales más frecuentes, pero también uno de los más evitables. A continuación, te detallamos los signos que pueden advertir de la presencia de caries. Aquí te explicamos qué es una caries avanzada, sus síntomas y cómo tratarla.

¿Qué son las Caries Dentales?
Las caries dentales pequeñas, también llamadas caries incipientes, se forman cuando las bacterias de la boca producen ácidos que empiezan a deteriorar las zonas del esmalte dental. Las caries se forman cuando las bacterias, presentes de manera natural en la boca, se juntan con los restos de alimentos que se quedan en la cavidad oral después de las comidas, creando ácidos que dañan el esmalte. Estas lesiones destruyen el esmalte y la dentina de los dientes y están causadas por bacterias que transforman los azúcares de la comida en ácidos. De manera completamente silenciosa e indolora en un inicio, estos ácidos van dañando la estructura dental.
Aunque pueden surgir en cualquier parte de la superficie dental, suelen aparecer en áreas cercanas a las encías y en las fisuras de los molares, donde la acumulación de placa es más frecuente. Afortunadamente, si se detecta a tiempo, el daño provocado por una caries incipiente suele ser reversible.
La caries dental es una enfermedad infecciosa que destruye progresivamente los tejidos duros del diente. Está causada por los ácidos que generan las bacterias presentes en la boca al descomponer los azúcares de los alimentos. Las caries aparecen cuando la higiene bucal no es suficiente para eliminar la placa bacteriana. Por tanto, la placa bacteriana es la principal responsable de la aparición de la caries.
Etapas de las Caries
Existen diferentes etapas en el desarrollo de una caries, cada una con sus propias características:
- Caries incipientes: En esta fase, la caries solo afecta a la capa más externa del esmalte, y no perfora ninguna capa profunda del diente.
- Caries avanzadas: Fase más avanzada, en la que la caries penetra en la dentina y puede llegar a la pulpa del diente.
Una muela con caries profunda es la última etapa del proceso de desarrollo carioso y la más grave. Aparece principalmente en caries no tratadas y, en este caso, el tejido dental, es decir, la pulpa del diente donde se encuentran los nervios, está infectada o necrosada.
Caries Dental: Causas y tratamiento
Causas de las Caries
La causa de la aparición de todas las caries, incluida la profunda, se debe principalmente a una alimentación rica en azúcar y almidón. Las bacterias que se encuentran en nuestra boca se alimentan de los restos de comida que quedan en nuestros dientes y producen ácidos que al combinarse con la saliva hacen que la placa bacteriana ablande el esmalte dentario primero y la dentina después y los desmineralice provocando la destrucción del diente.
Por ello, si queremos evitar la aparición de caries debemos seguir unos hábitos de limpieza adecuados en los que predomine el cepillado de los dientes tres veces al día, el uso de hilo dental y enjuagues.

Síntomas de una Carie Avanzada
A menudo, las caries se desarrollan de forma silenciosa, sin dolor ni molestias aparentes, hasta que ya han afectado a capas profundas del diente. Sin embargo, hay ciertas señales que pueden ponerte en alerta:
- El mal aliento es un síntoma clásico de la caries.
- Otro de los síntomas clave es la sensibilidad dental a los alimentos muy fríos o muy calientes. Una sensibilidad dental recurrente puede ser una señal del inicio de la caries.
- Sin embargo, las caries también cambian el color del diente. Esto ocurre en una etapa avanzada de la caries, cuando esta ha destruido el esmalte y ha llegado hasta la pulpa del diente. Obviamente, un cambio en la coloración de los dientes no es alarmante si fumas o bebes café cotidianamente.
- En una etapa avanzada de la caries, se puede producir un absceso o flemón dental. Estos casos suelen estar asociados a procesos infecciosos.
- Fuerte sensibilidad y dolor que ocasionalmente ocurre con cambios de temperatura de frío y calor, al consumir azúcar, y cuando un alimento sólido ingresa dentro de la cavidad del diente.
- Deformación del diente e imperfecciones estéticas. La caries profunda se diferencia de la normal porque presenta manchas negras o de tonalidad café que pueden apreciarse fácilmente.
- Dolor persistente, intenso, para el cual es necesario medicarse. Suele ser cuando la caries es ya tan profunda que afecta al nervio.
- Huecos: tienes un orificio, cavidad o una fractura en tu pieza dentaria.
- Molestias al comer y masticar: si tienes una muela con una caries profunda, es habitual que sientas sensibilidad al comer algo frío, caliente o dulce.
- Inflamación de la cara: la caries profunda puede ocasionar la infección de la pulpa dental de tu muela y de las zonas vecinas de tu boca, lo que provoca flemones e hinchazón en tu cara. En estos casos es necesario que nos visites con urgencia, pues el cuadro puede empeorar y diseminarse a otras áreas del cuerpo.
Si notas alguno de estos síntomas en tu boca, no debes pasarlos por alto. Una muela picada con agujero afecta el correcto funcionamiento de tu boca. Masticar y comer se vuelve dificultoso.
Diagnóstico de las Caries
Es común confundirse entre una mancha o una carie incipiente. Una carie se presenta como una mancha blanca, opaca y puede volverse más oscura con el tiempo. Para un diagnóstico preciso, se utilizan:
- Radiografías: Estas permiten al dentista ver las áreas que no son visibles a simple vista.
- Detección con láser o fluorescencia: Es un método cada vez más utilizado en clínicas dentales.
Tratamientos para las Caries
El tratamiento para la caries depende de la fase en la que se encuentra. Cuanto más profunda sea la caries, más minucioso y complejo deberá ser el tratamiento a realizar por el odontólogo.
Cuando la caries no está muy avanzada:
- Aplicación de flúor: Este tratamiento puede ayudar a restaurar el esmalte, en algunos casos revierte la caries si está en su fase inicial.
- Se utiliza un tratamiento con flúor que ayuda a restaurar el esmalte del diente y a revertir la caries.
Cuando la caries está más avanzada:
- Si ya se ha producido la destrucción del esmalte y la dentina, se realiza un empaste para restaurar la pieza dental. Mediante este método se consigue restaurar la forma del diente y cerrar la cavidad utilizando varios materiales como resinas, porcelana o amalgama dental.
- Los empastes dentales son un tratamiento que realizamos cuando la caries ha avanzado en profundidad, pero no ha dañado la pulpa dental, es decir, el nervio está vital y sin síntomas. Lo que hacemos es eliminar todo el tejido cariado de tu muela y limpiar toda la zona afectada. Luego rellenamos la cavidad con un material artificial para reconstruir tu molar y que así recupere sus funciones y apariencia original. Al rellenar tu muela ya limpia y libre de caries, le devolvemos la anatomía perdida.
- Si tu muela picada está muy destruida, la caries ha avanzado mucho y necesitamos restaurar la totalidad de tu pieza dentaria, las coronas dentales son una excelente opción. Para realizarlas, primero limpiamos y eliminamos todo el tejido enfermo de tu muela. Además, tallamos y modelamos el resto de la pieza y la preparamos para recibir la corona. Luego te tomaremos moldes e impresiones para realizar una funda específica para ti. Podremos elegir entre distintos materiales según tus necesidades: como el metal, el acrílico, la porcelana, el oro o las resinas. Una vez que tu corona esté lista, la colocamos y cementamos sobre tu muela.

Cuando existe una muela con caries profunda:
- Si la caries es tan profunda que ha afectado al nervio dentario, generalmente, se optará por realizar una endodoncia. Este tratamiento consiste en eliminar y matar el nervio infectado o necrosado del interior de un diente producido por una caries profunda, un traumatismo o una enfermedad periodontal. El fin es eliminar el dolor, salvar la pieza dental y evitar su extracción mediante la eliminación de la pulpa infectada junto con una limpieza de la infección y el relleno hermético con un material biocompatible.
- Para tratar el nervio de tu muela realizamos una endodoncia o tratamiento de conducto. Este procedimiento consiste en acceder a la zona pulpar para eliminar y limpiar por completo todo el tejido blando. También limpiamos los tejidos duros afectados por las caries y reconstruimos tu muela con empastes o coronas para recuperar su anatomía.
- En otros casos, la caries puede ser tan grave y haber destruido hasta tal punto la estructura del diente, que requiera la extracción del mismo. Si esto ocurre, se deja un hueco que podría hacer que los dientes se desplacen y que la función masticatoria se modifique o empeore, por lo que es recomendable reemplazar el diente faltante con un puente o implante dental.
- Si la destrucción de tu muela con caries profunda es tan severa que no podemos tratarla ni reconstruirla, será necesaria su extracción. Según tu situación, podremos sacar tu muela entera o habrá que partirla para extraerla por partes. Luego de la extracción, tendremos que rehabilitar el espacio dejado por la muela perdida con un implante, un puente dental o una prótesis removible. Así le devolveremos a tu boca su funcionalidad y apariencia, para que la falta de dientes no afecte al resto de las estructuras bucales.
Prevención de las Caries
La clave es la prevención. Y es que durante la primera fase la caries es asintomática. Será importante que te comprometas con tu higiene bucal. Cepilla tus dientes de manera correcta 3 veces al día para eliminar las bacterias y los restos de alimentos que se acumulan sobre tus muelas. Por otra parte, será beneficioso que lleves una dieta equilibrada y nutritiva. Con esto, además de cuidar tu salud general, disminuyes el riesgo de desarrollar caries. Por último, no olvides los controles odontológicos semestrales. Estas visitas son fundamentales para que podamos detectar de manera oportuna cualquier problema que surja en tu boca y lo resolvamos de inmediato.
Para prevenir las caries:
- Ya sabes que es imprescindible que dediques tiempo diario a la higiene dental.
- Visita a tu dentista al menos una vez al año para que valore tu estado bucal.
- No olvidar los surcos de los dientes ni el espacio interdental.
Si eres constante con estas medidas preventivas no solo evitarás caries profundas en tus muelas.
Cómo Saber si Tienes Caries Antes de Acudir al Dentista
Poco va a importar que te expliquemos aquí los síntomas de la caries dental si no revisas ante el espejo tu boca de cuando en cuando. Y por de cuando en cuando no nos referimos una vez al año porque eso debería de hacerlo el dentista en su consulta.
Para una autoexploración efectiva:
- Mírate los dientes con ayuda de un espejo
- Tienes que mirar bien tus dientes con una buena luz y si ves alguna decoloración acudir a consulta.
- Comprueba que no existen fisuras en tus dientes
- Alerta: comienza el dolor
- La sensibilidad dental
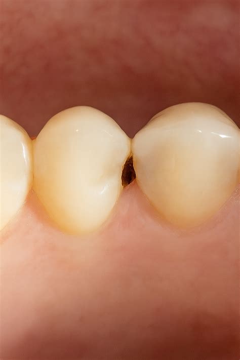
En muchas ocasiones, las caries se forman en el espacio presente entre dos piezas dentales. La caries radicular es un tipo de caries que afecta directamente a la raíz del diente, normalmente en personas con encías retraídas o enfermedades periodontales. Por el lugar donde se originan, las caries interproximales pueden ser menos visibles y difíciles de detectar. La zona que está entre los dientes es más inaccesible y durante el cepillado dental será más difícil de limpiar.

Tabla Resumen de Tipos de Caries
| Tipo de Caries | Descripción | Ubicación Común |
|---|---|---|
| Caries Incipiente | Afecta la capa externa del esmalte. | Superficie del diente |
| Caries Avanzada | Penetra la dentina y puede llegar a la pulpa. | Debajo del esmalte |
| Caries Radicular | Afecta la raíz del diente, común en personas con encías retraídas. | Raíz del diente |
| Caries Interproximal | Se forma entre los dientes, difícil de detectar. | Entre los dientes |